Skip to main content

Synaptic circuitry in the retinorecipient layers of the optic tectum of the lamprey (Lampetra fluviatilis). A combined hodological, GABA and glutamate immunocytochemical study

Abstract

The ultrastructure of the retinorecipient layers of the lamprey optic tectum was analysed using tract tracing techniques combined with GABA and glutamate immunocytochemistry. Two types of neurons were identified; a population of large GABA-immunonegative cells, and a population of smaller, highly GABA-immunoreactive interneurons, some of whose dendrites contain synaptic vesicles (DCSV). Five types of axon terminals were identified and divided into two major categories. The first of these are GABA-immunonegative, highly glutamate-immunoreactive, contain round synaptic vesicles, make asymmetrical synaptic contacts, and can in turn be divided into AT1 and AT2 terminals. The AT1 terminals are those of the retinotectal projection. The origin of the nonretinal AT2 terminals could not be determined. AT1 and AT2 terminals establish synaptic contacts with DCSV, with dendrites of the retinopetal neurons (DRN), and with conventional dendritic (D) profiles. The terminals of the second category are GABA-immunoreactive and can similarly be divided into AT3 and AT4 terminals. The AT3 terminals contain pleiomorphic synaptic vesicles and make symmetrical synaptic contacts for the most part with glutamate-immunoreactive D profiles. The AT4 terminals contain rounded synaptic vesicles and make asymmetrical synaptic contacts with DRN, with DCSV, and with D profiles. A fifth, rarely observed category of terminals (AT5) contain both clear synaptic vesicles and a large number of dense-core vesicles. Synaptic triads involving AT1, AT2 or AT4 terminals are rare. Our findings are compared to these of previous studies of the fine structure and immunochemical properties of the retinorecipient layers of the optic tectum or superior colliculus of Gnathostomes.

This is a preview of subscription content, access via your institution.

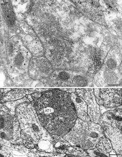
Fig. 1
Fig. 2
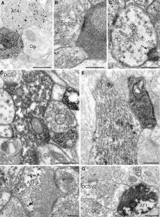
Fig. 3
Fig. 4
Fig. 5
Fig. 6
Fig. 7
Fig. 8
Fig. 9
Fig. 10
Fig. 11
Fig. 12
Fig. 13
Fig. 14

Abbreviations

AOA:

Area optica accessoria

AT1:

Type 1 axon terminals

AT2:

Type 2 axon terminals

AT3:

Type 3 axon terminals

AT4:

Type 4 axon terminals

AT5:

Type 5 axon terminals

AX2:

Axon of type 2 terminal

AXg:

GABA-immunoreactive axon

BA:

Background immunolabelling

CGL:

Corpus geniculatum laterale

CH:

Cerebral hemisphere

CV:

Centrifugal visual pathway

D:

Conventional dendrite

DCSV:

Dendrite of interneuron containing synaptic vesicles

DCSV1:

Dendrite of interneuron containing synaptic vesicles of the first type

DCSV2:

Dendrite of interneuron containing synaptic vesicles of the second type

Dg+:

Conventional GABA-immunoreactive dendrite of interneuron

Dg−:

Conventional GABA-immunonegative dendrite of efferent neuron

DG+:

Conventional glutamate-immunoreactive dendrite of efferent neuron

DG−:

Conventional glutamate-immunonegative dendrite of interneuron

DRN:

HRP-labelled dendrite of the centrifugal neurons of RMA

DRNg+:

HRP-labelled GABA-immunoreactive dendrite of the centrifugal neurons of RMA

GABA:

γ-Aminobutyric acid

HI:

Horizontal interneurons

HRP:

Horseradish peroxidase

HY:

Hypothalamus

INS:

Soma of interneuron

ir:

Immunoreactive

M5:

Centrifugal visual neurons of the nucleus M5 of Schober

MT:

Mesencephalic tegmentum

NP:

Nucleus preopticus

NPO:

Nucleus of the postoptic commissure

NPR:

Nucleus pretectalis

OB:

Olfactory bulb

OC:

Optic chiasma

OF:

Optic fibre

ON:

Optic nerve

PCSV:

Profiles containing synaptic vesicles

PNS:

Soma of projecting neuron

RI:

Radial interneurons

RITC:

Rhodamine β-isothiocyanate

RMA:

Centrifugal visual neurons of the reticular mesencephalic area

RP:

Retinal projections

TO:

Tectum opticum

SCE:

Stratum cellulare ependimale

SCFC:

Stratum cellulare et fibrosum centrale

SCFE:

Stratum cellulare et fibrosum externum

SCFI:

Stratum cellulare et fibrosum internum

SCP:

Stratum cellulare periventriculare

SFP:

Stratum fibrosum periventriculare

SM:

Stratum marginale

References

  • Abercrombie M (1946) Estimation of nuclear population from microtome sections. Anat Rec 94:239–247. doi:10.1002/ar.1090940210

    Google Scholar 

  • Acheson DW, Kemplay SK, Webster KE (1980) Quantitative analysis of optic terminal profile distribution within the pigeon optic tectum. Neuroscience 5:1067–1084. doi:10.1016/0306-4522(80)90187-6

    PubMed  CAS  Google Scholar 

  • Adams JC (1981) Heavy metal intensification of DAB-based reaction product. J Histochem Cytochem 29:775

    PubMed  CAS  Google Scholar 

  • Airhart MJ, Kriebel RM (1984) Retinal terminals in the goldfish optic tectum: identification and characterization. J Comp Neurol 226:377–390. doi:10.1002/cne.902260307

    PubMed  CAS  Google Scholar 

  • Angaut P, Repérant J (1976) Fine structure of the optic fibre termination layers in the pigeon optic tectum: a Golgi and electron microscope study. Neuroscience 1:93–105. doi:10.1016/0306-4522(76)90003-8

    PubMed  CAS  Google Scholar 

  • Antal M (1991) Distribution of GABA immunoreactivity in the optic tectum of the frog: a light and electron microscopic study. Neuroscience 42:879–891. doi:10.1016/0306-4522(91)90051-O

