Abstract
Cells of the moth immune system are derived from organs that loosely envelop the four wing imaginal discs. The immune response in these insects is believed to depend on the activities of two main classes of hemocytes: plasmatocytes and granular cells. The fates of cells that arise from these hematopoietic organs have been followed by immunolabeling with plasmatocyte-specific and granular-cell-specific antibodies. Cells within each hematopoietic organ differ in their coherence and in their expression of two plasmatocyte-specific surface proteins, integrin and neuroglian. Within an organ there is no overlap in the expression of these two surface proteins; neuroglian is found on the surfaces of the coherent cells while integrin is expressed on cells that are losing coherence, rounding up, and dispersing. A granular-cell-specific marker for the protein lacunin labels the basal lamina that delimits each organ but only a small number of granular cells that lie on or near the periphery of the hematopoietic organ. When organs are cultured in the absence of hemolymph, all cells derived from hematopoietic organs turn out to immunolabel with the plasmatocyte-specific antibody MS13. The circulating plasmatocytes derived from hematopoietic organs have higher ploidy levels than the granular cells and represent a separate lineage of hemocytes.
Similar content being viewed by others
Avoid common mistakes on your manuscript.
Introduction
The immune response of caterpillars purportedly depends on the activities of two main hemocyte populations, granular cells and plasmatocytes, whose lineages have remained obscure. In addition to the granular cells and plasmatocytes that comprise approximately 85–95% of all hemocytes in last instar larvae of Lepidoptera (Beetz et al., submitted; Loret and Strand 1998), three other classes of hemocytes have been usually recognized on the basis of morphology: prohemocytes, spherule cells, and oenocytoids. For other insect orders, the terminology applied to hemocytes is likewise based on morphological features, but these features often differ from order to order. Morphological traits are also often a function of developmental stage or the media in which hemocytes are examined, frustrating attempts to compare hemocyte classes from different insect orders.
A variety of lineages has been proposed for the different classes of insect hemocytes. In some proposed lineages, all classes of hemocytes arise from a single population of pluripotent stem cells (Lanot et al. 2001; Yamashita and Iwabuchi 2001; Beaulaton 1979; Gupta and Sutherland 1966). In other postulated lineages, the different classes of hemocytes are derived from at least two different populations of precursors (Gardiner and Strand 2000, 1999; Lebestky et al. 2000; Rizki and Rizki 1984; Shrestha and Gateff 1982; Hinks and Arnold 1977).
During differentiation, granular cells and plasmatocytes of Lepidoptera can be distinguished by their ultrastructure as well as their labeling patterns with specific antibodies (Gardiner and Strand 1999; Willott et al. 1994). These two classes of hemocytes represent two antigenically distinct lineages. The sources of these two different classes of circulating hemocytes in larval Lepidoptera have been traced to (1) hematopoietic organs and (2) the proliferation of other circulating hemocytes (Ratcliffe et al. 1985). Immunolabeling of hematopoietic organs from Spodoptera frugiperda with granular-cell-specific and plasmatocyte-specific antibodies (Gardiner and Strand 2000) revealed that about 90% of the hemocytes in each organ are plasmatocytes.
Other findings have supported the proposal that plasmatocytes, but not granular cells, originate from these discrete hematopoietic organs associated with the wing discs of Lepidoptera (Hinks and Arnold 1977; Akai and Sato 1971). Examining populations of hemocytes in situ following cauterization of Bombyx wing imaginal discs and their associated hematopoietic organs, Nittono (1964) observed a marked reduction in prohemocytes and plasmatocytes. Nittono interpreted these results as implying that the hematopoietic organs are the source of only prohemocytes and plasmatocytes. Hinks and Arnold (1977) infrequently observed the presence of granular cells and spherule cells in hematopoietic organs of Euxoa declarata caterpillars, but they concluded that these particular cells were derived from the hemolymph and did not arise intrinsically. The granular cells and spherule cells were always found in those regions of the organ from which other hemocytes had entered the hemolymph by passing through openings in the organ's basal lamina. Although these findings support the view that hematopoietic organs represent aggregations of stem cells that populate the larval hemolymph with plasmatocytes (Gardiner and Strand 2000; Hinks and Arnold 1977), other authors have proposed that both granular cells and plasmatocytes arise from hematopoietic organs (Yamashita and Iwabuchi 2001; Beaulaton 1979).
For Manduca sexta, the cells of hematopoietic organs have been characterized using a variety of approaches. At the ultrastructural level a few cells with the distinctive features of granular cells have been identified at the surface of the organ. Immunolabeling the cells of hematopoietic organs with plasmatocyte-specific and granular-cell-specific markers has also been used to establish the fate of these cells at a given stage. Both electron microscopy and antibody labeling have shown that granular cells are either (1) located on the outer surface of the basal lamina that delimits cells within the organ from the surrounding hemolymph or, (2) in some instances, they are found just beneath this surface at places where the basal lamina is disrupted. By culturing hematopoietic organs in the absence of hemolymph, the fate of individual cells derived from these organs can be traced with specific antibody markers for plasmatocytes and granular cells.
Materials and methods
Rearing and staging of larvae
All insects were reared on standard artificial diet under constant temperature (26°C) and photoperiod (18 h light:6 h ark). Each larval stadium (L) is designated with a number (e.g., L5). Day 0 (d0) of a stadium marks the molt from the previous stadium. Each subsequent day (n) of a stadium marks 24x(n) hours after the molt from the previous stadium. Larvae were staged according to several easily recognized developmental landmarks: the molt from the third stadium (L3) to the fourth stadium (L4d0); the molt from the fourth stadium (L4) to the fifth stadium (L5d0); and the initiation of the wandering stage (L5d5) with its unique morphological and behavioral features.
Sections for light and electron microscopy
Wing imaginal discs and surrounding hematopoietic organs were removed with overlying larval integument from carefully staged larvae and dissected in Grace's tissue culture medium (Invitrogen). Organs were separated from the adjacent discs with fine tungsten needles and transferred to primary fixative of 2.5% glutaraldehyde and 0.5% paraformaldehyde dissolved in a 0.1 M cacodylate buffer containing 0.18 mM CaCl2 and 0.58 mM sucrose (Tolbert and Hildebrand 1981). After several rinses in the cacodylate buffer containing only sucrose and CaCl2, tissues were post-fixed in the same buffer containing 2% OsO4 in place of aldehydes. Tissues were once again rinsed in cacodylate buffer and dehydrated in a series of ethanol concentrations (10–100%) before final infiltration with propylene oxide and Medcast resin.
