Skip to main content

Clinical impact of preoperative tumour contact with superior mesenteric-portal vein in patients with resectable pancreatic head cancer

Abstract

Introduction

The NCCN classification of resectability in pancreatic head cancer does not consider preoperative radiological tumour ≤ 180° contact with portal vein/superior mesenteric vein (PV/SMV) as a negative prognostic feature. The aim of this study is to evaluate whether this factor is associated with higher rate of incomplete resection and poorer survival.

Methods

All patients considered for pancreatic resection between 2012 and 2017 at two Spanish referral centres were included. Patients with borderline and locally advanced pancreatic ductal adenocarcinoma (PDAC) according to NCCN classification were excluded. Preoperative CT scans were reviewed by dedicated radiologists to identify radiologic tumour contact with PV/SMV.

Results

Out of 302, 71 patients were finally included in this study. Twenty-two (31%) patients showed tumour-PV/SMV contact (group 1) and 49 (69%) did not show any contact (group 2). Patients in group 1 showed a statistically significantly higher rate of R1 and R1-direct margins compared with group 2 (95 vs 28% and 77 vs 10%) and lower median survival (24 vs 41 months, p = 0.02). Preoperative contact with PV/SMV, lymph node metastases, R1-direct margin and NO adjuvant chemotherapy were significantly associated with disease-specific survival at multivariate analysis.

Conclusion

Preoperative radiological tumour contact with PV/SMV in patients with NCCN resectable PDAC is associated with high rate of pathologic positive margins following surgery and poorer survival.

This is a preview of subscription content, access via your institution.

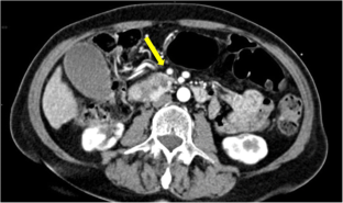
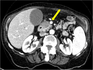
Fig. 1
Fig. 2
Fig. 3
Fig. 4

Data Availability

All data utilized in the study are available within the paper.

References

  1. Neoptolemos JP, Palmer DH, Ghaneh P, Psarelli EE, Valle JW, Halloran CM, Faluyi O, O’Reilly DA, Cunningham D, Wadsley J, Dar-by S, Meyer T, Gillmore R, Anthoney A, Lind P, Glimelius B, Falk S, Izbicki JR, Middleton GW, Cummins S, Ross PJ, Wasan H, McDon-ald A, Crosby T, Ma YT, Patel K, Sherriff D, Soomal R, Borg D, Sothi S, Hammel P, Hack-ert T, Jackson R, Buchler MW, European study group for pancreatic cancer (2017) Comparison of adjuvant gemcitabine and capecitabine with gemcitabine monotherapy in patients with resected pancreatic cancer (ESPAC-4): a 8 multicentre, open-label, randomised, phase 3 trial. Lancet 389:1011–1024

    CAS  Article  Google Scholar 

  2. Katz MH, Wang H, Fleming JB, Sun CC, Hwang RF, Wolff RA et al (2009) Long-term survival after multidisciplinary management of resected pancreatic adenocarcinoma. Ann Surg Oncol 16(4):836e47

    Article  Google Scholar 

  3. Loehrer AP, Ferrone CR (2016) Treatment of locally advanced pancreatic ductal adenocarcinoma. Dig Surg 33:343–350

    Article  Google Scholar 

  4. National Comprehensive Cancer Network web-site. NCCN clinical practice guidelines in oncology: pancreatic adenocarcinoma, version 1.2020. https://www.nccn.org/professionals/physician_gls/pdf/pancreatic.pdf

  5. Verbeke CS (2008) Resection margins and R1 rates in pancreatic cancer–are we there yet? Histopathology 52(7):787e96

    Article  Google Scholar 

  6. Verbeke CS, Leitch D, Menon KV, McMahon MJ, Guillou PJ, Anthoney A (2006) Redefining the R1 resection in pancreatic cancer. Br J Surg 93:1232–1237

    CAS  Article  Google Scholar 

  7. Butturini G, Stocken DD, Wente MN, Jeekel H, Klinkbijl JHG, Bakkevold K et al (2008) Influence of resection margins and treatment on survival in patients with pancreatic cancer. Meta-analysis of randomized controlled trials. Arch Surg 143:75–83

