Skip to main content

Solid pseudopapillary neoplasm of the pancreas—proposed algorithms for diagnosis and surgical treatment

Abstract

Purpose

The incidence of solid pseudopapillary neoplasm (SPN) of the pancreas is rising. Although the evidence for proper management is accumulating, we still lack diagnostic and therapeutic guidelines. In this paper, therefore, we propose an algorithm for diagnosis and treatment of this rare type of tumor.

Methods

A literature search was carried out on “Medline” and “Pubmed” databases to identify studies investigating the clinicopathologic features, pathogenesis, diagnostic, and differential diagnostic pathways, and surgical and adjuvant treatment options. Evidence from relevant published literature was completed with data of six patients treated with SPN in our institution.

Results

This study included case series and retrospective reviews only, since no higher level of evidence exists in the relevant literature. The articles emphasized that preoperative diagnosis is desirable to set up a precise plan for surgical treatment. Further, an R0 organ-sparing resection for primary SPN and an en bloc resection of locally advanced SPN are advised, while resection of synchronous as well as metachronous distant metastases is strongly advocated for this rare type of pancreatic cancer. The role of adjuvant chemo- or radiotherapy still needs to be defined. Finally, a diagnostic and therapeutic algorithm is devised in this paper to aid proper management of SPN.

Conclusion

Current recommendations for treatment of SPN of the pancreas rely mainly on case series as single institutional experiences and retrospective reviews. Although the level of evidence is relatively low, the way of management discussed above is likely to provide an excellent prognosis in typically young patients with SPN.

This is a preview of subscription content, access via your institution.

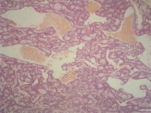
Fig. 1
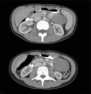
Fig. 2
Fig. 3
Fig. 4
Fig. 5

References

  1. Papavramidis T, Papavramidis S (2005) Solid pseudopapillary tumors of pancreas: review of 718 patients reported in English literature. J Am Coll Surg 200:965–972

    Article  PubMed  Google Scholar 

  2. Martin RC, Klimstra DS, Brennan MF, Conlon KC (2002) Solid-pseudopapillary tumor of the pancreas: a surgical enigma? Ann Surg Oncol 9:35–40

    Article  PubMed  Google Scholar 

  3. Klimstra DS, Wenig BM, Heffess CS (2000) Solid-pseudopapillary tumor of the pancreas: a typically cystic carcinoma of low malignant potential. Semin Diagn Pathol 17:66–80

    CAS  PubMed  Google Scholar 

  4. de Castro SMM, Singhal D, Aronson DC, Busch OR, van Gulik TM, Obertop H, Gouma DJ (2007) Management of solid-pseudopapillary neoplasms of the pancreas: a comparison with standard pancreatic neoplasms. World J Surg 31:1129–1134

    Google Scholar 

  5. Frantz VK (1959) Atlas of tumor pathology. Armed Forces Institute of Pathology, Washington

    Google Scholar 

  6. Panieri E, Krige JE, Bornman PC, Graham SM, Terblanche J, Cruse JP (1998) Operative management of papillary cystic neoplasms of the pancreas. J Am Coll Surg 186:319–324

    Article  CAS  PubMed  Google Scholar 

  7. Nishihara K, Nagoshi M, Tsuyenoshi M, Yamaguchi K, Hayashi I (1998) Papillary cystic tumors of the pancreas. Assesment of their malignant potential. Cancer 71:82–92

    Article  Google Scholar 

  8. Tipton SG, Smyrk TC, Sarr MG, Thompson GB (2006) Malignant potential of solid pseudopapillary neoplasm of the pancreas. Br J Surg 93:733–737

    Article  CAS  PubMed  Google Scholar 

  9. Machado MC, Machado MA, Bacchella T, Jukemura J, Almeida JL, Cunha JE (2008) Solid pseudopapillary neoplasm of the pancreas: distinct patterns of onset, diagnosis and prognosis for male versus female patients. Surgery 143:29–34

