Skip to main content

A novel evaluation method for Ki-67 immunostaining in paraffin-embedded tissues

Abstract

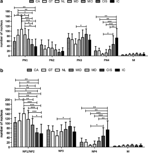
The Ki-67 labeling index is traditionally used to investigate tumor aggressiveness. However, no diagnostic or prognostic value has been associated to the heterogeneous pattern of nuclear positivity. The aims of this study were to develop a classification for the patterns of Ki-67-positive nuclei; to search scientific evidence for the Ki-67 expression and location throughout the cell cycle; and to develop a protocol to apply the classification of patterns of Ki-67-positive nuclei in squamous epithelium with different proliferative activities. Based on empirical observation of paraffin sections submitted to immunohistochemistry for the determination of Ki-67 labeling index and literature review about Ki-67 expression, we created a classification of the patterns of nuclear positivity (NP1, NP2, NP3, NP4, and mitosis). A semi-automatic protocol was developed to identify and quantify the Ki-67 immunostaining patterns in target tissues. Two observers evaluated 7000 nuclei twice to test the intraobserver reliability, and six evaluated 1000 nuclei to the interobserver evaluation. The results showed that the immunohistochemical patterns of Ki-67 are similar in the tumoral and non-tumoral epithelium and were classified without difficulty. There was a high intraobserver reliability (Spearman correlation coefficient > 0.9) and moderate interobserver agreement (k = 0.523). Statistical analysis showed that non-malignant epithelial specimens presented a higher number of NP1 (geographic tongue = 83.8 ± 21.8; no lesion = 107.6 ± 52.7; and mild dysplasia = 86.6 ± 25.8) when compared to carcinoma in Situ (46.8 ± 34.8) and invasive carcinoma (72.6 ± 37.9). The statistical evaluation showed significant difference (p < 0.05). Thus, we propose a new way to evaluate Ki-67, where the pattern of its expression may be associated with the dynamics of the cell cycle. Future proof of this association will validate the use of the classification for its possible impact on cancer prognosis and guidance on personalized therapy.

This is a preview of subscription content, access via your institution.

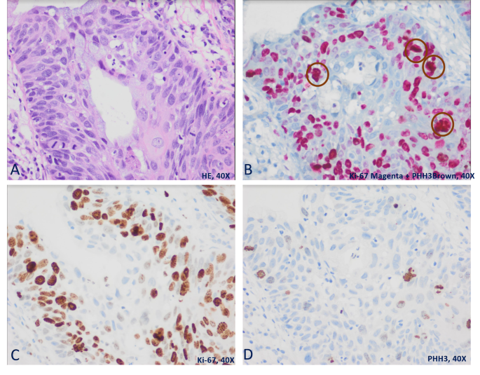
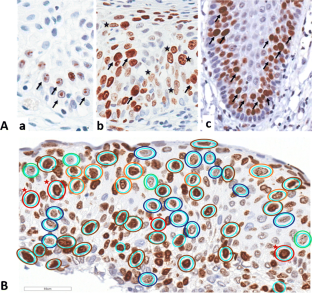
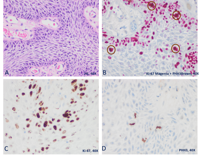
Fig. 1
Fig. 2
Fig. 3
Fig. 4
Fig. 5

References

  1. Gerdes J, Schwab U, Lemke H, Stein H (1983) Production of a mouse monoclonal antibody reactive with a human nuclear antigen associated with cell proliferation. Int J Cancer 31:13–20. https://doi.org/10.1002/ijc.2910310104

    CAS  Article  PubMed  Google Scholar 

  2. Gerdes J, Li L, Schlueter C et al (1991) Immunobiochemical and molecular biologic characterization of the cell proliferation-associated nuclear antigen that is defined by monoclonal antibody Ki-67. Am J Pathol 138:867–873

    CAS  PubMed  PubMed Central  Google Scholar 

  3. Scholzen T, Gerdes J (2000) The Ki-67 protein: from the known and the unknown. J. Cell. Physiol. 182:311–322

    CAS  Article  Google Scholar 

  4. Sobecki M, Mrouj K, Colinge J et al (2017) Cell-cycle regulation accounts for variability in Ki-67 expression levels. Cancer Res 77:2722–2734. https://doi.org/10.1158/0008-5472.CAN-16-0707

