Skip to main content

Correlation of high LAT1 expression with the prognosis of endometrioid carcinoma of the uterine corpus

Abstract

The expression of L-type amino acid transporter 1 (LAT1) has been described to play essential roles in cancer cell growth and survival. To determine the significance of LAT1 in the prognosis of endometrial endometrioid carcinoma, we investigated LAT1 expression in 353 endometrioid carcinoma patients by immunohistochemical analysis using tissue microarray. The tumors in which stained tumor cells made up more than 25% of the tumor were graded as high expression. High expression of LAT1 was detected in 29 (8.2%) of patients. The ratio of high LAT1 expression did not significantly differ by age (< 60 vs. ≥ 60), FIGO stage (stage I/II vs. III/IV), histological grade (grade 1 vs. grade 2/3), or lymph node metastasis (positive vs. negative). However, high LAT1 expression in endometrioid carcinoma was associated with a poorer progression-free survival and overall survival, as per the results of the log-rank test (P = 0.0263 and 0.0404, respectively). Cox univariate and multivariate analyses revealed that high LAT1 expression is an independent marker of poor progression-free survival (hazard ratio = 2.598, P = 0.0137), in addition to a higher age (≥ 60 years vs. < 60 years), FIGO stage (stage III/IV vs. I/II), and histological grade (grade 2/3 vs. grade 1). In conclusion, we demonstrate that LAT1 is associated with a poor prognosis of endometrioid carcinoma of the uterine corpus.

This is a preview of subscription content, access via your institution.

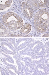
Fig. 1
Fig. 2

References

  1. Kanai Y, Segawa H, Miyamoto K, Uchino H, Takeda E, Endou H (1998) Expression cloning and characterization of a transporter for large neutral amino acids activated by the heavy chain of 4F2 antigen (CD98). J Biol Chem 273:23629–23632

    CAS  Article  Google Scholar 

  2. Yanagida O, Kanai Y, Chairoungdua A et al (2001) Human L-type amino acid transporter 1 (LAT 1): characterization of function and expression in tumor cell lines. Biochim Biophys Acta 1514:291–302

    CAS  Article  Google Scholar 

  3. Nawashiro H, Otani N, Shinomiya N, Fukui S, Ooigawa H, Shima K, Matsuo H, Kanai Y, Endou H (2006) L-type amino acid transporter 1 as a potential molecular target in human astrocytic tumors. Int J Cancer 119:484–492

    CAS  Article  Google Scholar 

  4. Nakanishi K, Ogata S, Matsuo H et al (2007) Expression of LAT1 predicts risk of progression of transitional cell carcinoma of the upper urinary tract. Virchows Arch 451:681–690

    CAS  Article  Google Scholar 

  5. Kaira K, Oriuchi N, Imai H et al (2008) Prognostic significance of L-type amino acid transporter 1 expression in resectable stage I-III nonsmall cell lung cancer. Br J Cancer 98:742–748

    CAS  Article  Google Scholar 

  6. Sakata T, Ferdous G, Tsuruta T, Satoh T, Baba S, Muto T, Ueno A, Kanai Y, Endou H, Okayasu I (2009) L-type amino-acid transporter 1 as a novel biomarker for high-grade malignancy in prostate cancer. Pathol Int 59:7–18

    CAS  Article  Google Scholar 

  7. Liang Z, Cho HT, Williams L et al (2011) Potential biomarker of L-type amino acid transporter 1 in breast cancer progression. Nucl Med Mol Imaging 45:93–102

    CAS  Article  Google Scholar 

  8. Ichinoe M, Mikami T, Yoshida T, Igawa I, Tsuruta T, Nakada N, Anzai N, Suzuki Y, Endou H, Okayasu I (2011) High expression of L-type amino-acid transporter 1 (LAT1) in gastric carcinomas: comparison with non-cancerous lesions. Pathol Int 61:281–289

    CAS  Article  Google Scholar 

  9. Uno K, Kuwabara H, Terado Y, Kojima K, Kawakami T, Kamma H, Sakurai H, Sakamoto A, Kurata A (2011) Divergent expression of L-type amino acid transporter 1 during uterine cervical carcinogenesis. Hum Pathol 42:1660–1666

    CAS  Article  Google Scholar 

  10. Kaira K, Sunose Y, Arakawa K et al (2012) Prognostic significance of L-type amino-acid transporter 1 expression in surgically resected pancreatic cancer. Br J Cancer 107:632–638

