Skip to main content

Immunohistochemical study of androgen receptors in breast carcinoma. Evidence of their frequent expression in lobular carcinoma

Abstract

Androgens and androgen receptors (AR) are involved in the pathogenesis of breast cancer. Epidemiological studies have shown a significant association between the risk of breast cancer and androgens. However, the functional role and clinical value of AR expression in breast carcinoma have still not been clearly defined. The present study was set up to investigate the prevalence of ARs in a series of consecutive invasive breast carcinomas (IBCs) and to evaluate the patterns of AR phenotypes in a series of selected invasive lobular carcinomas (ILCs). Among the 250 consecutive IBCs (consisting of 212 ductal and 38 lobular neoplasms), AR immunoreactivity was observed in 151/250 (60.4%) cases, being expressed in 118/212 (56%) ductal and 33/38 (87%) lobular carcinomas (a statistically significant difference, χ2=11.82). AR expression was frequently associated with ER (65.2%, χ2=14.33) and PR positivity (66.9%, χ2=7.36). Most AR positive cases showed a low proliferative index (63.7%) and a low or intermediate histological grade (G1–G2, 63.9%). Among the 80 selected ILCs, AR expression was observed in 64/80 (80%) cases. Our results confirm that ARs are expressed in most breast cancers. Moreover, we demonstrated that AR positivity is particularly marked in lobular neoplasms. In addition, AR positive carcinomas are frequently characterized by a low or intermediate grade, a low proliferative index and ER and/or PR co-expression.

This is a preview of subscription content, access via your institution.

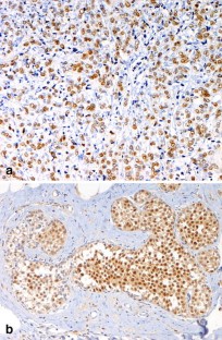
Fig. 1
Fig. 2
Fig. 3

References

  1. Agoff SN, Swanson PE, Linden H, Hawes SE, Lawton TJ (2003) Androgen receptor expression in estrogen receptor-negative breast cancer. Immunohistochemical, clinical, and prognostic associations. Am J Clin Pathol 120:725–731

    Article  PubMed  CAS  Google Scholar 

  2. Barnes DM, Hanby AM (2001) Oestrogen and progesterone receptors in breast cancer: past, present and future. Histopathology 38:271–274

    Article  PubMed  CAS  Google Scholar 

  3. Berrino F, Muti P, Micheli A, Bolelli G, Krogh V, Sciajno R, Pisani P, Panico S, Secreto G (1996) Serum sex hormone levels after menopause and subsequent breast cancer. J Natl Cancer Inst 88:291–296

    PubMed  Article  CAS  Google Scholar 

  4. Berstein L, Ross RK (1993) Endogenous hormones and breast cancer risk. Epidemiol Rev 15:48–65

    PubMed  Google Scholar 

  5. Birrell SN, Hall RE, Tilley WD (1998) Role of the androgen receptor in human breast cancer. J Mammary Biol Neoplasia 3:95–103

    Article  CAS  Google Scholar 

  6. Brinkmann AO, Blok LJ, de Ruiter PE, Doesburg P, Steketee K, Berrevoets CA, Trapman J (1999) Mechanism of androgen receptor activation and function. J Steroid Biochem Mol Biol 69:307–313

    PubMed  Article  CAS  Google Scholar 

  7. Brys M, Wojcik M, Romanowicz-Makowska H, Krajewska WM (2002) Androgen receptor status in female breast cancer: RT-PCR and Western blot studies. J Cancer Res Clin Oncol 128:85–90

    Article  PubMed  CAS  Google Scholar 

  8. Cauley JA, Lucas FL, Kuller LH, Stone K, Browner W, Cummings SR (1999) Elevated serum estradiol and testosterone concentrations are associated with a high risk for breast cancer. Ann Intern Med 130:270–277

    PubMed  CAS  Google Scholar 

  9. Collett K, Maehle BO, Skjarven R (1996) Prognostic role of oestrogen, progesterone and androgen receptor in relation to patient age in patients with breast cancer. Breast 5:123–126

    Article  Google Scholar 

  10. Daling JR, Malone KE, Doody DR, Voigt LF, Bernstein L, Coates RJ, Marchbanks PA, Norman SA, Weiss LK, Ursin G, Berlin JA, Burkman RT, Deapen D, Folger SG, McDonald JA, Simon MS, Strom BL, Wingo PA, Spirtas R (2002) Relation of regimens of combined hormone replacement therapy to lobular, ductal, and other histologic types of breast carcinoma. Cancer 95:2455–2464

