Skip to main content

Xanthogranulomatous cholecystitis resembling carcinoma with extensive tumorous infiltration of the liver and colon

Abstract

Background

Xanthogranulomatous cholecystitis is a macrophage-rich inflammatory condition of the gallbladder that occasionally presents with tumorlike appearance.

Case presentation

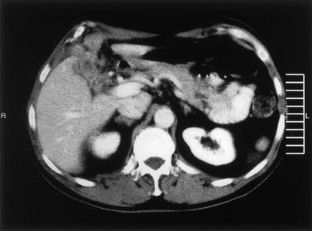
In the present case the inflammation involved all the layers of the gallbladder, the surrounding connective tissue, and part of the right lobe of the liver and right transverse colon. The clinical and radiological findings were suggestive of advanced carcinoma of the gallbladder. However, intraoperative frozen section investigation revealed xanthogranulomatous cholecystitis, for which simple cholecystectomy is the treatment of choice.

Conclusions

The original cause of the condition is unclear in most cases. In the present case it is possible that rupture of the gallbladder in association with the patient's known history of trauma have initiated the process

This is a preview of subscription content, access via your institution.

Fig. 1.
Fig. 2a, b.
Fig. 3.

References

  1. Benbow EW (1990) Xanthogranulomatous cholecystitis. Br J Surg 77:255–256

    CAS  PubMed  Google Scholar 

  2. Benbow EW, Taylor PM (1988) Simultaneous xanthogranulomatous cholecystitis and primary adenocarcinoma of gallbladder. Histopathology 12:672–675

    CAS  PubMed  Google Scholar 

  3. Christensen AH, Ishak KG (1970) Benign tumors and pseudotumors of the gallbladder. Report of 180 cases. Arch Pathol 90:423–432

    CAS  PubMed  Google Scholar 

  4. Fligiel S, Lewin KJ (1982) Xanthogranulomatous cholecystitis: case report and review of the literature. Arch Pathol Lab Med 106:302–304

    CAS  PubMed  Google Scholar 

  5. Franco V, Aragona F, Genova G, Florena AM, Stella M, Campesi G (1990) Xanthogranulomatous cholecystitis. Histopathological study and classification. Pathol Res Pract 186:383–390

    CAS  PubMed  Google Scholar 

  6. Goodman ZD, Ishak KG (1981) Xanthogranulomatous cholecystitis. Am J Surg Pathol 5:653–659

    CAS  PubMed  Google Scholar 

  7. Gore RM, Yaghmai V, Newmark GM, Berlin JW, Miller FH (2002) Imaging benign and malignant disease of the gallbladder. Radiol Clin North Am 40:1307–1323

    PubMed  Google Scholar 

  8. Houston JP, Collins MC, Cameron I, Reed MW, Parsons MA, Roberts KM (1994) Xanthogranulomatous cholecystitis. Br J Surg 81:1030–1032

    CAS  PubMed  Google Scholar 

  9. Iannicelli E, Rossi G, Almberger M, Salvi PF, David V (2002) A case of xanthogranulomatous cholecystitis: integrated US-CT imaging. Radiol Med (Torino) 104:106–110

    Google Scholar 

  10. Kawana T, Suita S, Arima T, Hirayama Y, Ishii K, Minamishima I, Ueda K, Hirata T, Nagoshi M, Enjoji M (1990) Xanthogranulomatous cholecystitis in an infant with obstructive jaundice. Eur J Pediatr 149:765–767

    CAS  PubMed  Google Scholar 

  11. Krishnani N, Shukla S, Jain M, Pandey R, Gupta RK (2000) Fine needle aspiration cytology in xanthogranulomatous cholecystitis, gallbladder adenocarcinoma and coexistent lesions. Acta Cytol 44:508–514

    CAS  PubMed  Google Scholar 

  12. Levy AD, Murakata LA, Abbott RM, Rohrmann C-AJ (2002) Benign tumors and tumorlike lesions of the gallbladder and extrahepatic bile ducts: radiologic-pathologic correlation. Radiographics 22:387–413

    PubMed  Google Scholar 

  13. Maeda T, Shimada M, Matsumata T, Adachi E, Taketomi A, Tashiro Y, Tsuneyoshi M, Sueishi K, Sugimachi K (1994) Xanthogranulomatous cholecystitis masquerading as gallbladder carcinoma. Am J Gastroenterol 89:628–630

    CAS  PubMed  Google Scholar 

  14. McCoy J-JJ, Vila R, Petrossian G, McCall RA, Reddy KS (1976) Xanthogranulomatous cholecystitis. Report of two cases. J S C Med Assoc 72:78–79

    PubMed  Google Scholar 

  15. Parra JA, Acinas O, Bueno J, Guezmes A, Fernandez MA, Farinas MC (2000) Xanthogranulomatous cholecystitis: clinical, sonographic, and CT findings in 26 patients. AJR Am J Roentgenol 174:979–983

    CAS  PubMed  Google Scholar 

  16. Pinocy J (2001) Gallenblasentumoren. In: Becker HD, Hohenberger W, Junginger T, Schlag PM (eds) Chirurgische Onkologie. Thieme, Stuttgart, pp 337

  17. Pinocy J, Becker HD (2001) Das zufällig entdeckte Karzinom der Gallenblase—Was ist zu tun? Dtsch Arztebl 98:A2193–A2194

    Google Scholar 

  18. Reed A, Ryan C, Schwartz SI (1994) Xanthogranulomatous cholecystitis. J Am Coll Surg 179:249–252

    CAS  PubMed  Google Scholar 

  19. Roberts KM, Parsons MA (1987) Xanthogranulomatous cholecystitis: clinicopathological study of 13 cases. J Clin Pathol 40:412–417

    CAS  PubMed  Google Scholar 

  20. Supervia A, Minguez S, Aguirre A, Pedro-Botet J (2000) [Xanthogranulomatous cholecystitis: preoperative diagnosis by fine-needle aspiration]. Med Clin (Barc) 114:278–279

    Google Scholar 

Download references

Author information

Affiliations

Authors

Corresponding author

Correspondence to Stefan M. Kröber.

Rights and permissions

Reprints and Permissions

About this article

Cite this article

Pinocy, J., Lange, A., König, C. et al. Xanthogranulomatous cholecystitis resembling carcinoma with extensive tumorous infiltration of the liver and colon. Langenbecks Arch Surg 388, 48–51 (2003). https://doi.org/10.1007/s00423-003-0362-x

Download citation

  • Received:

  • Accepted:

  • Published:

  • Issue Date:

  • DOI: https://doi.org/10.1007/s00423-003-0362-x

Keywords

  • Cholecystectomy
  • Gallbladder
  • Gallstones
  • Xanthogranulomatous cholecystitis