Skip to main content

Loss of intrahepatic bile ducts: an important feature of familial hemophagocytic lymphohistiocytosis

Abstract

Familial hemophagocytic lymphohistiocytosis (FHL) is a rare, fatal disorder of early infancy. We report two siblings with FHL whose symptoms were dominated by hepatic failure. Both presented with sudden-onset fever and hepatosplenomegaly with progressive abnormalities of clinical biochemistry indices of liver function. One died of hepatorenal failure. The other underwent liver transplantation. Autopsy and explant liver displayed portal and periportal infiltrates of T lymphocytes and histiocytes; an activation of the hepatic mononuclear phagocytic system with focal hemophagocytosis; and almost complete loss of interlobular bile ducts. Paucity of bile ducts dominated in a pre-transplant liver biopsy specimen (and transiently obscured the diagnosis of FHL). Disease recurred in the allograft, again with lymphohistiocytic infiltration and destruction of interlobular bile ducts. Consequently the patient underwent haploidentical peripheral stem cell transplantation. This patient is alive 5 years later. Loss of bile ducts may be an important feature of hepatic involvement by FHL.

This is a preview of subscription content, access via your institution.

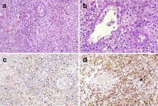
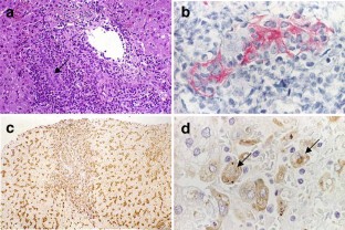
Fig. 1
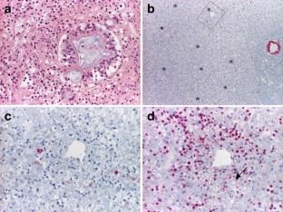
Fig. 2
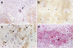
Fig. 3
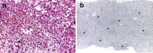
Fig. 4
Fig. 5

References

  1. Arico M, Imashuku S, Clementi R, Hibi S, Teramura T, Danesino C, Haber DA, Nichols KE (2001) Hemophagocytic lymphohistiocytosis due to germline mutations in SH2D1A, the X-linked lymphoproliferative disease gene. Blood 97:1131–1133

    Article  CAS  PubMed  Google Scholar 

  2. Arico M, Danesino C, Pende D, Moretta L (2001) Pathogenesis of haemophagocytic lymphohistiocytosis. Br J Haematol 114:761–769

    Article  CAS  PubMed  Google Scholar 

  3. Clementi R, zur Stadt U, Savoldi G, Varoitto S, Conter V, De Fusco C, Notarangelo LD, Schneider M, Klersy C, Janka G, Danesino C, Arico M (2001) Six novel mutations in the PRF1 gene in children with haemophagocytic lymphohistiocytosis. J Med Genet 38:643–646

    Article  CAS  PubMed  Google Scholar 

  4. Farquhar JW, Claireaux AF (1952) Familial hemophagocytic histiocytosis. Arch Dis Child 27:519–525

    CAS  PubMed  Google Scholar 

  5. Favara BE (1996) Histopathology of the liver in histiocytosis syndromes. Pediatr Pathol Lab Med 16:413–433

    CAS  PubMed  Google Scholar 

  6. Feldmann J, Le Deist F, Ouachee-Chardin M, Certain S, Alexander S, Quartier P, Haddad E, Wulffraat N, Casanova JL, Blanche S, Fischer A, de Saint Basile G (2002) Functional consequences of perforin gene mutations in 22 patients with familial haemophagocytic lymphohistiocytosis. Br J Haematol 117:965–972

    Article  CAS  PubMed  Google Scholar 

  7. Goransdotter Ericson K, Fadeel B, Nilsson-Ardnor S, Soderhall C, Samuelsson A, Janka G, Schneider M, Gurgey A, Yalman N, Revesz T, Egeler R, Jahnukainen K, Storm-Mathiesen I, Haraldssson A, Poole J, de Saint Basile G, Nordenskjold M, Henter J (2001) Spectrum of perforin gene mutations in familial hemophagocytic lymphohistiocytosis. Am J Hum Genet 68:590–597

    Article  CAS  PubMed  Google Scholar 

  8. Henter JI, Samuelsson-Horne A, Arico M, Egeler RM, Elinder G, Filipovich AH, Gadner H, Imashuku S, Komp D, Ladisch S, Webb D, Janka G, Histiocyte Society (2002) Treatment of hemophagocytic lymphohistiocytosis with HLH-94 immunochemotherapy and bone marrow transplantation. Blood 100:2367–2373

    Article  CAS  PubMed  Google Scholar 

  9. Henter JI (2002) Biology and treatment of familial hemophagocytic lymphohistiocytosis: importance of perforin in lymphocyte-mediated cytotoxicity and triggering of apoptosis. Med Pediatr Oncol 38:305–309