    PubMed  CAS  Google Scholar 

  • Ariens-Kappers CV, Huber GC, Crosby EC (1936) The comparative anatomy of the nervous system including man. Hafner, New York

    Google Scholar 

  • Behan M (1980) An EM-autoradiographic analysis of the corticocollicular terminals in the cat. Soc Neurosci Abstr 6:480

    Google Scholar 

  • Behan M (1981) Identification and distribution of retinocollicular terminals in the cat: an electron microscopic autoradiographic analysis. J Comp Neurol 199:1–15. doi:10.1002/cne.901990102

    PubMed  CAS  Google Scholar 

  • Bennis M, Calas A, Geffard M, Gamrani H (1991) Distribution of GABA immunoreactive system in the forebrain and midbrain of the chameleon. Brain Res Bull 26:891–898. doi:10.1016/0361-9230(91)90254-H

    PubMed  CAS  Google Scholar 

  • Binns KE, Salt TE (1994) Excitatory amino-acid receptors participate in synaptic transmission of visual responses in the superficial layers of the cat superior colliculus. Eur J Neurosci 6:161–169. doi:10.1111/j.1460-9568.1994.tb00257.x

    PubMed  CAS  Google Scholar 

  • Bondy SC, Purdy JL (1977) Putative neurotransmitters of the avian visual pathway. Brain Res 119:417–426. doi:10.1016/0006-8993(77)90320-1

    PubMed  CAS  Google Scholar 

  • Cahill GM, Menaker M (1989) Effects of excitatory amino acid receptor antagonists and agonists on suprachiasmaticus nucleus responses to retinohypothalamic tract volleys. Brain Res 479:76–82. doi:10.1016/0006-8993(89)91337-1

    PubMed  CAS  Google Scholar 

  • Canzek V, Wolfensberger M, Amsler V, Cuénod M (1981) In vivo release of glutamate and aspartate following optic nerve stimulation. Nature 293:572–574. doi:10.1038/293572a0

    PubMed  CAS  Google Scholar 

  • Colonnier M (1968) Synaptic pattern on different cell types in the different laminae of the cat visual cortex. An electron-microscopic study. Brain Res 9:268–287. doi:10.1016/0006-8993(68)90234-5

    PubMed  CAS  Google Scholar 

  • de Miguel E, Rodicio MC, Anadón R (1990) Organization of the visual system in larval lampreys: an HRP study. J Comp Neurol 302:529–542. doi:10.1002/cne.903020309

    PubMed  Google Scholar 

  • Debski EA, Cline HT, Constantine-Paton M (1987) Kynurenic acid blocks retinal-tectal transmission in Rana pipiens. Soc Neurosci Abstr 13:1691

    Google Scholar 

  • Domenici L, Waldvogel HJ, Matute C, Streit P (1988) Distribution of GABA-like immunoreactivity in the pigeon brain. Neuroscience 25:931–950. doi:10.1016/0306-4522(88)90047-4

    PubMed  CAS  Google Scholar 

  • Dye TC, Karten HJ (1996) An in vitro study of retinotectal transmission in the chick: role of glutamate and GABA in evoked field potentials. Vis Neurosci 13:747–775

    PubMed  CAS  Google Scholar 

  • Ebbesson SOE (1970) On the organization of central visual pathways in vertebrates. Brain Behav Evol 3:178–194. doi:10.1159/000125470

    PubMed  CAS  Google Scholar 

  • Ebbesson SOE (1972) A proposal for a common nomenclature for some optic nuclei in vertebrates and the evidence for a common origin of two such cell groups. Brain Behav Evol 6:75–91. doi:10.1159/000123698

    PubMed  CAS  Google Scholar 

  • Felix D, Frangi V (1977) Dimethoxyaporphine as an antagonist of chemical excitation in the pigeon optic tectum. Neurosci Lett 4:347–350. doi:10.1016/0304-3940(77)90182-3

    PubMed  CAS  Google Scholar 

  • Fonnum F, Henke H (1982) The topographical distribution of alanine, aspartate, gamma-aminobutyric acid, glutamate, glutamine and glycine in the pigeon optic tectum and the effect of retinal ablation. J Neurochem 38:1130–1134. doi:10.1111/j.1471-4159.1982.tb05358.x

    PubMed  CAS  Google Scholar 

  • Forey PL, Janvier P (1993) Agnathans and the origin of jawed vertebrates. Nature 361:129–134. doi:10.1038/361129a0

    Google Scholar 

  • Franzoni MF, Morino P (1989) The distribution of GABA-like-immunoreactive neurons in the brain of the newt, Triturus cristatus carnifex and the green frog, Rana esculenta. Cell Tissue Res 255:155–166. doi:10.1007/BF00229077

    PubMed  CAS  Google Scholar 

  • Funke K, Eysel UT, Fitzgibbon T (1991) Retinogeniculate transmission by NMDA and non-NMDA receptors in the cat. Brain Res 547:229–238. doi:10.1016/0006-8993(91)90966-Y

    PubMed  CAS  Google Scholar 

  • Gábriel R, Straznicky C (1995) Synapses of optic axons with GABA- and Glutamate- containing elements in the optic tectum of Bufo marinus. J Hirnforsch 36:329–340

    PubMed  Google Scholar 

  • Graham J, Casagrande VA (1980) A light and electron microscopic study of the superficial layers of the superior colliculus of the tree shrew (Tupaia glis). J Comp Neurol 191:133–151. doi:10.1002/cne.901910108

    PubMed  CAS  Google Scholar 

  • Granda R, Crossland WJ (1989) GABA-like immunoreactivity of neurons in the chicken diencephalon and mesencephalon. J Comp Neurol 287:455–469. doi:10.1002/cne.902870405

    PubMed  CAS  Google Scholar 

  • Grantyn R, Perouansky M, Lin HD, Hablitz JJ (1987) Glutamate-induced ionic currents in cultured neurons from the rat superior colliculus. Brain Res 420:182–187. doi:10.1016/0006-8993(87)90258-7

