Skip to main content

Tumor-to-tumor metastasis from lung cancer: a clinicopathological postmortem study

Abstract

This study examined 47 cases of lung cancer concomitant with other tumors and found eight cases (17 %) with nine foci of tumor-to-tumor metastasis, defined as metastasis of lung cancer into another tumor. Donor lung cancers were four adenocarcinomas, two squamous cell carcinomas, and two small cell carcinomas. Tumor-to-tumor metastasis was found in five of six renal cell carcinomas (83 %), one of eight thyroid papillary carcinomas (13 %), one of three adrenocortical adenomas (33 %), one of three pancreatic endocrine microadenomas (33 %), and another lung cancer (one of six cases of multiple lung cancers, 17 %). The higher recipient incidence in renal cell carcinoma was statistically significant compared with prostatic carcinoma (0/16, P < 0.001), colorectal carcinoma (0/7, P = 0.005), and gastric carcinoma (0/5, P = 0.015). Generalized metastases were found in 88 % of the tumor-to-tumor metastasis cases. The total clinical course of patients with tumor-to-tumor metastasis was shorter than that of the patients without tumor-to-tumor metastasis (mean, 5.4 versus 18.8 months; P = 0.046). Tumor-to-tumor metastasis sometimes mimicked undifferentiated recipient tumor cells. Immunostains for thyroid transcription factor 1 (TTF-1), Napsin A, cytokeratin 7 (CK7), and CK5/6 were useful to confirm tumor-to-tumor metastasis. However, TTF-1-, Napsin A-, and/or CK7-negative lung adenocarcinoma components metastasized to renal cell carcinoma in three cases, and recipient renal cell carcinomas were focally Napsin A+ (two cases) or CK7+ (two cases). Tumor-to-tumor metastasis can occur as a result of metastasis from lung cancer with more aggressive behavior. Tumor-to-tumor metastasis should be carefully distinguished from undifferentiated recipient tumor cells.

This is a preview of subscription content, access via your institution.

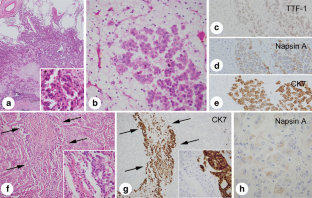
Fig. 1
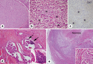
Fig. 2
Fig. 3

References

  1. Ottosson L, Berge T (1968) Metastasis from carcinoma to carcinoma. Acta Pathol Microbiol Scand 73:481–488

    PubMed  Article  CAS  Google Scholar 

  2. Campbell LV Jr, Gilbert E, Chamberlain CR Jr, Watne AL (1968) Metastases of cancer to cancer. Cancer 22:635–643

    PubMed  Article  Google Scholar 

  3. Ichijima K, Yamabe H, Kobashi Y, Iwata T (1980) Metastasis of cancer to cancer. Acta Pathol Jpn 30:293–300

    PubMed  CAS  Google Scholar 

  4. Sella A, Ro JY (1987) Renal cell cancer: best recipient of tumor-to-tumor metastasis. Urology 30:35–38

    PubMed  Article  CAS  Google Scholar 

  5. Singh EO, Benson RC, Wold LE (1984) Cancer-to-cancer metastasis. J Urol 132:340–342

    PubMed  CAS  Google Scholar 

  6. Petraki C, Vaslamatzis M, Argyrakos T et al (2003) Tumor to tumor metastasis. Report of two cases and review of the literature. Int J Surg Pathol 11:127–135

    PubMed  Article  Google Scholar 

  7. Mori K, Kitazawa R, Kondo T, Kitazawa S (2008) Lung adenocarcinoma with micropapillary component presenting with metastatic scrotum tumor and cancer-to-cancer metastasis: a case report. Cases J 1:162

    PubMed  Article  Google Scholar 

  8. Sawada T, Takahashi H, Hasatani K et al (2009) Tumor-to-tumor metastasis: report of an autopsy case of lung adenocarcinoma metastasizing to renal cell carcinoma. Int Med 48:1525–1529