Sections (1–2 µm) for light microscopy were cut with a Reichert Ultracut E, arranged on glass slides, and stained with 1% toluidine blue in a 1% borax solution. Sections for electron microscopy were viewed with a Hitachi 600 at 75 kV.
Immunolabeling
Following a half-hour fixation with 4% paraformaldehyde dissolved in phosphate-buffered saline (PBS, pH 7.4), tissues were rinsed several times with PBS and then transferred to blocking buffer (PBS +3% normal horse serum or 10% normal goat serum +0.1% Triton X-100) for at least 30 min. Horse serum was added to blocking buffer when labeling with horseradish peroxidase (HRP); goat serum was added to blocking buffer when tissues were labeled with Texas Red or fluorescein. Standard immunolabeling of tissues has been described in earlier publications (Nardi et al. 1999; Nardi and Miklasz 1989). A 1:10,000 dilution was used for each of the following monoclonal antibodies (MAbs): MS13, MS34, MAb 3B11, and MAb 15D11. MS13 and MS34 are specific for plasmatocytes and recognize the beta subunit of integrin (Levin et al., in preparation). MAb 3B11 recognizes the cell adhesion protein neuroglian; in addition to being expressed by a subpopulation of plasmatocytes, neuroglian is expressed by a variety of epithelial, neural and glial cells (Nardi 1994). MAb 15D11 recognizes the extracellular matrix protein lacunin that is expressed by granular cells but not plasmatocytes (Nardi et al. 2001). As controls, tissues were treated with normal mouse serum (1:1,000) for 12 h in the cold prior to treatment with secondary antibodies. Whole immunolabeled tissues were mounted in 30% 0.1 M Tris (pH 9.0) in glycerol.
To double-label organs with two different mouse monoclonal antibodies and yet ensure that secondary labeling of these mouse monoclonal antibodies did not result in cross reactivity of the two labels, one monoclonal antibody (MAb 3B11) was first labeled with goat anti-mouse fluorescein according to the above procedure. The second mouse primary antibody was biotinylated and secondarily labeled with Texas Red-avidin D (Vector Laboratories). After the fluorescein-labeled secondary antibody was rinsed from tissues, the organs were incubated overnight at 4°C with biotin-MS13 diluted 1:1,000 in blocking buffer. Unbound biotinylated antibody was rinsed from organs at room temperature, and tissues then were exposed overnight in the cold to Texas Red-avidin D diluted 1:1,000 in blocking buffer. Several final rinses with blocking buffer at room temperature preceded mounting of tissues on glass slides.
Sections of tissues labeled with HRP were prepared from tissues that had been refixed with the aldehydes and 2% OsO4 as described in the preceding section. After dehydration and infiltration with Medcast resin, the tissues were sectioned at 1–2 µm and mounted on glass slides without staining.
Organ cultures and hemocyte cultures
Whole hematopoietic organs were dissected under sterile conditions in Grace's insect culture medium (Invitrogen) whose pH had been adjusted to 6.5 and then filter sterilized. Organs adhered to sterile cover glasses (22 mm2) that were placed on the bottom of small Falcon culture dishes (35×10 mm) containing Grace's medium (pH 6.5) plus 20% fetal calf serum (Sigma). Cultures were maintained at 26°C in large culture dishes lined with moist filter paper.
Circulating hemocytes from last instar larvae were added to culture dishes prepared as described above. As soon as a drop of larval hemolymph touched the medium, the blood was swirled, and cells were allowed to settle and adhere to the glass coverslip for 1 h. After this culture period, the medium and unattached hemocytes were removed and adherent cells were fixed with PBS containing 4% paraformaldehyde for 30 min at room temperature. These fixed cells on cover glasses were then rinsed several times with PBS and later processed for immunolabeling as described earlier.
Confocal microscopy
Whole organs that had been double-labeled with fluorescein and Texas Red were observed using laser scanning confocal microscope (LSCM) instrumentation housed and maintained by the Imaging Technology Group at the University of Illinois' Beckman Institute. Imaging was performed using the Leica SP-2 spectral confocal instrumentation equipped with a ×20 plan-apochromatic objective and a ×63 plan-apochromatic oil immersion objective. The 488 laser line from an argon laser was selected for excitation of fluorescein, while the 543 laser line from a helium-neon laser was used to excite Texas Red. To minimize overlap of emission spectra for the two fluorochromes, excitation was performed sequentially. The emission detection ranges for fluorescein and Texas Red labeling were tuned respectively to the following bandwidths: 500–535 nm and 593–622 nm. Three-dimensional volumetric data sets consisting of multiple optical sections were processed using Leica Confocal Software to yield extended focus projections.
Flow cytometry
Larval mesothoracic wing discs along with the adjacent overlying integument were dissected and transferred to Grace's tissue culture medium. Hematopoietic organs were removed intact from the surfaces of these forewing imaginal discs using tungsten needles and watchmakers' forceps. Each organ was transferred to a separate siliconized Eppendorf tube containing 500 µl maceration solution consisting of glycerin, glacial acetic acid, and water (1:1:13). This mixture completely disaggregates tissues yet maintains the integrity of individual cells (David 1973). Organs remained in this maceration solution for at least 15 min and were thoroughly vortexed prior to addition of 500 µl 4% paraformaldehyde dissolved in PBS.
Cells of wing imaginal discs from L5d0 larvae were chosen as examples of known diploid cells. At this larval stage, neither tracheal cells nor hemocytes have colonized the extracellular space between the two monolayers of the wing discs (Nardi et al. 1985). The cells of these wing discs were disaggregated according to the procedure above.
