Skip to main content

Stromal p16 expression differentiates endometrial polyp from endometrial hyperplasia

Abstract

Endometrial polyps are very common benign endometrial lesions, but their pathogenesis is poorly understood, except for a few studies indicating the possibility of benign stromal neoplasm. Although the histopathological diagnosis of endometrial polyp on a surgical specimen is straightforward, it is often difficult to differentiate endometrial polyp from endometrial hyperplasia on a biopsy or curettage specimen. Presently, there is no immunohistochemical marker helpful in this differential diagnosis. In this study, we examined p16 expression in 35 endometrial polyps and 33 cases of endometrial hyperplasia that included 16 simple hyperplasias, 14 complex atypical hyperplasias, and 3 complex hyperplasias without atypia. Stromal p16 expression differed significantly between the two groups; it was seen in 31 (89 %) endometrial polyps, but in only 1 (3 %) endometrial hyperplasia. The percentage of p16-positive stromal cells ranged from 10 to 90 % (mean, 47 %) and the positive cells tended to be distributed around glands. Six cases of endometrial hyperplasia within an endometrial polyp were also examined and all cases showed stromal p16 expression. There was no difference in glandular p16 expression between endometrial polyps 33 (94 %) and hyperplasia 27 (82 %). The p16-immunoreactivity was mostly confined to metaplastic epithelial cells in both groups. Stromal p16 expression might be a peculiar characteristic of endometrial polyp and constitute a useful marker for the diagnosis, especially in fragmented specimens from biopsy or curettage. Stromal p16 expression might be a reflection of p16-induced cellular senescence, which has been documented in several benign mesenchymal neoplasms.

This is a preview of subscription content, access via your institution.

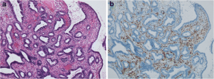
Fig. 1
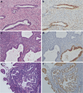
Fig. 2
Fig. 3

References

  1. Silverberg SG (1992) Endometrial polyp and hyperplasias. In: Silverberg SG, Kurman RJ (eds) Tumors of the uterine corpus and gestational trophoblastic disease. Atlas of tumor pathology. Third series. Fascicle 3. Armed Forces Institute of Pathology, Washington, pp 15–45

    Google Scholar 

  2. Reslová T, Tosner J, Resl M et al (1999) Endometrial polyps. A clinical study of 245 cases. Arch Gynecol Obstet 262:133–139

    PubMed  Article  Google Scholar 

  3. Silverberg SG (2000) Problems in the differential diagnosis of endometrial hyperplasia and carcinoma. Mod Pathol 13:309–327

    PubMed  Article  CAS  Google Scholar 

  4. Winkler B, Alvarez S, Richart RM et al (1984) Pitfalls in the diagnosis of endometrial hyperplasia. Obstet Gynecol 64:185–193

    PubMed  CAS  Google Scholar 

  5. Allison KH, Reed SD, Voigt LF et al (2008) Diagnosing endometrial hyperplasia: why is it so difficult to agree? Am J Surg Pathol 32:691–698

    PubMed  Article  Google Scholar 

  6. Kim KR, Peng R, Ro JY et al (2004) A diagnostically useful histopathologic feature of endometrial polyp. The long axis of endometrial glands arranged parallel to surface epithelium. Am J Surg Pathol 28:1057–1062

    PubMed  Article  Google Scholar 

  7. Huang E, Hornstein MD, Stewart EA et al (2011) Evaluation of the cyclic endometrium and benign endometrial disorders. In: Crum CP, Nucci MR, Lee KR (eds) Diagnostic gynecologic and obstetric pathology, 2nd edn. Elsevier Saunders, Philadelphia, pp 407–456

    Chapter  Google Scholar 

  8. McCluggage WG (2011) Benign diseases of the endometrium. In: Kurmann RJ, Ellenson LH, Ronnett BM (eds) Blaustein’s pathology of the female genital tract, 6th edn. Springer, New York, pp 307–358

    Google Scholar 

  9. Malpica A, Deavers MT, Euscher E (2010) Benign endometrial conditions. In: Malpica A, Deavers MT, Euscher E (eds) Biopsy interpretation of the uterine cervix and corpus. Lippincott Williams & Wilkins, Philadelphia, pp 117–144

    Google Scholar 

  10. O’Neill CJ, McCluggage WG (2006) p16 expression in the female genital tract and its value in diagnosis. Adv Anat Pathol 13:8–15

    PubMed  Article  Google Scholar 

  11. Keating JT, Cviko A, Riethdorf S et al (2001) Ki-67, Cyclin E, and p16INK4 are complimentary surrogate biomarkers for human papilloma virus-related cervical neoplasia. Am J Surg Pathol 25:884–891

    PubMed  Article  CAS  Google Scholar 

  12. Klaes R, Friedrich T, Ridder R et al (2002) p16INK4a immunohistochemistry improves interobserver agreement in the diagnosis of cervical intraepithelial neoplasia. Am J Surg Pathol 26:1389–1399

    PubMed  Article  Google Scholar 

  13. Chiesa-Vottero A, Malpica A, Deavers MT, Broaddus R, Nuovo GJ, Silva EG (2007) Immunohistochemical overexpression of p16 and p53 in uterine serous carcinoma and ovarian high-grade serous carcinoma. Int J Gynecol Pathol 26:328–333

