Skip to main content

Histological heterogeneity in primary and metastatic classic combined hepatocellular-cholangiocarcinoma: a case series

Abstract

Combined hepatocellular-cholangiocarcinoma (cHCC-CC) is a rare and aggressive primary liver cancer with both hepatocellular and cholangiocellular differentiation. Due to its bi-phenotypic component, cHCC-CC is a heterogeneous tumour and histopathological analysis of metastatic deposits is poorly characterized. In this retrospective study, we describe four patients in whom the histology from resected specimens of both primary and recurrent and/or metastatic tumour was available for comparison and immunohistochemical characterization. Our study shows that recurrent or metastatic deposits replicate the heterogeneity of the primary cHCC-CC, that even originally small foci of divergent differentiation can become predominant later on and that hepatocellular and cholangiocellular components can show different tropism in distant organs. In our experience, the behaviour of recurrent/metastatic cHCC-CC is unpredictable and histological examination is necessary to guide treatment options at present.

This is a preview of subscription content, access via your institution.

Fig. 1
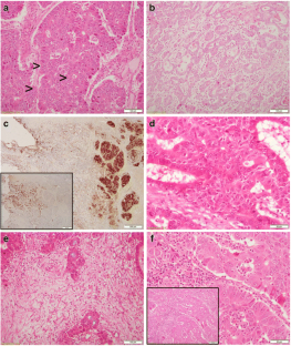
Fig. 2
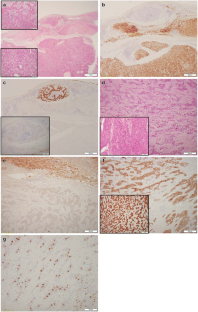
Fig. 3
Fig. 4

References

  1. Brunt EM, Paradis V, Sempoux C, Theise ND (2015) Biphenotypic (hepatobiliary) primary liver carcinomas: the work in progress. Hepatic Oncol 2:255–273. doi:10.2217/hep.15.8

    Article  Google Scholar 

  2. Allen RA, Lisa JR (1949) Combined liver cell and bile duct carcinoma. Am J Pathol 25:647–655

    CAS  PubMed  PubMed Central  Google Scholar 

  3. Theise ND, Nakashima O, Park YN, Nakanuma Y (2010) Combined hepatocellular-cholangiocarcinoma. WHO Classification of digestive tumors

  4. Yoon Y-I, Hwang S, Lee Y-J, Kim K-H, Ahn C-S, Moon D-B, Ha T-Y, Song G-W, Jung D-H, Lee J-W, Hong S-M, Yu ES, Lee S-G (2016) Postresection outcomes of combined hepatocellular carcinoma-cholangiocarcinoma, hepatocellular carcinoma and intrahepatic cholangiocarcinoma. J Gastrointest Surg 20:411–420. doi:10.1007/s11605-015-3045-3

    Article  PubMed  Google Scholar 

  5. Yin X, Zhang B-H, Qiu S-J, Ren Z-G, Zhou J, Chen X-H, Zhou Y, Fan J (2012) Combined hepatocellular carcinoma and cholangiocarcinoma: clinical features, treatment modalities, and prognosis. Ann Surg Oncol 19:2869–2876. doi:10.1245/s10434-012-2328-0

    Article  PubMed  Google Scholar 

  6. Fowler KJ, Sheybani A, Parker RA, Doherty S, M Brunt E, Chapman WC, Menias CO (2013) Combined hepatocellular and cholangiocarcinoma (biphenotypic) tumors: imaging features and diagnostic accuracy of contrast-enhanced CT and MRI. AJR Am J Roentgenol 201:332–339. doi: 10.2214/AJR.12.9488

  7. Kassahun WT, Hauss J (2008) Management of combined hepatocellular and cholangiocarcinoma. Int J Clin Pract 62:1271–1278. doi:10.1111/j.1742-1241.2007.01694.x

    CAS  Article  PubMed  Google Scholar 

  8. Garancini M, Goffredo P, Pagni F, Romano F, Roman S, Sosa JA, Giardini V (2014) Combined hepatocellular-cholangiocarcinoma: a population-level analysis of an uncommon primary liver tumor. Liver Transpl 20:952–959. doi:10.1002/lt.23897