    CAS  Article  Google Scholar 

  11. Kaira K, Sunose Y, Ohshima Y et al (2013) Clinical significance of L-type amino acid transporter 1 expression as a prognostic marker and potential of new targeting therapy in biliary tract cancer. BMC Cancer 13:482

    Article  Google Scholar 

  12. Toyoda M, Kaira K, Ohshima Y, Ishioka NS, Shino M, Sakakura K, Takayasu Y, Takahashi K, Tominaga H, Oriuchi N, Nagamori S, Kanai Y, Oyama T, Chikamatsu K (2014) Prognostic significance of amino-acid transporter expression (LAT1, ASCT2, and xCT) in surgically resected tongue cancer. Br J Cancer 110:2506–2513

    CAS  Article  Google Scholar 

  13. Isoda A, Kaira K, Iwashina M et al (2014) Expression of L-type amino acid transporter 1 (LAT1) as a prognostic and therapeutic indicator in multiple myeloma. Cancer Sci 105:1496–1502

    CAS  Article  Google Scholar 

  14. Hayase S, Kumamoto K, Saito K et al (2017) L-type amino acid transporter 1 expression is upregulated and associated with cellular proliferation in colorectal cancer. Oncol Lett 14:7410–7416

    PubMed  PubMed Central  Google Scholar 

  15. Kaji M, Kabir-Salmani M, Anzai N et al (2010) Properties of L-type amino acid transporter 1 in epidermal ovarian cancer. Int J Gynecol Cancer 20:329–336

    Article  Google Scholar 

  16. Kaira K, Nakamura K, Hirakawa T, Imai H, Tominaga H, Oriuchi N, Nagamori S, Kanai Y, Tsukamoto N, Oyama T, Asao T, Minegishi T (2015) Prognostic significance of L-type amino acid transporter 1 (LAT1) expression in patients with ovarian tumors. Am J Transl Res 7:1161–1171

    CAS  PubMed  PubMed Central  Google Scholar 

  17. Betsunoh H, Fukuda T, Anzai N et al (2013) Increased expression of system large amino acid transporter (LAT)-1 mRNA is associated with invasive potential and unfavorable prognosis of human clear cell renal cell carcinoma. BMC Cancer 13:509

    Article  Google Scholar 

  18. Sato K, Miyamoto M, Takano M, Furuya K, Tsuda H (2019) Significant relationship between the LAT1 expression pattern and chemoresistance in ovarian clear cell carcinoma. Virchows Arch 474:701–710

    CAS  Article  Google Scholar 

  19. Fuchs BC, Bode BP (2005) Amino acid transporters ASCT2 and LAT1 in cancer: partners in crime? Semin Cancer Biol 15:254–266

    CAS  Article  Google Scholar 

  20. Wang Q, Holst J (2015) L-type amino acid transport and cancer: targeting the mTORC1 pathway to inhibit neoplasia. Am J Cancer Res 5:1281–1294

    CAS  PubMed  PubMed Central  Google Scholar 

  21. Yamauchi K, Sakurai H, Kimura T, Wiriyasermkul P, Nagamori S, Kanai Y, Kohno N (2009) System L amino acid transporter inhibitor enhances anti-tumor activity of cisplatin in a head and neck squamous cell carcinoma cell line. Cancer Lett 276:95–101

    CAS  Article  Google Scholar 

  22. Imai H, Kaira K, Oriuchi N et al (2010) Inhibition of L-type amino acid transporter 1 has antitumor activity in non-small cell lung cancer. Anticancer Res 30:4819–4828

    CAS  PubMed  Google Scholar 

  23. Fan X, Ross DD, Arakawa H, Ganapathy V, Tamai I, Nakanishi T (2010) Impact of system L amino acid transporter 1 (LAT1) on proliferation of human ovarian cancer cells: a possible target for combination therapy with anti-proliferative aminopeptidase inhibitors. Biochem Pharmacol 80:811–818

    CAS  Article  Google Scholar 

  24. Jemal A, Bray F, Center MM et al (2011) Global cancer statistics. CA Cancer J Clin 61:69–90

    Article  Google Scholar 

  25. Kurman RJ, Carcangiu ML, Herrington CS, Young RH (2014) WHO classification of tumours of female reproductive organs. IARC Press, Lyon

    Google Scholar 

  26. Watanabe J, Yokoyama Y, Futagami M et al (2014) L-type amino acid transporter 1 expression increases in well-differentiated but decreases in poorly differentiated endometrial endometrioid adenocarcinoma and shows an inverse correlation with p53 expression. Int J Gynecol Cancer 24:659–663