    Article  PubMed  CAS  Google Scholar 

  11. Ellis LM, Wittliff L, Bryant MS (1989) Correlation of estrogen, progesterone and androgen receptors in breast cancer. Am J Surg 157:577–581

    Article  PubMed  CAS  Google Scholar 

  12. Elston CW, Ellis IO (1991) Pathological prognostic factors in breast cancer. I. The value of histological grade in breast cancer: experience from a large study with long-term follow-up. Histopathology 19:403–410

    PubMed  Article  CAS  Google Scholar 

  13. Eusebi V, Magalhaes F, Azzopardi JG (1992) Pleomorphic lobular carcinoma of the breast: an aggressive tumor showing apocrine differentiation. Human Pathol 23:655–662

    Article  CAS  Google Scholar 

  14. Foekens JA, Portensen H, Van Putten WLJ (1989) Prognostic value of estrogen and progesterone receptors measured by enzyme immunoassay in human breast tumor cytosols. Cancer Res 49:5823–5828

    PubMed  CAS  Google Scholar 

  15. Gatalica Z (1997) Immunohistochemical analysis of apocrine breast lesions. Consistent over-expression of androgen receptor accompanied by the loss of estrogen and progesterone receptors in apocrine metaplasia and apocrine carcinoma in situ. Pathol Res Pract 193:753–758

    PubMed  CAS  Google Scholar 

  16. Hackenberg R, Hawighorst T, Filmer A, Nia AH, Schulz KD (1993) Medroxyprogesterone acetate inhibits the proliferation of estrogen- and progesterone-receptor negative MFM-223 human mammary cancer cells via androgen receptor. Breast Cancer Res Treat 25:217–224

    Article  PubMed  CAS  Google Scholar 

  17. Hankinson SE, Willett WC, Manson JE, Colditz GA, Hunter DJ, Spiegelman D, Barbieri RL, Speizer FE (1998) Plasma sex steroid hormone levels and risk of breast cancer in postmenopausal women. J Natl Cancer Inst 90:1292–1299

    PubMed  Article  CAS  Google Scholar 

  18. Hawkins RA, Roberts MM, Forrest AP (1980) Oestrogen receptors and breast cancer: current status. Br J Surg 67:162–165

    Article  Google Scholar 

  19. Isola JJ (1993) Immunohistochemical demonstration of androgen receptor in breast cancer and its relationship to other prognostic factors. J Pathol 170:31–35

    Article  PubMed  CAS  Google Scholar 

  20. Kimura N, Mizokami A, Oonuma T, Sasano H, Natura H (1993) Immunocytochemical localization of androgen receptor with polyclonal antibody in paraffin-embedded human tissue. J Histochem Cytochem 41:671–678

    PubMed  CAS  Google Scholar 

  21. Kuenen-Boumeester V, Vanderkwast TH, Van Putten WLJ, Claassen C, Vanooijen B, Henzenlogmans SC (1992) Immunohistochemical determination of androgen receptors in relation to oestrogen and progesterone receptors in female breast cancer. Int J Cancer 52:581–584

    PubMed  Article  CAS  Google Scholar 

  22. Lea OA, Kvinnsland S, Thorsen T (1989) Improved measurement of androgen receptors in human breast cancer. Cancer Res 49:7162–7167

    PubMed  CAS  Google Scholar 

  23. Li CI, Malone KE, Porter PL, Weiss NS, Tang MT, Cushing-Haugen KL, Daling JR (2003) Relationship between long durations and different regimens of hormone therapy and risk of breast cancer. JAMA 289:3254–3263

    Article  PubMed  CAS  Google Scholar 

  24. Li CI, Weiss NS, Stanford JL, Daling JR (2000) Hormone replacement therapy in relation to risk of lobular and ductal breast carcinoma in middle-aged women. Cancer 88:2570–2577

    Article  PubMed  CAS  Google Scholar 

  25. Lillie E, Bernstein L, Ursin G (2003) The role of androgens and polymorphisms in the androgen receptor in the epidemiology of breast cancer. Breast Cancer Res 5:164–173

    Article  PubMed  Google Scholar 

  26. Lippman M, Bolan G, Huff K (1976) The effects of androgens and antiandrogens on hormone-responsive human breast cancer in long-term tissue culture. Cancer Res 36:4610–4618

    PubMed  CAS  Google Scholar 

  27. Micheli A, Muti P, Secreto G, Krogh V, Meneghini E, Venturelli E, Sieri S, Pala V, Berrino F (2004) Endogenous sex hormones and subsequent breast cancer in premenopausal women. Int J Cancer 112:312–318