    Article  Google Scholar 

  8. Raut CP, Tseng JF, Sun CC, Wang H, Wolff RA, Crane CH, Hwang R, Vauthey JN, Abdalla EK, Lee JE, Pisters PWT, Evans DB (2007) Impact of resection status on pattern of failure and survival after pancreaticoduodenectomy for pancreatic adenocarcinoma. Ann Surg 246:52–60

    Article  Google Scholar 

  9. Wagner M, Redaelli C, Lietz M, Seiler CA, Friess H, Buchler MW (2004) Curative resection is the single most important factor determining outcome in patients with pancreatic adenocarcinoma. Br J Surg 91:586–594

    CAS  Article  Google Scholar 

  10. Tempero MA, Malafa MP, Chiorean EG, Czito B, Scaife C, Narang AK, Fountzilas C, Wolpin BM, Al-Hawary M, Asbun H, Behrman SW, Benson AB, Binder E, Cardin DB, Cha C, Chung V, Dillhoff M, Dotan E, Ferrone CR, Fisher G, Hardacre J, Hawkins WG, Ko AH, LoConte N, Lowy AM, Moravek C, Nakakura EK, O'Reilly EM, Obando J, Reddy S, Thayer S, Wolff RA, Burns JL, Zuccarino-Catania G (2019) Pancreatic Adenocarcinoma, Version 1.2019. J Natl Compr Cancer Netw 17(3):202–210

    Article  Google Scholar 

  11. Alberghina N, Sánchez-Montes C, Tuñón C, Maurel J, Araujo IK, Ferrer J, Sendino O, Córdova H, Vaquero EC, González-Suárez B, Martínez-Palli G, Ginès À, Fernández-Esparrach G (2017) Endoscopic ultrasonography can avoid unnecessary laparotomies in patients with pancreatic adenocarcinoma and undetected peritoneal carcinomatosis. Pancreatology. 17(5):858–864

    Article  Google Scholar 

  12. Tamm EP, Balachandran A, Bhosale PR, Katz MH, Fleming JB, Lee JH, Varadhachary GR (2012) Imaging of pancreatic adenocarcinoma: update on staging/resectability. Radiol Clin N Am 50(3):407–428. https://doi.org/10.1016/j.rcl.2012.03.008

    Article  PubMed  Google Scholar 

  13. Brierley J, Gospodarowicz MK, Wittekind CH, editors (2017) TNM classification of malignant tumours, 8th edn. Wiley, Oxford; Hoboken

  14. Tempero MA, Malafa MP, Al-Hawary M, Asbun H, Bain A, Behrman SW, Al Benson B, Binder E, Cardin DB, Cha C, Chiorean EG, Chung V, Czito B, Dillhoff M, Dotan E, Ferrone CR, Hardacre J, Hawkins WG, Herman J et al (2017) Pancreatic adenocarcinoma, version 2.2017: clinical practice guidelines in oncology. J Natl Compr Canc Netw 15(8):1028–1061

    Article  Google Scholar 

  15. Ausania F, Senra P, Meléndez R, Caballeiro R, Ouviña R, Casal-Núñez E (2019) Prehabilitation in patients undergoing pancreaticoduodenectomy: a randomized controlled trial. Rev Esp Enferm Dig 111(8):603–608

    PubMed  Google Scholar 

  16. Tol JA, Gouma DJ, Bassi C, Dervenis C, Montorsi M, Adham M, Andrén-Sandberg A, Asbun HJ, Bockhorn M, Büchler MW, Conlon KC, Fernández-Cruz L, Fingerhut A, Friess H, Hartwig W, Izbicki JR, Lillemoe KD, Milicevic MN, Neoptolemos JP, Shrikhande SV, Vollmer CM, Yeo CJ, Charnley RM, International Study Group on Pancreatic Surgery (2014) Definition of a standard lymphadenectomy in surgery for pancreatic ductal adenocarcinoma: a consensus statement by the International Study Group on Pancreatic Surgery (ISGPS). Surgery 156(3):591–600