    Article  PubMed  Google Scholar 

  10. Mortenson MM, Katz MH, Tamm EP, Bhutani MS, Wang H, Evans DB, Fleming JB (2008) Current diagnosis and management of unusual pancreatic tumors. Am J Surg 196:100–113

    Article  PubMed  Google Scholar 

  11. Mao C, Guvendi M, Domenico DR, Kim K, Thomford NR, Howard JM (1995) Papillary cystic and solid tumors of the pancreas: a pancreatic embryonic tumor? Studies of three cases and cumulative review of the world’s literature. Surgery 118:821–828

    Article  CAS  PubMed  Google Scholar 

  12. Lam KY, Lo CY, Fan ST (1999) Pancreatic solid-cystic-papillary tumor: clinicopathologic features in eight patients from Hong Kong and review of the literature. World J Surg 23:1045–1050

    Article  CAS  PubMed  Google Scholar 

  13. Hajdú N, Belágyi T, Gyurus P, Oláh A (2008) Solid pseudopapillary neoplasm of the pancreas. Magy Seb 61:65–70

    PubMed  Google Scholar 

  14. Lee SE, Jang JY, Hwang DW, Park KW, Kim SW (2008) Clinical features and outcome of solid pseudopapillary neoplasm: differences between adults and children. Arch Surg 143:1218–1221

    Article  PubMed  Google Scholar 

  15. Rebhandl W, Feiberbauer FX, Puig S, Paya K, Hochschorner S, Barlan M, Horcher E (2001) Solid-pseudopapillary tumor of the pancreas (Frantz tumor) in children: report of four cases and review of literature. J Surg Oncol 76:289–296

    Article  CAS  PubMed  Google Scholar 

  16. Casadei R, Santini D, Calculli L, Pezzilli R, Zanini N, Minni F (2006) Pancreatic solid-cystic papillary tumor: clinical features, imaging findings and operative management. JOP 7:137–144

    PubMed  Google Scholar 

  17. Madan AK, Weldon CB, Long WP, Johnson D, Raafat A (2004) Solid and papillary epithelial neoplasm of the pancreas. J Surg Oncol 85:193–198

    Article  PubMed  Google Scholar 

  18. Jani N, Dewitt J, Eloubeidi M, Varadarajulu S, Appalaneni V, Hoffman B, Brugge W, Lee K, Khalid A, McGrath K (2008) Endoscopic ultrasound-guided fine-needle aspiration for diagnosis of solid pseudopapillary tumors of the pancreas: a multicenter experience. Endoscopy 40:200–203

    Article  CAS  PubMed  Google Scholar 

  19. Salla C, Chatzipantelis P, Konstantinou P, Karoumpalis I, Pantazopoulou A, Dappola V (2007) Endoscopic ultrasound-guided fine-needle aspiration cytology diagnosis of solid pseudopapillary tumor of the pancreas: a case report and literature overview. World J Gastroenterol 13:5158–5163

    PubMed  Google Scholar 

  20. Shimada K, Nakamoto Y, Isoda H, Maetani Y, Yamashita R, Arizono S, Hirokawa Y, Nitta T, Doi R, Haga H, Togashi K (2008) F-18 fluorodeoxyglucose uptake in a solid pseudopapillary tumor of the pancreas mimicking malignancy. Clin Nucl Med 33:766–768

    Article  PubMed  Google Scholar 

  21. Zhang H, Liang TB, Wang WL, Shen Y, Ren GP, Zheng SS (2006) Diagnosis and treatment of solid-pseudopapillary tumor of the pancreas. Hepatobiliary Pancreat Dis Int 5:454–458

    PubMed  Google Scholar 

  22. Buetow PC, Buck JL, Pantongrag-Brown L, Beck KG, Ros PR, Adair CF (1996) Solid and papillary epithelial neoplasm of the pancreas: imagingpathologic correlation on 56 cases. Radiology 199:707–711