    Article  PubMed  Google Scholar 

  9. Sapisochin G, de Lope CR, Gastaca M, de Urbina JO, López-Andujar R, Palacios F, Ramos E, Fabregat J, Castroagudín JF, Varo E, Pons JA, Parrilla P, González-Diéguez ML, Rodriguez M, Otero A, Vazquez MA, Zozaya G, Herrero JI, Antolin GS, Perez B, Ciria R, Rufian S, Fundora Y, Ferron JA, Guiberteau A, Blanco G, Varona MA, Barrera MA, Suarez MA, Santoyo J, Bruix J, Charco R (2014) Intrahepatic cholangiocarcinoma or mixed hepatocellular-cholangiocarcinoma in patients undergoing liver transplantation: a Spanish matched cohort multicenter study. Ann Surg 259:944–952. doi:10.1097/SLA.0000000000000494

    CAS  Article  PubMed  Google Scholar 

  10. Zen C, Zen Y, Mitry RR, Corbeil D, Karbanová J, O'Grady J, Karani J, Kane P, Heaton N, Portmann BC, Quaglia A (2011) Mixed phenotype hepatocellular carcinoma after transarterial chemoembolization and liver transplantation. Liver Transpl 17:943–954. doi:10.1002/lt.22314

    Article  PubMed  Google Scholar 

  11. Nishihara Y, Aishima S, Kuroda Y, Iguchi T, Taguchi K, Asayama Y, Taketomi A, Kinukawa N, Honda H, Tsuneyoshi M (2008) Biliary phenotype of hepatocellular carcinoma after preoperative transcatheter arterial chemoembolization. J Gastroenterol Hepatol 23:1860–1868. doi:10.1111/j.1440-1746.2008.05601.x

    Article  PubMed  Google Scholar 

  12. Llovet JM, Ricci S, Mazzaferro V, Hilgard P, Gane E, Blanc J-F, de Oliveira AC, Santoro A, Raoul J-L, Forner A, Schwartz M, Porta C, Zeuzem S, Bolondi L, Greten TF, Galle PR, Seitz J-F, Borbath I, Häussinger D, Giannaris T, Shan M, Moscovici M, Voliotis D, Bruix J, SHARP Investigators Study Group (2008) Sorafenib in advanced hepatocellular carcinoma. N Engl J Med 359:378–390. doi:10.1056/NEJMoa0708857

    CAS  Article  PubMed  Google Scholar 

  13. Valle JW, Furuse J, Jitlal M, Beare S, Mizuno N, Wasan H, Bridgewater J, Okusaka T (2014) Cisplatin and gemcitabine for advanced biliary tract cancer: a meta-analysis of two randomised trials. Ann Oncol 25:391–398. doi:10.1093/annonc/mdt540

    CAS  Article  PubMed  Google Scholar 

  14. Jung W, Kim B-H (2015) Cholangiolocellular carcinoma with satellite nodules showing intermediate differentiation. Clin Mol Hepatol 21:183–186. doi:10.3350/cmh.2015.21.2.183

    Article  PubMed  PubMed Central  Google Scholar 

  15. Sasaki M, Sato H, Kakuda Y, Sato Y, Choi JH, Nakanuma Y (2015) Clinicopathological significance of “subtypes with stem-cell feature” in combined hepatocellular-cholangiocarcinoma. Liver Int 35:1024–1035. doi:10.1111/liv.12563

    Article  PubMed  Google Scholar 

  16. The Royal College of Pathologists (2012) Standards and datasets for reporting cancers Dataset for histopathology reporting of liver resection specimens (including gall bladder) and liver biopsies for primary and metastatic carcinoma (2nd edition). 1–51

  17. Senes G, Fanni D, Cois A, Uccheddu A, Faa G (2007) Intratumoral sampling variability in hepatocellular carcinoma: a case report. World J Gastroenterol 13:4019–4021. doi:10.3748/wjg.v13.i29.4019

    Article  PubMed  PubMed Central  Google Scholar 

  18. Silva MA, Hegab B, Hyde C, Guo B, Buckels JAC, Mirza DF (2008) Needle track seeding following biopsy of liver lesions in the diagnosis of hepatocellular cancer: a systematic review and meta-analysis. Gut 57:1592–1596. doi:10.1136/gut.2008.149062

    CAS  Article  PubMed  Google Scholar 

  19. Hauch AT, Buell JF, McGowan M, Bhatia P, Lewin E, Killackey M, Shores NJ, Balart LA, Moehlen M, Saggi B, Paramesh AS (2014) Cutaneous metastases from primary hepatobiliary tumors as the first sign of tumor recurrence following liver transplantation. Case Rep Transplant 2014:838949–838945. doi:10.1155/2014/838949

