Skip to main content

Multidrug resistance protein 4 (MRP4) expression in prostate cancer is associated with androgen signaling and decreases with tumor progression

An Erratum to this article was published on 01 June 2013

Abstract

Multidrug resistance protein 4 (MRP4) is a transmembrane transport protein found in many cell types and is involved in substrate-specific transport of endogenous and exogenous substrates. Recently, it has shown to be expressed in prostate cancer cell lines and to be among the most commonly upregulated transcripts in prostate cancer, although a comprehensive expression analysis is lacking so far. We aimed to investigate its expression by immunohistochemistry in a larger cohort of neoplastic and nonneoplastic prostate tissues (n = 441) and to correlate its expression with clinicopathological parameters including PSA-free survival times and molecular correlates of androgen signaling (androgen receptor (AR), prostate-specific antigen (PSA), and forkhead box A (FoxA)). MRP4 is widely expressed in benign and neoplastic prostate epithelia, but its expression gradually decreases during tumor progression towards castrate-resistant disease. Concordantly, it correlated with conventional prognosticators of disease progression and—within the group of androgen-dependent tumors—with AR and FoxA expression. Moreover, lower levels of MRP4 expression were associated with shorter PSA relapse-free survival times in the androgen-dependent group. In benign tissues, we found zone-dependent differences of MRP4 expression, with the highest levels in the peripheral and central zones. Although MRP4 is known to be regulated in prostate cancer, this study is the first to demonstrate a gradual downregulation of MRP4 protein during malignant tumor progression and a prognostic value of this loss of expression.

This is a preview of subscription content, access via your institution.

Fig. 1
Fig. 2
Fig. 3

References

  1. Deeley RG, Westlake C, Cole SP (2006) Transmembrane transport of endo- and xenobiotics by mammalian ATP-binding cassette multidrug resistance proteins. Physiol Rev 86(3):849–899. doi:10.1152/physrev.00035.2005

    PubMed  Article  CAS  Google Scholar 

  2. Borst P, de Wolf C, van de Wetering K (2007) Multidrug resistance-associated proteins 3, 4, and 5. Pflugers Arch 453(5):661–673. doi:10.1007/s00424-006-0054-9

    PubMed  Article  CAS  Google Scholar 

  3. Kruh GD, Belinsky MG, Gallo JM, Lee K (2007) Physiological and pharmacological functions of Mrp2, Mrp3 and Mrp4 as determined from recent studies on gene-disrupted mice. Cancer Metastasis Rev 26(1):5–14. doi:10.1007/s10555-007-9039-1

    PubMed  Article  CAS  Google Scholar 

  4. Russel FG, Koenderink JB, Masereeuw R (2008) Multidrug resistance protein 4 (MRP4/ABCC4): a versatile efflux transporter for drugs and signalling molecules. Trends Pharmacol Sci 29(4):200–207. doi:10.1016/j.tips.2008.01.006

    PubMed  Article  CAS  Google Scholar 

  5. Cai C, Omwancha J, Hsieh CL, Shemshedini L (2007) Androgen induces expression of the multidrug resistance protein gene MRP4 in prostate cancer cells. Prostate Cancer Prostatic Dis 10(1):39–45. doi:10.1038/sj.pcan.4500912

    PubMed  Article  CAS  Google Scholar 

  6. Ho LL, Kench JG, Handelsman DJ, Scheffer GL, Stricker PD, Grygiel JG, Sutherland RL, Henshall SM, Allen JD, Horvath LG (2008) Androgen regulation of multidrug resistance-associated protein 4 (MRP4/ABCC4) in prostate cancer. Prostate 68(13):1421–1429. doi:10.1002/pros.20809

    PubMed  Article  CAS  Google Scholar 

  7. Chen C, Klaassen CD (2004) Rat multidrug resistance protein 4 (Mrp4, Abcc4): molecular cloning, organ distribution, postnatal renal expression, and chemical inducibility. Biochem Biophys Res Commun 317(1):46–53. doi:10.1016/j.bbrc.2004.03.014S0006291X04004887

    PubMed  Article  CAS  Google Scholar 

  8. Maher JM, Cheng X, Tanaka Y, Scheffer GL, Klaassen CD (2006) Hormonal regulation of renal multidrug resistance-associated proteins 3 and 4 (Mrp3 and Mrp4) in mice. Biochem Pharmacol 71(10):1470–1478. doi:10.1016/j.bcp.2006.02.005