The disaggregated cells remained in fixative (2% paraformaldehyde) for 30 min before being centrifuged at 200 g in a swinging bucket rotor. The cell pellet was washed first with 1.0 ml PBS and then with 1.0 ml blocking buffer (PBS +10% normal goat serum +0.1% Triton X-100). The washed pellet was suspended in 100 µl blocking buffer containing the mitosis marker, rabbit anti-phospho-histone H3 (Upstate), at a concentration of 10 µg/ml. Controls were exposed to 1:1,000 normal rabbit serum. The fixed cells remained in the primary rabbit antibody for 3 h at room temperature and then were washed twice with 1.0 ml blocking buffer before being incubated with 15 µg/ml fluorescein goat anti-rabbit IgG (Vector) in 100 µl blocking buffer. After the cells had been exposed to secondary antibody for 2 h at room temperature, they were washed once with 1.0 ml blocking buffer and 1.0 ml PBS and stored at 2°C in the dark until analyzed with flow cytometry no more than 2 days later.
Both the total number of cells per hematopoietic organ as well as the number of fluorescein-labeled mitotic cells per organ were calculated by simultaneously adding a known number of 6-µm carmine beads (Molecular Probes, 620 nm emission) to suspensions of macerated hematopoietic organs.
To establish the relationship between the class of circulating hemocyte (granular cells or plasmatocytes) and their ploidy levels, blood from larvae (L5d0, L5d4, L5d5) was collected in anticoagulant buffer (AC buffer). To each tube containing 750 µl AC buffer, four drops of blood were added, mixed, and then fixed with 750 µl 4% paraformaldehyde in PBS for 30 min at room temperature. These fixed, circulating hemocytes were then immunolabeled with plasmatocyte-specific MS13 and granular-cell-specific MAb 15D11 following the procedure outlined for immunolabeling of macerated cells from hematopoietic organs. Propidium iodide (1 mg/ml in distilled H2O) was added (8% by volume) to suspensions of permeabilized cells in PBS to stain for DNA.
For cell counting and analysis of labeled cells, a Coulter EPICS XL-MCL cytometer, equipped with an air-cooled,15-mW argon laser operating at 488 nm was used. To separate fluorescence emission of fluorescein isothiocyanate (FITC), carmine beads and propidium iodide (PI), the following set of band pass filters was used: 525, 620 and 675 nm, respectively. To discriminate doublets when DNA distribution was measured, peak versus integral fluorescence of PI was recorded at the same time.
Results
To establish the fate of cells in the hematopoietic organs of M. sexta, a combination of approaches has been used: (a) high-resolution imaging of cells that permits visualization of features distinctive for granular cells; (b) immunolabeling of well-permeabilized organs with antibodies that are specific for particular classes of hemocytes; (c) culture of isolated organs in vitro.
Morphology and fine structure of hematopoietic organs
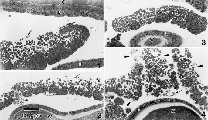
Each hematopoietic organ is draped across a wing imaginal disc. The inner surface of the organ lies adjacent to the wing disc, and the outer surface of the organ faces the hemocoel (Figs. 1, 2, 3, 4). A basal lamina delimits the organ with its surface intact on the inner surface of the organ (facing the wing disc) but disrupted in places on its outer surface that faces away from wing disc (Figs. 6,19, 21). Numerous thin sections of organs at different times during the penultimate (4th) and last (5th) larval stadia were cut and examined. The architecture of hematopoietic organs as well as the fine structure of individual cells within these organs and on their surfaces are presented in a series of electron and light micrographs (Figs. 1, 2, 3, 4, 5, 6, 7, 8, 9, 10, 11, 12, 13, 14).
In this series of four images, the position of the hematopoietic organ is shown relative to the nearby wing disc, consisting of a peripodial epithelium (p) that surrounds each wing epithelium (W). Both groups of coherent cells and clusters of noncoherent cells are found in each hematopoietic organ. Most of the coherent cells are located near the inner surface of the organ (i.e., adjacent to the wing disc). The magnification is the same for each image. Tracheoles are indicated with arrows
On L4d3, a day prior to the molt from the 4th instar to the 5th instar, this lobe of the hematopoietic organ lies between the larval thoracic integument—epithelium (E) + cuticle (C)—and the peripodial epithelium (p) of the wing disc
Immediately after the molt from the 4th instar to the 5th instar (L5d0), an inner-outer polarity of the organ is evident
This section of an L5d1 hematopoietic organ was cut at the periphery of the wing disc
By the wandering stage of the 5th instar (L5d5), the organization of the hematopoietic organ has changed with the basal lamina of the organ becoming folded and convoluted (arrowheads)
At higher resolution, most noncoherent and all coherent cells of hematopoietic organs can be distinguished from morphologically distinctive granular cells. These latter cells are always located near the periphery of each organ
Noncoherent cells from an L4d3 larva are interspersed with thin strands of basal lamina (arrows)
A thick basal lamina (arrow) separates coherent cells of an L4d3 organ (lower right) from more peripheral cells, one of which is a granular cell (G) with its characteristic inclusions. Note that this granular cell lies within a break in the basal lamina (single arrowheads)
On L5d0 the thicker outer basal lamina (large arrows) can be compared with thinner basal laminae (small arrows) that are found in the interior of each organ. A granular cell (G) with distinctive inclusions lies to the right on the periphery of the organ. T Tracheole
On L5d3 this coherent mass of cells is delimited by relatively thick basal laminae (arrows) on both inner (top) and outer (bottom) surfaces of the hematopoietic organ
Views of hematopoietic organs between the wandering stage of the 5th instar (L5d5) and pupation 5 days later
On L5d5 convoluted basal laminae (arrows) are found throughout the hematopoietic organ. Basal laminae (b) as well as cells (c) are being engulfed by phagocytic cells believed to be granular cells (G)
On L5d6 remaining cells of the organ interlock with long processes and form large, spherical extracellular spaces (S). Cells extend numerous fine processes (arrows) into these spaces
The global architecture of the L5d6 organ and its large number of spherical extracellular spaces are more clearly visualized at lower magnification
Four days later at pupation the conspicuous extracellular spaces (S) are less numerous and cells are showing ultrastructural features of programmed cell death
A close up of a nucleus (N) from a cell of a hematopoietic organ at pupation having the highly ramified form and condensation typical of nuclei in apoptotic cells
The global architecture of the organ at pupation showing its tenuous connection to the pupal epidermis at E and the remnants of the spherical extracellular spaces (arrows)
After the initiation of wandering (L5d5) the well-defined differences between inner and outer surfaces of organs become less evident as the delimiting basal lamina becomes folded and convoluted. Many cells of the organ lose their coherence and disaggregate. Some cells engulf and phagocytose one another (Fig. 9). In this respect, these cells resemble the phagocytic cells also observed in Drosophila lymph glands at the wandering stage (Lanot et al. 2001) or the reticular cells of Gryllus, Calliphora, and Locusta hematopoietic organs that have dual functions of hematopoiesis and phagocytosis (Hoffman et al. 1979).
