Skip to main content

Well-differentiated and dedifferentiated liposarcomas

Abstract

Atypical lipomatous tumor or well-differentiated liposarcoma (ALT-WDLPS) and dedifferentiated liposarcoma (DDLPS) share the same basic genetic abnormality characterized by a simple genomic profile with a 12q14–15 amplification involving MDM2 gene. These tumors are the most frequent LPS. This paper reviews the molecular pathology, general clinical and imaging features, histopathology, new diagnostic tools, and prognosis of ALT-WDLPS and DDLPS.

This is a preview of subscription content, access via your institution.

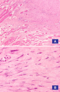
Fig. 1
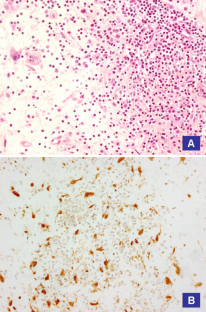
Fig. 2
Fig. 3
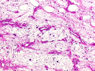
Fig. 4
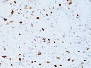
Fig. 5
Fig. 6
Fig. 7
Fig. 8
Fig. 9
Fig. 10
Fig. 11
Fig. 12
Fig. 13
Fig. 14
Fig. 15
Fig. 16
Fig. 17

References

  1. Fletcher CDM, Unni KK, Mertens F (2002) Pathology and genetics. Tumours of soft tissue and bone. IARC, Lyon

    Google Scholar 

  2. Idbaih A, Coindre JM, Derré J et al (2005) Myxoid malignant fibrous histiocytoma and pleomorphic liposarcoma share very similar genomic imbalances. Lab Invest 85:176–181

    Article  CAS  PubMed  Google Scholar 

  3. Willems SM, Debiec-Rychter M, Szuhai K et al (2006) Local recurrence of myxofibrosarcoma is associated with increase in tumour grade and cytogenetic aberrations, suggesting a multistep tumour progression model. Mod Pathol 19:407–416

    Article  PubMed  Google Scholar 

  4. Rubin BP, Fletcher CDM (1997) The cytologenetics of lipomatous tumours. Histopathology 30:507–511

    Article  CAS  PubMed  Google Scholar 

  5. Pedeutour F, Marie G, Sirvent N (2004) De la cytogénétique à la cytogénomique des tumeurs adipocytaires. 2. Tumeurs adipocytaires malignes. Bull Cancer 91:317–323

    CAS  PubMed  Google Scholar 

  6. Sandberg AA (2004) Updates on the cytogenetics and molecular genetics of bone and soft tissue tumors: liposarcoma. Cancer Genet Cytogenet 155:1–24

    Article  CAS  PubMed  Google Scholar 

  7. Pedeutour F, Suijkerbuijk RF, Forus A et al (1994) Complex composition and co-amplification of SAS and MDM2 in ring and giant rod marker chromosomes in well-differentiated liposarcomas. Genes Chromosomes Cancer 10:85–94

    Article  CAS  PubMed  Google Scholar 

  8. Italiano A, Blanchini L, Keslair F et al (2008) HMGA2 is the partner of MDM2 in well-differentiated and dedifferentiated liposarcomas whereas CDK4 belongs to a distinctive inconsistent amplicon. Int J Cancer 122:2233–2241

    Article  CAS  PubMed  Google Scholar 

  9. Sirvent N, Forus A, Lescaut W et al (2000) Characterization of centromere alterations in liposarcomas. Genes Chromosomes Cancer 29:117–129

    Article  CAS  PubMed  Google Scholar 

  10. Pedeutour F, Forus A, Coindre JM et al (1999) Structure of the supernumerary ring and giant rod chromosomes in adipose tissue tumors. Genes Chromosomes Cancer 24:30–41

    Article  CAS  PubMed  Google Scholar 

  11. Italiano A, Maire G, Sirvent N et al (2009) Variability of origin for the neocentromeric sequences in analphoid supernumerary marker chromosomes of well-differentiated liposarcomas. Cancer Lett 273:323–330

    Article  CAS  PubMed  Google Scholar 

  12. Sirvent N, Coindre JM, Marie G et al (2007) Detection of MDM2-CDK4 amplification by fluorescence in situ hybridization in 200 paraffin-embedded tumor samples: utility in diagnosing adipocytic lesions and comparison with immunohistochemistry and real-time PCR. Am J Surg Pathol 31:1476–1489

    Article  PubMed  Google Scholar 

  13. Bui Nguyen Binh M, Sastre-Garau X, Guillou L et al (2005) MDM2 and CDK4 immunostainings are useful adjuncts in diagnosing well-differentiated and dedifferentiated liposarcoma subtypes. A comparative analysis of 559 soft tissue neoplasms with genetic data. Am J Surg Pathol 29:1340–1347

