Skip to main content

The zinc transporter ZnT8 (slc30A8) is expressed exclusively in beta cells in porcine islets

Abstract

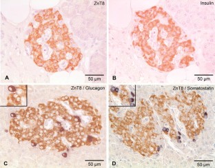
Diabetes represents a major endemic disease throughout the world, and different therapeutic methods are used to treat the disease. Xenotransplantation of pig islet cells is a potential treatment for type 1 diabetes, but studies of protein expression in distinct islet cells are rare. ZnT8, a member of the slc30A gene family, is involved in islet endocrine hormone release and is a diabetes auto-antigen, raising the question of whether ZnT8 expression is regulated similarly in pig and human pancreas. We used nested RT-PCR to detect ZnT8 expression in pig pancreas and polyclonal antibody to examine possible co-localization with other islet hormones. Immunohistochemistry of sequential serial sections as well as double immunostaining of pancreatic tissues with antibodies against ZnT8, insulin, glucagon, and somatostatin shows that pig ZnT8 is exclusively co-expressed in insulin-producing, but not in glucagon- or somatostatin-producing cells. The absence of ZnT8 in glucagon-producing cells in pig islets indicates that zinc homeostasis is mediated by a different cellular mechanism compared with human islet cells. Our findings provide important information about the cell-type-specific expression of ZnT8 in porcine islet cells, which should be taken into account when evaluating different xenotransplantation approaches.

This is a preview of subscription content, access via your institution.

Fig. 1
Fig. 2
Fig. 3
Fig. 4

References

  • Cardona K, Korbutt GS, Milas Z, Lyon J, Cano J, Jiang W, Bello-Laborn H, Hacquoil B, Strobert E, Gangappa S, Weber CJ, Pearson TC, Rajotte RV, Larsen CP (2006) Long-term survival of neonatal porcine islets in nonhuman primates by targeting costimulation pathways. Nat Med 12:304–306

    PubMed  Article  CAS  Google Scholar 

  • Cardona K, Milas Z, Strobert E, Cano J, Jiang W, Safley SA, Gangappa S, Hering BJ, Weber CJ, Pearson TC, Larsen CP (2007) Engraftment of adult porcine islet xenografts in diabetic nonhuman primates through targeting of costimulation pathways. Am J Transplant 7:2260–2268

    PubMed  Article  CAS  Google Scholar 

  • Chimienti F, Devergnas S, Favier A, Seve M (2004) Identification and cloning of a beta-cell-specific zinc transporter, ZnT-8, localized into insulin secretory granules. Diabetes 53:2330–2337

    PubMed  Article  CAS  Google Scholar 

  • Chimienti F, Favier A, Seve M (2005) ZnT-8, a pancreatic beta-cell-specific zinc transporter. Biometals 18:313–317

    PubMed  Article  CAS  Google Scholar 

  • Coneyworth LJ, Jackson KA, Tyson J, Bosomworth HJ, van der Hagen E, Hann GM, Ogo OA, Swann DC, Mathers JC, Valentine RA, Ford D (2012) Identification of the human zinc transcriptional regulatory element (ZTRE): a palindromic protein-binding DNA sequence responsible for zinc-induced transcriptional repression. J Biol Chem 287:36567–36581

    PubMed  Article  CAS  Google Scholar 

  • Cousins RJ, Liuzzi JP, Lichten LA (2006) Mammalian zinc transport, trafficking, and signals. J Biol Chem 281:24085–24089

    PubMed  Article  CAS  Google Scholar 

  • Dodson G, Steiner D (1998) The role of assembly in insulin’s biosynthesis. Curr Opin Struct Biol 8:189–194

    PubMed  Article  CAS  Google Scholar 

  • Eide DJ (2004) The SLC39 family of metal ion transporters. Pflugers Arch 447:796–800

    PubMed  Article  CAS  Google Scholar 

  • Eide DJ (2006) Zinc transporters and the cellular trafficking of zinc. Biochim Biophys Acta 1763:711–722

    PubMed  Article  CAS  Google Scholar 

  • Gaither LA, Eide DJ (2001) Eukaryotic zinc transporters and their regulation. Biometals 14:251–270

    PubMed  Article  CAS  Google Scholar 

  • Gyulkhandanyan AV, Lu H, Lee SC, Bhattacharjee A, Wijesekara N, Fox JE, MacDonald PE, Chimienti F, Dai FF, Wheeler MB (2008) Investigation of transport mechanisms and regulation of intracellular Zn2+ in pancreatic alpha-cells. J Biol Chem 283:10184–10197

