Skip to main content

Angiogenesis in salivary carcinomas with and without myoepithelial differentiation

Abstract

To investigate whether salivary carcinomas with and without myoepithelial differentiation could present differences regarding degree of angiogenesis, we compared tumor vascularization between adenoid cystic (31 cases) and epithelial-myoepithelial carcinomas (14) versus mucoepidermoid (37) carcinoma. The expression of peroxiredoxin I was also studied to verify the potential relationship between cellular metabolism and microvascular density. Microvascular density for CD34 and CD105 were significantly lower in carcinomas with myoepithelial differentiation. However, no correlation was found between degree of angiogenesis and amounts of myoepithelial cells. High-grade peroxiredoxin I expression was found in 73.7% of mucoepidermoid carcinomas, whereas 85.1% of carcinomas with myoepithelial differentiation presented low-grade expression. In conclusion, carcinomas with myoepithelial differentiation, regardless of the amounts of myoepithelial cells, are associated to a significantly lower vascular density. The reasons for this lower angiogenic activity remain to be determined but could be related to metabolic characteristics of the cancer cells.

This is a preview of subscription content, access via your institution.

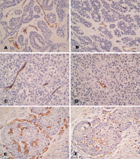
Fig. 1
Fig. 2
Fig. 3
Fig. 4
Fig. 5
Fig. 6

References

  1. Barbara NP, Wrana JL, Letarte M (1999) Endoglin is an accessory protein that interacts with the signaling receptor complex of multiple members of the transforming growth factor-beta superfamily. J Biol Chem 274:584–594

    PubMed  Article  CAS  Google Scholar 

  2. Barsky SH, Karlin NJ (2005) Myoepithelial cells: autocrine and paracrine suppressors of breast cancer progression. J Mammary Gland Biol Neoplasia 10:249–260

    PubMed  Article  Google Scholar 

  3. Bodey B, Bodey B, Siegel SE, Kaiser HE (1998) Over-expression of endoglin (CD105): a marker of breast carcinoma-induced neo-vascularization. Anticancer Res 18:3621–3628

    PubMed  CAS  Google Scholar 

  4. Dewhirst MW, Secomb TW, Ong ET, Hsu R, Gross JF (1994) Determination of local oxygen consumption rates in tumors. Cancer Res 54:3333–3336

    PubMed  CAS  Google Scholar 

  5. Ding S, Li C, Lin S, Yang Y, Liu D, Han Y, Zhang Y, Li L, Zhou L, Kumar S (2006) Comparative evaluation of microvessel density determined by CD34 or CD105 in benign and malignant gastric lesions. Hum Pathol 37:861–866

    PubMed  Article  CAS  Google Scholar 

  6. Duff SE, Li C, Garland JM, Kumar S (2003) CD105 is important for angiogenesis: evidence and potential applications. FASEB J 17:984–992

    PubMed  Article  CAS  Google Scholar 

  7. Finkel T, Holbrook NJ (2000) Oxidants, oxidative stress and the biology of ageing. Nature 408:239–247

    PubMed  Article  CAS  Google Scholar 

  8. Folkman J (1990) Endothelial cells and angiogenic growth factors in cancer growth and metastasis. Introduction. Cancer Metastasis Rev 9:171–174

    PubMed  Article  CAS  Google Scholar 

  9. Folkman J (2003) Angiogenesis and apoptosis. Semin Cancer Biol 13:159–167

    PubMed  Article  CAS  Google Scholar 

  10. Fonsatti E, Del Vecchio L, Altomonte M, Sigalotti L, Nicotra MR, Coral S, Natali PG, Maio M (2001) Endoglin: an accessory component of the TGF-beta-binding receptor-complex with diagnostic, prognostic, and bioimmunotherapeutic potential in human malignancies. J Cell Physiol 188:1–7

    PubMed  Article  CAS  Google Scholar 

  11. Fox SB, Harris AL (2004) Histological quantitation of tumour angiogenesis. APMIS 112:413–430

    PubMed  Article  Google Scholar 

  12. Furuse C, Sousa SO, Nunes FD, Magalhães MH, Araújo VC (2005) Myoepithelial cell markers in salivary gland neoplasms. Int J Surg Pathol 13:57–65

    PubMed  Article  CAS  Google Scholar 

  13. Gasparini G, Harris AL (1995) Clinical importance of the determination of tumor angiogenesis in breast carcinoma: much more than a new prognostic tool. J Clin Oncol 13:765–782

    PubMed  CAS  Google Scholar 

  14. Goode RK, El-Naggar AK, Huvos AG (2005) Chapter 5. In: Barnes L, Eveson JW, Reichart P, Sidransky P (eds) World health organization classification of tumours. Head and neck tumours. Pathology and genetics. IARC, Albany, US, pp 219–222

    Google Scholar 

  15. Gupta MK, Qin RY (2003) Mechanism and its regulation of tumor-induced angiogenesis. World J Gastroenterol 9:1144–55

    PubMed  CAS  Google Scholar 

  16. Helmlinger G, Netti PA, Lichtenbeld HC, Melder RJ, Jain RK (1997) Solid stress inhibits the growth of multicellular tumor spheroids. Nat Biotechnol 15:778–783

    PubMed  Article  CAS  Google Scholar 

  17. Hlatky L, Hahnfeldt P, Folkman J (2002) Clinical application of antiangiogenic therapy: microvessel density, what it does and doesn't tell us. J Natl Cancer Inst 94:883–893

