Skip to main content

Lack of mutation of DICER1 and FOXL2 genes in microcystic stromal tumor of the ovary

Abstract

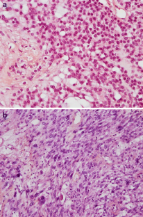
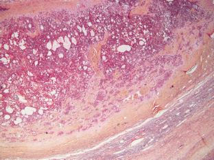
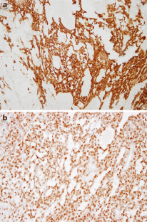
Microcystic stromal tumors (MCST), first described in 2009 by Irving et al., are rare ovarian neoplasms. The entity was introduced into the 2014 WHO classification of tumors of female reproductive organs in the group of sex cord-stromal tumors, which is rather heterogeneous. We studied three cases of ovarian tumor with the characteristic morphological features and immunohistochemical marker profiles of MCST. The three tumors showed micro, and macrocystic patterns with solid areas, and were composed of small round to spindle-shaped cells, without atypia. The tumors diffusely and strongly expressed CD10, FOXL2, and nuclear β-catenin, but without immmunoreactivity for hormone receptors, calretinin, or inhibin. Genome analyses showed no somatic mutation of exon 1 of the FOXL2 gene and of exons 24 and 25 of DICER1 gene, the latter not having been reported previously. The patients are well, without evidence of tumor progression 1 to 10 years after diagnosis.

The absence of FOXL2 and DICER1 gene mutation, along with strong FOXL2 immunoreactivity provides additional evidence to place MCST within pure gonadal stromal rather than sex cord ovarian tumors.

This is a preview of subscription content, access via your institution.

Fig. 1
Fig. 2
Fig. 3

References

  1. Irving JA, Young RH (2009) Microcystic stromal tumor of the ovary: report of 16 cases of a hitherto uncharacterized distinctive ovarian neoplasm. Am J Surg Pathol 33:367–375

    Article  PubMed  Google Scholar 

  2. Maeda D, Shibahara J, Sakuma T et al (2011) β-catenin (CTNNB1) S33C mutation in ovarian microcystic stromal tumors. Am J Surg Pathol 35:1429–1440

    Article  PubMed  Google Scholar 

  3. Yang M, Bhattacharjee MB (2014) Ovarian microcystic stromal tumor: report of a new entity with immunohistochemical and ultrastructural studies. Ultrastruct Pathol 38:261–267

    Article  PubMed  Google Scholar 

  4. Kang YN, Cho CH, Kwon SY (2015) Microcystic stromal tumor of the ovary with mutation in exon 3 of β-catenin: a case report. Int J Gynecol Pathol Off J Int Soc Gynecol Pathol 34:121–125

    Article  Google Scholar 

  5. Lee SH, Koh YW, Roh HJ et al (2015) Ovarian microcystic stromal tumor: a novel extracolonic tumor in familial adenomatous polyposis. Genes Chromosomes Cancer 54:353–360

    CAS  Article  PubMed  Google Scholar 

  6. Bi R, Bai Q-M, Yang F et al (2015) Microcystic stromal tumour of the ovary: frequent mutations of β-catenin (CTNNB1) in six cases. Histopathology 67:872–879

    Article  PubMed  Google Scholar 

  7. Lee JH, Kim H-S, Cho NH et al (2016) Genetic analysis of ovarian microcystic stromal tumor. Obstet Gynecol Sci 59:157–162

    Article  PubMed  PubMed Central  Google Scholar 

  8. Podduturi V, Tran T, Champion KJ et al (2015) Microcystic stromal tumor of the ovary: a case report of a newly described ovarian neoplasm with a β-catenin (CTNNB1) G34E mutation. Int J Gynecol Pathol Off J Int Soc Gynecol Pathol 34:541–545

    Article  Google Scholar 

  9. Kurman RJ, Carcangiu ML, Herrington CS WHO Classification of Tumours of Female Reproductive Organs, 2014th ed. International Agençy for Research on Cancer, Lyon

  10. Shah SP, Köbel M, Senz J et al (2009) Mutation of FOXL2 in granulosa-cell tumors of the ovary. N Engl J Med 360:2719–2729

    CAS  Article  PubMed  Google Scholar 

  11. Heravi-Moussavi A, Anglesio MS, Cheng S-WG et al (2012) Recurrent somatic DICER1 mutations in nonepithelial ovarian cancers. N Engl J Med 366:234–242

