Skip to main content

Oncocytic adrenal cortical tumor with cytoplasmic inclusions and hyaline globules

Abstract

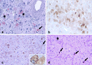
Adrenal cortical tumors, particularly oncocytic tumors, have been reported to contain a variety of intracytoplasmic and intramitochondrial inclusions. Oncocytic cortical tumors can also morphologically mimic pheochromocytomas. We report an unusual, partially oncocytic cortical neoplasm with nesting architecture, intranuclear inclusions, and hyaline globules reminiscent of pheochromocytoma, together with numerous, small, brightly eosinophilic, periodic acid-Schiff-positive cytoplasmic inclusions and typical cytoplasmic lipid droplets. Ultrastructural study revealed oncocytes containing numerous mitochondria with intramitochondrial crystals and lipid droplets. Immunohistochemistry and immunoblots were utilized to further characterize the tumor. Immunohistochemistry demonstrated immunoreactivity of both the eosinophilic inclusions and the hyaline globules for adipose differentiation-related protein (ADRP), which is one of a group of proteins associated with storage of neutral lipids in many cell types. Immunoblots confirmed the presence of ADRP and demonstrated an imbalance between ADRP and perilipin, another neutral lipid-associated protein, in tumor tissue compared to normal adrenal cortex. The findings suggest that mitochondrial dysfunction in oncocytic cortical tumors may lead to abnormal processing of proteins related to the lipid-storing functions of the adrenal cortex, resulting in unusual cytoplasmic inclusions and extracellular globules resembling the globules in pheochromocytomas. The finding of ADRP as a constituent of inclusions in adrenal cortical tumors has not been previously reported.

This is a preview of subscription content, access via your institution.

Fig. 1
Fig. 2
Fig. 3
Fig. 4

References

  1. Ali AE, Raphael SJ (2007) Functional oncocytic adrenocortical carcinoma. Endocr Pathol 18:187–189

    PubMed  Article  Google Scholar 

  2. Alsabeh R, Mazoujian G, Goates J, Medeiros LJ, Weiss LM (1995) Adrenal cortical tumors clinically mimicking pheochromocytoma. Am J Clin Pathol 104:382–390

    PubMed  CAS  Google Scholar 

  3. Begin LR (1992) Adrenocortical oncocytoma: case report with immunocytochemical and ultrastructural study. Virchows Arch A Pathol Anat Histopathol 421:533–537

    PubMed  Article  CAS  Google Scholar 

  4. DeLellis RA, Lloyd RV, Heitz PU, Eng C (2004) World health organization classification of tumors. IARC, Lyon

    Google Scholar 

  5. DeLellis RA, Suchow E, Wolfe HJ (1980) Ultrastructure of nuclear “inclusions” in pheochromocytoma and paraganglioma. Human Pathol 11:205–207

    CAS  Article  Google Scholar 

  6. Dimmer KS, Scorrano L (2006) (De)constructing mitochondria: what for? Physiology (Bethesda) 21:233–241

    CAS  Google Scholar 

  7. Ducharme NA, Bickel PE (2008) Lipid droplets in lipogenesis and lipolysis. Endocrinology 149:942–949

    PubMed  Article  CAS  Google Scholar 

  8. el-Naggar AK, Evans DB, Mackay B (1991) Oncocytic adrenal cortical carcinoma. Ultrastruct Pathol 15:549–556

    PubMed  Article  CAS  Google Scholar 

  9. Erlandson RA, Reuter VE (1991) Oncocytic adrenal cortical adenoma. Ultrastruct Pathol 15:539–547

    PubMed  Article  CAS  Google Scholar 

  10. Fong TH, Yang CC, Greenberg AS, Wang SM (2002) Immunocytochemical studies on lipid droplet-surface proteins in adrenal cells. J Cell Biochem 86:432–439

    PubMed  Article  CAS  Google Scholar 

  11. Golkowski F, Buziak-Bereza M, Huszno B, Baldys-Waligorska A, Stefanska A, Budzynski A, Okon K, Chrzan R, Urbanik A (2007) The unique case of adrenocortical malignant and functioning oncocytic tumour. Exp Clin Endocrinol Diabetes 115:401–404

    PubMed  Article  CAS  Google Scholar 

  12. Kakimoto S, Yushita Y, Sanefuji T, Kondo A, Fujishima N, Kishikawa M, Matsumoto K (1986) Non-hormonal adrenocortical adenoma with oncocytoma-like appearances. Hinyokika Kiyo 32:757–763