    PubMed  Article  CAS  Google Scholar 

  9. Bochkis IM, Rubins NE, White P, Furth EE, Friedman JR, Kaestner KH (2008) Hepatocyte-specific ablation of Foxa2 alters bile acid homeostasis and results in endoplasmic reticulum stress. Nat Med 14(8):828–836. doi:10.1038/nm.1853

    PubMed  Article  CAS  Google Scholar 

  10. Le Lay J, Kaestner KH (2010) The Fox genes in the liver: from organogenesis to functional integration. Physiol Rev 90(1):1–22. doi:10.1152/physrev.00018.2009

    PubMed  Article  Google Scholar 

  11. Gao N, Zhang J, Rao MA, Case TC, Mirosevich J, Wang Y, Jin R, Gupta A, Rennie PS, Matusik RJ (2003) The role of hepatocyte nuclear factor-3 alpha (Forkhead Box A1) and androgen receptor in transcriptional regulation of prostatic genes. Mol Endocrinol 17(8):1484–1507. doi:10.1210/me.2003-0020

    PubMed  Article  CAS  Google Scholar 

  12. Yu X, Gupta A, Wang Y, Suzuki K, Mirosevich J, Orgebin-Crist MC, Matusik RJ (2005) Foxa1 and Foxa2 interact with the androgen receptor to regulate prostate and epididymal genes differentially. Ann N Y Acad Sci 1061:77–93. doi:10.1196/annals.1336.009

    PubMed  Article  CAS  Google Scholar 

  13. Laganiere J, Deblois G, Lefebvre C, Bataille AR, Robert F, Giguere V (2005) From the cover: location analysis of estrogen receptor alpha target promoters reveals that FOXA1 defines a domain of the estrogen response. Proc Natl Acad Sci U S A 102(33):11651–11656. doi:10.1073/pnas.0505575102

    PubMed  Article  CAS  Google Scholar 

  14. Nakshatri H, Badve S (2009) FOXA1 in breast cancer. Expert Rev Mol Med 11:e8. doi:10.1017/S1462399409001008

    PubMed  Article  Google Scholar 

  15. Kaestner KH, Knochel W, Martinez DE (2000) Unified nomenclature for the winged helix/forkhead transcription factors. Genes Dev 14(2):142–146

    PubMed  CAS  Google Scholar 

  16. Carlsson P, Mahlapuu M (2002) Forkhead transcription factors: key players in development and metabolism. Dev Biol 250(1):1–23

    PubMed  Article  CAS  Google Scholar 

  17. Gerhardt J, Montani M, Wild P, Beer M, Huber F, Hermanns T, Muntener M, Kristiansen G (2012) FOXA1 promotes tumor progression in prostate cancer and represents a novel hallmark of castration-resistant prostate cancer. Am J Pathol 180(2):848–861. doi:10.1016/j.ajpath.2011.10.021

    PubMed  Article  CAS  Google Scholar 

  18. Kristiansen G, Pilarsky C, Wissmann C, Kaiser S, Bruemmendorf T, Roepcke S, Dahl E, Hinzmann B, Specht T, Pervan J, Stephan C, Loening S, Dietel M, Rosenthal A (2005) Expression profiling of microdissected matched prostate cancer samples reveals CD166/MEMD and CD24 as new prognostic markers for patient survival. J Pathol 205(3):359–376. doi:10.1002/path.1676

    PubMed  Article  CAS  Google Scholar 

  19. Tischler V, Fritzsche FR, Wild PJ, Stephan C, Seifert HH, Riener MO, Hermanns T, Mortezavi A, Gerhardt J, Schraml P, Jung K, Moch H, Soltermann A, Kristiansen G (2010) Periostin is up-regulated in high grade and high stage prostate cancer. BMC Cancer 10:273. doi:10.1186/1471-2407-10-273

    PubMed  Article  Google Scholar 

  20. Peng XX, Shi Z, Damaraju VL, Huang XC, Kruh GD, Wu HC, Zhou Y, Tiwari A, Fu L, Cass CE, Chen ZS (2008) Up-regulation of MRP4 and down-regulation of influx transporters in human leukemic cells with acquired resistance to 6-mercaptopurine. Leuk Res 32(5):799–809. doi:10.1016/j.leukres.2007.09.015