As the hematopoietic organ degenerates at the end of larval life, the remaining cells adopt interlocking, attenuated forms and extend numerous fine processes from their surfaces (Figs. 10, 11). Several days later at pupation, the cells of the organ have lost most of their conspicuous intercellular spaces, and their nuclei undergo condensation and adopt highly ramified forms—classical features of apoptotic cells (Figs. 11, 12, 13, 14).
Expression of surface proteins by cells of the hematopoietic organ
The cells of the organ's inner surface are generally more coherent and densely packed; on the outer surface, the cells lose their coherence and disperse into the hemolymph (Figs. 1, 2, 19, 21). Most of the closely coherent cells are concentrated near the inner surface of the organ, although a few clusters of coherent cells lie near the outer surface.
All plasmatocytes that have dispersed from the hematopoietic organ—circulating as well as adherent—immunolabel with MS13 and MS34 (anti-integrins; Levin et al., in preparation). Cells that express neuroglian are always coherent cells that usually lie near the inner surface of the organ, whereas cells that express integrin are found on both inner and outer surfaces of hematopoietic organs (Figs. 15, 16, 17, 18, 19). Upon becoming noncoherent hemocytes, the surfaces of these particular cells uniformly express integrin but lose their uniform surface expression of neuroglian.
Immunolabeling of hematopoietic organs (L5d4) with two plasmatocyte-specific MAbs and one granular cell and basal lamina-specific MAb. In all images HRP was used as a marker
In this whole-mount of an organ labeled with anti-neuroglian (MAb 3B11), groups of coherent cells on the inner surface of the organ label on their cell surfaces. Epithelial cells of tracheoles label with anti-neuroglian (arrows; Nardi 1994). The inset shows cells on the outer surface of the same organ. Fewer cells label with anti-neuroglian on the outer surface, and only coherent cells label. Bar of inset 50 µm
A cross-section of an organ labeled with MAb 3B11 shows the clusters of coherent cells that are labeled. The inner surface of the organ faces down; it is on this surface that label is concentrated. The surfaces of tracheal epithelial cells also label with MAb 3B11 (arrow)
In this whole-mount of an organ viewed from its inner surface, aggregates of cells as well as single cells label with anti-integrin (MS13)
An organ labeled with MS13 and viewed from its outer surface again shows labeled cells that form loose aggregates (arrow) rather than the closely coherent aggregates showing MAb 3B11 immunoreactivity
A cross-section of an organ that was labeled with MS13. Groups of labeled cells as well as labeled individual cells are evident. The inner surface of the organ faces down
The outer surface of an organ labeled with anti-lacunin (MAb 15D11), an antibody that is specific for basal laminae as well as granular cells. Folds and creases in the basal lamina (small arrows) are darker than the smooth basal lamina. A few granular cells label near the periphery of the organ (large arrows)
A cross-section of an organ labeled with anti-lacunin. The outer surface faces down and the inner surface lies adjacent to the peripodial epithelium (p) and wing epithelium (w) of the wing disc. Cells can be seen dispersing from breaks in the basal lamina of the outer surface (arrows). The inset shows a section of another organ whose inner surface faces up and is covered by a continuous basal lamina; its outer surface is covered by a discontinuous basal lamina. One labeled granular cell (arrow) lies near the tracheole (T). Bar of inset 50 µm
Cells of the organ form a coherent mass segregated from granular cells of the hemolymph by a basal lamina. Only a few cells of the hematopoietic organ immunolabel with MAb 15D11, a specific marker for granular cells and basal laminae. Granular cells are localized to the periphery of the organ where they apparently can transverse breaks in the basal lamina (Figs. 6, 7, 21). In cross-sections of hematopoietic organs labeled with MAb 15D11 the basal lamina clearly labels; however, cells within the organ, with the exception of a few at the periphery, are not immunoreactive (Figs. 20, 21). In sections examined at high resolution, basal laminae are found throughout the interior of the organs that are thinner than the exterior, enveloping basal laminae (Figs. 5, 7). None of these thinner basal laminae label with MAb 15D11. The protein lacunin that is recognized by this MAb (Nardi et al. 1999) is produced by granular cells but not by plasmatocytes (Nardi et al. 2001).
Although all circulating plasmatocytes immunolabel with the anti-integrins MS13 and MS34, only a small fraction of the cells within the hematopoietic organ immunolabel with anti-integrin. Those cells of hematopoietic organs that label with anti-integrins, however, do not label with anti-neuroglian (Figs. 22, 23).
Laser scanning confocal images of hematopoietic organs from L5d4 larvae that have been labeled with anti-neuroglian (FITC) and anti-integrin (Texas Red). Note the absence of co-expression of these two cell surface proteins by the cells of these organs. Tracheal epithelial cells label with anti-neuroglian (arrows)
A low magnification view of an organ showing predominantly neuroglian-positive (green) cells
A higher magnification view of an organ showing the integrin-positive (red) and neuroglian-positive (green) cell populations. Tracheal epithelial cells label with anti-neuroglian (arrows)
Like developing T-cells in the mammalian thymus, the plasmatocytes that develop within the moth hematopoietic organs probably pass through phases marked by changes in expression of surface proteins (Janeway et al. 2001). Development within the lepidopteran hematopoietic organ also seems to be compartmentalized, with differences in surface protein expression and cell cohesion observed along the inner-outer axis of the organ.
Culture and mitotic activity of cells from hematopoietic organs
Hematopoietic organs of Lepidoptera are known to be sources of dividing hemocytes (Gardiner and Strand 2000; Akai and Sato 1971). The fates of cells that arise from isolated cultures of hematopoietic organs can be tracked by marking these cells with antibodies that are specific for particular classes of hemocytes. The markers can establish the diversity of hemocyte classes that are descended from the undifferentiated cells of a given organ.