    CAS  Article  PubMed  Google Scholar 

  12. Irving JA, Lee C-H, Yip S et al (2015) Microcystic stromal tumor: a distinctive ovarian sex cord-stromal neoplasm characterized by FOXL2, SF-1, WT-1, cyclin D1, and β-catenin nuclear expression and CTNNB1 mutations. Am J Surg Pathol 39:1420–1426

    Article  PubMed  Google Scholar 

  13. Costa MJ, Ames PF, Walls J, Roth LM (1997) Inhibin immunohistochemistry applied to ovarian neoplasms: a novel, effective, diagnostic tool. Hum Pathol 28:1247–1254

    CAS  Article  PubMed  Google Scholar 

  14. McCluggage WG, Maxwell P (2001) Immunohistochemical staining for calretinin is useful in the diagnosis of ovarian sex cord-stromal tumours. Histopathology 38:403–408

    CAS  Article  PubMed  Google Scholar 

  15. Movahedi-Lankarani S, Kurman RJ (2002) Calretinin, a more sensitive but less specific marker than alpha-inhibin for ovarian sex cord-stromal neoplasms: an immunohistochemical study of 215 cases. Am J Surg Pathol 26:1477–1483

    Article  PubMed  Google Scholar 

  16. Al-Agha OM, Huwait HF, Chow C et al (2011) FOXL2 is a sensitive and specific marker for sex cord-stromal tumors of the ovary. Am J Surg Pathol 35:484–494

    Article  PubMed  Google Scholar 

  17. Stewart CJR, Alexiadis M, Crook ML, Fuller PJ (2013) An immunohistochemical and molecular analysis of problematic and unclassified ovarian sex cord-stromal tumors. Hum Pathol 44:2774–2781

    CAS  Article  PubMed  Google Scholar 

  18. Schmidt D, Ovitt CE, Anlag K et al (2004) The murine winged-helix transcription factor Foxl2 is required for granulosa cell differentiation and ovary maintenance. Dev Camb Engl 131:933–942

    CAS  Google Scholar 

  19. Weng Q, Wang H, Medan S et al (2006) Expression of inhibin/activin subunits in the ovaries of fetal and neonatal mice. J Reprod Dev 52:607–616

    CAS  Article  PubMed  Google Scholar 

  20. McCluggage WG, Singh N, Kommoss S et al (2013) Ovarian cellular fibromas lack FOXL2 mutations: a useful diagnostic adjunct in the distinction from diffuse adult granulosa cell tumor. Am J Surg Pathol 37:1450–1455

    Article  PubMed  Google Scholar 

  21. Goulvent T, Ray-Coquard I, Borel S et al (2016) DICER1 and FOXL2 mutations in ovarian sex cord–stromal tumours: a GINECO Group study. Histopathology 68:279–285

    Article  PubMed  Google Scholar 

  22. Deshpande V, Oliva E, Young RH (2010) Solid pseudopapillary neoplasm of the ovary: are report of 3 primary ovarian tumors resembling those of the pancreas. Am J Surg Pathol 34:1514-20

    PubMed  Google Scholar 

Download references

Author information

Affiliations

Authors

Corresponding author

Correspondence to Mojgan Devouassoux-Shisheboran.

Ethics declarations

This study was conducted according to the rules of Declaration of Helsinki and the Ethics Committee of the Medical Board (CHU Lyon) agreed to these investigations. Consent for genetic investigations, was obtained from the three patients.

Funding

There is no funding for this study.

Conflict of interest

The authors declare that they have no conflict of interest.

Rights and permissions

Reprints and Permissions

About this article

Verify currency and authenticity via CrossMark

Cite this article

Meurgey, A., Descotes, F., Mery-Lamarche, E. et al. Lack of mutation of DICER1 and FOXL2 genes in microcystic stromal tumor of the ovary. Virchows Arch 470, 225–229 (2017). https://doi.org/10.1007/s00428-016-2038-2

Download citation

  • Received:

  • Revised:

  • Accepted:

  • Published:

  • Issue Date:

  • DOI: https://doi.org/10.1007/s00428-016-2038-2

Keywords

  • Microcystic stromal tumor
  • DICER1
  • FOXL2
  • Sex-cord stromal tumors
  • Ovary