    Article  PubMed  Google Scholar 

  10. Imashuku S, Hibi S, Sako M, Ishii T, Kohdera U, Kitazawa K, Ooe M, Naya M, Sawada H, Kawakami T (1998) Heterogeneity of immune markers in hemophagocytic lymphohistiocytosis: comparative study of 9 familial and 14 familial inheritance-unproved cases. J Pediatr Hematol Oncol 20:207–214

    Article  CAS  PubMed  Google Scholar 

  11. Ishak KG, Sharp HL (2000) Developmental abnormalities and liver disease in childhood. In: MacSween RNM, Burt AD, Portmann BC, Ishak KG, Scheuer PJ, Anthony PP (eds) Pathology of the liver. Churchill Livingstone, London, pp 107–154

    Google Scholar 

  12. Ludwig J, Batts K (eds) (1998) Practical liver biopsy interpretation. Diagnostic algorithms. ASCP Press, Chicago

    Google Scholar 

  13. Matthes-Martin S, Peters C, Königsrainer A, Fritsch G, Lion T, Heitger A, Kapelari K, Kronberger M, Offner F, Wrba F, Margreiter R, Gadner H (2000) Successful stem cell transplantation following orthotopic liver transplantation from the same haploidentical family donor in a girl with hemophagocytic lymphohistiocytosis. Blood 96:3997–3999

    CAS  PubMed  Google Scholar 

  14. Menasche G, Feldmann J, Fischer A, de Saint Basile G (2005) Primary hemophagocytic syndromes point to a direct link between lymphocyte cytotoxicity and homeostasis. Immun Rev 203:165–179

    Article  CAS  PubMed  Google Scholar 

  15. Ohadi M, Lalloz MRA, Sham P, Zhao J, Dearlove AM, Shiach C, Kinsey S, Rhodes M, Layton DM (1999) Localization of a gene for familial hemophagocytic lymphohistiocytosis at chromosome 9q21.3-22 by homozygosity mapping. Am J Hum Genet 64:165–171

    Article  CAS  PubMed  Google Scholar 

  16. Öst A, Nilsson-Ardnor S, Henter JI (1998) Autopsy findings in 27 children with haemophagocytic lymphohistiocytosis. Histopathology 32:310–316

    Article  PubMed  Google Scholar 

  17. Osugi Y, Hara J, Tagawa S, Takai K, Hosoi G, Matsuda Y, Ohta H, Fujisaki H, Kobayashi M, Sakata N, Kawa-Ha K, Okada S, Tawa A (1997) Cytokine production regulating Th1 and Th2 cytokines in hemophagocytic lymphohistiocytosis. Blood 89:4100–4103

    CAS  PubMed  Google Scholar 

  18. Parizhskaya M, Reyes J, Jaffe R (1999) Hemophagocytic syndrome presenting as acute hepatic failure in two infants: clinical overlap with neonatal hemochromatosis. Pediatr Dev Pathol 2:360–366

    Article  CAS  PubMed  Google Scholar 

  19. Scheuer PJ, Lefkowitch JH (eds) (2000) Liver biopsy interpretation. Saunders, New York

    Google Scholar 

  20. Senger C, Gonzalez-Crussi F (1999) Histiocytic-phagocytic infiltrates in the liver of an infant: a case clinically simulating perinatal hemochromatosis. J Pediatr Gastroenterol Nutr 29:215–220

    Article  CAS  PubMed  Google Scholar 

  21. Stepp SE, Dufourcq-Lagelouse R, Le Deist F, Bhawan S, Certain S, Mathew PA, Henter JI, Bennett M, Fischer A, de Saint Basile G, Kumar V (1999) Perforin gene defects in familial hemophagocytic lymphohistiocytosis. Science 286:1957–1959

    Article  CAS  PubMed  Google Scholar 

  22. Sung L, Weitzman SS, Petric M, King SM (2001) The role of infections in primary hemophagocytic lymphohistiocytosis: a case series and review of the literature. Clin Infect Dis 33:1644–1648

    Article  CAS  PubMed  Google Scholar 

Download references

Acknowledgements

The support of Dr. Janka and Dr. zur Stadt (Department of Hematology and Oncology, Children’s Hospital, University of Hamburg) is gratefully acknowledged. For their help the authors are grateful to Dr. Tauber, to Dr. Mikuz (Department of Pathology, Medical University Innsbruck) and Dr. Fichtel (Department of Pathology, General Regional Hospital Bozen, Italy).

Author information

Affiliations

Authors

Corresponding author

Correspondence to Felix Albert Offner.

Rights and permissions

Reprints and Permissions

About this article

Cite this article

Kapelari, K., Fruehwirth, M., Heitger, A. et al. Loss of intrahepatic bile ducts: an important feature of familial hemophagocytic lymphohistiocytosis. Virchows Arch 446, 619–625 (2005). https://doi.org/10.1007/s00428-005-1238-y

Download citation

  • Received:

  • Accepted:

  • Published:

  • Issue Date:

  • DOI: https://doi.org/10.1007/s00428-005-1238-y

Keywords

  • FHL
  • Hepatic failure
  • Loss of bile ducts