    PubMed  PubMed Central  Google Scholar 

  20. Friemel J, Rechsteiner M, Frick L, Böhm F, Struckmann K, Egger M, Moch H, Heikenwalder M, Weber A (2015) Intratumor heterogeneity in hepatocellular carcinoma. Clin Cancer Res 21:1951–1961. doi:10.1158/1078-0432.CCR-14-0122

    CAS  Article  PubMed  Google Scholar 

  21. Marusyk A, Almendro V, Polyak K (2012) Intra-tumour heterogeneity: a looking glass for cancer? Nat Rev Cancer 12:323–334. doi:10.1038/nrc3261

    CAS  Article  PubMed  Google Scholar 

  22. Stanta G, Jahn SW, Bonin S, Hoefler G (2016) Tumour heterogeneity: principles and practical consequences. Virchows Arch 469:371–384. doi:10.1007/s00428-016-1987-9

    CAS  Article  PubMed  Google Scholar 

  23. Pan Z, Grizzle W, Hameed O (2013) Significant variation of immunohistochemical marker expression in paired primary and metastatic clear cell renal cell carcinomas. Am J Clin Pathol 140:410–418. doi:10.1309/AJCP8DMPEIMVH6YP

    Article  PubMed  Google Scholar 

  24. Gerlinger M, Rowan AJ, Horswell S, Larkin J, Endesfelder D, Gronroos E, Martinez P, Matthews N, Stewart A, Tarpey P, Varela I, Phillimore B, Begum S, McDonald NQ, Butler A, Jones D, Raine K, Latimer C, Santos CR, Nohadani M, Eklund AC, Spencer-Dene B, Clark G, Pickering L, Stamp G, Gore M, Szallasi Z, Downward J, Futreal PA, Swanton C (2012) Intratumor heterogeneity and branched evolution revealed by multiregion sequencing. N Engl J Med 366:883–892. doi:10.1056/NEJMoa1113205

    CAS  Article  PubMed  PubMed Central  Google Scholar 

  25. Johnson BE, Mazor T, Hong C, Barnes M, Aihara K, McLean CY, Fouse SD, Yamamoto S, Ueda H, Tatsuno K, Asthana S, Jalbert LE, Nelson SJ, Bollen AW, Gustafson WC, Charron E, Weiss WA, Smirnov IV, Song JS, Olshen AB, Cha S, Zhao Y, Moore RA, Mungall AJ, Jones SJM, Hirst M, Marra MA, Saito N, Aburatani H, Mukasa A, Berger MS, Chang SM, Taylor BS, Costello JF (2014) Mutational analysis reveals the origin and therapy-driven evolution of recurrent glioma. Science 343:189–193. doi:10.1126/science.1239947

    CAS  Article  PubMed  Google Scholar 

  26. Jahn SW, Winter G, Stacher E, Halbwedl I, Gattenlöhner S, Stockinger R, Spreitzer S, Waldispuehl-Geigl J, Geigl JB, Offner F, Hoefler G (2011) Multiple intratumoral KRAS mutations can clonally segregate to different lymph node metastases in colon cancer. Histopathology 59:342–345. doi:10.1111/j.1365-2559.2011.03902.x

    Article  PubMed  Google Scholar 

  27. Gow C-H, Chang Y-L, Hsu Y-C, Tsai M-F, Wu C-T, Yu C-J, Yang C-H, Lee Y-C, Yang P-C, Shih J-Y (2009) Comparison of epidermal growth factor receptor mutations between primary and corresponding metastatic tumors in tyrosine kinase inhibitor-naive non-small-cell lung cancer. Ann Oncol 20:696–702. doi:10.1093/annonc/mdn679

    Article  PubMed  Google Scholar 

  28. Tang LH, Shia J, Soslow RA, Dhall D, Wong WD, O'Reilly E, Qin J, Paty P, Weiser MR, Guillem J, Temple L, Sobin LH, Klimstra DS (2008) Pathologic classification and clinical behavior of the spectrum of goblet cell carcinoid tumors of the appendix. Am J Surg Pathol 32:1429–1443. doi:10.1097/PAS.0b013e31817f1816

    Article  PubMed  Google Scholar 

  29. Papotti M, Negro F, Carney JA, Bussolati G, Lloyd RV (1997) Mixed medullary-follicular carcinoma of the thyroid. A morphological, immunohistochemical and in situ hybridization analysis of 11 cases. Virchows Arch 430:397–405