    PubMed  CAS  Google Scholar 

  13. Lack EE (2007) Tumors of the adrenal gland and extraadrenal paraganglia. American Registry of Pathology, Washington, DC

    Google Scholar 

  14. Lin BT, Bonsib SM, Mierau GW, Weiss LM, Medeiros LJ (1998) Oncocytic adrenocortical neoplasms: a report of seven cases and review of the literature. Am J Surg Pathol 22:603–614

    PubMed  Article  CAS  Google Scholar 

  15. Lloreta-Trull J, Serrano S (1998) Biology and pathology of the mitochondrion. Ultrastruct Pathol 22:357–367

    PubMed  CAS  Article  Google Scholar 

  16. Logasundaram R, Parkinson C, Donaldson P, Coode PE (2007) Co-secretion of testosterone and cortisol by a functional adrenocortical oncocytoma. Histopathology 51:418–420

    PubMed  Article  CAS  Google Scholar 

  17. Macadam RF (1970) Fine structure of a functional adrenal cortical adenoma. Cancer 26:1300–10

    PubMed  Article  CAS  Google Scholar 

  18. Mackay B, el-Naggar A, Ordonez NG (1994) Ultrastructure of adrenal cortical carcinoma. Ultrastruct Pathol 18:181–190

    PubMed  Article  CAS  Google Scholar 

  19. Miura S, Gan JW, Brzostowski J, Parisi MJ, Schultz CJ, Londos C, Oliver B, Kimmel AR (2002) Functional conservation for lipid storage droplet association among Perilipin, ADRP, and TIP47 (PAT)-related proteins in mammals, Drosophila, and Dictyostelium. J Biol Chem 277:32253–32257

    PubMed  Article  CAS  Google Scholar 

  20. Nguyen GK, Vriend R, Ronaghan D, Lakey WH (1992) Heterotopic adrenocortical oncocytoma. A case report with light and electron microscopic studies. Cancer 70:2681–2684

    PubMed  Article  CAS  Google Scholar 

  21. O’Gorman E, Fuchs KH, Tittmann P, Gross H, Wallimann T (1997) Crystalline mitochondrial inclusion bodies isolated from creatine depleted rat soleus muscle. J Cell Sci 110(Pt 12):1403–1411

    PubMed  CAS  Google Scholar 

  22. Sasano H, Suzuki T, Sano T, Kameya T, Sasano N, Nagura H (1991) Adrenocortical oncocytoma. A true nonfunctioning adrenocortical tumor. Am J Surg Pathol 15:949–956

    PubMed  CAS  Article  Google Scholar 

  23. Seo IS, Henley JD, Min KW (2002) Peculiar cytoplasmic inclusions in oncocytic adrenal cortical tumors: an electron microscopic observation. Ultrastruct Pathol 26:229–235

    PubMed  Article  Google Scholar 

  24. Simpson CF, Bradley RE, Jackson RF (1974) Crystalloid inclusions in hepatocyte mitochondria of dogs treated with levamisole. Vet Pathol 11:129–137

    PubMed  CAS  Article  Google Scholar 

  25. Xu G, Sztalryd C, Lu X, Tansey JT, Gan J, Dorward H, Kimmel AR, Londos C (2005) Post-translational regulation of adipose differentiation-related protein by the ubiquitin/proteasome pathway. J Biol Chem 280:42841–42847

    PubMed  Article  CAS  Google Scholar 

Download references

Acknowledgments

The authors thank Inna Lomakina for her technical help with the electron microscopic sample.

Conflict of Interest Statement

We declare that we have no conflict of interest.

Author information

Affiliations

Authors

Corresponding author

Correspondence to Joseph Alroy.

Rights and permissions

Reprints and Permissions

About this article

Cite this article

Al-Zaid, T., Alroy, J., Pfannl, R. et al. Oncocytic adrenal cortical tumor with cytoplasmic inclusions and hyaline globules. Virchows Arch 453, 301–306 (2008). https://doi.org/10.1007/s00428-008-0634-5

Download citation

  • Received:

  • Revised:

  • Accepted:

  • Published:

  • Issue Date:

  • DOI: https://doi.org/10.1007/s00428-008-0634-5

Keywords

  • Adrenal cortex
  • Oncocytoma
  • Inclusions
  • Adipose differentiation-related protein (ADRP)