    CAS  PubMed  Google Scholar 

  23. Cantisani V, Mortele KJ, Levy A, Glickman JN, Ricci P, Passariello R, Ros PR, Silverman SG (2003) MR imaging features of solid pseudopapillary tumor of the pancreas in adult and pediatric patients. AJR Am J Roentgenol 181:395–401

    PubMed  Google Scholar 

  24. Herrmann KA, Helmberger T, Bruns C, Reiser MF, Zech CJ (2008) Solid pseudopapillary pancreas tumors - often neglected. Radiologe 48:764–769

    Article  CAS  PubMed  Google Scholar 

  25. Yu CC, Tseng JH, Yeh CN, Hwang TL, Jan YY (2007) Clinicopathological study of solid and pseudopapillary tumor of pancreas: emphasis on magnetic resonance image findings. World J Gastroenterol 13:1811–1815

    PubMed  Google Scholar 

  26. Nakatani K, Watanabe Y, Okumura A, Nakanishi T, Nagayama M, Amoh Y, Ishimori T, Dodo Y (2007) MR imaging features of solid-pseudopapillary tumor of the pancreas. Magn Reson Med Sci 6:121–126

    Article  PubMed  Google Scholar 

  27. Shimizu T, Murata S, Mekata E, Miyake T, Abe H, Kurumi Y, Endo Y, Kushima R, Tani T (2007) Clinical potential of an antitumor drug sensitivity test and diffusion-weighted MRI in a patient with a recurrent solid pseudopapillary tumor of the pancreas. J Gastroenterol 42:918–922

    Article  CAS  PubMed  Google Scholar 

  28. Lee JH, Yu JS, Kim H, Kim JK, Kim TH, Kim KW, Park MS, Kim JH, Kim YB, Park C (2008) Solid pseudopapillary carcinoma of the pancreas: differentiation from benign solid pseudopapillary tumour using CT and MRI. Clin Radiol 63:1006–1014

    Article  CAS  PubMed  Google Scholar 

  29. Karatag O, Yenice G, Ozkurt H, Basak M, Basaran C, Yilmaz B (2006) A case of solid pseudopapillary tumor of the pancreas. World J Gastroenterol 12:6239–6243

    PubMed  Google Scholar 

  30. Maffuz A, FdeT B, Silva JA, Torres-Vargas S (2005) Preoperative gemcitabine for unresectable, solid pseudopapillary tumour of the pancreas. Lancet Oncology 6:185–186

    Article  PubMed  Google Scholar 

  31. Bardales RH, Centeno B, Mallery JS, Lai R, Pochapin M, Guiter G, Stanley MW (2004) Endoscopic ultrasound-guided fine-needle aspiration cytology diagnosis of solid-pseudopapillary tumor of the pancreas: a rare neoplasm of elusive origin but characteristic cytomorphologic features. Am J Clin Pathol 121:654–662

    Article  PubMed  Google Scholar 

  32. Mergener K, Detweiler SE, Traverso LW (2003) Solid pseudopapillary tumor of the pancreas: diagnosis by EUS-guided fine-needle aspiration. Endoscopy 35:1083–1084

    Article  CAS  PubMed  Google Scholar 

  33. Jhala N, Siegal GP, Jhala D (2008) Large, clear cytoplasmic vacuolation: an under-recognized cytologic clue to distinguish solid pseudopapillary neoplasms of the pancreas from pancreatic endocrine neoplasms on fine-needle aspiration. Cancer 114:249–254

    Article  PubMed  Google Scholar 

  34. Santini D, Poli F, Lega S (2006) Solid-papillary tumors of the pancreas: histopathology. JOP 7:131–136

    PubMed  Google Scholar 

  35. Klöppel G, Solcia E, Longnecker D, Capella C, Sobin L (1996) Histological typing of tumours of the exocrine pancreas. World Health Organization international histological classification of tumours. 2nd ed. Springer-Verlag, Berlin, pp 12–19