    Article  Google Scholar 

  27. Marshall AD, van Geldermalsen M, Otte NJ, Anderson LA, Lum T, Vellozzi MA, Zhang BK, Thoeng A, Wang Q, Rasko JE, Holst J (2016) LAT1 is a putative therapeutic target in endometrioid endometrial carcinoma. Int J Cancer 139:2529–2539

    CAS  Article  Google Scholar 

  28. Finger DC, Blenis J (2004) Target of rapamycin (TOR): an integrator of nutrient and growth factor signals and coordinator of cell growth and cell cycle progression. Oncogene 23:3151–3171

    Article  Google Scholar 

  29. Wang X, Proud CG (2006) The mTOR pathway in the control of protein synthesis. Physiology (Bathesda) 21:362–369

    CAS  Article  Google Scholar 

  30. Byfield MP, Murray JT, Backer JM (2005) hVps34 is a nutrient-regulated lipid kinase required for activation of p70 S6 kinase. J Biol Chem 280:33076–33082

    CAS  Article  Google Scholar 

  31. Nobukuni T, Joaquin M, Roccio M, Dann SG, Kim SY, Gulati P, Byfield MP, Backer JM, Natt F, Bos JL, Zwartkruis FJ, Thomas G (2005) Amino acids mediate mTOR/raptor signaling through activation of class 3 phosphatidylinositol 3OH-kinase. Proc Natl Acad Sci U S A 102:14238–14243

    CAS  Article  Google Scholar 

  32. McCarty MF (2001) Mortality from Western cancers rose dramatically among African-Americans during the 20th century: are dietary animal products to blame? Med Hypotheses 57:169–174

    CAS  Article  Google Scholar 

  33. Bravi F, Bertuccio P, Turati F, Serraino D, Edefonti V, Dal Maso L, Decarli A, Montella M, Zucchetto A, la Vecchia C, Bosetti C, Ferraroni M (2015) Nutrient-based dietary patterns and endometrial cancer risk: an Italian case-control study. Cancer Epidemiol 39:66–72

    Article  Google Scholar 

  34. O’Connell TM (2013) The complex role of branched chain amino acids in diabetes and cancer. Metabolites 3:931–945

    Article  Google Scholar 

  35. Oda K, Hosoda N, Endo H, Saito K, Tsujihara K, Yamamura M, Sakata T, Anzai N, Wempe MF, Kanai Y, Endou H (2010) L-type amino acid transporter 1 inhibitors inhibit tumor cell growth. Cancer Sci 101:173–179

    CAS  Article  Google Scholar 

  36. Cancer Genome Atlas Research Network, Kandoth C, Schultz N, Cherniack AD et al (2013) Integrated genomic characterization of endometrial carcinoma. Nature 497:67–73

    Article  Google Scholar 

Download references

Acknowledgements

The authors thank Chinami Onuma, Asumi Tsutsumi, M. T., and Ru Hokari, M. T. for their excellent technical assistance and Editage (www.editage.jp) for English language editing.

Author information

Affiliations

Authors

Contributions

Kimiya Sato, Morikazu Miyamoto, Masashi Takano, and Hitoshi Tsuda conceived and designed the study. Kimiya Sato and Hitoshi Tsuda researched, analyzed data, and drafted the manuscript. All authors reviewed the manuscript and gave final approval for publication. Kimiya Sato takes full responsibility for the work as a whole, including the study design, access to data, and the decision to submit and publish the manuscript.

Corresponding author

Correspondence to Kimiya Sato.

Ethics declarations

The research protocol was approved by the Institutional Ethical Review Board Committee of the National Defense Medical College, Tokorozawa, Japan.

Conflict of interest

The authors declare that they have no conflict of interest.

Additional information

Publisher’s note

Springer Nature remains neutral with regard to jurisdictional claims in published maps and institutional affiliations.

This article is part of the Topical Collection on Quality in Pathology

Rights and permissions

Reprints and Permissions

About this article

Verify currency and authenticity via CrossMark

Cite this article

Sato, K., Miyamoto, M., Takano, M. et al. Correlation of high LAT1 expression with the prognosis of endometrioid carcinoma of the uterine corpus. Virchows Arch 477, 421–427 (2020). https://doi.org/10.1007/s00428-020-02781-0

Download citation

  • Received:

  • Revised:

  • Accepted:

  • Published:

  • Issue Date:

  • DOI: https://doi.org/10.1007/s00428-020-02781-0

Keywords

  • LAT1
  • Uterine corpus cancer
  • Endometrioid carcinoma
  • Immunohistochemistry