    PubMed  CAS  Google Scholar 

  • Gray EG (1959) Axo-somatic and axo-dendritic synapses of the cerebral cortex. an electron-microscopy study. J Anat Lond 93:420–433

    CAS  Google Scholar 

  • Guillery RW (2002) On counting and counting errors. J Comp Neurol 447:1–7. doi:10.1002/cne.10221

    PubMed  CAS  Google Scholar 

  • Gundersen HJ (1978) Estimators of the number of objects per area unbiased by edge effects. Microsc Acta 81:107–117

    PubMed  CAS  Google Scholar 

  • Hartveit E, Heggelund P (1990) Neurotransmitter receptors mediating excitatory input to cells in the cat lateral geniculate nucleus. II. Nonlagged cells. J Neurophysiol 63:1361–1372

    PubMed  CAS  Google Scholar 

  • Heggelund P, Hartveit E (1990) Neurotransmitter receptors mediating excitatory input to cells in the cat lateral geniculate nucleus I. Lagged cells. J Neurophysiol 63:1347–1360

    PubMed  CAS  Google Scholar 

  • Heier P (1948) Fundamental principles in the structure of the brain. A study of the brain of Petromyzon fluviatilis. Acta Anat Suppl (Basel) 8:1–213

    Google Scholar 

  • Henke H, Schenker TM, Cuénod M (1976) Effects of retinal ablation on uptake of glutamate, glycine, GABA, proline and choline in pigeon tectum. J Neurochem 26:131–134

    PubMed  CAS  Google Scholar 

  • Hestrin S (1992) Developmental regulation of NMDA receptor mediated synaptic currents at a central synapse. Nature 357:686–689. doi:10.1038/357686a0

    PubMed  CAS  Google Scholar 

  • Houser CR, Lee M, Vaughn JE (1983) Immunocytochemical localisation of glutamic acid decarboxylase in normal and deafferented colliculus evidence for reorganization of γ-aminobutyric acid synapses. J Neurosci 3:2030–2042

    PubMed  CAS  Google Scholar 

  • Huerta MF, Harting JK (1984) The mammalian superior colliculus: studies of its morphology and connections. In: Vanagas H (ed) Comparative neurology of the optic tectum. Plenum Press, New York, pp 687–773

    Google Scholar 

  • Ingham CA, Güldner FH (1981) Identification and morphometric evaluation of the synapses of optic nerve afferents in the optic tectum of the axolotl (Ambystoma mexicanum). Cell Tissue Res 214:593–611. doi:10.1007/BF00233499

    PubMed  CAS  Google Scholar 

  • Ito H, Butler AB, Ebbesson SOE (1980) An ultrastructural study of the normal synaptic organization of the optic tectum and degenerating tectal afferents from retina, telencephalon and contralateral tectum in a teleost, Holocentrus rufus. J Comp Neurol 191:639–659. doi:10.1002/cne.901910409

    PubMed  CAS  Google Scholar 

  • Iwahori N, Kawasaki T, Baba J (1999) Neuronal organization of the optic tectum in the river lamprey, Lampetra japonica: A Golgi study. J Hirnforsch 39:409–424

    PubMed  CAS  Google Scholar 

  • Janvier P (1996) Early Vertebrates. Oxford University Press, Oxford

    Google Scholar 

  • Jeon CJ, Gurski MR, Mize RR (1997) Glutamate containing neurons in the cat superior colliculus revealed by immunocytochemistry. Vis Neurosci 14:387–393

    PubMed  CAS  Google Scholar 

  • Johnston JB (1902) The brain of petromyzon. J Comp Neurol 12:1–86. doi:10.1002/cne.910120102

    Google Scholar 

  • Kageyama GH, Meyer RL (1989) Glutamate-immunoreactivity in the retina and optic tectum of goldfish. Brain Res 503:118–127. doi:10.1016/0006-8993(89)91711-3

    PubMed  CAS  Google Scholar 

  • Kalloniatis M, Fletcher EL (1993) Immunocytochemical localisation of the amino-acid neurotransmitters in the chicken retina. J Comp Neurol 336:174–193. doi:10.1002/cne.903360203

    PubMed  CAS  Google Scholar 

  • Karamian AI, Vesselkin NP, Agayan AL (1984) Electrophysiological and behavioural studies of the optic tectum in Cyclostomes. In: Vanegas H (ed) Comparative neurology of the optic tectum. Plenum Press, New York, pp 15–32

    Google Scholar 

  • Kenigfest NB, Repérant J, Rio JP, Belelkova MG, Ward R, Vesselkin NP, Miceli D, Herbin M (1998) Retinal and cortical afferents to the dorsal lateral geniculate nucleus of the turtle, Emys orbicularis: a combined axonal tracing glutamate and GABA immunocytochemical electron microscopic study. J Comp Neurol 391:470–490. doi:10.1002/(SICI)1096-9861(19980222)391:4<470::AID-CNE5>3.0.CO;2-Y

    PubMed  CAS  Google Scholar 

  • Kennedy MC, Rubinson K (1977) Retinal projections in larval, transforming and adult sea lamprey, Petromyzon marinus. J Comp Neurol 171:465–468. doi:10.1002/cne.901710404

    PubMed  CAS  Google Scholar 

  • Kennedy MC, Rubinson K (1984) Development and structure of the lamprey optic tectum. In: Vanegas H (ed) Comparative neurology of the optic tectum. Plenum Press, New York, pp 1–13

    Google Scholar 

  • Kim YI, Dudek FE (1991) Intracellular electrophysiological study of the suprachiasmaticus nucleus neurons in rodents: excitatory synaptic mechanisms. J Physiol 444:269–287

    PubMed  CAS  Google Scholar 

  • Kosareva AA (1980) Retinal projections in lamprey (Lampetra fluviatilis). J Hirnforsch 21:243–256