    Article  Google Scholar 

  17. Sabater L, Cugat E, Serrablo A, Suarez-Artacho G, Diez-Valladares L, Santoyo-Santoyo J, Martín-Pérez E, Ausania F, Lopez-Ben S, Jover-Navalon JM, Garcés-Albir M, Garcia-Domingo MI, Serradilla M, Pérez-Aguirre E, Sánchez-Pérez B, Di Martino M, Senra-Del-Rio P, Falgueras-Verdaguer L, Carabias A, Gómez-Mateo MC, Ferrandez A, Dorcaratto D, Muñoz-Forner E, Fondevila C, Padillo J (2019) Does the Artery-first Approach Improve the Rate of R0 Resection in Pancreatoduodenectomy?: A Multicenter, Randomized, Controlled Trial. Ann Surg 270(5):738–746

    Article  Google Scholar 

  18. Menon KV, Gomez D, Smith AM, Anthoney A, Verbeke CS (2009) Impact of margin status on survival following pancreatoduodenectomy for cancer: the Leeds Pathology Protocol (LEEPP). HPB (Oxford). 11(1):18–24

    Article  Google Scholar 

  19. Tran Cao HS, Balachandran A, Wang H, Nogueras-González GM, Bailey CE, Lee JE, Pisters PW, Evans DB, Varadhachary G, Crane CH, Aloia TA, Vauthey JN, Fleming JB, Katz MH (2014) Radiographic tumor-vein interface as a predictor of intraoperative, pathologic, and oncologic outcomes in resectable and borderline resectable pancreatic cancer. J Gastrointest Surg 18(2):269–278

    Article  Google Scholar 

  20. Morelli L, Berchiolli R, Guadagni S, Palmeri M, Furbetta N, Gianardi D, Bianchini M, Funel N, Caprili G, Pollina LE, Di Candio G, Mosca F, Di Franco G, Cuschieri A (2018) Pancreatoduodenectomy without Vascular Resection in Patients with Primary Resectable Adenocarcinoma and Unilateral Venous Contact: A Matched Case Study. Gastroenterol Res Pract 25:2018

    Google Scholar 

  21. Sabater L, García-Granero A, Escrig-Sos J, Gómez-Mateo Mdel C, Sastre J, Ferrández A, Ortega J (2014) Outcome quality standards in pancreatic oncologic surgery. Ann Surg Oncol 21(4):1138–1146

    Article  Google Scholar 

  22. Turrini O, Ewald J, Barbier L, Mokart D, Blanche JL, Delpero JR (2013) Should the portal vein be routinely resected during pancreaticoduodenectomy for adenocarcinoma? Ann Surg 257(4):726–730

    Article  Google Scholar 

  23. Tanaka M, Mihaljevic AL, Probst P, Heckler M, Klaiber U, Heger U, Büchler MW, Hackert T (2019) Meta-analysis of recurrence pattern after resection for pancreatic cancer. Br J Surg 106(12):1590–1601. https://doi.org/10.1002/bjs.11295

    CAS  Article  PubMed  Google Scholar 

  24. Ghaneh P, Kleeff J, Halloran CM, Raraty M, Jackson R, Melling J, Jones O, Palmer DH, Cox TF, Smith CJ, O'Reilly DA, Izbicki JR, Scarfe AG, Valle JW, McDonald AC, Carter R, Tebbutt NC, Goldstein D, Padbury R, Shannon J, Dervenis C, Glimelius B, Deakin M, Anthoney A, Lerch MM, Mayerle J, Oláh A, Rawcliffe CL, Campbell F, Strobel O, Büchler MW, Neoptolemos JP, European Study Group for Pancreatic Cancer (2019) The impact of positive resection margins on survival and recurrence following resection and adjuvant chemotherapy for pancreatic ductal adenocarcinoma. Ann Surg 269(3):520–529

    Article  Google Scholar 

  25. Ghaneh P, Palmer DH, Cicconi S, Halloran C, Psarelli EE, Rawcliffe CL, Sripadam R, Mukherjee S, Wadsley J, Al-Mukhtar A, Jiao L, Wasan HS, Carter R, Graham JS, Ammad F, Evans J, Tjaden C, Hackert T, Buchler MW, Neoptolemos JP, European Study Group for Pancreatic Cancer (ESPAC). ESPAC-5F (2020) Four-arm, prospective, multicenter, international randomized phase II trial of immediate surgery compared with neoadjuvant gemcitabine plus capecitabine (GEMCAP) or FOLFIRINOX or chemoradiotherapy (CRT) in patients with borderline resectable pancreatic cancer. ASCO Virtual Scientific Program. J Clin Oncol 38(suppl):abstr 4505