Cells derived from cultured organs in vitro either (1) adhered and spread or (2) remained suspended in culture medium after dispersing from the hematopoietic organ. All cells that had dispersed from the organ immunolabeled with plasmatocyte-specific MS13 and MS 34 (Figs. 24, 25), but not with granular-cell-specific MAb 15D11. Cells adhering to the glass and plastic substrata within the culture dish as well as cells that were collected from the medium were fixed and immunolabeled. The specific immunolabeling of all these cultured cells (adherent and nonadherent) with MS13 and MS34 (anti-integrins) provides some of the best evidence that only plasmatocytes are derived from the thoracic hematopoietic organs.
Many cells that disperse from isolated, cultured hematopoietic organs (L5d3) adhere and spread on a glass substratum. Some cells do not adhere, but all cells immunolabel with MS13 and MS34 (anti-integrins). Each scale bar represents 100 µm
Cells have been cultured for 24 h and labeled with MS13
Cells have been cultured for 2 weeks and labeled with MS13
Whole organs (L5d4) have been fixed and labeld with the mitosis marker, anti-phospho-histone H3. A large percentage of cells label with the marker, and only some of the labeled cells lie within the plane of focus. Each scale bar equals 100 µm
An overview of mitotic labeling in two lobes of an organ
A higher magnificaton view of another organ whose mitotic cells have been labeled
Mitotic cells are abundant throughout each organ (Figs. 26, 27). Some mitotic cells express the surface protein neuroglian (Fig. 28); however, cells of the hematopoietic organ that express integrin and are dispersing were never observed to express the mitotic marker in organs from each of the four L5d3 and four L5d5 larvae that were doubly immunolabeled (Fig. 29).
In each figure, a whole mount of a hematopoietic organ (L5d4) has been fixed and doubly labeled with a marker for mitosis (FITC) and another marker for a cell surface protein (Texas Red). Each confocal image represents a 1.0 micron slice through the hematopoietic organ
The mitosis marker and anti-neuroglian label some of the same cells
The mitosis marker and anti-integrin are never localized to the same cells
The number of cells in each organ clearly increases during the first 5 days of the last larval stadium and then decreases after the inception of wandering and the rise in ecdysteroid levels in the hemolymph (Nardi et al.1985; Riddiford et al. 1984). The fraction of mitotic cells within the organ as a function of development parallels the time course of change in ecdysteroid levels as well as total number of cells within the organ (Figs. 30, 31). The changes in size and form of whole hematopoietic organs between day 0 and day 6 of the last larval stadium are illustrated in Fig. 32. The corresponding growth of the wing imaginal discs associated with each of these hematopoietic organs are included for comparison.
Flow cytometry established the total number of cells in each hematopoietic organ at different days during the last larval stadium (L5d0-L5d6) as well as the percentage of these cells labeled with the mitosis marker. For each time point, cells from at least six organs were counted. Bars represent standard errors
The mean (± SE) for day 0 is significantly different from the mean ( ± SE) for days 3 and 5 (p <0.05, unpaired t-test)
The means (± SE) for days 0, 3, and 5 are significantly different (p <0.05, unpaired t-test)
Whole-mounts of hematopoietic organs and their associated wing discs from larvae of the last larval stadium showing the overall morphology and growth of these organs. Organs and their associated wing discs all have the same orientation and magnification. The edge of the organ that drapes over the dorsal surface of the disc lies to the right of each figure. The proximal end of each wing disc lies to the left of each figure. By day 6, hematopoietic organs are beginning to degenerate and lose their earlier form. Scale 2 mm
Ploidy differences between circulating plasmatocytes and granular cells
According to Arnold and Hinks (1976), circulating plasmatocytes are a class of hemocytes that do not divide in the noctuid moth Euxoa declarata. These authors did observe, however, that plasmatocytes of the hemolymph increase in size dramatically during the last two larval stadia of E. declarata. Cell size is known to be proportional to ploidy level. Although these authors did not measure the DNA content of these plasmatocytes, the observed increase in plasmatocyte size is consistent with this class of hemocytes being endomitotic and polyploid. A clear disparity in size exists between granular cells and plasmatocytes in the hemolymph of last instar M. sexta (Fig. 33).
Hemocytes from an L5d4 larva that adhere to a cover glass substratum after 1 h in culture. These cells were immunolabeled with plasmatocyte-specific MS13 and photographed with differential interference contrast optics. Note the disparity in sizes for plasmatocytes (large arrows) and granular cells (small arrows). One of the large neuroglian-positive plasmatocytes is indicated with a double arrow. Scale 50 µm
The antibody, anti-phosphohistone H3, that was used to label mitotic cells cannot distinguish between mitotic cells destined to divide and endomitotic cells that do not divide. The relative amount of DNA per cell, however, is proportional to intensity of staining with propidium iodide. Labeling nuclei of circulating plasmatocytes with propidium iodide provided evidence for endomitotic activity rather than mitotic proliferation of these cells in M. sexta during the last larval stadium. Hemolymph as well as cells of hematopoietic organs from four larvae on each of three different days during this stadium (L5d0, L5d4, L5d5) were doubly labeled with plasmatocyte-specific MS13 and propidium iodide (Fig. 34).
Hemocytes from an L5d4 larva have been analyzed according to their ploidy levels and their surface labeling with the plasmatocyte-specific antibody MS13. Macerated and fixed cells of wing imaginal discs from L5d0 larvae are known to be diploid. They were labeled with propidium iodide in D and used as a diploid marker. A The FITC fluorescence intensity of hemocytes labeled with MS13. The population of plasmatocytes specifically labeled by this antibody is represented by the peak in region 2 (R2). Region 1 (R1) represents the population of hemocytes not labeled with MS13 (mostly granular cells). B The DNA distribution in unlabeled cells from R1. The first peak on the left represents the G0/G1 peak with a mean fluorescence of 27. The second G2/M peak has a mean fluorescence of 51. C The DNA distribution in the MS13-positive cells from region 2 of A. The first peak on the left represents GO/G1 with a mean fluorescence of 102. The second peak is presumably the G2/M peak with a mean fluorescence of 200. D The intensity of propidium iodide staining for cells of wing imaginal disc epithelium (unshaded peak) whose nuclei are known to be diploid. The labeling peak for the wing disc cells (unshaded peak) aligns with the shaded peak for cells of hematopoietic organs (between L5d0 and L5d5) as well as with the peak for granular cells in B
Differences in ploidy levels of different classes of circulating hemocytes were noted when plasmatocytes and granular cells were analyzed with flow cytometry. Circulating hemocytes from last instar Manduca larvae were doubly labeled with propidium iodide and FITC-conjugated MS13, the antibody marker specific for plasmatocytes. The cells that are negative for MS13 labeling (Fig. 34A, R1) have the smallest amount of DNA and presumably are diploid cells with mean relative fluorescence peaks at 27 for G0/G1 and 51 for G2/M (Fig. 34B; G1/G2 ratio =1.89). These cells are almost entirely granular cells. The main population of cells that are positive for MS13 (Fig. 34A, R2) presumably represents a polyploid population with mean relative fluorescence peaks at 102 for G1/G0 and 200 for G2/M (Fig. 34C; G1/G2 ratio =1.96). Plasmatocytes and granular cells of caterpillar hemolymph not only arise from different lineages, but they also have distinct ploidy levels.