    Article  PubMed  CAS  Google Scholar 

  28. Moinfar F, Okcu M, Tsybrovskyy O, Regitnig P, Lax SF, Weybora W, Ratschek M, Tavassoli FA, Denk H (2003) Androgen receptors frequently are expressed in breast carcinomas. Cancer 98:703–711

    Article  PubMed  CAS  Google Scholar 

  29. Nishizaki T, Chew K, Chu L, Isola J, Kallioniemi A, Weidner N, Waldman FM (1997) Genetic alterations in lobular breast cancer by comparative genomic hybridization. Int J Cancer 74:513–517

    Article  PubMed  CAS  Google Scholar 

  30. Pichon MF, Broet P, Magdelenat H, Delarue JC, Spyratos F, Basuyan JP, Saez S, Rallet A, Courriere P, Millon R, Asselain B (1996) Prognostic value of steroid receptors after long term follow-up of 2257 operable breast cancers. Br J Cancer 73:1545–1551

    PubMed  CAS  Google Scholar 

  31. Selim A, El-Ayat G, Wellis A (2002) Androgen receptor expression in ductal carcinoma in situ of the breast: relation to oestrogen and progesterone receptors. J Clin Pathol 55:14–16

    PubMed  CAS  Google Scholar 

  32. Soreide JA, Lea OA, Varhaug JE, Skarstein A, Kvinnsland S (1992) Androgen receptors in operable breast cancer: relation to other steroid hormone receptors, correlation to prognostic factors and predictive value for effect of adjuvant tamoxifen treatment. Eur J Surg Oncol 18:112–118

    PubMed  CAS  Google Scholar 

  33. Tavassoli FA, Devilee P (eds) (2003) Pathology and genetics of tumours of the breast and female genital organs. World Health Organization Classification of Tumors. IARC Press, Lyon

    Google Scholar 

  34. Teulings FA, van Gilse HA, Henkelman MS, Portensen H, Alexieva-Figusch J (1980) Estrogen, androgen, glucocorticoid, and progesterone receptors in progestin-induced regression of human breast cancer. Cancer Res 40:2557–2561

    PubMed  CAS  Google Scholar 

  35. Thorpe SM (1988) Estrogen and progesterone receptor determinations in breast cancer. Acta Oncol 27:1–18

    PubMed  Article  CAS  Google Scholar 

  36. Thorpe SM, Rose C (1986) Oestrogen and progesterone receptor determination in breast cancer; technology and biology. Cancer Surv 5:505–525

    PubMed  CAS  Google Scholar 

  37. TNM Classification of Malignant Tumours, Sixth Edition (2002)

  38. Verkooijen HM, Fioretta G, Vlastos G, Morabia A, Schubert H, Sappino AP, Pelte MF, Schafer P, Kurtz J, Bouchardy C (2003) Important increase of invasive lobular breast cancer incidence in Geneva, Switzerland. Int J Cancer 104:778–781

    Article  PubMed  CAS  Google Scholar 

  39. Wenger CR, Beardslee S, Owens MA, Pounds G, Oldaker T, Vendely P, Pandian MR, Harrington D, Clark GM, Mc Guire WL (1993) DNA-ploidy, S-phase, and steroid receptors in more than 127,000 breast cancer patients. Breast Cancer Res Treat 28:9–26

    Article  PubMed  CAS  Google Scholar 

  40. Wittliff JL (1984) Steroid-hormone receptors in breast cancer. Cancer 53:630–643

    PubMed  Article  CAS  Google Scholar 

  41. Zumoff B, Levin J, Rosenfeld RS, Markham M, Strain GW, Fukushima DK (1981) Abnormal 24-h mean plasma concentrations of dehydroisoandrosterone and dehydroisoandrosterone sulfate in women with primary operable breast cancer. Cancer Res 41:3360–3363

    PubMed  CAS  Google Scholar 

Download references

Acknowledgements

This work was supported by grant no. 2002064975 (COFIN 2002) from the Ministry of University and Research (MIUR).

Author information

Affiliations

Authors

Corresponding author

Correspondence to Cristina Riva.

Rights and permissions

Reprints and Permissions

About this article

Cite this article

Riva, C., Dainese, E., Caprara, G. et al. Immunohistochemical study of androgen receptors in breast carcinoma. Evidence of their frequent expression in lobular carcinoma. Virchows Arch 447, 695–700 (2005). https://doi.org/10.1007/s00428-005-0003-6

Download citation

  • Received:

  • Accepted:

  • Published:

  • Issue Date:

  • DOI: https://doi.org/10.1007/s00428-005-0003-6

Keywords

  • Breast carcinoma
  • Lobular carcinoma
  • Androgen receptors