    CAS  Article  PubMed  Google Scholar 

  5. Sun X, Kaufman PD (2018) Ki-67: more than a proliferation marker. Chromosoma 127:175–186

    CAS  Article  Google Scholar 

  6. Chen G (2015) The prognostic role of Ki-67/MIB-1 in cervical cancer: a systematic review with meta-analysis. Med Sci Monit 21:882–889. https://doi.org/10.12659/msm.892807

    CAS  Article  PubMed  PubMed Central  Google Scholar 

  7. Røge R, Nielsen S, Riber-Hansen R, Vyberg M (2020) Ki-67 proliferation index in breast cancer as a function of assessment method. Appl Immunohistochem Mol Morphol Publish Ah. https://doi.org/10.1097/PAI.0000000000000846

  8. Williams GH, Stoeber K (2012) The cell cycle and cancer. J Pathol 226:352–364. https://doi.org/10.1002/path.3022

    CAS  Article  PubMed  Google Scholar 

  9. Buckley AM, Lynam-Lennon N, O’Neill H, O’Sullivan J (2020) Targeting hallmarks of cancer to enhance radiosensitivity in gastrointestinal cancers. Nat Rev Gastroenterol Hepatol 17:298–313. https://doi.org/10.1038/s41575-019-0247-2

    CAS  Article  PubMed  Google Scholar 

  10. Seiwert TY, Salama JK, Vokes EE (2007) The concurrent chemoradiation paradigm—general principles. Nat Clin Pract Oncol 4:86–100. https://doi.org/10.1038/ncponc0714

    CAS  Article  PubMed  Google Scholar 

  11. Mills CC, Kolb E, Sampson VB (2018) Development of chemotherapy with cell-cycle inhibitors for adult and pediatric cancer therapy. Cancer Res 78:320–325. https://doi.org/10.1158/0008-5472.CAN-17-2782

    CAS  Article  PubMed  PubMed Central  Google Scholar 

  12. Jain RK, Hong DS, Naing A et al (2015) Novel phase I study combining G1 phase, S phase, and G2/M phase cell cycle inhibitors in patients with advanced malignancies. Cell Cycle 14:3434–3440. https://doi.org/10.1080/15384101.2015.1090065

    CAS  Article  PubMed  PubMed Central  Google Scholar 

  13. Thu K, Soria-Bretones I, Mak T, Cescon D (2018) Targeting the cell cycle in breast cancer: towards the next phase. Cell Cycle 17:1871–1885. https://doi.org/10.1080/15384101.2018.1502567

    CAS  Article  PubMed  PubMed Central  Google Scholar 

  14. Yano S, Tazawa H, Kagawa S et al (2020) FUCCI real-time cell-cycle imaging as a guide for designing improved cancer therapy: a review of innovative strategies to target quiescent chemo-resistant cancer cells. Cancers (Basel) 12:2655. https://doi.org/10.3390/cancers12092655

    CAS  Article  Google Scholar 

  15. Chattopadhyay PK, Roederer M (2015) A mine is a terrible thing to waste: high content, single cell technologies for comprehensive immune analysis. Am. J. Transplant. 15:1155–1161

    CAS  Article  Google Scholar 

  16. Ferro A, Mestre T, Carneiro P et al (2017) Blue intensity matters for cell cycle profiling in fluorescence DAPI-stained images. Lab Investig 97:615–625. https://doi.org/10.1038/labinvest.2017.13

    CAS  Article  PubMed  Google Scholar 

  17. Ramón y Cajal S, Sesé M, Capdevila C et al (2020) Clinical implications of intratumor heterogeneity: challenges and opportunities. J Mol Med 98:161–177. https://doi.org/10.1007/s00109-020-01874-2

    Article  PubMed  Google Scholar 

  18. Sasaki K, Murakami T, Kawasaki M, Takahashi M (1987) The cell cycle associated change of the Ki-67 reactive nuclear antigen expression. J Cell Physiol 133:579–584. https://doi.org/10.1002/jcp.1041330321