    Article  Google Scholar 

  9. Sakai Y, Kanomata N, Itami H, Kajimoto K, Sakuma T, Ohbayashi C (2010) Signet-ring cell carcinoma of the stomach metastasizing to renal cell carcinoma: a case report and review of the literature. Kobe J Med Sci 55:E122–131

    PubMed  Google Scholar 

  10. Hashimoto K, Yamamoto H, Nakano T et al (2011) Tumor-to-tumor metastasis: lung adenocarcinoma metastasizing to a follicular variant of papillary thyroid carcinoma. Pathol Int 61:435–441

    PubMed  Article  CAS  Google Scholar 

  11. Aggarwal N, Amin RM, Chung D, Parwani AV (2012) Tumor-to-tumor metastasis: case report of a pulmonary adenocarcinoma metastatic to a clear cell renal cell carcinoma. Pathol Res Pract 208:50–52

    PubMed  Article  Google Scholar 

  12. Jackson JG, Symmers WSC (1951) Coexistence at one site of two neoplasms, one of local origin and one metastatic. Brit J Cancer 5:38–44

    PubMed  Article  CAS  Google Scholar 

  13. Fried BM (1958) Primary multiple cancers. Arch Surg 77:730–741

    Article  CAS  Google Scholar 

  14. Maloney JD, Immergut M (1967) The kidney as host in cancer-to-cancer metastasis. J Urol 98:657–660

    PubMed  CAS  Google Scholar 

  15. Onuigbo WIB (1963) Lung cancer metastasis to adrenal cortical adenomas. J Pathol Bacteriol 86:541–543

    PubMed  Article  CAS  Google Scholar 

  16. Chambers PW, Davis RL, Buck FS (1980) Arch Pathol Lab Med 104:350–354

    PubMed  CAS  Google Scholar 

  17. Moriya T, Manabe T, Yamashita K, Arita S (1988) Lung cancer metastasis to adrenocortical adenomas. A chance occurrence or a predilected phenomenon? Arch Pathol Lab Med 112:286–289

    PubMed  CAS  Google Scholar 

  18. Honma K, Hara K, Sawai T (1989) Tumour-to-tumour metastasis. A report of two unusual autopsy cases. Virchows Archiv A Pathol Anat 416:153–157

    Article  CAS  Google Scholar 

  19. Ricketts R, Tamboli P, Czerniak B, Guo CC (2008) Tumor-to-tumor metastasis: report of 2 cases of metastatic carcinoma to angiomyolipoma of the kidney. Arch Pathol Lab Med 132:1016–1020

    PubMed  Google Scholar 

  20. Martin JT, Alkhoury F, Helton S, Fiedler P, Sakharova O, Yood S (2009) Metastatic adenocarcinoma within a functioning adrenal adenoma: a case report. Cases J 2:7965

    PubMed  Article  Google Scholar 

  21. Stevens TM, Richards AT, Bewtra C, Sharma P (2011) Tumors metastatic to thyroid neoplasms: a case report and review of the literature. Patholog Res Int 31:238693

    Google Scholar 

  22. Moody P, Murtagh K, Piduru S, Brem S, Murtagh R, Rojiani AM (2012) Tumor-to-tumor metastasis: pathology and neuroimaging considerations. Int J Clin Exp Pathol 5:367–373

    PubMed  Google Scholar 

  23. Travis WD, Brambilla E, Müller-Hermelink HK, Harris CC (2004) World Health Organization classification of tumours. Pathology and genetics of tumours of the lung, pleura, thymus and heart, 3rd edn. IARC Press, Lyon

    Google Scholar 

  24. Eble JN, Sauter G, Epstein JI, Sesterhenn IA (2004) World Health Organization classification of tumours. Pathology and genetics of tumours of the urinary system and male genital organs, 3rd edn. IARC Press, Lyon

