Skip to main content

Benign breast papillary lesions diagnosed on core biopsy: upgrade rate and risk factors associated with malignancy on surgical excision

Abstract

Evaluation of radiologically detected breast lesions is a common task in surgical pathology. Some benign lesions on biopsy are associated with an upgrade to in situ or invasive carcinoma on excision. The non-atypical breast papilloma has published upgrade rates of 0 to 29%. Traditionally, papillomas have been managed surgically, but the wide range of upgrade rates has raised uncertainty about the need for routine surgical excision. This study aims to identify risk factors associated with upgrade and determine the upgrade rate of non-atypical papillomas at our institution. In a retrospective review of pathology reports, we identified 266 patients with a diagnosis of benign papilloma on breast core biopsy. One hundred eighty-two patients underwent surgical resection. The final surgical pathology reports of all patients were reviewed and divided into one of two groups—benign or malignant. Twenty-one patients had a final diagnosis of in situ or invasive carcinoma, resulting in an upgrade rate of 12%. Radiologically detected lesions with calcifications were at higher risk for upgrade (OR = 4.45, 95% CI 1.08–18.27) than lesions without calcifications. Additionally, advanced patient age (OR = 1.07, 95% CI 1.03–1.13) and lesion size greater than 0.5 cm (OR = 2.59, 95% CI 0.38–17.48) was associated with upgrade to malignancy. Routine surgical excision of all papillomas is not recommended. Younger patients without high-risk features may benefit from clinical and radiologic follow-up alone. Accurate risk stratification will spare low-risk women unnecessary surgery.

This is a preview of subscription content, access via your institution.

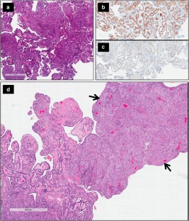
Fig. 1
Fig. 2

Abbreviations

BIRADS:

breast imaging-reporting and data system

SMMHC:

smooth muscle myosin heavy chain

References

  1. Carter D, Schnitt SJ, Millis RR (2010) The breast. In: Sternberg’s diagnostic surgical pathology, 5th edn, Philadelphia, pp 285–350

  2. Lakhani S, Ellis I, Schnitt S, Tan P, van de Vijver M (2012) Intraductal papillary lesions. In: WHO classification of tumours of the breast, 4th edn. IARC Press, Lyon, pp 103–105

    Google Scholar 

  3. Leithner D, Kaltenbach B, Hödl P, Möbus V, Brandenbusch V, Falk S, Park C, Vogl TJ, Müller-Schimpfle M (2018) Intraductal papilloma without atypia on image-guided breast biopsy: upgrade rates to carcinoma at surgical excision. Breast Care 13:364–368. https://doi.org/10.1159/000489096

    Article  PubMed  PubMed Central  Google Scholar 

  4. Foley NM, Racz JM, Al-Hilli Z, Livingstone V, Cil T, Holloway CM, Romics L Jr, Matrai Z, Bennett MW, Duddy L, Nofech-Mozes S, Slodkowska E, Mallon EA, Dawson N, Roche T, Relihan N, Hill AD, Redmond HP, Corrigan MA (2015) An international multicenter review of the malignancy rate of excised papillomatous breast lesions. Ann Surg Oncol 22:385–390. https://doi.org/10.1245/s10434-015-4773-z

    Article  Google Scholar 

  5. Bianchi S, Bendinelli B, Saladino V, Vezzosi V, Brancato B, Nori J, Palli D (2015) Non-malignant breast papillary lesions - b3 diagnosed on ultrasound-guided 14-gauge needle core biopsy: analysis of 114 cases from a single institution and review of the literature. Pathol Oncol 21:535–546. https://doi.org/10.1007/s12253-014-9882-7

    Article  Google Scholar 

  6. Seely JM, Verma R, Kielar A, Smyth KR, Hack K, Taljaard M, Gravel D, Ellison E (2017) Benign papillomas of the breast diagnosed on large-gauge vacuum biopsy compared with 14 gauge core needle biopsy - do they require surgical excision? Breast J 23:146–153. https://doi.org/10.1111/tbj.12702

    Article  PubMed  Google Scholar 

  7. Ko D, Kang E, Park SY, Kim SM, Jang M, Yun B, Chae S, Jang Y, Kim HJ, Kim SW, Kim EK (2017) The management strategy of benign solitary intraductal papilloma on breast core biopsy. Clin Breast Cancer 17:367–372. https://doi.org/10.1016/j.clbc.2017.03.016