    CAS  Article  PubMed  Google Scholar 

  19. Sasaki K, Matsumura K, Murakami T et al (1990) Intranuclear localization of the Ki-67 reactive antigen in HeLa cells. Flow cytometric analysis. Biol Cell 68:129–132. https://doi.org/10.1016/0248-4900(90)90297-G

    CAS  Article  PubMed  Google Scholar 

  20. Kill IR (1996) Localisation of the Ki-67 antigen within the nucleolus. Evidence for a fibrillarin-deficient region of the dense fibrillar component. J Cell Sci 109:1253–1263

    CAS  Article  Google Scholar 

  21. Matheson TD, Kaufman PD (2017) The p150N domain of chromatin assembly factor-1 regulates Ki-67 accumulation on the mitotic perichromosomal layer. Mol Biol Cell 28:21–29. https://doi.org/10.1091/mbc.e16-09-0659

    CAS  Article  PubMed  PubMed Central  Google Scholar 

  22. Verheijen R, Kuijpers HJ, Schlingemann RO et al (1989) Ki-67 detects a nuclear matrix-associated proliferation-related antigen. I. Intracellular localization during interphase. J Cell Sci 92(Pt 1):123–130

    Article  Google Scholar 

  23. van Dierendonck JH, Keijzer R, van de Velde CJ, Cornelisse CJ (1989) Nuclear distribution of the Ki-67 antigen during the cell cycle: comparison with growth fraction in human breast cancer cells. Cancer Res 49:2999–3006

    PubMed  Google Scholar 

  24. Endl E, Gerdes J (2000) The Ki-67 protein: fascinating forms and an unknown function. Exp Cell Res 257:231–237. https://doi.org/10.1006/excr.2000.4888

    CAS  Article  PubMed  Google Scholar 

  25. Saiwaki T, Kotera I, Sasaki M et al (2005) In vivo dynamics and kinetics of pKi-67: transition from a mobile to an immobile form at the onset of anaphase. Exp Cell Res 308:123–134. https://doi.org/10.1016/j.yexcr.2005.04.010

    CAS  Article  PubMed  Google Scholar 

  26. Starborg M, Gell K, Brundell E, Höög C (1996) The murine Ki-67 cell proliferation antigen accumulates in the nucleolar and heterochromatic regions of interphase cells and at the periphery of the mitotic chromosomes in a process essential for cell cycle progression. J Cell Sci 109:143–153

    CAS  Article  Google Scholar 

  27. Norton JT, Wang C, Gjidoda A et al (2009) The perinucleolar compartment is directly associated with DNA. J Biol Chem 284:4090–4101. https://doi.org/10.1074/jbc.M807255200

    CAS  Article  PubMed  PubMed Central  Google Scholar 

  28. Bridger JM, Kill IR, Lichter P (1998) Association of pKi-67 with satellite DNA of the human genome in early G1 cells. Chromosome Res 6:13–24

    CAS  Article  Google Scholar 

  29. Cuylen S, Blaukopf C, Politi AZ et al (2016) Ki-67 acts as a biological surfactant to disperse mitotic chromosomes. Nature 535:308–312. https://doi.org/10.1038/nature18610

    CAS  Article  PubMed  PubMed Central  Google Scholar 

  30. Ács B, Kulka J, Kovács KA et al (2017) Comparison of 5 Ki-67 antibodies regarding reproducibility and capacity to predict prognosis in breast cancer: does the antibody matter? Hum Pathol 65:31–40. https://doi.org/10.1016/j.humpath.2017.01.011

    CAS  Article  PubMed  Google Scholar 

  31. Mukaka MM (2012) Statistics corner: a guide to appropriate use of correlation coefficient in medical research. Malawi Med J 24:69–71

    CAS  PubMed  PubMed Central  Google Scholar 

  32. Braun N, Papadopoulos T, Müller-Hermelink HK (1988) Cell cycle dependent distribution of the proliferation-associated Ki-67 antigen in human embryonic lung cells. Virchows Arch B Cell Pathol Incl Mol Pathol 56:25–33. https://doi.org/10.1007/BF02889998