    CAS  Article  PubMed  Google Scholar 

  30. Zeh N, Wild PJ, Bode PK, Kristiansen G, Moch H, Sulser T, Hermanns T (2013) Retroperitoneal teratoma with somatic malignant transformation: a papillary renal cell carcinoma in a testicular germ cell tumour metastasis following platinum-based chemotherapy. BMC Urol 13:9. doi:10.1186/1471-2490-13-9

    Article  PubMed  PubMed Central  Google Scholar 

  31. Little JS, Foster RS, Ulbright TM, Donohue JP (1994) Unusual neoplasms detected in testis cancer patients undergoing post-chemotherapy retroperitoneal lymphadenectomy. J Urol 152:1144–1149

    Article  PubMed  Google Scholar 

  32. Afghahi A, Sledge GW (2015) Targeted therapy for cancer in the genomic era. Cancer J 21:294–298. doi:10.1097/PPO.0000000000000135

    CAS  Article  PubMed  Google Scholar 

  33. Guichard C, Amaddeo G, Imbeaud S, Ladeiro Y, Pelletier L, Maad IB, Calderaro J, Bioulac-Sage P, Letexier M, Degos F, Clément B, Balabaud C, Chevet E, Laurent A, Couchy G, Letouzé E, Calvo F, Zucman-Rossi J (2012) Integrated analysis of somatic mutations and focal copy-number changes identifies key genes and pathways in hepatocellular carcinoma. Nat Genet 44:694–698. doi:10.1038/ng.2256

    CAS  Article  PubMed  PubMed Central  Google Scholar 

  34. Jiao Y, Pawlik TM, Anders RA, Selaru FM, Streppel MM, Lucas DJ, Niknafs N, Guthrie VB, Maitra A, Argani P, Offerhaus GJA, Roa JC, Roberts LR, Gores GJ, Popescu I, Alexandrescu ST, Dima S, Fassan M, Simbolo M, Mafficini A, Capelli P, Lawlor RT, Ruzzenente A, Guglielmi A, Tortora G, de Braud F, Scarpa A, Jarnagin W, Klimstra D, Karchin R, Velculescu VE, Hruban RH, Vogelstein B, Kinzler KW, Papadopoulos N, Wood LD (2013) Exome sequencing identifies frequent inactivating mutations in BAP1, ARID1A and PBRM1 in intrahepatic cholangiocarcinomas. Nat Genet 45:1470–1473. doi:10.1038/ng.2813

    CAS  Article  PubMed  PubMed Central  Google Scholar 

  35. Fujii H, Zhu XG, Matsumoto T, Inagaki M, Tokusashi Y, Miyokawa N, Fukusato T, Uekusa T, Takagaki T, Kadowaki N, Shirai T (2000) Genetic classification of combined hepatocellular-cholangiocarcinoma. Hum Pathol 31:1011–1017. doi:10.1053/hupa.2000.9782

    CAS  Article  PubMed  Google Scholar 

  36. Cazals-Hatem D, Rebouissou S, Bioulac-Sage P, Bluteau O, Blanché H, Franco D, Monges G, Belghiti J, Sa Cunha A, Laurent-Puig P, Degott C, Zucman-Rossi J (2004) Clinical and molecular analysis of combined hepatocellular-cholangiocarcinomas. J Hepatol 41:292–298. doi:10.1016/j.jhep.2004.04.030

    CAS  Article  PubMed  Google Scholar 

Download references

Acknowledgements

CDV is supported by the Nuovo-Soldati Cancer Research Foundation.

Author information

Affiliations

Authors

Corresponding author

Correspondence to Claudio De Vito.

Ethics declarations

Conflict of interest

The authors declare that they have no conflict of interest.

Rights and permissions

Reprints and Permissions

About this article

Verify currency and authenticity via CrossMark

Cite this article

De Vito, C., Sarker, D., Ross, P. et al. Histological heterogeneity in primary and metastatic classic combined hepatocellular-cholangiocarcinoma: a case series. Virchows Arch 471, 619–629 (2017). https://doi.org/10.1007/s00428-017-2196-x

Download citation

  • Received:

  • Revised:

  • Accepted:

  • Published:

  • Issue Date:

  • DOI: https://doi.org/10.1007/s00428-017-2196-x

Keywords

  • Combined hepatocellular-cholangiocarcinoma
  • Metastasis
  • Heterogeneity