Cells of wing imaginal discs are known to have diploid nuclei and were used as a diploid marker for propidium iodide staining. These wing epithelial cells were taken from discs at a stage (L5d0) when the hemocoel of the wing disc is free of hemocytes (Nardi et al. 1985). The intensity of propidium iodide staining for granular cells as well as cells of hematopoietic organs matches that for diploid cells of the wing imaginal discs (Fig. 34D). Endomitosis and additional DNA synthesis of plasmatocytes apparently occur after cells have dispersed as diploid cells from hematopoietic organs.
Discussion
Hemocyte cell lineages in Lepidoptera
In mammals hematopoietic stem cells are the precursors of all blood cell lineages; in insects, the cells derived from head mesoderm may likewise be the precursors for all hemocyte lineages (Lebestky et al. 2000; Tepass et al. 1994). As in Drosophila, hemocytes of Manduca first arise as involution of head mesoderm (Nardi, submitted). Based on the surface marker(s) expressed by these cells that are recognized by peanut agglutinin lectin (PNA), the hemocytes that appear in early embryogenesis represent granular cells. Moth granular cells not only are recognized by specific lectins and antibodies, but they also have characteristic granules within their cytoplasm that are evident with both the light and/or electron microscope (Figs. 6, 7).
A clear divergence in lineages of granular cells and plasmatocytes occurs during embryogenesis (Nardi, submitted). The plasmatocyte lineage that first appears late in embryogenesis either (1) loses the surface antigen(s) recognized by PNA or (2) represents a lineage of embryonic hemocytes that arises from precursors that are distinct from the granular cell precursors of head mesoderm. All the findings presented in this paper on the postembryonic hematopoietic organs are consistent with granular cells and plasmatocytes representing two different lineages that diverged during embryogenesis.
-
1.
In hematopoietic organs granular cells can be distinguished from plasmatocytes at the ultrastructural level as well as with specific immunolabels; granular cells are confined to the surfaces of hematopoietic organs facing the hemocoel.
-
2.
The only adherent hemocytes derived from cultures of isolated hematopoietic organs are plasmatocytes.
-
3.
Nonadherent cells that morphologically match the description of prohemocytes and express integrin are derived from cultured hematopoietic organs and probably represent precursors of differentiated plasmatocytes.
-
4.
Circulating granular cells are diploid while circulating plasmatocytes are polyploid.
Both single lineage and dual lineage models have been offered to account for the origin of circulating hemocytes and the fate of cells derived from hematopoietic organs of Lepidoptera. With a panel of monoclonal antibodies generated against hemocytes of Pseudoplusia includens, Gardiner and Strand (1999) clearly showed that granular cells and plasmatocytes represent two antigenically distinct lineages. Their findings with immunolabeling supported earlier claims (Hinks and Arnold 1977; Nittono 1964) that hematopoietic organs are sources of plasmatocytes but not granular cells; the findings are consistent with the two classes of hemocytes having separate lineages.
Beaulaton (1979) noted that the hematopoietic organs of the moths Bombyx and Antheraea are partitioned into islets of cells, with compact islets of undifferentiated cells occupying the inner surface of the organ closest to the wing disc and with loose islets of cells on the outer surface. Based at least in part on electron micrographs of hematopoietic organs from several Lepidoptera (Monpeyssin and Beaulaton 1978), the loose or heterogenic islets were interpreted as representing hemocytes at various stages of differentiation and with features of all hemocyte classes. This interpretation that hemocytes of all classes differentiate within the loose islets of lepidopteran hematopoietic organs led Beaulaton (1979) to postulate a single lineage for caterpillar hemocytes in which plasmatocytes derived from prohemocytes serve as pluripotent stem cells that give rise to granular cells, oenocytoids, and spherule cells. The equally valid interpretation that these hemocytes loosely associated with hematopoietic organs on their outer surfaces had actually differentiated as circulating cells of the hemolymph was not considered.
Studies of hemocyte transformations in culture have also been interpreted as support for granular cells and plasmatocytes forming one lineage. Examining transformations of hemocytes in vitro, Gupta and Sutherland (1966) claimed that plasmatocytes are polymorphic as well as pluripotent and can change either directly or indirectly into all other types of hemocytes. By isolating individual prohemocytes from hemolymph cultures of Bombyx mori, Yamashita and Iwabuchi (2001) inferred that prohemocytes can differentiate into either granular cells or plasmatocytes. These latter authors concluded that the prohemocytes released from hematopoietic organs are the pluripotent cells of the hemolymph and can give rise to both granular cells and plasmatocytes. These two studies, however, were based strictly on subjective morphological classifications of hemocyte types that have often proved misleading (Gillespie et al. 1997).