    CAS  Article  PubMed  Google Scholar 

  33. Caragine CM, Haley SC, Zidovska A (2019) Nucleolar dynamics and interactions with nucleoplasm in living cells. Elife 8:. https://doi.org/10.7554/eLife.47533

  34. Du Manoir S, Guillaud P, Camus E et al (1991) Ki-67 labeling in postmitotic cells defines different Ki-67 pathways within the 2c compartment. Cytometry 12:455–463. https://doi.org/10.1002/cyto.990120511

    Article  PubMed  Google Scholar 

  35. van Koningsbruggen S, Gierliński M, Schofield P et al (2010) High-resolution whole-genome sequencing reveals that specific chromatin domains from most human chromosomes associate with nucleoli. Mol Biol Cell 21:3735–3748. https://doi.org/10.1091/mbc.e10-06-0508

    Article  PubMed  PubMed Central  Google Scholar 

  36. Miller I, Min M, Yang C et al (2018) Ki67 is a graded rather than a binary marker of proliferation versus quiescence. Cell Rep 24:1105–1112.e5. https://doi.org/10.1016/j.celrep.2018.06.110

    CAS  Article  PubMed  PubMed Central  Google Scholar 

  37. Puripat N, Loharamtaweethong K (2019) Phosphohistone H3 (PHH3) as a surrogate of mitotic figure count for grading in meningiomas: a comparison of PHH3 (S10) versus PHH3 (S28) antibodies. Virchows Arch 474:87–96. https://doi.org/10.1007/s00428-018-2458-2

    CAS  Article  PubMed  Google Scholar 

  38. Tomić S, Mrklić I, Razumović JJ et al (2019) Inter-laboratory comparison of Ki-67 proliferating index detected by visual assessment and automated digital image analysis. Breast Dis 38:73–79. https://doi.org/10.3233/BD-180341

    CAS  Article  PubMed  Google Scholar 

  39. Clyde RG, Bown JL, Hupp TR et al (2006) The role of modelling in identifying drug targets for diseases of the cell cycle. J R Soc Interface 3:617–627. https://doi.org/10.1098/rsif.2006.0146

    CAS  Article  PubMed  PubMed Central  Google Scholar 

  40. Gurkan-Cavusoglu E, Schupp JE, Kinsella TJ, Loparo KA (2011) Analysis of cell cycle dynamics using probabilistic cell cycle models. In: 2011 Annual International Conference of the IEEE Engineering in Medicine and Biology Society. IEEE, pp 141–144

  41. Danielsen HE, Pradhan M, Novelli M (2016) Revisiting tumour aneuploidy — the place of ploidy assessment in the molecular era. Nat Rev Clin Oncol 13:291–304. https://doi.org/10.1038/nrclinonc.2015.208

    CAS  Article  PubMed  Google Scholar 

  42. Dökümcü K, Farahani RM (2019) Evolution of resistance in cancer: a cell cycle perspective. Front Oncol 9:376. https://doi.org/10.3389/fonc.2019.00376

    Article  PubMed  PubMed Central  Google Scholar 

  43. Booth DG, Takagi M, Sanchez-Pulido L et al (2014) Ki-67 is a PP1-interacting protein that organises the mitotic chromosome periphery. Elife 3:e01641. https://doi.org/10.7554/elife.01641

    Article  PubMed  PubMed Central  Google Scholar 

  44. Ji X, Yang C, Xie J, et al (2020) Effect of Saponin from Tupistra chinensis Baker on proliferation and apoptosis of ovarian cancer cells by Wnt/β Catenin pathway. IUBMB Life iub.2308. https://doi.org/10.1002/iub.2308

  45. Yokoyama R, Hirakawa T, Hayashi S et al (2016) Dynamics of plant DNA replication based on PCNA visualization. Sci Rep 6:29657. https://doi.org/10.1038/srep29657

    CAS  Article  PubMed  PubMed Central  Google Scholar 

  46. Sun X, Bizhanova A, Matheson TD et al (2017) Ki-67 contributes to normal cell cycle progression and inactive X heterochromatin in p21 checkpoint-proficient human cells. Mol Cell Biol 37. https://doi.org/10.1128/MCB.00569-16