    Article  Google Scholar 

  14. Chibon F, Mariani O, Derré J et al (2002) A subgroup of malignant fibrous histiocytomas in associated with genetic changes similar to those of well-differentiated liposarcomas. Cancer Genet Cytogenet 139:24–29

    Article  CAS  PubMed  Google Scholar 

  15. Mariani O, Brennetot C, Coindre JM et al (2007) JUN oncogene amplification and overexpression block adipocytic differentiation in highly aggressive sarcomas. Cancer Cell 11:361–374

    Article  CAS  PubMed  Google Scholar 

  16. Chibon F, Mariani O, Derré J et al (2004) ASKI (MAP3K5) as a potential therapeutic target in malignant fibrous histiocytomas with 12q14–15 and 6q23 amplifications. Genes Chromosomes Cancer 40:32–37

    Article  CAS  PubMed  Google Scholar 

  17. Momand J, Wu HH, Dasgupta G (2000) MDM2-master regulator of the p53 tumor suppressor protein. Gene 242:15–29

    Article  CAS  PubMed  Google Scholar 

  18. Ortega S, Malumbres M, Barbacid M (2002) Cyclin D-dependent kinases, INK4 inhibitors and cancer. Biochim Biophys Acta 1602:73–87

    CAS  PubMed  Google Scholar 

  19. Castriota G, Thompson GM, Lin Y et al (2007) Peroxisome proliferator-activited receptor gamma agonists inhibit adipocyte expression of alpha1-acid glycoprotein. Cell Biol Int 31:586–591

    Article  CAS  PubMed  Google Scholar 

  20. Singer S, Socci ND, Ambrosini G et al (2007) Gene expression profiling of liposarcoma identifies distinct biological types/subtypes and potential therapeutic targets in well-differentiated and dedifferentiated liposarcoma. Cancer Res 67:6626–6636

    Article  CAS  PubMed  Google Scholar 

  21. Müller CR, Paulsen EB, Noordhuis P et al (2007) Potential for treatment of liposarcomas with the MDM2 antagonist Nutlin-3A. Int J Cancer 121:199–205

    Article  PubMed  CAS  Google Scholar 

  22. Shapiro GI (2006) Cyclin-dependent kinase pathways as targets for cancer treatment. J Clin Oncol 24:1770–1783

    Article  CAS  PubMed  Google Scholar 

  23. Cuadrado A, Gnozalez L, Suarez Y et al (2004) JNK activation is critical for Aplidin-induced apoptosis. Oncogene 23:4673–4680

    Article  CAS  PubMed  Google Scholar 

  24. Dei Tos AP, Pedeutour F (2002) Atypical lipomatous tumour/well differentiated liposarcoma. In: Fletcher CDM, Unni KK, Mertens F (eds) Pathology and Genetics. Tumours of soft tissue and bone. IARC, Lyon, pp 35–37

    Google Scholar 

  25. Pilotti S, Della Torre G, Mezzelani A et al (2000) The expression of MDM2/CDK4 gene product in the differential diagnosis of well differentiated liposarcoma and large deep-seated lipoma. Br J Cancer 82:1271–1275

    Article  CAS  PubMed  Google Scholar 

  26. Dalal KM, Kattan MW, Antonescu CR et al (2006) Subtype specific prognostic nomogram for patients with primary liposarcoma of the retroperitoneum, extremity, or trunk. Ann Surg 244:381–391

    PubMed  Google Scholar 

  27. Weiss SW, Goldblum JR (2008) Liposarcoma. In: Weiss SW, Goldblum JR (eds) Enzinger and Weiss’s soft tissue tumors. Mosby, St Louis, pp 477–516

    Google Scholar 

  28. Kraus MD, Guillou L, Fletcher CD (1997) Well-differentiated inflammatory liposarcoma: an uncommon and easily overlooked variant of a common sarcoma. Am J Surg Pathol 1:37–50

    Google Scholar 

  29. Weaver J, Downs-Kelly E, Goldblum JR et al (2008) Fluorescence in situ hybridization for MDM2 gene amplification as a diagnostic tool in lipomatous neoplasms. Mod Pathol 21:943–949

    Article  CAS  PubMed  Google Scholar 

  30. Evans HL, Soule EH, Winkelman RK (1979) Atypical lipoma, atypical intramuscular lipoma, and well differentiated retroperitoneal liposarcoma. Cancer 43:574

    Article  CAS  PubMed  Google Scholar 

  31. Azumi N, Curtis J, Kempson RL et al (1987) Atypical and malignant neoplasms showing lipomatous differentiation: a study of 111 cases. Am J Surg Pathol 11:161

    Article  CAS  PubMed  Google Scholar 

  32. Weiss SW, Rao VK (1992) Well-differentiated liposarcoma (atypical lipoma) of deep soft tissue of the extremities, retroperitoneum and miscellaneous sites: a follow-up study of 92 cases with analysis of the incidence of "dedifferentiated". Am J Surg Pathol 16:1051