    PubMed  Article  CAS  Google Scholar 

  21. Sekine S, Ogawa R, Ojima H, Kanai Y (2011) Expression of SLCO1B3 is associated with intratumoral cholestasis and CTNNB1 mutations in hepatocellular carcinoma. Cancer Sci 102(9):1742–1747. doi:10.1111/j.1349-7006.2011.01990.x

    PubMed  Article  CAS  Google Scholar 

  22. Copsel S, Garcia C, Diez F, Vermeulem M, Baldi A, Bianciotti LG, Russel FG, Shayo C, Davio C (2011) Multidrug resistance protein 4 (MRP4/ABCC4) regulates cAMP cellular levels and controls human leukemia cell proliferation and differentiation. J Biol Chem 286(9):6979–6988. doi:10.1074/jbc.M110.166868

    PubMed  Article  CAS  Google Scholar 

  23. Mohler JL (2008) A role for the androgen-receptor in clinically localized and advanced prostate cancer. Best Pract Res Clin Endocrinol Metab 22(2):357–372. doi:10.1016/j.beem.2008.01.009

    PubMed  Article  CAS  Google Scholar 

  24. Gao N, Ishii K, Mirosevich J, Kuwajima S, Oppenheimer SR, Roberts RL, Jiang M, Yu X, Shappell SB, Caprioli RM, Stoffel M, Hayward SW, Matusik RJ (2005) Forkhead box A1 regulates prostate ductal morphogenesis and promotes epithelial cell maturation. Development 132(15):3431–3443. doi:10.1242/dev.01917

    PubMed  Article  CAS  Google Scholar 

Download references

Conflict of interest

Any financial or conflicting interests in the publication of this article are disclosed by the authors.

Author information

Affiliations

Authors

Corresponding author

Correspondence to Glen Kristiansen.

Additional information

An erratum to this article is available at http://dx.doi.org/10.1007/s00428-013-1429-x.

Electronic supplementary material

Below is the link to the electronic supplementary material.

ESM 1
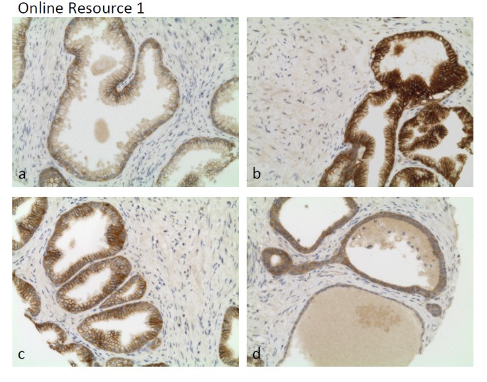
figure 4

Different immunohistochemical staining intensities for membranous MRP4 expression in non-neoplastic tissue: a) hyperplastic glands from the transitional zone with weak membranous positivity (Score 1), b) strong continuous positivity (Score 3) in glands from the ventral zone, c) glands from the peripheral zone with strong but variable positivity (Score 2), d) atrophic glands from the peripheral zone with virtually no membranous positivity (Score 0). (JPEG 116 kb)

ESM 2
figure 5

Mean expression levels of MRP4, epithelial and stromal AR, FoxA and PSA expression in different categories, such as normal tissue from the peripheral zone, primary carcinomas and castrate resistant and metastasizing disease, respectively. (JPEG 587 kb)

High resolution image (TIFF 2262 kb)

High resolution image (TIFF 1638 kb)

Rights and permissions

Reprints and Permissions

About this article

Cite this article

Montani, M., Herrmanns, T., Müntener, M. et al. Multidrug resistance protein 4 (MRP4) expression in prostate cancer is associated with androgen signaling and decreases with tumor progression. Virchows Arch 462, 437–443 (2013). https://doi.org/10.1007/s00428-013-1390-8

Download citation

  • Received:

  • Revised:

  • Accepted:

  • Published:

  • Issue Date:

  • DOI: https://doi.org/10.1007/s00428-013-1390-8

Keywords

  • Prostate cancer
  • MRP4
  • Androgen receptor
  • FoxA
  • Immunohistochemistry