Skip to main content

Allelic variation and differential expression of methionine-rich δ-zeins in maize inbred lines B73 and W23a1

Abstract

The sulfur-amino-acid-rich δ-zeins of maize (Zea mays L.) are represented by 18-kDa and 10-kDa proteins. We have cloned a novel 11-kDa methionine-rich δ-zein from developing endosperm of the inbred line W23a1. The nucleotide sequence of this new δ-zein is identical to the published 10-kDa δ-zein, except for an insertion of 18 nucleotides between +316 and +333 bp from the translation start site. Antibodies raised against the recombinant 18-kDa δ-zein recognized both the 18-kDa and 10-kDa δ-zein from total seed protein extracts of different maize inbred lines. Western blot analysis revealed differences in the levels of the δ-zeins in different inbred lines and some of the inbred lines lacked either the 10-kDa or the 18-kDa δ-zeins. Northern blot analysis revealed temporal differences in the RNA transcript levels of the 11-kDa and 18-kDa δ-zeins between B73 and W23a1. Such differences were not evident on Western blot analysis where similar protein accumulation profiles were seen for both lines. Immunostaining of paraffin sections of developing maize endosperm with the 18-kDa δ-zein antibodies revealed specific labeling of protein bodies found in the first few starchy layers from the aleurone layer. Electron-microscopic observation of thin-sections of B73 and W23a1 endosperm cells confirmed the presence of recently discovered novel, vacuole-like structures in these inbred lines. Immunogold labeling studies revealed that the δ-zeins were localized in the endoplasmic-reticulum-derived protein bodies and showed no preferential gold particle labeling over either the light or electron-dense material found in these protein bodies.

This is a preview of subscription content, access via your institution.

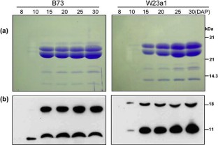
Fig. 1a, b.
Fig. 2.
Fig. 3a–d.
Fig. 4a, b.
Fig. 5.
Fig. 6a–f.
Fig. 7a–f.

Abbreviations

DAP:

days after pollination

IPTG:

isopropyl β-d-thiogalactopyranoside

References

  • Benner MS, Phillips RL, Kirihara JA, Messing JW (1989) Genetic analysis of methionine-rich storage protein accumulation in maize. Theor Appl Genet 78:761–767

    CAS  Google Scholar 

  • Burnett WN (1981) Western blotting: electrophoretic transfer of proteins from SDS–polyacrylamide gel to unmodified nitrocellulose and radiographic detection with antibody and radioiodinated protein A. Anal Biochem 112:195-203

    CAS  PubMed  Google Scholar 

  • Chui CF, Falco SC (1995) A new methionine-rich seed storage protein from maize. Plant Physiol 107:291

    Article  CAS  PubMed  Google Scholar 

  • Cruz-Alvarez M, Kirihara JA, Messing JW (1991) Post-transcriptional regulation of methionine content in maize kernels. Mol Gen Genet 225:331–339

    CAS  PubMed  Google Scholar 

  • Habben JE, Larkins BA (1995) Improving protein quality in seeds. In: Kige J, Galili G (eds) Seed development and germination. Dekker, New York, pp 791–810

  • Kirihara JA, Petri JB, Messing JW (1988a) Isolation and sequence of a gene encoding a methionine-rich 10-kDa zein protein from maize. Gene 71:359–370

    CAS  PubMed  Google Scholar 

  • Kirihara JA, Hunsperger JP, Mahoney WC, Messing JW (1988b) Differential expression of a methionine-rich storage protein gene in maize. Mol Gen Genet 211:477–484

    CAS  PubMed  Google Scholar 

  • Krishnan HB (2000) Biochemistry and molecular biology of soybean seed storage proteins. J New Seeds 2:1–25

    Google Scholar 

  • Krishnan HB, Coe EH (2001) Seed storage proteins. In: Brenner S, Miller JH (eds) Encyclopedia of genetics. Academic Press, San Diego, pp 1782–1787

  • Krishnan HB, Okita TW (1986) Structural relationship among the rice glutelin polypeptides. Plant Physiol 81:748–753

    CAS  Google Scholar 

  • Krishnan HB, Franceschi VR, Okita TW (1986) Immunocytochemical studies on the role of the Golgi complex in protein body formation in rice seeds. Planta 169:471–480