    Article  CAS  PubMed  Google Scholar 

  33. Evans HL (1979) Liposarcoma: a study of 55 cases with a reassessment of its classification. Am J Surg Pathol 3:507–523

    CAS  PubMed  Article  Google Scholar 

  34. Henricks WH, Chu YC, Goldblum JR et al (1997) Dedifferentiated liposarcoma. A clinicopathologic analysis of 155 cases with a proposal for an expanded definition of dedifferentiation. Am J Surg Pathol 21:271–281

    Article  CAS  PubMed  Google Scholar 

  35. McCormick D, Mentzel T, Beham A et al (1994) Dedifferentiated liposarcoma. Clinicopathologic analysis of 32 cases suggesting a better prognostic subgroup among pleomorphic sarcomas. Am J Surg Pathol 18:1213–1223

    CAS  PubMed  Google Scholar 

  36. Dalal KM, Kattan MW, Antonescu CR et al (2006) Subtype specific prognostic nomogram for patients with primary liposarcoma of the retroperitoneum, extremity, or trunk. Ann Surg 244:381–391

    PubMed  Google Scholar 

  37. Dei Tos AP, Pedeutour F (2002) Dedifferentiated liposarcoma. In: Fletcher CDM, Unni KK, Mertens F (eds) Pathology and genetics—tumours of soft tissue and bone. IARC, Lyon, pp 38–39

    Google Scholar 

  38. Coindre JM, Mariani O, Chibon F et al (2003) Most malignant fibrous histiocytomas developed in the retroperitoneum are dedifferentiated liposarcomas: a review of 25 cases initially diagnosed as malignant fibrous histiocytoma. Mod Pathol 16:256–262

    Article  PubMed  Google Scholar 

  39. Coindre JM, Hostein I, Maire G et al (2004) Inflammatory malignant fibrous histiocytomas and dedifferentiated liposarcomas: histological review, genomic profile, and MDM2 and CDK4 status favour a single entity. J Pathol 203:822–830

    Article  CAS  PubMed  Google Scholar 

  40. Tallini G, Erlandson RA, Brennan MF et al (1993) Divergent myosarcomatous differentiation in retroperitoneal liposarcoma. Am J Surg Pathol 17:546–556

    Article  CAS  PubMed  Google Scholar 

  41. Evans HL, Khurana KK, Kemp BL et al (1994) Heterologous elements in the dedifferentiated component of dedifferentiated liposarcoma. Am J Surg Pathol 18:1150–1157

    CAS  PubMed  Google Scholar 

  42. Bui Nguyen Binh M, Guillou L, Hostein I et al (2007) Dedifferentiated liposarcomas with divergent myosarcomatous differentiation developed in the internal trunk. A study of 27 cases and comparison to conventional dedifferentiated liposarcomas and leiomyosarcomas. Am J Surg Pathol 31:1557–1566

    Article  PubMed  Google Scholar 

  43. Fanburg-Smith JC, Miettinen M (1998) Liposarcoma with meningothelial-like whorls: a study of 17 cases of a distinctive histological pattern associated with dedifferentiated liposarcoma. Histopathological 33:414–424

    Article  CAS  Google Scholar 

  44. Nascimento AG, Kurtin PJ, Guillou L et al (1998) Dedifferentiated liposarcoma: a report of nine cases with a peculiar neurolike whorling pattern associated with metaplastic bone formation. Am J Surg Pathol 22:945–955

    Article  CAS  PubMed  Google Scholar 

  45. Willems SW, Szuhai K, Hartgrink H et al (2007) CT-guided, COBRA-FISH-assisted diagnosis of well-differentiated liposarcoma (inflammatory subtype) of the retroperitoneum. Histopathology 51:422–426

    Article  CAS  PubMed  Google Scholar 

  46. Mussi C, Collini P, Miceli R et al (2008) The prognostic impact of dedifferentiation in retroperitoneal liposarcoma: a series of surgically treated patients at a single institution. Cancer 113:1657–1665

    Article  PubMed  Google Scholar 

Download references

Author information

Affiliations

Authors

Corresponding author

Correspondence to Jean-Michel Coindre.

Rights and permissions

Reprints and Permissions

About this article

Cite this article

Coindre, JM., Pédeutour, F. & Aurias, A. Well-differentiated and dedifferentiated liposarcomas. Virchows Arch 456, 167–179 (2010). https://doi.org/10.1007/s00428-009-0815-x

Download citation

  • Received:

  • Revised:

  • Accepted:

  • Published:

  • Issue Date:

  • DOI: https://doi.org/10.1007/s00428-009-0815-x

Keywords

  • Well-differentiated liposarcoma
  • Dedifferentiated liposarcoma
  • MDM2
  • CDK4