    PubMed  CAS  Google Scholar 

  • Kosareva AA, Vesselkin NP, Ermakova TV (1977) Retinal projection in the lamprey Lampetra fluviatilis, as revealed by horseradish peroxidase transport along the optic nerve. Zh Evol Biokhim Fisiol Leningrad 13:405–407 In Russian

    CAS  Google Scholar 

  • Kwon YH, Esguerra M, Sur M (1991) NMDA and non NMDA receptors mediated visual geniculate nucleus. J Neurophysiol 66:414–428

    PubMed  CAS  Google Scholar 

  • Langsdon RB, Freeman JA (1986) Antagonists of glutamatergic neurotransmission block retinotectal transmission in goldfish. Brain Res 398:169–174. doi:10.1016/0006-8993(86)91263-1

    Google Scholar 

  • Lázár GY (1984) Structure and connections of the frog optic tectum. In: Vanegas H (ed) Comparative neurology of the optic tectum. Plenum Press, New York, pp 185–210

    Google Scholar 

  • Leghissa S (1962) La structure della corteccia mesencefalica dei ciclostomi selaci ed urodeli. Att Accad Sci Ist Bologna Cl Sci Fis Ser II 9:123–152

    Google Scholar 

  • Lund R (1969) Synaptic patters of the superficial layers of the superior colliculus of the rat. J Comp Neurol 135:179–208. doi:10.1002/cne.901350205

    PubMed  CAS  Google Scholar 

  • Lund R (1972) Synaptic patters of the superficial layers of the superior colliculus of the monkey, Macaca mulatta. Exp Brain Res 15:194–211. doi:10.1007/BF00235582

    PubMed  CAS  Google Scholar 

  • Mathers LH Jr (1977) Retinal and visual cortical projections to the superior colliculus of the rabbit. Exp Neurol 57:698–712. doi:10.1016/0014-4886(77)90103-0

    PubMed  Google Scholar 

  • Mayhew TM (1979) Sterological approach to the study of synapse morphometry with particular regard to estimating number in a volume and on the surface. J Neurocytol 8:121–138. doi:10.1007/BF01175556

    PubMed  CAS  Google Scholar 

  • Médina M, Repérant J, Dufour S, Le Belle N, Miceli D (1994) The distribution of GABA immunoreactive neurons in the brain of the silver eel (Anguilla anguilla). Anat Embryol (Berl) 189:25–39. doi:10.1007/BF00193127

    Google Scholar 

  • Médina M, Repérant J, Ward R, Miceli D (2004) The centrifugal visual system of Crocodylus niloticus: a hodological, histochemical and immunocytochemical study. J Comp Neurol 468:65–85. doi:10.1002/cne.10959

    PubMed  Google Scholar 

  • Meek J (1981) A Golgi-electron microscopic study of goldfish optic tectum. I. Description of afferents, cell types and synapses. J Comp Neurol 199:149–173. doi:10.1002/cne.901990202

    PubMed  CAS  Google Scholar 

  • Mesulam MM (1982) Principles of horseradish peroxydase neurohistochemistry and their applications for tracing pathways–axonal transport, enzyme histochemistry and light microscopic analysis. In: Mesulam MM (ed) Tracing Neuronal Connections with Horseradish Peroxydase. John Wiley & Sons, New York, pp 1–151

    Google Scholar 

  • Miceli D, Repérant J, Rio JP, Hains P, Médina M (2002) Serotonin immunoreactivity in the retinal projecting isthmo-optic nucleus and evidence of brainstem raphe connections in the pigeon. Brain Res 958:122–129. doi:10.1016/S0006-8993(02)03515-1

    PubMed  CAS  Google Scholar 

  • Miceli D, Repérant J, Ward R, Rio JP, Jay B, Médina M, Kenigfest NB (2008) Fine structure of the visual dorsolateral anterior thalamic nucleus of the pigeon (Columba livia): a hodological and GABA-immunochemical study. J Comp Neurol 507:1351–1378. doi:10.1002/cne.21635

    PubMed  Google Scholar 

  • Mize RR (1983) Patterns of convergence and divergence of retinal and cortical synaptic terminals in the cat superior colliculus. Exp Brain Res 51:88–96. doi:10.1007/BF00236806

    PubMed  CAS  Google Scholar 

  • Mize RR (1988) Immunocytochemical localization of gamma-aminobutyric acid (GABA) in the cat superior colliculus. J Comp Neurol 276:169–187. doi:10.1002/cne.902760203

    PubMed  CAS  Google Scholar 

  • Mize RR (1992) The organization of GABAergic neurons in the mammalian superior colliculus. Prog Brain Res 90:219–248. doi:10.1016/S0079-6123(08)63616-X

    PubMed  CAS  Google Scholar 

  • Mize RR, Butler GD (1995) N-methyl-D-aspartate receptor localization identified using antibody immunocytochemistry, is primarily postsynaptic in the cat superior colliculus. Soc Neurosci Abstr 21:1618

    Google Scholar 

  • Mize RR, Butler GD (1996) Postembedding immunocytochemistry demonstrates directly that both retinal and cortical terminals in the cat superior colliculus are glutamate immunoreactive. J Comp Neurol 371:633–648. doi:10.1002/(SICI)1096-9861(19960805)371:4<633::AID-CNE11>3.0.CO;2-K

    PubMed  CAS  Google Scholar 

  • Mize RR, Spencer RF, Sterling P (1982) Two types of GABA-accumulating neurons in the superficial gray layer of the cat superior colliculus. J Comp Neurol 206:180–192. doi:10.1002/cne.902060207

    PubMed  CAS  Google Scholar 

  • Mize RR, Jeon CJ, Hamada OL, Spencer RF (1991) Organization of neurons labelled by antibodies to gamma-aminobutyric acid (GABA) in the superior colliculus of the Rhesus monkey. Vis Neurosci 6:75–92

    PubMed  CAS  Google Scholar 

  • Mize RR, Whitworth RH, Nunes-Cardozo B, van der Want (1994) Ultrastructural organization of GABA in the rabbit superior colliculus revealed by quantitative postembedding immunocytochemistry. J Comp Neurol 341:273–287. doi:10.1002/cne.903410211