    Article  Google Scholar 

  26. Versteijne E, Suker M, Groothuis K, Akkermans-Vogelaar JM, Besselink MG, Bonsing BA, Buijsen J, Busch OR, Creemers GM, van Dam RM, Eskens FALM, Festen S, de Groot JWB, Groot Koerkamp B, de Hingh IH, Homs MYV, van Hooft JE, Kerver ED, Luelmo SAC, Neelis KJ, Nuyttens J, Paardekooper GMRM, Patijn GA, van der Sangen MJC, de Vos-Geelen J, Wilmink JW, Zwinderman AH, Punt CJ, van Eijck CH, van Tienhoven G, Dutch Pancreatic Cancer Group (2020) Preoperative chemoradiotherapy versus immediate surgery for resectable and borderline resectable pancreatic cancer: results of the Dutch randomized phase III PREOPANC trial. J Clin Oncol 38(16):1763–1773. https://doi.org/10.1200/JCO.19.02274

  27. Ye M, Zhang Q, Chen Y, Fu Q, Li X, Bai X, Liang T (2020) Neoadjuvant chemotherapy for primary resectable pancreatic cancer: a systematic review and meta-analysis. HPB (Oxford) 22(6):821–832

    Article  Google Scholar 

  28. Versteijne E, Vogel JA, Besselink MG, Busch ORC, Wilmink JW, Daams JG, van Eijck CHJ, Groot Koerkamp B, Rasch CRN, van Tienhoven G, the Dutch Pancreatic Cancer Group (2018) Meta-analysis comparing upfront surgery with neoadjuvant treatment in patients with resectable or borderline resectable pancreatic cancer. Br J Surg 105(8):946–958

    CAS  Article  Google Scholar 

  29. Cloyd JM, Heh V, Pawlik TM et al (2020) Neoadjuvant therapy for resectable and borderline resectable pancreatic cancer: a meta-analysis of randomized controlled trials. J Clin Med 9(4):1129 Published 2020 Apr 15

    CAS  Article  Google Scholar 

  30. Barreto SG, Windsor JA (2016) Justifying vein resection with pancreatoduodenectomy. Lancet Oncol 17(3):e118–e124

    Article  Google Scholar 

  31. Anger F, Döring A, Schützler J, Germer CT, Kunzmann V, Schlegel N, Lock JF, Wiegering A, Löb S, Klein I (2020) Prognostic impact of simultaneous venous resections during surgery for resectable pancreatic cancer. HPB (Oxford). 22(10):1384–1393

    Article  Google Scholar 

  32. Hernandez J, Mullinax J, Clark W, Toomey P, Villadolid D, Morton C, Ross S, Rosemurgy A (2009) Survival after pancreaticoduodenectomy is not improved by extending resections to achieve negative margins. Ann Surg 250:76–80

    Article  Google Scholar 

Download references

Author information

Affiliations

Authors

Contributions

All authors contribute to study conception and design, acquisition and analysis of data, drafting and reviewing the manuscript.

Corresponding author

Correspondence to Alex Borin.

Ethics declarations

Conflict of interest

The authors declare that they have no conflict of interest.

Ethics approval

Approval for this study was obtained from local Institutional Ethics Committee (HCB/2020/0803).

Consent of participate

All patients included in the study signed a consent of participation and publication of their data.

Consent of publication

All patients included in the study signed a consent of participation and publication of their data.

Additional information

Publisher’s note

Springer Nature remains neutral with regard to jurisdictional claims in published maps and institutional affiliations.

Rights and permissions

Reprints and Permissions

About this article

Verify currency and authenticity via CrossMark

Cite this article

Ausania, F., Sanchez-Cabus, S., Senra del Rio, P. et al. Clinical impact of preoperative tumour contact with superior mesenteric-portal vein in patients with resectable pancreatic head cancer. Langenbecks Arch Surg 406, 1443–1452 (2021). https://doi.org/10.1007/s00423-020-02065-w

Download citation

  • Received:

  • Accepted:

  • Published:

  • Issue Date:

  • DOI: https://doi.org/10.1007/s00423-020-02065-w

Keywords

  • Pancreatic cancer
  • Pancreatectomy
  • Surgical margins
  • Prognostic factors