    PubMed  Article  Google Scholar 

  14. Yemelyanova A, Ji H, Shih JM et al (2009) Utility of p16 expression for distinction of uterine serous carcinomas from endometrial endometrioid and endocervical adenocarcinomas. Immunohistochemical analysis of 201 cases. Am J Surg Pathol 33:1504–1514

    PubMed  Article  Google Scholar 

  15. Gannon BR, Manduch M, Childs TJ (2007) Differential immunoreactivity of p16 in leiomyosarcomas and leiomyoma variants. Int J Gynecol Pathol 27:68–73

    Article  Google Scholar 

  16. D’Angelo E, Prat J (2010) Uterine sarcomas: a review. Gynecol Oncol 116:131–139

    PubMed  Article  Google Scholar 

  17. Carlson JW, Mutter GL (2008) Endometrial intraepithelial neoplasia is associated with polyps and frequently has metaplastic change. Histopathology 53:325–332

    PubMed  Article  CAS  Google Scholar 

  18. Marotti JD, Glatz K, Parkash V, Hecht JL (2011) International internet-based assessment of observer variability for diagnostically challenging endometrial biopsies. Arch Pathol Lab Med 135:464–470

    PubMed  Google Scholar 

  19. Romagosa C, Simonetti S, López-Vincente L et al (2011) p16Ink-4a overexpression in cancer: a tumor suppressor gene associated with senescence and high-grade tumors. Oncogene 30:2087–2097

    PubMed  Article  CAS  Google Scholar 

  20. Serrano M (1997) The tumor suppressor protein p16INK4a. Exp Cell Res 237:7–13

    PubMed  Article  CAS  Google Scholar 

  21. Munger K, Werness BA, Dyson N, et al (1989) Complex formation of human papillomavirus E7 proteins with the retinoblastoma tumor suppressor gene product. EMBO J 4099–4105.

  22. Schwartz B, Avivi-Green C, Polak-Charcon S (1998) Sodium butyrate induces retinoblastoma protein dephosphorylation, p16 expression and growth arrest of colon cancer cells. Mol Cell Biochem 188:21–30

    PubMed  Article  CAS  Google Scholar 

  23. Michaloglou C, Vredeveld LCW, Soengas MS et al (2005) BRAFE600-associated senescence-like cell cycle arrest of human naevi. Nature 436:720–724

    PubMed  Article  CAS  Google Scholar 

  24. Sabah M, Cummins R, Leader M et al (2006) Loss of p16(INK4A) expression is associated with allelic imbalance/loss of heterozygosity of chromosome 9p21 in microdissected malignant peripheral nerve sheath tumors. Appl Immunohistochem Mol Morphol 14:97–102

    PubMed  Article  Google Scholar 

  25. Fletcher JA, Pinkus JL, Lage JM et al (1992) Clonal 6p21 rearrangement is restricted to the mesenchymal component of an endometrial polyp. Genes Chrom Cancer 5:260–263

    PubMed  Article  CAS  Google Scholar 

  26. Cin PD, Wanschura S, Kazmierczak B et al (1998) Amplification and expression of the HMGIC gene in a benign endometrial polyp. Genes Chrom Cancer 22:95–99

    Article  CAS  Google Scholar 

  27. Moghrabi HA, Elkeilani A, Thomas JM et al (2007) Calretinin: an immunohistochemical marker for the normal functional endometrial stroma and alterations of the immunoreactivity in dysfunctional uterine bleeding. Path Res Pract 203:79–83

    PubMed  Article  Google Scholar 

  28. Mai KT, Teo I, Moghrabi HA et al (2008) Calretinin and CD34 immunoreactivity of the endometrial stroma in normal endometrium and change of the immunoreactivity in dysfunctional uterine bleeding with evidence of ‘disordered endometrial stroma’. Pathology 40:493–499

    PubMed  Article  CAS  Google Scholar 

  29. Horree N, Heintz APM, Sie-Go DMDS et al (2007) p16 is consistently expressed in endometrial tubal metaplasia. Cell Oncol 29:37–45

    PubMed  CAS  Google Scholar 

  30. Murphy N, Heffron CCBB, King B et al (2004) p16INK4a positivity in benign, premalignant and malignant cervical glandular lesions: a potential diagnostic problem. Virchows Arch 445:610–615

    PubMed  Article  CAS  Google Scholar 

Download references

Acknowledgments

This work was supported by a grant-in-aid for clinical research from the National Hospital Organization of Japan.

Conflict of interest statement

The authors declare that they have no conflict of interest.

Author information

Affiliations

Authors

Corresponding author

Correspondence to Suzuko Moritani.

Rights and permissions

Reprints and Permissions

About this article

Cite this article

Moritani, S., Ichihara, S., Hasegawa, M. et al. Stromal p16 expression differentiates endometrial polyp from endometrial hyperplasia. Virchows Arch 461, 141–148 (2012). https://doi.org/10.1007/s00428-012-1276-1

Download citation

  • Received:

  • Revised:

  • Accepted:

  • Published:

  • Issue Date:

  • DOI: https://doi.org/10.1007/s00428-012-1276-1

Keywords

  • Endometrial polyp
  • p16
  • Endometrial hyperplasia
  • Stromal p16 expression