Comparing Drosophila hemocytes with hemocytes of Lepidoptera
Both single lineage and dual lineage models have likewise been offered to account for the origin of Drosophila hemocytes. In their investigation of hematopoietic lymph glands in Drosophila larvae and prepupae, Lanot et al. (2001) listed four cell types as being found within the glands: (1) prohemocytes, (2) crystal cells, plasmatocytes acting as (3) phagocytes and (4) secretory cells. Lamellocytes were never observed within the lymph glands, and these authors hypothesized that lamellocytes arise not from plasmatocytes but from prohemocytes. Prohemocytes of lymph glands serve as pluripotent stem cells that differentiate into at least three hemocyte classes: (1) lamellocytes, (2) plasmatocytes (phagocytes and secretory cells), (3) crystal cells. This single lineage model for differentiation of hemocyte types contrasts with the dual lineage model for embryonic hematopoiesis presented by Lebestky et al. (2000). A dual lineage model for hemocyte lineages is also based on the extensive observations of Rizki and Rizki (1984) of circulating hemocytes as well as Shrestha and Gateff's (1982) examination of larval hematopoietic organs (lymph glands).
The dual lineage model involves specification of two hemocyte lineages in Drosophila: a plasmatocyte lineage specified by transcription factor glial cell missing (gcm) and a crystal cell lineage specified by transcription factor lozenge (lz; Lebestky et al. 2000). Lamellocytes, the hemocytes of Diptera that encapsulate foreign objects, were first postulated to arise from circulating plasmatocytes. Rizki (1957) noted that lamellocyte numbers in hemolymph increase as plasmatocyte numbers concurrently decrease; this change in hemocyte populations occurs without an accompanying increase in cell division or apoptosis. By tracing the progression of cellular phenotypes in the lymph glands of Drosophila, Shrestha and Gateff (1982) hypothesized that plasmatocytes, podocytes, and lamellocytes represent a single lineage based respectively on their progressive increase in number of (1) primary lysosomes, (2) phagocytic vacuoles, and (3) cytoplasmic processes.
Whereas Drosophila lamellocytes and lepidopteran plasmatocytes both function as encapsulating hemocytes in response to foreign invasion, granular cells clearly are the hemocytes of Lepidoptera that are involved in secretion of basal laminae and phagocytosis (Nardi et al. 2001; Nardi and Miklasz 1989). Lanot et al.(2001) note that no counterpart of lepidopteran granular cells is present in the hemolymph of flies (Diptera). In Lepidoptera these granular cells degranulate as a first line of defense in the presence of foreign objects (Schmit and Ratcliffe 1977). The functions of moth granular cells–secretion of extracellular matrix and phagocytosis–have apparently been assumed in Drosophila by the plasmatocytes (Lanot et al. 2001).
The relationship between plasmatocytes and prohemocytes
Among the circulating hemocytes of Drosophila, mitotic activity has been observed in prohemocytes and plasmatocytes but not in crystal cells or in lamellocytes (Lanot et al. 2001). In lepidopteran larvae, Arnold and Hinks (1976, 1983) rarely observed division of circulating plasmatocytes but found that prohemocytes, granular cells, and spherule cells were the only circulating hemocytes that frequently divided.
Prohemocytes have been described in Lepidoptera as oval or rounded cells with high nuclear to cytoplasm ratios (Gardiner and Strand 1999, 2000). Such cells have not been described for M. sexta (Beetz et al., submitted), and only recently has a subpopulation of plasmatocytes in P. includens that fit this morphological description been identified by their special immunoreactivity (Gardiner and Strand 2000). As these authors point out, Arnold and Hinks (1976) had earlier suggested that prohemocytes are actually precursors of plasmatocytes.
In the ultrastructural images of Manduca hematopoietic organs (Figs. 5, 6, 7, 8, 9), the rounded cells clearly have high nuclear to cytoplasmic ratios. As these cells disperse from the hematopoietic organs and begin expressing integrin (Figs. 18, 19), they have the same morphological features used to describe prohemocytes (Gardiner and Strand 1999; Jones 1962). In cultures of Manduca hematopoietic organs, many plasmatocytes adhere to the glass substrate (Figs. 24, 25); however, numerous rounded cells remain in suspension. Both adherent and nonadherent cells in these cultures stain with anti-integrin. The nonadherent, integrin-positive cells observed in cultures of Manduca hematopoietic organs are derived from the same organ as the adherent, integrin-positive plasmatocytes and probably represent the class of hemocytes that other investigators have called prohemocytes.
These observations of cells derived from cultured hematopoietic organs of M. sexta are consistent with Gardiner and Strand's (2000) finding that two subpopulations of plasmatocytes in P. includens can be distinguished on the basis of their labeling with the particular monoclonal antibody 43E9A10. They suggest that the subpopulation of nonadherent, 43E9A10-negative plasmatocytes is the equivalent of the prohemocytes described by other researchers.
Following ligation of larvae into anterior and posterior regions, granular cell and spherule cell populations of hemocytes show only a slight increase in the anterior region of the larva. However, prohemocytes and plasmatocytes show a marked, several-fold increase in numbers at the anterior end of the larva (Hinks and Arnold 1977). While this phenomenon was evident in both Spodoptera frugiperda and E. declarata, another noctuid caterpillar, P. includens, showed no regional differences in hemocyte densities following ligations. This latter species is known to have greatly reduced hematopoietic organs and presumably plasmatocyte populations in P. includens are maintained by divisions of cells within the hemocoel (Gardiner and Strand 2000). The BrdU labeling patterns of circulating plasmatocytes in S. frugiperda and P. includens also indicate that these cells are synthesizing DNA and possibly proliferating as diploid cells.
Rather than finding evidence that circulating plasmatocytes of the last larval instar of M. sexta proliferate as diploid cells, however, their plasmatocytes were found to undergo endomitosis and to have higher ploidy levels than granular cells of the hemolymph. Differences in ploidy levels for plasmatocytes and granular cells have not been previously noted; however, both Arnold and Hicks (1976) as well as Shrestha and Gateff (1982), respectively, suggested that plasmatocytes increase in size within the hemolymph of caterpillars and within the lymph glands of fly larvae. This difference in ploidy levels between granular cells and plasmatocytes is another structural difference that distinguishes these two major classes of hemocytes and that probably reflects the different functional roles of granular cells and plasmatocytes in the immune response.