    Article  PubMed  Google Scholar 

  8. Armes JE, Galbraith C, Gray J, Taylor K (2017) The outcome of papillary lesions of the breast diagnosed by standard core needle biopsy within a BreastScreen Australia service. Pathology. 49:267–270. https://doi.org/10.1016/j.pathol.2016.12.346

    Article  PubMed  Google Scholar 

  9. Hong YR, Song BJ, Jung SS, Kang BJ, Kim SH, Chae BJ (2016) Predictive factors for upgrading patients with benign breast papillary lesions using a core needle biopsy. J Breast Cancer 19:410. https://doi.org/10.4048/jbc.2016.19.4.410

    Article  PubMed  PubMed Central  Google Scholar 

  10. Moon SM, Jung HK, Ko KH, Kim Y, Lee KS (2016) Management of clinically and mammographically occult benign papillary lesions diagnosed at ultrasound-guided 14-gauge breast core needle biopsy. J Ultrasound Med 35:2325–2332. https://doi.org/10.7863/ultra.15.11049

    Article  PubMed  Google Scholar 

  11. Al Hassan T, Delli Fraine P, El-Khoury M, Joseph L, Zheng J, Mesurolle B (2013) Accuracy of percutaneous core needle biopsy in diagnosing papillary breast lesions and potential impact of sonographic features on their management. J Clin Ultrasound 41:1–9. https://doi.org/10.1002/jcu.21993

    Article  PubMed  Google Scholar 

  12. Tseng HS, Chen YL, Chen ST, Wu YC, Kuo SJ, Chen LS, Wu HK, Chen DR (2009) The management of papillary lesion of the breast by core needle biopsy. Eur J SurgOncol 35:21–24. https://doi.org/10.1016/j.ejso.2008.06.004

    CAS  Article  Google Scholar 

  13. Ginter PS, D'Alfonso TM (2017) Current concepts in diagnosis, molecular features, and management of lobular carcinoma in situ of the breast with a discussion of morphologic variants. Arch Pathol Lab Med 141:1668–1678

    CAS  Article  Google Scholar 

  14. Weisman PS, Sutton BJ, Siziopikou KP, Hansen N, Khan SA, Neuschler EI, Rohan SM, Franz JM, Sullivan ME (2014) Non-mass-associated intraductal papillomas: is excision necessary? Hum Pathol 45:583–588

    Article  Google Scholar 

  15. Dewar R, Fadare O, Gilmore H, Gown AM (2011) Best practices in diagnostic immunohistochemistry: myoepithelial markers in breast pathology. Arch Pathol Lab Med 135:422–429

    PubMed  Google Scholar 

  16. Werling RW, Hwang H, Yaziji H, Gown AM (2003) Immunohistochemical distinction of invasive from noninvasive breast lesions: a comparative study of p63 versus calponin and smooth muscle myosin heavy chain. Am J Surg Pathol 27:82–90

    Article  Google Scholar 

Download references

Author information

Affiliations

Authors

Contributions

The authors contributed to this study as follows: C. MacColl and P. Williams: study design and execution, identification of cases, review of histological slides, and manuscript preparation. A. Salehi: review of select histologic slides, support of study, and breast pathology consultant. S. Parpia: study design and statistical analysis. N. Hodgson: support of study and surgical consultant. M. Ramonas: support of study and radiological consultant. Participating investigator, Cathy Chang, retrieved and filed all histopathological slides for review.

Corresponding author

Correspondence to Christine MacColl.

Ethics declarations

The project was approved by the Hamilton Integrated Research Ethics Board (project number 2227-C).

Conflict of interest

The authors declare that they have no conflicts of interest.

Additional information

Publisher’s note

Springer Nature remains neutral with regard to jurisdictional claims in published maps and institutional affiliations.

Rights and permissions

Reprints and Permissions

About this article

Verify currency and authenticity via CrossMark

Cite this article

MacColl, C., Salehi, A., Parpia, S. et al. Benign breast papillary lesions diagnosed on core biopsy: upgrade rate and risk factors associated with malignancy on surgical excision. Virchows Arch 475, 701–707 (2019). https://doi.org/10.1007/s00428-019-02626-5

Download citation

  • Received:

  • Revised:

  • Accepted:

  • Published:

  • Issue Date:

  • DOI: https://doi.org/10.1007/s00428-019-02626-5

Keywords

  • Breast neoplasms
  • Core biopsy
  • Intraductal papilloma
  • Upgrade