  • Montero VM (1990) Quantitative immunogold analysis reveals high glutamate levels in synaptic terminals of retino-geniculate cortico-geniculate and geniculo-cortical axons in the cat. Vis Neurosci 4:437–443

    PubMed  CAS  Google Scholar 

  • Montero VM (1994) Quantitative immunogold evidence for enrichment of glutamate but not aspartate in synaptic terminals of retino-geniculate, geniculo-cortical and cortico-geniculate axons in the cat. Vis Neurosci 11:675–681

    PubMed  CAS  Google Scholar 

  • Montero VM, Wenthold RJ (1989) Quantitative immunogold analysis reveals high glutamate levels in retinal and cortical synaptic terminals in the lateral geniculate nucleus of the macaque. Neuroscience 31:639–647. doi:10.1016/0306-4522(89)90429-6

    PubMed  CAS  Google Scholar 

  • Morino P, Bahro M, Cuénod M, Streit P (1991) Glutamate like immunoreactivity in the pigeon optic tectum and effect of retinal ablation. Eur J NeuroSci 3:366–378. doi:10.1111/j.1460-9568.1991.tb00824.x

    PubMed  Google Scholar 

  • Mugnaini E, Oertel WH (1985) An atlas of the distribution of Gabaergic neurons and terminals in the rat CNS as revealed by GAD immunhistochemistry. In: Björklund A, Hökfeld T (eds) Handbook of Chemical Neuroanatomy. GABA and Neuropeptides in the CNS, vol. 4, part I. Elsevier, Amsterdam, New York, Oxford, pp 436–622

    Google Scholar 

  • Murphy PC, Salt TE, Sillito AM (1989) Contribution of both NMDA and non NMDA receptors to transmission of the visual input to X and Y cells in the anesthetized feline dorsal lateral geniculate nucleus. Proc Physiol Soc J Physiol 415:46

    Google Scholar 

  • Murray M, Edwards MA (1982) A quantitative study of the reinnervation of the godfish optic tectum following optic nerve crush. J Comp Neurol 209:363–373. doi:10.1002/cne.902090406

    PubMed  CAS  Google Scholar 

  • Nieuwenhuys R (1977) The brain of the lamprey in a comparative perspective. Ann N Y Acad Sci 299:97–145. doi:10.1111/j.1749-6632.1977.tb41902.x

    PubMed  CAS  Google Scholar 

  • Nieuwenhuys R, Nicholson C (1998) Lampreys, Petromyzontidae. In: Nieuwenhuys R, Ten Donkelaar HJ, Nicholson C (eds) The central nervous system of vertebrates, vol 1, chap 10. Springer, New York, pp 397–495

  • Northcutt RG, Przybylski RJ (1973) Retinal projection in the lamprey Petromyzon marinus L. Anat Rec 175:400

    Google Scholar 

  • Northcutt RG, Wicht H (1997) Afferent and efferent connections of the lateral and medial pallia of the silver lamprey. Brain Behav Evol 49:1–19. doi:10.1159/000112978

    PubMed  CAS  Google Scholar 

  • Ortega F, Hennequet L, Sarria R, Streit P, Grandes P (1995) Changes in the pattern of glutamate-like immunoreactivity in rat superior colliculus following retinal and visual cortical lesions. Neuroscience 67:125–134. doi:10.1016/0306-4522(95)00057-P

    PubMed  CAS  Google Scholar 

  • Ottersen OP (1987) Post-embedding light- and electron microscopic immunocytochemistry of amino acids: description of a new model allowing identical conditions for specificity testing and tissue processing. Exp Brain Res 69:167–174. doi:10.1007/BF00247039

    PubMed  CAS  Google Scholar 

  • Ottersen OP (1989) Quantitative electron microscopic immunocytochemistry of neuroactive amino acids. Anat Embryol (Berl) 180:1–15. doi:10.1007/BF00321895

    CAS  Google Scholar 

  • Ottersen OP, Storm-Mathisen J (1984) Glutamate and GABA-containing neurons in the mouse and the rat brain as demonstrated with a new immunocytochemistry technique. J Comp Neurol 229:374–392. doi:10.1002/cne.902290308

    PubMed  CAS  Google Scholar 

  • Papadopoulos GC, Parnavelas JG (1990) Distribution and synaptic organization of serotoninergic and noradrenergic axons in the lateral geniculate nucleus of the rat. J Comp Neurol 294:345–355. doi:10.1002/cne.902940304

    PubMed  CAS  Google Scholar 

  • Pásik P, Pásik T, Holstein GR (1988) Serotonin immunoreactivity in the monkey lateral geniculate nucleus. Exp Brain Res 69:662–666. doi:10.1007/BF00247318

    PubMed  Google Scholar 

  • Perouansky M, Grantyn R (1990) Is GABA release modulated by presynaptic excitatory amino-acid receptors? Neurosci Lett 113:292–297. doi:10.1016/0304-3940(90)90600-E

    PubMed  CAS  Google Scholar 

  • Peters A, Palay SL, de Webster HFF (1970) The fine structure of the nervous system. The cells and their processes. Harper and Row, New York

    Google Scholar 

  • Peyrichoux J, Pierre J, Repérant J, Rio JP (1986) Fine structure of the optic fiber termination layer in the tectum of the teleost Rutilus: a stereological and morphometric study. J Comp Neurol 246:364–381. doi:10.1002/cne.902460306

    PubMed  CAS  Google Scholar 

  • Pfister C (1971) Die Matrixentwicklung in Mes- und Rhombencephalon von Lampetra planeri (Bloch) (Cyclostomata) im Verlaufe des Individualzyklus. J Hirnforsch 13:377–383

    PubMed  Google Scholar 

  • Pierre J, Repérant J, Ward R, Vesselkin NP, Rio JP, Miceli D, Kratskin I (1992) The serotoninergic system of the brain of the lamprey, Lampetra fluviatilis: an evolutionary perspective. J Chem Neuroanat 5:195–219. doi:10.1016/0891-0618(92)90046-S