  36. Chen C, Jing W, Gulati P, Vargas H, French SW (2004) Melanocytic differentiation in solid pseudopapillary tumor of the pancreas. J Gastroenterol 39:579–583

    Article  PubMed  Google Scholar 

  37. Pezzi CM, Schuerch C, Erlandson RA, Deitrick J (1988) Papillary-cystic neoplasm of the pancreas. J Surg Oncol 37:278–285

    Article  CAS  PubMed  Google Scholar 

  38. Abraham SC, Klimstra DS, Wilentz RE, Yeo CJ, Conlon K, Brennan M, Cameron JL, Wu TT, Hruban RH (2000) Solid-pseudopapillary tumors of the pancreas are genetically distinct from pancreatic ductal adenocarcinomas and almost always harbor beta-catenin mutations. Am J Pathol 160:1361–1369

    Google Scholar 

  39. Serra S, Chetty R (2008) Revision 2: an immunohistochemical approach and evaluation of solid pseudopapillary tumour of the pancreas. J Clin Pathol 61:1153–1159

    Article  CAS  PubMed  Google Scholar 

  40. Tanaka Y, Kato K, Notohara K, Hojo H, Ijiri R, Miyake T, Nagahara N, Sasaki F, Kitagawa N, Nakatani Y, Kobayashi Y (2001) Frequent beta-catenin mutation and cytoplasmic/nuclear accumulation in pancreatic solid-pseudopapillary neoplasm. Cancer Res 61:8401–8404

    CAS  PubMed  Google Scholar 

  41. Huang HL, Shih SC, Chang WH, Wang TE, Chen MJ, Chan YJ (2005) Solid pseudopapillary tumor of the pancreas: clinical experience and literature review. World J Gastroenterol 11:1403–1409

    PubMed  Google Scholar 

  42. Goh BK, Tan YM, Cheow PC, Chung AY, Chow PK, Wong WK, OOi LL (2007) Solid pseudopapillary neoplasms of the pancreas: an updated experience. J Surg Oncol 95:640–644

    Article  PubMed  Google Scholar 

  43. Vollmer CM Jr, Dixon E, Grant DR (2003) Management of a solid pseudopapillary tumor of the pancreas with liver metastases. HPB 5:264–267

    Article  PubMed  Google Scholar 

  44. Strauss JF, Hirsch VJ, Rubey CN, Pollock M (1993) Resection of a solid and papillary epithelial neoplasm of the pancreas following treatment with cis-platinum and 5-fluorouracil: a case report. Med Pediatr Oncol 21:365–367

    Article  CAS  PubMed  Google Scholar 

  45. Fried P, Cooper J, Balthazar E, Fazzani E, Newall J (1985) A role for radiotherapy in the treatment of solid and papillary neoplasms of the pancreas. Cancer 56:2783–2785

    Article  CAS  PubMed  Google Scholar 

  46. Tang LH, Aydin H, Brennan MF, Klimstra DS (2005) Clinically aggressive solid pseudopapillary tumors of the pancreas: a report of two cases with components of undifferentiated carcinoma and a comparative clinicopathologic analysis of 34 conventional cases. Am J Surg Pathol 29:512–519

    Article  PubMed  Google Scholar 

Download references

Author information

Affiliations

Authors

Corresponding author

Correspondence to Attila Oláh.

Rights and permissions

Reprints and Permissions

About this article

Cite this article

Romics, L., Oláh, A., Belágyi, T. et al. Solid pseudopapillary neoplasm of the pancreas—proposed algorithms for diagnosis and surgical treatment. Langenbecks Arch Surg 395, 747–755 (2010). https://doi.org/10.1007/s00423-010-0599-0

Download citation

  • Received:

  • Accepted:

  • Published:

  • Issue Date:

  • DOI: https://doi.org/10.1007/s00423-010-0599-0

Keywords

  • Solid pseudopapillary neoplasm
  • Pancreas
  • Management
  • Guideline