Skip to main content

Impact of the 2013 ASCO/CAP HER2 revised guidelines on HER2 results in breast core biopsies with invasive breast carcinoma: a retrospective study

This is a preview of subscription content, access via your institution.

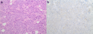
Fig. 1
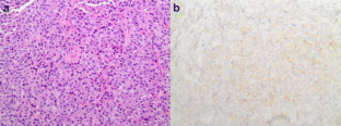
Fig. 2
Fig. 3
Fig. 4
Fig. 5
Fig. 6

References

  1. Allred DC (2010) Issues and updates: evaluating estrogen receptor-alpha, progesterone receptor, and HER2 in breast cancer. Modern Pathol 23(Suppl 2):S52–S59

    CAS  Article  Google Scholar 

  2. Epstein M, Ma Y, Press M (2009) Testing: assessment of status for targeted therapies. In: Harris JR, Lippman ME, Morrow M, Osborne CK (eds) Diseases of the breast, 4th edn. Wolters Kluwer Lippincott Williams & Wilkins, Philadelphia

    Google Scholar 

  3. Chang J, Hilsenbeck S (2009) Prognostic and predictive markers. In: Harris JR, Lippman ME, Morrow M, Osborne CK (eds) Diseases of the breast, 4th edn. Wolters Kluwer Lippincott Williams & Wilkins, Philadelphia, pp. 443–457

    Google Scholar 

  4. Slamon DJ, Leyland-Jones B, Shak S, et al. (2001) Use of chemotherapy plus a monoclonal antibody against HER2 for metastatic breast cancer that overexpresses HER2. New Engl J Med 344(11):783–792

    CAS  Article  PubMed  Google Scholar 

  5. Bedard PL, Cardoso F, Piccart-Gebhart MJ (2009) Stemming resistance to HER-2 targeted therapy. J Mammary Gland Biol 14(1):55–66

    Article  Google Scholar 

  6. Muller KE, Marotti JD, Memoli VA, et al. (2015) Impact of the 2013 ASCO/CAP HER2 guideline updates at an academic medical center that performs primary HER2 FISH testing: increase in equivocal results and utility of reflex immunohistochemistry. Am J Clin Pathol 144(2):247–252

    Article  PubMed  Google Scholar 

  7. Long TH, Lawce H, Durum C, et al (2015) The new equivocal: changes to HER2 FISH results when applying the 2013 ASCO/CAP Guidelines. Am J Clin Pathol 144(2):253:262

  8. Bethune GC, Veldhuijzen van Zanten D, MacIntosh RF, et al. (2015) Impact of the 2013 American Society of Clinical Oncology/College of American Pathologists guideline recommendations for human epidermal growth factor receptor 2 (HER2) testing of invasive breast carcinoma: a focus on tumours assessed as 'equivocal' for HER2 gene amplification by fluorescence in-situ hybridization. Histopathology 67(6):880–887

    Article  PubMed  Google Scholar 

  9. Lim TH, Lim AS, Thike AA, et al. (2016) Implications of the updated 2013 American Society of Clinical Oncology/College of American Pathologists Guideline Recommendations on human epidermal growth factor receptor 2 gene testing using immunohistochemistry and fluorescence in situ hybridization for breast cancer. Arch Pathol Lab Med 140:140–147

    Article  PubMed  Google Scholar 

  10. Varga Z, Noske A. (2015) Impact of modified 2013 ASCO/CAP Guidelines on HER2 testing in breast cancer. One Year Experience. PLOS One 10(10):e0140652

  11. Green IF, Zynger DL (2015) Institutional quality assurance for breast cancer HER2 immunohistochemical testing: identification of outlier results and impact of simultaneous fluorescence in situ hybridization cotesting. Hum Pathol 46(12):1842–1849

    CAS  Article  PubMed  Google Scholar 

  12. Varga Z, Noske A, Ramach C, et al. (2013) Assessment of HER2 status in breast cancer: overall positivity rate and accuracy by fluorescence in situ hybridization and immunohistochemistry in a single institution over 12 years: a quality control study. BMC Cancer 13:615

    Article  PubMed  PubMed Central  Google Scholar 

  13. Wolff AC, Hammond ME, Schwartz JN, et al. (2007) American Society of Clinical Oncology/College of American Pathologists guideline recommendations for human epidermal growth factor receptor 2 testing in breast cancer. Arch Pathol Lab Med 131(1):18–43

    CAS  PubMed  Google Scholar 

  14. Wolff AC, Hammond ME, Hicks DG, et al. (2013) Recommendations for human epidermal growth factor receptor 2 testing in breast cancer: American Society of Clinical Oncology/College of American Pathologists clinical practice guideline update. J Clin Oncol 31(31):3997–4013

    Article  PubMed  Google Scholar 

  15. Dowsett M, Procter M, McCaskill-Stevens W, et al. (2009) Disease-free survival according to degree of HER2 amplification for patients treated with adjuvant chemotherapy with or without 1 year of trastuzumab: the HERA trial. J Clin Oncol 27(18):2962–2969

