Skip to main content

CD56 expression aids in the differential diagnosis of cholangiocarcinomas and benign cholangiocellular lesions

Abstract

CD56 (neuronal cell adhesion molecule, N-CAM) has been reported in neuroendocrine tumours and as a marker of reactive biliary epithelial cells. However, up to date, it is not used to distinguish malignant from non-malignant biliary lesions. In this study, we systematically examined CD56 expression on 98 tumours arising from the biliary tree as well as intrahepatic conditions with reactive neoductules. When neuroendocrine carcinomas are excluded, only 4 of 32 (12.5%) cholangiocarcinomas expressed CD56, 2 of which showed clear cell morphology. Reactive bile ductules adjacent to cirrhotic nodules as well as in focal nodular hyperplasia were CD56 positive. Twelve of 17 (70.5%) bile duct adenomas were CD56 positive, whereas von Meyenburg complexes expressed CD56 only very focally in less than 5% of lesional cells. Bile duct cysts were negative for CD56 with the exception of focally interspersed neuroendocrine cells, similar to that seen in segmental bile ducts. Thus, if van Meyenburg complexes are excluded, CD56 can be used to differentiate intrahepatic non-neoplastic from neoplastic proliferations, which is a helpful diagnostic tool in small liver biopsies.

This is a preview of subscription content, access via your institution.

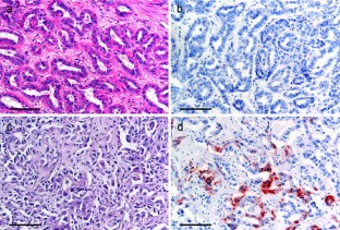
Fig. 1
Fig. 2
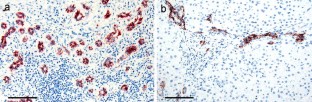
Fig. 3

References

  1. Asayama Y, Aishima S, Taguchi K, Sugimachi K, Matsuura S, Masuda K, Tsuneyoshi M (2002) Coexpression of neural cell adhesion molecules and bcl-2 in intrahepatic cholangiocarcinoma originated from viral hepatitis: relationship to atypical reactive bile ductule. Pathol Int 52:300–306

    Article  PubMed  CAS  Google Scholar 

  2. Bhathal PS, Hughes NR, Goodman ZD (1996) The so-called bile duct adenoma is a peribiliary gland hamartoma. Am J Surg Pathol 20:858–864

    Article  PubMed  CAS  Google Scholar 

  3. Chedid A, Mendenhall CL, Moritz TE (1999) The antigenic heterogeneity of the bile duct epithelium in alcoholic liver disease. VA Cooperative Study Group 275. Arch Pathol Lab Med 123:411–414

    PubMed  CAS  Google Scholar 

  4. Chu PG, Arber DA, Weiss LM (2003) Expression of T/NK-cell and plasma cell antigens in nonhematopoietic epithelioid neoplasms. An immunohistochemical study of 447 cases. Am J Clin Pathol 120:64–70

    Article  PubMed  Google Scholar 

  5. Fabris L, Strazzabosco M, Crosby HA, Ballardini G, Hubscher SG, Kelly DA, Neuberger JM, Strain AJ, Joplin R (2000) Characterization and isolation of ductular cells coexpressing neural cell adhesion molecule and Bcl-2 from primary cholangiopathies and ductal plate malformations. Am J Pathol 156:1599–1612

    PubMed  CAS  Google Scholar 

  6. Fischer HP, Lankes G (1991) Morphologic correlation between liver epithelium and mesenchyme allows insight into histogenesis of focal nodular hyperplasia (FNH) of the liver. Virchows Arch B Cell Pathol Incl Mol Pathol 60:373–380

    PubMed  CAS  Article  Google Scholar 

  7. Fischer HP, Meybehm M, Zhou H, Schoch J (1995) Hepatic neoductules. Verh Dtsch Ges Pathol 79:36–46

    PubMed  CAS  Google Scholar 

  8. Ishak KG, Goodman ZD, Stocker JT (1999) Tumors of the liver and intrahepatic bile ducts. Armed Forces Institute of Pathology, Washington, DC, pp 1–356

    Google Scholar 

  9. Libbrecht L, Cassiman D, Desmet V, Roskams T (2001) Expression of neural cell adhesion molecule in human liver development and in congenital and acquired liver diseases. Histochem Cell Biol 116:233–239

    PubMed  CAS  Google Scholar 

  10. Logani S, Adsay V (1998) Clear cell cholangiocarcinoma of the liver is a morphologically distinctive entity. Human Pathol 29:1548–1549

    Article  CAS  Google Scholar 

  11. Nishikawa Y, Doi Y, Watanabe H, Tokairin T, Omori Y, Su M, Yoshioka T, Enomoto K (2005) Transdifferentiation of mature rat hepatocytes into bile duct-like cells in vitro. Am J Pathol 166:1077–1088

    PubMed  CAS  Google Scholar 

  12. Roskams T, van den Oord JJ, De Vos R, Desmet VJ (1990) Neuroendocrine features of reactive bile ductules in cholestatic liver disease. Am J Pathol 137:1019–1025

    PubMed  CAS  Google Scholar 

  13. Sasaki A, Aramaki M, Kawano K, Morii Y, Nakashima K, Yoshida T, Kitano S (1998) Intrahepatic peripheral cholangiocarcinoma: mode of spread and choice of surgical treatment. Br J Surg 85:1206–1209

    Article  PubMed  CAS  Google Scholar 

  14. Tihan T, Blumgart L, Klimstra DS (1998) Clear cell papillary carcinoma of the liver: an unusual variant of peripheral cholangiocarcinoma. Human Pathol 29:196–200

    Article  CAS  Google Scholar 

  15. Torbenson M, Wang J, Abraham S, Maitra A, Boitnott J (2003) Bile ducts and ductules are positive for CD56 (N-CAM) in most cases of extrahepatic biliary atresia. Am J Surg Pathol 27:1454–1457

    PubMed  Article  Google Scholar 

  16. Van Den Heuvel MC, Slooff MJ, Visser L, Muller M, De Jong KP, Poppema S, Gouw AS (2001) Expression of anti-OV6 antibody and anti-N-CAM antibody along the biliary line of normal and diseased human livers. Hepatology 33:1387–1393

    Article  PubMed  Google Scholar 

Download references

Author information

Affiliations

Authors

Corresponding author

Correspondence to I. Gütgemann.

Rights and permissions

Reprints and Permissions

About this article

Cite this article

Gütgemann, I., Haas, S., Berg, J.P. et al. CD56 expression aids in the differential diagnosis of cholangiocarcinomas and benign cholangiocellular lesions. Virchows Arch 448, 407–411 (2006). https://doi.org/10.1007/s00428-005-0145-6

Download citation

  • Received:

  • Accepted:

  • Published:

  • Issue Date:

  • DOI: https://doi.org/10.1007/s00428-005-0145-6

Keywords

  • CD56
  • N-CAM
  • Cholangiocarcinoma
  • Bile ductules