Abstract
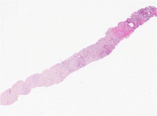
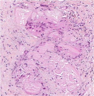
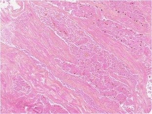
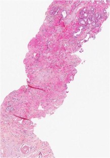
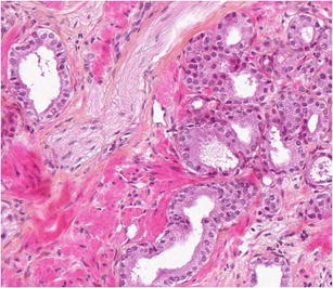
Low-risk prostate adenocarcinoma is classically managed either with active surveillance or radical therapy (such as external radiotherapy or radical prostatectomy), but both have significant side effects. Vascular-targeted photodynamic therapy (VTP) is a focal therapy proposed as an alternative approach for localized, low-volume, and low-Gleason score (≤6) carcinomas. We report histological modifications observed in prostate biopsies of 56 patients, performed 6 months after VTP using the photosensitizer TOOKAD® Soluble (WST11) and low-energy laser administered in the tumor area transperineally by optic fibers. In 53 patients, we observed sharply demarcated hyaline fibrotic scars, with or without rare atrophic glands, sometimes reduced to corpora amylacea surrounded by giant multinuclear macrophages. Mild chronic inflammation, hemosiderin, and coagulative necrosis were also observed. When residual cancer was present in a treated lobe (17 patients), it was always located outside the scar, most often close to the prostate capsule, and it showed no therapy-related modification. Histopathological interpretation of post-WST11 VTP prostate biopsies was straightforward, in contrast with that of prostate biopsies after radio or hormonal therapy, which introduces lesions difficult to interpret. VTP resulted in complete ablation of cancer in the targeted area.





References
Eggener SE, Scardino PT, Carroll PR et al (2007) Localized prostate cancer: a critical appraisal of rationale and modalities. J Urol 178:2260–2267
Marberger M, Carroll PR, Zelefsky MJ et al (2008) New treatments for localized prostate cancer. Urology 72:36–43
Mazzucchelli R, Scarpelli M, Cheng L et al (2009) Pathology of prostate cancer and focal therapy (‘male lumpectomy’). Anticancer Res 29:5155–5161
Ahmed HU, Moore C, Emberton M (2009) Minimally-invasive technologies in uro-oncology: the role of cryotherapy, HIFU and photodynamic therapy in whole gland and focal therapy of localised prostate cancer. Surg Oncol 18:219–232
Lecornet E, Ahmed HU, Moore CM, Emberton M (2010) Conceptual basis for focal therapy in prostate cancer. J Endourol 24:811–818
Arumainayagam N, Moore CM, Ahmed HU, Emberton M (2010) Photodynamic therapy for focal ablation of the prostate. World J Urol 28:571–576
Windahl T, Andersson SO, Lofgren L (1990) Photodynamic therapy of localized prostatic cancer. Lancet 336:1139
Lepor H (2008) Vascular-targeted photodynamic therapy for localized prostate cancer. Rev Urol 10:254–261
Moore C, Pendse D, Emberton M (2009) Photodynamic therapy for prostate cancer—a review of current status and future promise nature clinical practice. Nat Clin Pract Urol 6:18–30
Mazor O, Brandis A, Plaks V et al (2005) WST11, a novel water-soluble bacteriochlorophyll derivative; cellular uptake, pharmacokinetics, biodistribution and vascular-targeted photodynamic activity using melanoma tumors as a model. Photochem Photobiol 81:342–351
Liu T, Wu LY, Choi JK, Berkman CE (2010) Targeted photodynamic therapy for prostate cancer: inducing apoptosis via activation of the caspase-8/-3 cascade pathway. Int J Oncol 36:777–784
Chen Q, Huang Z, Luck D et al (2002) Preclinical studies in normal canine prostate of a novel palladium-bacteriopheophorbide (WST09) photosensitizer for photodynamic therapy of prostate cancer. Photochem Photobiol 76:438–445
Huang Z, Chen Q, Dole KC et al (2007) The effect of Tookad-mediated photodynamic ablation of the prostate gland on adjacent tissues–in vivo study in a canine model. Photochem Photobiol Sci 6:1318–1324
Chevalier S, Anidjar M, Scarlata E et al (2011) Preclinical study of the novel vascular occluding agent, for photodynamic therapy of the canine prostate. J Urol 186:302–309
Evans AJ, Ryan P, Van der Kwast T (2011) Treatment effects in the prostate including those associated with traditional and emerging therapies. Adv Anat Pathol 18:281–293
Srigley JR, Delahunt B, Evans AJ (2012) Therapy-associated effects in the prostate gland. Histopathology 60:153–165
Trachtenberg J, Weersink RA, Davidson SR et al (2008) Vascular-targeted photodynamic therapy (padoporfin, WST09) for recurrent prostate cancer after failure of external beam radiotherapy: a study of escalating light doses. BJU Int 102:556–562
Conflict of interest
Abdel Rahmene Azzouzi is a proctor and investigator for Steba Biotech; other authors declare no conflict of interest.
Author information
Authors and Affiliations
Corresponding author
Rights and permissions
About this article
Cite this article
Eymerit-Morin, C., Zidane, M., Lebdai, S. et al. Histopathology of prostate tissue after vascular-targeted photodynamic therapy for localized prostate cancer. Virchows Arch 463, 547–552 (2013). https://doi.org/10.1007/s00428-013-1454-9
Received:
Revised:
Accepted:
Published:
Issue Date:
DOI: https://doi.org/10.1007/s00428-013-1454-9