References
Akai H, Sato S (1971) An ultrastructural study of the haemopoietic organs of the silkworm, Bombyx mori. J Insect Physiol 17:1665–1676
Arnold JW, Hinks CF (1976) Haemopoiesis in Lepidoptera. I. The multiplication of circulating haemocytes. Can J Zool 54:1003–1012
Arnold JW, Hinks CF (1983) Haemopoiesis in Lepidoptera. III. A note on the multiplication of spherule cells and granular haemocytes. Can J Zool 61:275–277
Beaulaton J (1979) Hemocytes and hemocytopoiesis in silkworms. Biochimie 61:157–164
David C (1973) A quantitative method for maceration of hydra tissue. Roux's Arch Dev Biol 171:259–268
Gardiner EMM, Strand MR (1999) Monoclonal antibodies bind distinct classes of hemocytes in the moth Pseudoplusia includens. J Insect Physiol 45:113–126
Gardiner EMM, Strand MR (2000) Hematopoiesis in larval Pseudoplusia includens and Spodoptera frugiperda. Arch Insect Biochem Physiol 43:147–164
Gillespie JP, Kanost MR, Trenczek T (1997) Biological mediators of insect immunity. Annu Rev Entomol 42:611–643
Gupta AP, Sutherland DJ (1966) In vitro transformations of the insect plasmatocyte in some insects. J Insect Physiol 12:1369–1375
Hinks CF, Arnold JW (1977) Haemopoiesis in Lepidoptera. II. The role of hematopoietic organs. Can J Zool 55:1740–1755
Hoffman JA, Zachary D, Hoffman D, Brehelin M (1979) Postembryonic development and differentiation: hemopoietic tissues and their functions in some insects. In: Gupta AP (ed) Insect hemocytes. Cambridge University Press, Cambridge, pp 29–66
Janeway CA, Travers P, Walport M, Shlomchik MJ ( 2001) Immunobiology: the immune system in health and disease. Garland, New York
Jones JC (1962) Current concepts concerning insect hemocytes. Am Zool 2:209–246
Lanot R, Zachary D, Holder F, Meister M (2001) Postembryonic hematopoiesis in Drosophila. Dev Biol 230:243–257
Lebestky T, Chang T, Hartenstein V, Banerjee U (2000) Specification of Drosophila hematopoietic lineage by conserved transcription factors. Science 288:146–149
Loret SM, Strand MR (1998) Follow-up of protein release from Pseudoplusia includens hemocytes: a first step toward identification of factors mediating encapsulation in insects. Eur J Cell Biol 76:146–155
Monpeyssin M, Beaulaton J (1978) Hemocytopoiesis in the oak silkworm Antheraea pernyi and some other Lepidoptera. I. Ultrastructural study of normal processes. J. Ultrastruct Res 64:35–45
Nardi JB (1994) Rearrangement of epithelial cell types in an insect wing monolayer is accompanied by differential expression of a cell surface protein. Dev Dyn 199:315–325
Nardi JB, Miklasz SD (1989) Hemocytes contribute to both the formation and breakdown of the basal lamina in developing wings of Manduca sexta. Tissue Cell 21:559–567
Nardi JB, Hardt TA, Magee-Adams SM, Osterbur DL (1985) Morphogenesis in wing imaginal discs: its relationship to changes in the extracellular matrix. Tissue Cell 17:473–490
Nardi JB, Martos R, Walden KKO, Lampe DJ, Robertson HM (1999) Expression of lacunin, a large multidomain extracellular matrix protein, accompanies morphogenesis of epithelial monolayers in Manduca sexta. Insect Biochem Mol Biol 29:883–897
Nardi JB, Gao C, Kanost MR (2001) The extracellular matrix protein lacunin is expressed by a subset of hemocytes involved in basal lamina morphogenesis. J Insect Physiol 47:997–1006
Nittono Y (1964) Formation of hemocytes near the imaginal wing disc in the silkworm, Bombyx mori L. J Sericult Sci Jpn 33:43–45
Ratcliffe NA, Rowley AF, Fitzgerald SW, Rhodes CP (1985) Invertebrate immunity: basic concepts and recent advances. Int Rev Cytol 97:186–350
Riddiford LM, Wolfgang WJ, Green J, Fittinghoff C, Karasek K (1984) The significance of intermolt hormone levels in the control of sequential gene expression in insect epidermis. J Cell Biol 99:201a
Rizki TM (1957) Alterations in the haemocyte population of Drosophila melanogaster. J Morphol 100:437–458
Rizki TM, Rizki RM (1984) The cellular defense system of Drosophila melanogaster. In: King RC, Akai H (eds) Insect ultrastructure, vol 2. Plenum, New York, pp 579–604
Schmit AR, Ratcliffe NA (1977) The encapsulation of foreign tissue implants in Galleria mellonella larvae. J Insect Physiol 23:175–184
Shrestha R, Gateff E (1982) Ultrastructure and cytochemistry of the cell types in the larval hematopoietic organs and hemolymph of Drosophila melanogaster. Dev Growth Differ 24:65–82
Tepass U, Fessler LI, Aziz A, Hartenstein V (1994) Embryonic origin of hemocytes and their relationship to cell death in Drosophila. Development 120:1829–1837
Tolbert LP, Hildebrand JG (1981) Organization and synaptic ultrastructure of glomeruli in the antennal lobes of the moth Manduca sexta: a study using thin sections and freeze-fracture. Proc R Soc Lond B 213:279–301
Willott E, Trenczek T, Thrower LW, Kanost MR (1994) Immunochemical identification of insect hemocyte populations: monoclonal antibodies distinguish four major hemocyte types in Manduca sexta. Eur J Cell Biol 65:417–423
Yamashita M, Iwabuchi K ( 2001) Bombyx mori prohemocyte division and differentiation in individual microcultures. J Insect Physiol 47:325–331
Acknowledgements
This research was supported by a grant from the National Institutes of Health (1 R01 HL 64657). Charles Mark Bee helped with the scanning and final preparation of the figures. Andy Anderson and Stephanie Shockey carefully formatted the final manuscript. Two anonymous reviewers provided helpful, constructive suggestions for improving this manuscript.
Author information
Authors and Affiliations
Corresponding author
Additional information
Edited by P. Simpson
Rights and permissions
About this article
Cite this article
Nardi, J.B., Pilas, B., Ujhelyi, E. et al. Hematopoietic organs of Manduca sexta and hemocyte lineages. Dev Genes Evol 213, 477–491 (2003). https://doi.org/10.1007/s00427-003-0352-6
Received:
Accepted:
Published:
Issue Date:
DOI: https://doi.org/10.1007/s00427-003-0352-6