    PubMed  CAS  Google Scholar 

  • Pinard R, Benfares J, Lanoir J (1991) Electron microscopic study of GABA-immunoreactive neural process in the superficial gray layer of the rat superior colliculus their relationship with degenerating retinal nerve endings. J Neurocytol 20:262–276. doi:10.1007/BF01235544

    PubMed  CAS  Google Scholar 

  • Polenova OA, Vesselkin NP (1993) Olfactory and no olfactory projections in the river lamprey (Lampetra fluviatilis) telencephalon. J Hirnforsch 34:261–279

    PubMed  CAS  Google Scholar 

  • Repérant J, Angaut P (1977) The retinotectal projections in the pigeon. An experimental optical and electron microscope study. Neuroscience 2:119–140. doi:10.1016/0306-4522(77)90073-2

    PubMed  Google Scholar 

  • Repérant J, Vesselkin NP, Ermakova TV, Kenigfest NB, Kosareva AA (1980) Radioautographic evidence for both orthograde and retrograde axonal transport of label compounds after intraocular injection of [3H] proline in the lamprey (Lampetra fluviatilis). Brain Res 200:179–183. doi:10.1016/0006-8993(80)91105-1

    PubMed  Google Scholar 

  • Repérant J, Peyrichoux J, Rio JP (1981) Fine structure of the superficial layers of the viper optic tectum. A Golgi and electron microscopic study. J Comp Neurol 199:393–417. doi:10.1002/cne.901990306

    PubMed  Google Scholar 

  • Repérant J, Vesselkin NP, Kenigfest NB, Miceli D, Rio JP (1982) Bidirectional axonal and transcellular transport of [3H] adenosine from the lamprey retina. Brain Res 246:305–310. doi:10.1016/0006-8993(82)91181-7

    PubMed  Google Scholar 

  • Repérant J, Vesselkin NP, Miceli D, Kenigfest NB, Rio JP (1985) A comparative radioautographic study of the bidirectional axonal and transcellular transport of different amino acids and sugars in the lamprey visual system. Brain Res 348:348–354. doi:10.1016/0006-8993(85)90455-X

    PubMed  Google Scholar 

  • Repérant J, Miceli D, Vesselkin NP, Molotchnikoff S (1989) The centrifugal visual system of Vertebrates. A century-old, research reviewed. Int Rev Cytol 118:115–171. doi:10.1016/S0074-7696(08)60874-8

    PubMed  Google Scholar 

  • Repérant J, Vesselkin NP, Kenigfest NB, Rio JP (1990) Modern concepts of structural evolution of the nervous system exemplified by studies on the visual system of vertebrates. Zh Evol Biokhim Fisiol Leningrad 26:514–535 In Russian

    Google Scholar 

  • Repérant J, Rio JP, Ward R, Wasowicz M, Miceli D, Médina M, Pierre J (1997) Enrichment of glutamate-like immunoreactivity in the retinotectal terminals of the viper Vipera aspis : an electron microscope quantitative immunogold study. J Chem Neuroanat 12:267–280. doi:10.1016/S0891-0618(97)00018-5

    PubMed  Google Scholar 

  • Repérant J, Ward R, Miceli D, Rio JP, Médina M, Kenigfest NB, Vesselkin NP (2006) The centrifugal visual system of vertebrates: a comparative analysis of its functional anatomical organization. Brain Res Brain Res Rev 52:1–57. doi:10.1016/j.brainresrev.2005.11.008

    Google Scholar 

  • Repérant J, Médina M, Ward R, Miceli D, Kenigfest NB, Rio JP, Vesselkin NP (2007) The evolution of the centrifugal visual system of vertebrates. A cladistic analysis and new hypotheses. Brain Res Brain Res Rev 53:161–197. doi:10.1016/j.brainresrev.2006.08.004

    Google Scholar 

  • Reubi JC (1980) Comparative study of the release of glutamate and GABA newly synthetized from glutamate in various regions of the central nervous system. Neuroscience 5:2145–2150. doi:10.1016/0306-4522(80)90130-X

    PubMed  CAS  Google Scholar 

  • Rio JP, Dalil N, Kirpitchnikova E, Vesselkin NP, Versaux-Botteri C, Repérant J (1992) Recherche immunocytochimique sur les mediateurs des neurones visuels centrifuges de la lamproie (Lampetra fluviatilis). CR Acad Sci Paris 315:501–511

    Google Scholar 

  • Rio JP, Vesselkin NP, Kirpitchnikova E, Kenigfest NB, Versaux-Botteri C, Repérant J (1993) Presumptive GABAergic centrifugal input to the lamprey retina: a double-labeling study with axonal tracing and GABA-immunocytochemistry. Brain Res 600:9–19. doi:10.1016/0006-8993(93)90395-4

    PubMed  CAS  Google Scholar 

  • Rio JP, Repérant J, Herbin M, Miceli D (1995) Distribution of GABA immunoreactivity in the retino-recipient layer of the viper optic tectum. A light and electronic microscope quantitative study. Anat Embryol (Berl) 191:251–265. doi:10.1007/BF00187824

    CAS  Google Scholar 

  • Rio JP, Vesselkin NP, Repérant J, Kenigfest NB, Miceli D, Adanina V (1996) Retinal and non-retinal inputs upon retinopetal RMA neurons in the lamprey: a light and electron microscopic study combining HRP axonal tracing and GABA immunocytochemistry. J Chem Neuroanat 12:51–57. doi:10.1016/S0891-0618(96)00177-9

    PubMed  CAS  Google Scholar 

  • Rio JP, Repérant J, Miceli D, Médina M, Kenigfest-Rio NB (2002) Serotoninergic innervation of the isthmo-optic nucleus of the pigeon centrifugal visual system. An immunocytochemical electron microscopic study. Brain Res 924:127–131. doi:10.1016/S0006-8993(01)03262-0

    PubMed  CAS  Google Scholar 

  • Roberts WA, Eaton SA, Salt TE (1991) Excitatory amino acid receptors mediate synaptic responses to visual stimuli in superior colliculus neurons of the rat. Neurosci Lett 129:161–164. doi:10.1016/0304-3940(91)90451-X