    PubMed  Article  CAS  Google Scholar 

  • Hecht G, Eventov-Friedman S, Rosen C, Shezen E, Tchorsh D, Aronovich A, Freud E, Golan H, El-Hasid R, Katchman H, Hering BJ, Zung A, Kra-Oz Z, Shaked-Mishan P, Yusim A, Shtabsky A, Idelevitch P, Tobar A, Harmelin A, Bachar-Lustig E, Reisner Y (2009) Embryonic pig pancreatic tissue for the treatment of diabetes in a nonhuman primate model. Proc Natl Acad Sci USA 106:8659–8664

    PubMed  Article  CAS  Google Scholar 

  • Hediger MA, Romero MF, Peng JB, Rolfs A, Takanaga H, Bruford EA (2004) The ABCs of solute carriers: physiological, pathological and therapeutic implications of human membrane transport proteins Introduction. Pflugers Arch 447:465–468

    PubMed  Article  CAS  Google Scholar 

  • Heuchel R, Radtke F, Georgiev O, Stark G, Aguet M, Schaffner W (1994) The transcription factor MTF-1 is essential for basal and heavy metal-induced metallothionein gene expression. EMBO J 13:2870–2875

    PubMed  CAS  Google Scholar 

  • Jackson KA, Helston RM, McKay JA, O’Neill ED, Mathers JC, Ford D (2007) Splice variants of the human zinc transporter ZnT5 (SLC30A5) are differentially localized and regulated by zinc through transcription and mRNA stability. J Biol Chem 282:10423–10431

    PubMed  Article  CAS  Google Scholar 

  • Jackson KA, Valentine RA, Coneyworth LJ, Mathers JC, Ford D (2008) Mechanisms of mammalian zinc-regulated gene expression. Biochem Soc Trans 36:1262–1266

    PubMed  Article  CAS  Google Scholar 

  • Kambe T (2011) An overview of a wide range of functions of ZnT and Zip zinc transporters in the secretory pathway. Biosci Biotechnol Biochem 75:1036–1043

    PubMed  Article  CAS  Google Scholar 

  • Kambe T, Yamaguchi-Iwai Y, Sasaki R, Nagao M (2004) Overview of mammalian zinc transporters. Cell Mol Life Sci 61:49–68

    PubMed  Article  CAS  Google Scholar 

  • Langmade SJ, Ravindra R, Daniels PJ, Andrews GK (2000) The transcription factor MTF-1 mediates metal regulation of the mouse ZnT1 gene. J Biol Chem 275:34803–34809

    PubMed  Article  CAS  Google Scholar 

  • Lemaire K, Ravier MA, Schraenen A, Creemers JW, Van de Plas R, Granvik M, Van LL, Waelkens E, Chimienti F, Rutter GA, Gilon P, in’t Veld PA, Schuit FC (2009) Insulin crystallization depends on zinc transporter ZnT8 expression, but is not required for normal glucose homeostasis in mice. Proc Natl Acad Sci USA 106:14872–14877

    PubMed  Article  CAS  Google Scholar 

  • Maret W (2000) The function of zinc metallothionein: a link between cellular zinc and redox state. J Nutr 130:1455S–1458S

    PubMed  CAS  Google Scholar 

  • Mohanasundaram D, Drogemuller C, Brealey J, Jessup CF, Milner C, Murgia C, Lang CJ, Milton A, Zalewski PD, Russ GR, Coates PT (2011) Ultrastructural analysis, zinc transporters, glucose transporters and hormones expression in new world primate (Callithrix jacchus) and human pancreatic islets. Gen Comp Endocrinol 174:71–79

    PubMed  Article  CAS  Google Scholar 

  • Murgia C, Devirgiliis C, Mancini E, Donadel G, Zalewski P, Perozzi G (2009) Diabetes-linked zinc transporter ZnT8 is a homodimeric protein expressed by distinct rodent endocrine cell types in the pancreas and other glands. Nutr Metab Cardiovasc Dis 19:431–439

    PubMed  Article  CAS  Google Scholar 

  • Nicolson TJ, Bellomo EA, Wijesekara N, Loder MK, Baldwin JM, Gyulkhandanyan AV, Koshkin V, Tarasov AI, Carzaniga R, Kronenberger K, Taneja TK, Libert S, Froguel P, Scharfmann R, Stetsyuk V, Ravassard P, Parker H, Gribble FM, Reimann F, Sladek R, Hughes SJ, Johnson PR, Masseboeuf M, Burcelin R, Baldwin SA, Liu M, Lara-Lemus R, Arvan P, Schuit FC, Wheeler MB, Chimienti F, Rutter GA (2009) Insulin storage and glucose homeostasis in mice null for the granule zinc transporter ZnT8 and studies of the type 2 diabetes-associated variants. Diabetes 58:2070–2083