    PubMed  Google Scholar 

  18. Kakolyris S, Fox SB, Koukourakis M, Giatromanolaki A, Brown N, Leek RD, Taylor M, Leigh IM, Gatter KC, Harris AL (2000) Relationship of vascular maturation in breast cancer blood vessels to vascular density and metastasis, assessed by expression of a novel basement membrane component, LH39. Br J Cancer 82:844–851

    PubMed  Article  CAS  Google Scholar 

  19. Kakolyris S, Giatromanolaki A, Koukourakis M, Kaklamanis L, Kouroussis CH, Bozionelou V, Georgoulias V, Gatter KC, Harris AL (2001) Assessment of vascular maturation in lung and breast carcinomas using a novel basement membrane component, LH39. Anticancer Res 21:4311–4316

    PubMed  CAS  Google Scholar 

  20. Kumar P, Wang JM, Bernabeu C (1996) CD 105 and angiogenesis. J Pathol 178:363–366

    PubMed  Article  CAS  Google Scholar 

  21. Kumar V, Abbas AK, Fausto N (2005) Chapter 7. In: Robbins, Cotran (eds) Pathologic basis of disease. Elsevier Saunders, Philadelphia, US, pp 269–342

    Google Scholar 

  22. Li C, Guo B, Bernabeu C, Kumar S (2001) Angiogenesis in breast cancer: the role of transforming growth factor beta and CD105. Microsc Res Tech 52:437–449

    PubMed  Article  CAS  Google Scholar 

  23. Li C, Issa R, Kumar P, Hampson IN, Lopez-Novoa JM, Bernabeu C, Kumar S (2003) CD105 prevents apoptosis in hypoxic endothelial cells. J Cell Sci 116:2677–85

    PubMed  Article  CAS  Google Scholar 

  24. Nguyen M, Lee MC, Wang JL, Tomlinson JS, Shao ZM, Alpaugh ML, Barsky SH (2000) The human myoepithelial cell displays a multifaceted anti-angiogenic phenotype. Oncogene 19:3449–3459

    PubMed  Article  CAS  Google Scholar 

  25. Ogawa Y (2003) Immunocytochemistry of myoepithelial cells in the salivary glands. Prog Histochem Cytochem 38:343–426

    PubMed  Article  CAS  Google Scholar 

  26. Romani AA, Borghetti AF, Del Rio P, Sianesi M, Soliani P (2006) The risk of developing metastatic disease in colorectal cancer is related to CD105-positive count. J Surg Oncol 93:446–455

    PubMed  Article  Google Scholar 

  27. Sabattini E, Bisgaard K, Ascani S, Poggi S, Piccioli M, Ceccarelli C, Pieri F, Fraternali-Orcioni G, Pileri SA (1998) The EnVisionTM+ system: a new immunohistochemical method for diagnostics and research. Critical comparison with the APAAP, ChemMateTM, CSA, LABC and SABC techniques. J Clin Pathol 51:506–511

    PubMed  CAS  Article  Google Scholar 

  28. Soares AB, Juliano PB, Araujo VC, Metze K, Altemani A (2007) Angiogenic switch during tumor progression of carcinoma ex-pleomorphic adenoma. Virchows Arch 451:65–71

    PubMed  Article  CAS  Google Scholar 

  29. Wang JM, Kumar S, Pye D, van Agthoven AJ, Krupinski J, Hunter RD (1993) A monoclonal antibody detects heterogeneity in vascular endothelium of tumours and normal tissues. Int J Cancer 54:363–370

    PubMed  Article  CAS  Google Scholar 

  30. Wood ZA, Poole LB, Karplus PA (2003) Peroxiredoxin evolution and the regulation of hydrogen peroxide signaling. Science 300:650–653

    PubMed  Article  CAS  Google Scholar 

  31. Yue L, Wei-qun Y, Lu G-w, Wei Wang H (2006) Correlation between CD105 expression and postoperative recurrence and metastasis of hepatocellular carcinoma. BMC Cancer 6:110

    Article  CAS  Google Scholar 

  32. Zhang J, Peng B (2007) In vitro angiogenesis and expression of nuclear factor kappaB and VEGF in high and low metastasis cell lines of salivary gland adenoid cystic carcinoma. BMC Cancer 7:95 doi:10.1186/1471-2407-7-95

    PubMed  Article  CAS  Google Scholar 

Download references

Acknowledgements

We thank Fundação de Amparo à Pesquisa do Estado de São Paulo (FAPESP) for supporting this study (grant number 07/55336-2).

All experiments comply with the current laws of Brazil.

We declare that we have no conflict of interest.

Author information

Affiliations

Authors

Corresponding author

Correspondence to A. Altemani.

Rights and permissions

Reprints and Permissions

About this article

Cite this article

Costa, A.F., Demasi, A.P.D., Bonfitto, V.L.L. et al. Angiogenesis in salivary carcinomas with and without myoepithelial differentiation. Virchows Arch 453, 359 (2008). https://doi.org/10.1007/s00428-008-0664-z

Download citation

  • Received:

  • Revised:

  • Accepted:

  • Published:

  • DOI: https://doi.org/10.1007/s00428-008-0664-z

Keywords

  • Angiogenesis
  • Adenoid cystic carcinoma
  • Mucoepidermoid carcinoma
  • Epithelial-myoepithelial carcinoma
  • Myoepithelial cell and microvessel density