    PubMed  CAS  Google Scholar 

  • Robertson B, Saitoh K, Ménard A, Grillner S (2006) Afferents of the lamprey optic tectum with special reference to the GABA input: combined tracing and immunohistochemical study. J Comp Neurol 499:106–119. doi:10.1002/cne.21078

    PubMed  CAS  Google Scholar 

  • Robertson B, Auclair F, Ménard A, Grillner S, Dubuc R (2007) GABA distribution in lamprey is phylogenetically conserved. J Comp Neurol 503:47–63. doi:10.1002/cne.21348

    PubMed  CAS  Google Scholar 

  • Rodicio MC, Pombal MA, Anadón R (1995) Early development and organization of the retinopetal system in larval sea lamprey, Petromyzon marinus L. An HRP study. Anat Embryol (Berl) 192:517–526. doi:10.1007/BF00187182

    CAS  Google Scholar 

  • Rubinson K (1990) The developing visual system and metamorphoses in the lamprey. J Neurobiol 21:1123–1135. doi:10.1002/neu.480210715

    PubMed  CAS  Google Scholar 

  • Rubinson K, Kennedy MC (1979) The organization of the optic tectum in larval, transforming and adult sea lamprey, Petromyzon marinus. In: Freeman RD (ed) Developmental neurobiology of vision. Plenum Press, New York, pp 359–369

    Google Scholar 

  • Sakurai T, Okada Y (1992) Selective reduction of glutamate in the rat superior colliculus and dorsal lateral geniculate nucleus after contralateral enucleation. Brain Res 573:197–203. doi:10.1016/0006-8993(92)90763-Y

    PubMed  CAS  Google Scholar 

  • Sakurai T, Miyamoto T, Okada Y (1990) Reduction of glutamate content in rat superior colliculus after retino-tectal denervation. Neurosci Lett 109:299–303. doi:10.1016/0304-3940(90)90011-W

    PubMed  CAS  Google Scholar 

  • Sandberg M, Jacobson I, Hamberger A (1982) Release of endogenous amino-acids from superior colliculus of the rabbit. In vitro studies after retinal ablation. J Neurochem 40:917–921. doi:10.1111/j.1471-4159.1983.tb08074.x

    Google Scholar 

  • Schmidt M (1991) Mediation of visual responses in the nucleus of the optic tract in cats and rats by excitatory amino-acid receptors. Neurosci Res 12:111–121. doi:10.1016/0168-0102(91)90104-7

    PubMed  CAS  Google Scholar 

  • Schober W (1964) Vergleichend-anatomische untersuchungen am Gehirn der larven und adulten Tiere von Lampetra fluviatilis (Linné 1758) und Lampetra planeri (Bloch, 1784). J Hirnforsch 7:107–209

    PubMed  CAS  Google Scholar 

  • Schönitzer K, Holländer H (1984) Retinotectal terminals in the superior colliculus of the rabbit: A light and electron microscopic analysis. J Comp Neurol 223:153–162. doi:10.1002/cne.902230202

    PubMed  Google Scholar 

  • Seguela P, Geffard M, Buijs RM, Le Moal ML (1984) Antibodies against gamma-aminobutyric acid: specificity studies and immunocytochemical results. Proc Natl Acad Sci USA 81:3888–3892. doi:10.1073/pnas.81.12.3888

    PubMed  CAS  Google Scholar 

  • Sherman SM (2004) Interneurons and triadic circuitry of the thalamus. Trends Neurosci 27:670–675. doi:10.1016/j.tins.2004.08.003

    PubMed  CAS  Google Scholar 

  • Sherry DM, Ulshafer RJ (1992) Neurotransmitter-specific identification and characterization of neurons in the all-cone retina of Anolis carolinensis. II. glutamate and aspartate. Vis Neurosci 9:313–323

    PubMed  CAS  Article  Google Scholar 

  • Shibata S, Liou SY, Ueki S (1986) Influence of excitatory amino-acid receptor antagonists and baclofen on synaptic transmission in optic nerve of the suprachiasmatic nucleus in slices of rat hypothalamus. Neuropharmacology 25:403–409. doi:10.1016/0028-3908(86)90235-2

    PubMed  CAS  Google Scholar 

  • Sillito AM, Murphy PC, Salt TE (1990a) The contribution of the non-NMDA group of excitatory amino-acid receptors to retinogeniculate transmission in the cat. Neuroscience 34:273–280. doi:10.1016/0306-4522(90)90137-S

    PubMed  CAS  Google Scholar 

  • Sillito AM, Murphy PC, Salt TE, Moady CI (1990b) The dependence of retinogeniculate transmission in the cat on NMDA receptors. J Neurophysiol 63:347–355

    PubMed  CAS  Google Scholar 

  • Sterling P (1971) Receptive fields and synaptic organization of the superficial gray layer of the cat superior colliculus. Vision Res Suppl 3:309–328. doi:10.1016/0042-6989(71)90048-4

    Google Scholar 

  • Sternberger LA, Hardy PH Jr, Cuculis J, Meyer HG (1970) The unlabeled antibody enzyme method of immunochemistry: preparation and properties of soluble antigen-antibody complex (horseradish peroxydase-antiperoxydase) and its use in identification of spirochetes. J Histochem Cytochem 18:315–334

    PubMed  CAS  Google Scholar 

  • Storm-Mathisen J, Ottersen OP (1990) Immunocytochemistry of glutamate at the synaptic level. J Histochem Cytochem 38(1):733–743

    Google Scholar 

  • Streit P, Knecht E, Reubi JC, Hunt SP, Cuénod M (1978) GABA specific presynaptic dendrites in the pigeon optic tectum: a high-resolution autoradiographic study. Brain Res 149:204–210. doi:10.1016/0006-8993(78)90599-1

    PubMed  CAS  Google Scholar 

  • Székely G, Sétaló G, Gy Lázár (1973) Fine structure of the frog’s optic tectum: optic fibre termination layers. J Hirnforsch 14:189–225