  47. Loddo M, Kingsbury SR, Rashid M et al (2009) Cell-cycle-phase progression analysis identifies unique phenotypes of major prognostic and predictive significance in breast cancer. Br J Cancer 100:959–970. https://doi.org/10.1038/sj.bjc.6604924

    CAS  Article  PubMed  PubMed Central  Google Scholar 

  48. Rodriguez-Acebes S, Proctor I, Loddo M et al (2010) Targeting DNA replication before it starts: Cdc7 as a therapeutic target in p53-mutant breast cancers. Am J Pathol 177:2034–2045. https://doi.org/10.2353/ajpath.2010.100421

    CAS  Article  PubMed  PubMed Central  Google Scholar 

  49. Arnst KE, Banerjee S, Chen H et al (2019) Current advances of tubulin inhibitors as dual acting small molecules for cancer therapy. Med Res Rev 39:1398–1426. https://doi.org/10.1002/med.21568

    Article  PubMed  PubMed Central  Google Scholar 

  50. Nam S, Chong Y, Jung CK et al (2020) Introduction to digital pathology and computer-aided pathology. J Pathol Transl Med 54:125–134. https://doi.org/10.4132/jptm.2019.12.31

    Article  PubMed  PubMed Central  Google Scholar 

Download references

Acknowledgments

We thank Antônio Carlos and Aracy Peçanha for the assistance with the pathology archive. We thank Dr. Wilhermo Torres for his advice and encouragement. We thank the Coordenação de Aperfeiçoamento de Pessoal de Nível Superior (CAPES) and Fundação de Amparo à Pesquisa do Estado do Rio de Janeiro (FAPERJ) for funding. A special thanks to Dr. Nei Soares de Menezes, Pathologist at the Barretos Cancer Hospital Fundação Pio XII, SP, Brazil, for his important collaboration at PHH3-immunostaining.

Availability of data and material

All data generated or analyzed during this study are included in this published article and its supplementary information files.

Funding

This study was funded by Coordenação de Aperfeiçoamento de Pessoal de Nível Superior (CAPES)—Brazil, and Fundação de Amparo à Pesquisa do Estado do Rio de Janeiro (FAPERJ)—Brazil.

Author information

Affiliations

Authors

Contributions

All authors contributed to the study conception and design. E.P.D and N.S.C.O designed the experiments. N.S.C.O. and A.O.S.C. performed the literature review and the experiments. E.P.D; N.S.C.O., A.O.S.C.; A.K.F.S., and K.S.C wrote and reviewed the paper. L.E.S. and N.S.C.O. designed and performed the statistical analysis. All authors had access to the study data and reviewed and approved the final manuscript.

Corresponding author

Correspondence to Eliane Pedra Dias.

Ethics declarations

Conflicts of interest

The authors declare that they have no conflict of interest.

Ethics approval

This study strictly followed the tenets of the Declaration of Helsinki and was approved by the Human Ethics and Research Committee of Hospital Universitário Antônio Pedro (HUAP), Universidade Federal Fluminense (# 7660941780000).

Consent to participate

Not applicable.

Consent for publication

Its publication has been approved by all co-authors.

Code availability

Not applicable.

Additional information

Publisher’s note

Springer Nature remains neutral with regard to jurisdictional claims in published maps and institutional affiliations.

This article is part of the Topical Collection on Quality in Pathology

Supplementary Information

Rights and permissions

Reprints and Permissions

About this article

Verify currency and authenticity via CrossMark

Cite this article

Dias, E.P., Oliveira, N.S.C., Serra-Campos, A.O. et al. A novel evaluation method for Ki-67 immunostaining in paraffin-embedded tissues. Virchows Arch 479, 121–131 (2021). https://doi.org/10.1007/s00428-020-03010-4

Download citation

  • Received:

  • Revised:

  • Accepted:

  • Published:

  • Issue Date:

  • DOI: https://doi.org/10.1007/s00428-020-03010-4

Keywords

  • Ki-67
  • Cell cycle
  • Immunohistochemistry
  • Biomarker