    Google Scholar 

  25. Hruban RH, Pitman MB, Klimstra DS (2007) Tumors of the pancreas. In: Silverberg SG, Sobin LH (eds) AFIP atlas of tumor pathology, 4th series, fascicle 6. American Registry of Pathology, Washington

    Google Scholar 

  26. Lack EE (2007) Tumors of the adrenal glands and extraadrenal paraganglia. In: Silverberg SG, Sobin LH (eds) AFIP atlas of tumor pathology, 4th series, fascicle 8. American Registry of Pathology, Washington

    Google Scholar 

  27. Lloyd RV, Douglas BR, Young WF Jr (2002) Endocrine diseases. In: King DW, Sobin L, Stocker JT, Wagner B (eds) Atlas of nontumor pathology, 1st series, fascicle 1. American Registry of Pathology, Washington

    Google Scholar 

  28. Edeline J, Mottier S, Vigneau C et al (2012) Description of 2 angiogenic phenotypes in clear cell renal cell carcinoma. Hum Pathol 43:1982–1990

    PubMed  Article  CAS  Google Scholar 

  29. Travis WD, Brambilla E, Noguchi M et al (2011) International Association for the Study of Lung Cancer/American Thoracic Society/European Respiratory Society international multidisciplinary classification of lung adenocarcinoma. J Thorac Oncol 6:244–285

    PubMed  Article  Google Scholar 

  30. Whithaus K, Fukuoka J, Prihoda TJ, Jagirdar J (2012) Evaluation of Napsin A, cytokeratin 5/6, p63, and thyroid transcription factor 1 in adenocarcinoma versus squamous cell carcinoma of the lung. Arch Pathol Lab Med 36:155–162

    Article  Google Scholar 

  31. Turner BM, Cagle PT, Sainz IM, Fukuoka J, Shen SS, Jagirdar J (2012) Napsin A, a new marker for lung adenocarcinoma, is complementary and more sensitive and specific than thyroid transcription factor in the differential diagnosis of primary pulmonary carcinoma: evaluation of 1674 cases by tissue microarray. Arch Pathol Lab Med 136:163–171

    PubMed  Article  Google Scholar 

  32. Ordóñez NG (2012) Napsin A expression in lung and kidney neoplasia: a review and update. Adv Anat Pathol 19:66–73

    PubMed  Article  Google Scholar 

  33. Kristiansen G, Schlüns K, Yongwei Y, Daniel M, Petersen I (2002) CD10 expression in non-small cell lung cancer. Anal Cell Pathol 24:41–46

    PubMed  CAS  Google Scholar 

  34. Minardi D, d’Anzeo G, Lucarini G et al (2011) D2-40 immunoreactivity in penile squamous cell carcinoma: a marker of aggressiveness. Hum Pathol 42:1596–1602

    PubMed  Article  CAS  Google Scholar 

Download references

Acknowledgments

The authors thank Kenji Okada for excellent technical assistance and Daniel Mrozek for editing the manuscript.

Conflict of interest statement

We declare that we have no conflict of interest.

Author information

Affiliations

Authors

Corresponding author

Correspondence to Susumu Matsukuma.

Rights and permissions

Reprints and Permissions

About this article

Cite this article

Matsukuma, S., Kono, T., Takeo, H. et al. Tumor-to-tumor metastasis from lung cancer: a clinicopathological postmortem study. Virchows Arch 463, 525–534 (2013). https://doi.org/10.1007/s00428-013-1455-8

Download citation

  • Received:

  • Revised:

  • Accepted:

  • Published:

  • Issue Date:

  • DOI: https://doi.org/10.1007/s00428-013-1455-8

Keywords

  • Tumor-to-tumor metastasis
  • Cancer-to-cancer metastasis
  • Lung cancer
  • Renal cell carcinoma
  • Multiple lung cancers
  • Endocrine microadenoma
  • Immunohistochemistry