    PubMed  Article  CAS  Google Scholar 

  • Overbeck S, Uciechowski P, Ackland ML, Ford D, Rink L (2008) Intracellular zinc homeostasis in leukocyte subsets is regulated by different expression of zinc exporters ZnT-1 to ZnT-9. J Leukoc Biol 83:368–380

    PubMed  Article  CAS  Google Scholar 

  • Palmiter RD, Huang L (2004) Efflux and compartmentalization of zinc by members of the SLC30 family of solute carriers. Pflugers Arch 447:744–751

    PubMed  Article  CAS  Google Scholar 

  • Pound LD, Sarkar SA, Benninger RK, Wang Y, Suwanichkul A, Shadoan MK, Printz RL, Oeser JK, Lee CE, Piston DW, McGuinness OP, Hutton JC, Powell DR, O’Brien RM (2009) Deletion of the mouse Slc30a8 gene encoding zinc transporter-8 results in impaired insulin secretion. Biochem J 421:371–376

    PubMed  Article  CAS  Google Scholar 

  • Renner S, Braun-Reichhart C, Blutke A, Herbach N, Emrich D, Streckel E, Wunsch A, Kessler B, Kurome M, Bahr A, Klymiuk N, Krebs S, Puk O, Nagashima H, Graw J, Blum H, Wanke R, Wolf E (2013) Permanent neonatal diabetes in INSC94Y transgenic pigs. Diabetes 62:1505–1511

    PubMed  Article  CAS  Google Scholar 

  • Rutter GA (2010) Think zinc: new roles for zinc in the control of insulin secretion. Islets 2:49–50

    PubMed  Article  Google Scholar 

  • Schweiger M, Steffl M, Amselgruber WM (2005) Determination of target cells for cholecystokinin in the porcine pancreas. Ann Anat 187:209–214

    PubMed  Article  CAS  Google Scholar 

  • Smidt K, Pedersen SB, Brock B, Schmitz O, Fisker S, Bendix J, Wogensen L, Rungby J (2007) Zinc-transporter genes in human visceral and subcutaneous adipocytes: lean versus obese. Mol Cell Endocrinol 264:68–73

    PubMed  Article  CAS  Google Scholar 

  • Sun Y, Ma X, Zhou D, Vacek I, Sun AM (1996) Normalization of diabetes in spontaneously diabetic cynomolgus monkeys by xenografts of microencapsulated porcine islets without immunosuppression. J Clin Invest 98:1417–1422

    PubMed  Article  CAS  Google Scholar 

  • Tomita T, Matsubara O (2000) Immunocytochemical localization of metallothionein in human pancreatic islets. Pancreas 20:21–24

    PubMed  Article  CAS  Google Scholar 

  • Wang X, Zhou B (2010) Dietary zinc absorption: a play of Zips and ZnTs in the gut. IUBMB Life 62:176–182

    PubMed  Article  CAS  Google Scholar 

  • Wenzlau JM, Moua O, Sarkar SA, Yu L, Rewers M, Eisenbarth GS, Davidson HW, Hutton JC (2008) SlC30A8 is a major target of humoral autoimmunity in type 1 diabetes and a predictive marker in prediabetes. Ann N Y Acad Sci 1150:256–259

    PubMed  Article  Google Scholar 

  • Wijesekara N, Dai FF, Hardy AB, Giglou PR, Bhattacharjee A, Koshkin V, Chimienti F, Gaisano HY, Rutter GA, Wheeler MB (2010) Beta cell-specific Znt8 deletion in mice causes marked defects in insulin processing, crystallisation and secretion. Diabetologia 53:1656–1668

    PubMed  Article  CAS  Google Scholar 

  • Zhong ML, Chi ZH, Shan ZY, Teng WP, Wang ZY (2012) Widespread expression of zinc transporter ZnT (SLC30) family members in mouse endocrine cells. Histochem Cell Biol 138:605–616

    PubMed  Article  CAS  Google Scholar 

Download references

Acknowledgments

The authors express their gratitude to Mrs. Müller and Mrs. Kallenberger for their excellent technical assistance.

Author information

Affiliations

Authors

Corresponding author

Correspondence to Markus Schweiger.

Rights and permissions

Reprints and Permissions

About this article

Cite this article

Schweiger, M., Steffl, M. & Amselgruber, W.M. The zinc transporter ZnT8 (slc30A8) is expressed exclusively in beta cells in porcine islets. Histochem Cell Biol 140, 677–684 (2013). https://doi.org/10.1007/s00418-013-1137-2

Download citation

  • Accepted:

  • Published:

  • Issue Date:

  • DOI: https://doi.org/10.1007/s00418-013-1137-2

Keywords

  • Pig
  • Endocrine pancreas
  • Islet cells
  • ZnT8
  • Immunohistochemistry