    PubMed  Google Scholar 

  • Tigges M, Tigges J (1975) Presynaptic dendrite cells and two other classes of neurons in the superficial layers of the superior colliculus of the chimpanzee. Cell Tissue Res 162:279–295. doi:10.1007/BF00220175

    PubMed  CAS  Google Scholar 

  • Tigges M, Tigges J, Luttrell GL, Frazier CM (1973) Ultrastructural changes in the superficial layers of the superior colliculus in Galago crassicaudatus (Primates) after eye enucleation. Z Zellforsch 140:291–307. doi:10.1007/BF00307019

    PubMed  CAS  Google Scholar 

  • Toggenburger G, Felix D, Cuénod M, Henke H (1982) In vivo release of endogenous β-alanine, GABA and glutamate and electrophysiological effect of β-alanine in pigeon optic tectum. J Neurochem 39:176–183. doi:10.1111/j.1471-4159.1982.tb04716.x

    PubMed  CAS  Google Scholar 

  • Tömböl T (1998) Golgi and electron-microscopic Golgi-GABA immunostaining study of the avian optic tectum. Acta Anat (Basel) 162:209–225. doi:10.1159/000046436

    Google Scholar 

  • Tömböl T, Németh A (1999) Direct connections between dendrite terminals of tectal ganglion cells and glutamate-positive terminals of presumed optic fibres in layers 4–5 of the optic tectum of Gallus domesticus. A light-and electron microscopic study. Neurobiology 7:45–67

    PubMed  Google Scholar 

  • Tömböl T, Eyre M, Zayats N, Németh A (2003) The ramifications and terminals of optic fibres in layers 2 and 3 of the avian optic tectum: a Golgi and light and electron microscopic anterograde tracer study. Cells Tissues Organs 175:202–222. doi:10.1159/000074942

    PubMed  Google Scholar 

  • Uchiyama H (1989) Centrifugal pathways to the retina: influence of the tectum. Vis Neurosci 3:183–206

    PubMed  CAS  Google Scholar 

  • Underwood EE (1970) Quantitative stereology. Addison-Wesly, Reading

    Google Scholar 

  • Valverde F (1973) The neuropil in superficial layers of the superior colliculus of the mouse. Z Anat Entwickl Gesch 142:117–147. doi:10.1007/BF00519719

    CAS  Google Scholar 

  • van Deusen EB, Meyer RL (1988) Differential effects of KA/QA, NMDA and APB receptor antagonists on optic and toral afferent stimulated activity on goldfish tectal neurons in vitro. Soc Neurosci Abstr 14:96

    Google Scholar 

  • Vanegas H, Ebbesson SOE, Laufer M (1984) Morphological aspects of the teleostean optic tectum. In: Vanegas H (ed) Comparative neurology of the optic tectum. Plenum Press, New York, pp 93–120

    Google Scholar 

  • Veenman CL, Reiner A (1994) The distribution of GABA-containing perikarya, fibres and terminals in the forebrain and midbrain of the pigeon, with particular reference to the basal ganglion and its projection targets. J Comp Neurol 339:209–250

    PubMed  CAS  Google Scholar 

  • Vesselkin NP, Ermakova TV, Repérant J, Kosareva AA, Kenigfest NB (1980) The retinofugal and retinopetal system in Lampetra fluviatilis. An experimental study using radioautographic and HRP methods. Brain Res 195:453–460

    PubMed  CAS  Google Scholar 

  • Vesselkin NP, Repérant J, Kenigfest NB, Miceli D, Ermakova TV, Rio JP (1984) An anatomical and electrophysiological study of the centrifugal visual system in the lamprey (Lampetra fluviatilis). Brain Res 292:41–56

    PubMed  CAS  Google Scholar 

  • Vesselkin NP, Rio JP, Repérant J, Kenigfest NB, Adanina VO (1996) Retinopetal projections in lampreys. Brain Behav Evol 48:277–286

    PubMed  CAS  Google Scholar 

  • Vrensen G, de Groot D (1977) Quantitative aspects of the synaptic organization of the superior colliculus in control and dark-reared rabbits. Brain Res 134:417–428

    PubMed  CAS  Google Scholar 

  • Wang BL, Larsson LI (1985) Simultaneous demonstration of multiple antigens by indirect fluorescence or immunogold staining: novel light and electron microscopical double and triple staining method employing primary antibodies from the same species. Histochem 83:47–56

    CAS  Google Scholar 

  • Ward R, Repérant J, Miceli D (1991) The centrifugal visual system: what can comparative studies tell us about evolution and possible function? In: Bagnoli P, Hodos W (eds) The changing visual system. Plenum Press, New York, pp 61–76

    Google Scholar 

  • Weibel ER (1979) Stereological methods. I. Practical methods for biological morphometry. Academic Press, London

    Google Scholar 

  • Williams RW, Rakic P (1988) Three-dimensionnal counting an accurate and direct method to estimate numbers of cells in sectioned material. J Comp Neurol 278:344–352

    PubMed  CAS  Google Scholar 

Download references

Acknowledgments

We thank Denis LeCren for his extremely skilful photographic assistance. This work was supported by MNHN, CNRS (France), Academy of Sciences (Russia) NSERC (Canada).

Author information

Affiliations

Authors

Corresponding author

Correspondence to Monique Médina.

Rights and permissions

Reprints and Permissions

About this article

Cite this article

Repérant, J., Ward, R., Médina, M. et al. Synaptic circuitry in the retinorecipient layers of the optic tectum of the lamprey (Lampetra fluviatilis). A combined hodological, GABA and glutamate immunocytochemical study. Brain Struct Funct 213, 395 (2009). https://doi.org/10.1007/s00429-009-0205-9

Download citation

  • Received:

  • Accepted:

  • Published:

  • DOI: https://doi.org/10.1007/s00429-009-0205-9

Keywords

  • Lamprey
  • Optic tectum
  • Synaptic connections
  • Immunocytochemistry