Abstract
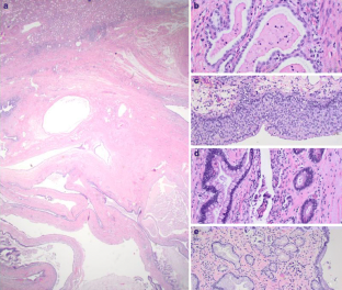
We report a mucinous borderline tumor arising from a mixed epithelial and stromal tumor of left kidney (MESTK). The patient was an 82-year-old woman who presented with gross hematuria and recurrent urinary tract infection for years. The patient had a cytoscopy with a retrograde pyelogram, which indicated a dilated left kidney with a central mass lesion. Subsequently, she underwent a radical left nephrectomy. Cross-sections of left kidney showed a 4.5 × 3.5 × 1.5 cm ill-defined cystic lesion with mucinous and solid areas. Histologic sections of the lesion showed numerous variable-sized dilated cysts with fibrous, fatty, vascular, and smooth muscle stroma. The cysts were lined by a various types of epithelium, including single layer of flat, cuboidal and mucinous epithelium, urothelium, intestinal epithelium, and endocervical epithelium. In areas, the mucinous epithelium showed complex proliferation with stratification, papillae formation, and nuclear atypia, resembling that of an ovarian mucinous borderline tumor, a colorectal tubular adenoma, or a low-grade appendiceal mucinous carcinoma. Immunohistochemically, the mucinous borderline tumor showed a colorectal phenotype, being strongly positive for CK20, CDX-2, and MUC2. There was no invasive mucinous tumor identified. We believe that this case represents the first reported example of mucinous borderline tumor arising from a MESTK.
Access this article
We’re sorry, something doesn't seem to be working properly.
Please try refreshing the page. If that doesn't work, please contact support so we can address the problem.



References
Michal M, Syrucek M (1998) Benign mixed epithelial and stromal tumor of the kidney. Pathol Res Pract 194:445–448
Eble JN, Sauter G, Epstein JI et al (2004) Pathology and genetics of tumors of the urinary system and male genital organs. IARC, Lyon
Pawade J, Soosay GN, Delprado W et al (1993) Cystic hematoma of the renal pelvis. Am J Surg Pathol 17:1169–1175
Turbiner J, Amin MB, Humphrey PA et al (2007) Cystic nephroma and mixed epithelial and stromal tumor of kidney: a detailed clinicopathologic analysis of 34 cases and proposal for renal epithelial and stromal tumor (REST) as a unifying term. Am J Surg Pathol 31:489–500
Adsay NV, Eble JN, Srigley JR et al (2000) Mixed epithelial and stromal tumor of the kidney. Am J Surg Pathol 24:958–970
Antic T, Perry KT, Harrison K et al (2006) Mixed epithelial and stromal tumor of the kidney and cystic nephroma share overlapping features: reappraisal of 15 lesions. Arch Pathol Lab Med 130:80–85
Zhou M, Kort E, Hoekstra P et al (2009) Adult cystic nephroma and mixed epithelial and stromal tumor of the kidney are the same disease entity: molecular and histologic evidence. Am J Surg Pathol 33:72–80
Michal M, Hes O, Bisceglia M et al (2004) Mixed epithelial and stromal tumors of the kidney. A report of 22 cases. Virchows Arch 445:359–367
Yang Y, Ondrej H, Zhang L et al (2005) Mixed epithelial and stromal tumor of the kidney with cervical and intestinal differentiation. Virchows Arch 447:669–671
Beiko DT, Nickel JC, Boag AH et al (2001) Benign mixed epithelial stromal tumor of the kidney of possible mullerian origin. J Urol 166:1381–1382
Jung SJ, Shen SS, Tran T et al (2008) Mixed epithelial and stromal tumor of kidney with malignant transformation: report of two cases and review of literature. Hum Pathol 39:463–468
Svec A, Hes O, Michal M et al (2001) Malignant mixed epithelial and stromal tumor of the kidney. Virchows Arch 439:700–702
Kuroda N, Sakaida N, Kinoshita H et al (2008) Carcinosarcoma arising in mixed epithelial and stromal tumor of the kidney. APMIS 116:1013–1015
Sukov WR, Cheville JC, Lager DJ et al (2007) Malignant mixed epithelial and stromal tumor of the kidney with rhabdoid features: report of a case including immunohistochemical, molecular genetic studies and comparison to morphologically similar renal tumors. Hum Pathol 38:1432–1437
Nakagawa T, Kanai Y, Fujimoto H et al (2004) Malignant mixed epithelial and stromal tumours of the kidney: a report of the first two cases with a fatal clinical outcome. Histopathology 44:302–304
Ji H, Isacson C, Seidman JD et al (2002) Cytokeratins 7 and 20, Dpc4, and MUC5AC in the distinction of metastatic mucinous carcinomas in the ovary from primary ovarian mucinous tumors: Dpc4 assists in identifying metastatic pancreatic carcinomas. Int J Gynecol Pathol 21:391–400
Vang R, Gown AM, Barry TS et al (2006) Cytokeratins 7 and 20 in primary and secondary mucinous tumors of the ovary: analysis of coordinate immunohistochemical expression profiles and staining distribution in 179 cases. Am J Surg Pathol 30:1130–1139
He H, Luthringer DJ, Hui P et al (2008) Expression of CD56 and WT1 in ovarian stroma and ovarian stromal tumors. Am J Surg Pathol 32:884–890
Conflict of interest statement
We declare that we have no conflict of interest.
Author information
Authors and Affiliations
Corresponding author
Rights and permissions
About this article
Cite this article
Chu, P.G., Lau, S.K., Weiss, L.M. et al. Intestinal type of mucinous borderline tumor arising from mixed epithelial and stromal tumor of kidney. Virchows Arch 455, 389–394 (2009). https://doi.org/10.1007/s00428-009-0831-x
Received:
Revised:
Accepted:
Published:
Issue Date:
DOI: https://doi.org/10.1007/s00428-009-0831-x