    CAS  Article  PubMed  PubMed Central  Google Scholar 

  16. Borley A, Mercer T, Morgan M, et al. (2014) Impact of HER2 copy number in IHC2+/FISH-amplified breast cancer on outcome of adjuvant trastuzumab treatment in a large UK cancer network. Brit J Cancer 110(8):2139–2143

    CAS  Article  PubMed  PubMed Central  Google Scholar 

  17. Hanna WM, Ruschoff J, Bilous M, et al. (2014) HER2 in situ hybridization in breast cancer: clinical implications of polysomy 17 and genetic heterogeneity. Modern Pathol 27(1):4–18

    CAS  Article  Google Scholar 

  18. Petroni S, Addati T, Mattioli E, et al. (2012) Centromere 17 copy number alteration: negative prognostic factor in invasive breast cancer? Arch Pathol Lab Med 136(9):993–1000

    CAS  Article  PubMed  Google Scholar 

  19. Perez EA, Reinholz MM, Hillman DW, et al. (2010) HER2 and chromosome 17 effect on patient outcome in the N9831 adjuvant trastuzumab trial. J Clin Oncol 28(28):4307–4315

    Article  PubMed  PubMed Central  Google Scholar 

  20. Kaufman P, Broadwater G, Lezon-Geyda K, et al (2007) CALGB 150002: correlation of HER2 and chromosome 17 (ch17) copy number with trastuzumab (T) efficacy in CALGB 9840, paclitaxel (P) without T in HER2- metastatic breast cancer (MBC). J Clin Oncol 25(18S): Abst. 1009

  21. Fehrenbacher L, Jong-Hyeon J, Rastogi P, et al (2013) NSABP B-47: a randomized phase III trial of adjuvant therapy comparing chemotherapy alone to chemotherapy plus trastuzumab in women with node-positive or high-risk node-negative HER2-low invasive breast cancer. J Clin Oncol 31: Abst. TPS1139

  22. Hammond ME, Hicks DG (2015) American Society of Clinical Oncology/College of American Pathologists Human Epidermal Growth Factor Receptor 2 testing clinical practice guideline upcoming modifications: proof that clinical practice guidelines are living documents. Arch Pathol Lab Med 139(8):970–971

    Article  PubMed  Google Scholar 

  23. Dabbs DJ, Klein ME, Mohsin SK, et al. (2011) High false-negative rate of HER2 quantitative reverse transcription polymerase chain reaction of the oncotype DX test: an independent quality assurance study. J Clin Oncol 29(32):4279–4285

    Article  PubMed  Google Scholar 

  24. Dvorak L, Dolan M, Fink J, et al. (2013) Correlation between HER2 determined by fluorescence in situ hybridization and reverse transcription-polymerase chain reaction of the oncotype DX test. Appl Immunohisto M M 21(3):196–199

    CAS  Google Scholar 

  25. Park MM, Ebel JJ, Zhao W, et al. (2014) ER and PR immunohistochemistry and HER2 FISH versus oncotype DX: implications for breast cancer treatment. Breast J 20(1):37–45

    CAS  Article  PubMed  Google Scholar 

Download references

Acknowledgments

All authors were involved in critically reviewing the manuscript at every stage of development. All authors have read and approved the final manuscript.

Author information

Affiliations

Authors

Corresponding author

Correspondence to Gary H. Tozbikian.

Ethics declarations

We acknowledge responsibility for this work. The work is original and has not been and will not be published in whole or any part in another journal.

Funding

There is no funding to disclose.

Conflict of interest

Author Gary Tozbikian is employed as a member of the Genentech BioOncology Speaker Bureau. Gary Tozbikian has not received grant funding from Genentech BioOncology. Gary Tozbikian has not received speakership honorarium from Genentech BioOncology. The other authors (Wynton B. Overcast, Jianying Zhang, Debra L. Zynger) have no conflicts of interest in this study or finances to disclose.

Sources of supports

None

Rights and permissions

Reprints and Permissions

About this article

Verify currency and authenticity via CrossMark

Cite this article

Overcast, W.B., Zhang, J., Zynger, D.L. et al. Impact of the 2013 ASCO/CAP HER2 revised guidelines on HER2 results in breast core biopsies with invasive breast carcinoma: a retrospective study. Virchows Arch 469, 203–212 (2016). https://doi.org/10.1007/s00428-016-1951-8

Download citation

  • Received:

  • Revised:

  • Accepted:

  • Published:

  • Issue Date:

  • DOI: https://doi.org/10.1007/s00428-016-1951-8

Keywords

  • ASCO/CAP guidelines
  • Breast cancer
  • Equivocal category
  • HER2 immunohistochemistry (IHC)
  • HER2 fluorescence in situ hybridization (FISH)