    CAS  Google Scholar 

  • Laemmli UK (1970) Cleavage of structural proteins during the assembly of the head of bacteriophage T4. Nature 227:680–685

    PubMed  Google Scholar 

  • Lending CR, Larkins BA (1989) Changes in the zein composition of protein bodies during maize endosperm development. Plant Cell 1:1011–1023

    Article  CAS  PubMed  Google Scholar 

  • Lending CR, Kriz AL, Larkins BA, Bracker CE (1988) Structure of maize protein bodies and immunocytochemical localization of zeins. Protoplasma 143:51–62

    CAS  Google Scholar 

  • Ludevid MD, Torrent M, Martinez-Izquierdo JA, Puigdomenech P, Palau J (1984) Subcellular localization of glutelin-2 in maize (Zea mays L.) endosperm. Plant Mol Biol 3:227–234

    CAS  Google Scholar 

  • Mertz ET, Bates LS, Nelson OE (1964) Mutant gene that changes protein composition and increases lysine content of maize endosperm. Science 145:279–280

    CAS  Google Scholar 

  • Muntz K, Christov V, Saalbach G, Saalbach I, Waddell D, Pickardt T, Schieder O, Wustenhagen T (1998) Genetic engineering for high methionine grain legumes. Nahrung 42:125–127

    Article  CAS  PubMed  Google Scholar 

  • Nielsen NC (1996) Soybean seed composition. In: Verma DPS, Shoemaker RC (eds) Soybean: genetics, molecular biology and biotechnology. CAB, Tucson, pp 127–163

    Google Scholar 

  • Nordlee JA, Taylor SL, Townsend JA, Thomas LA, Bush RH (1996) Identification of a Brazil-nut allergen in transgenic soybeans. N Engl J Med 334:688–692

    Article  CAS  PubMed  Google Scholar 

  • Norrander JM, Vieira J, Rubenstein I, Messing J (1985) Manipulation and expression of the maize zein storage proteins in Escherichia coli. J Biotechnol 2:157–175

    CAS  Google Scholar 

  • Phillips RL McClure BA 1985) Elevated protein-bound methionine in seeds of a maize line resistant to lysine plus threonine. Cereal Chem 62:213–218

    Google Scholar 

  • Schickler H, Benner MS, Messing JW (1993) Repression of the high-methionine zein gene in the maize inbred line Mo17. Plant J 3:221–229

    CAS  Google Scholar 

  • Shewry PR, Tatham AS (1999) The characteristics, structures and evolutionary relationships of prolamins. In: Shewry P, Casey R (eds) Seed proteins. Kluwer, Norwel, MA, pp 11–33

  • Shewry PR, Napier JA, Tatham AS (1995) Seed storage proteins: structures and biosynthesis. Plant Cell 7:945–956

    CAS  PubMed  Google Scholar 

  • Swarup S, Timmermans MCP, Chaudhuri S, Messing JW (1995) Determinants of the high-methionine trait in wild and exotic germplasm may have escaped selection during early cultivation of maize. Plant J 8:359–368

    Article  CAS  PubMed  Google Scholar 

  • Woo YM, Hu DW, Larkins BA, Jung R (2001) Genomics analysis of genes expressed in maize endosperm identifies novel seed proteins and clarifies patterns of zein gene expression. Plant Cell 13:2297–2317

    CAS  PubMed  Google Scholar 

Download references

Acknowledgements

The authors gratefully thank Dr. Michael McMullen for growing the maize plants in the field and Drs. Larry Darrah and Jack Gardiner for critical review of this manuscript.

Author information

Affiliations

Authors

Corresponding author

Correspondence to Hari B. Krishnan.

Rights and permissions

Reprints and Permissions

About this article

Cite this article

Kim, W.S., Krishnan, H.B. Allelic variation and differential expression of methionine-rich δ-zeins in maize inbred lines B73 and W23a1. Planta 217, 66–74 (2003). https://doi.org/10.1007/s00425-002-0971-6

Download citation

  • Received:

  • Accepted:

  • Published:

  • Issue Date:

  • DOI: https://doi.org/10.1007/s00425-002-0971-6

Keywords

  • Amino acid
  • Methionine-rich protein
  • Protein body
  • Zea
  • Zein