Abstract
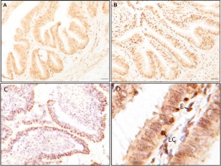
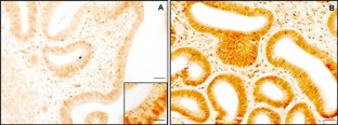
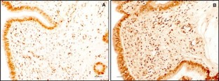
Members of TGF-β superfamily play a major role in the endometrial changes involved in the establishment and maintenance of pregnancy. Their deregulated expression and action could lead to absolute or partial failure of embryo implantation. Nonetheless, the precise function and mechanism of many of these cytokines remain unclear. Nodal, a transforming growth factor beta (TGF-β) superfamily member, was characterized in the human and rodent uterus and implicated in the tissue remodeling events during menstruation and embryo implantation. In order to study its possible role in the cattle reproductive process, we have analyzed Nodal expression pattern and localization in the oviduct and uterine horn during the oestrus cycle and early pregnancy (day 20). Nodal was detected both in oviduct and uterus during either the oestrus cycle or pregnancy; however, it shows a differential expression profile in the uterine horn at dioestrus and pregnancy, decreasing 1.5 and 1.4 folds in comparison with oestrus. Nodal immunostaining intensity was observed in stromal and in epithelial cells of the surface and the glandular epithelium. The staining pattern correlates with the RT-qPCR expression profile. This work is the first to evidence the presence of Nodal in the bovine reproductive tract; our data suggest that Nodal is a novel cytokine that would be involved in the remodelling occurring in the endometrium of cattle during the oestrus cycle and in the embryo implantation. The identification of new molecules that participate in endometrium cycling and/or pregnancy may be useful for predicting the ability of the uterine tissue to establish and maintain pregnancy or for detecting the infertility processes. These results highlight Nodal as a possible novel marker of the fertility process, nevertheless further studies should be done to determine its role in the reproductive system.







References
Argañaraz ME, Valdecantos PA, Abate CM, Miceli DC (2007) Rat Lefty2/EBAF gene: isolation and expression analysis in the oviduct during the early pregnancy stage. Genes Genet Syst 82:171–175
Argañaraz ME, Apichela SA, Miceli DC (2010) LEFTY2 expression and localization in rat oviduct during early pregnancy. Zygote 21:1–8. doi:10.1017/S0967199410000602
Bauersachs S, Blum H, Mallok S, Wenigerkind H, Rief S, Prelle K, Wolf E (2003) Regulation of ipsilateral and contralateral bovine oviduct epithelial cell function in the postovulation period: a transcriptomics approach. Biol Reprod 68(4):1170–1177
Bauersachs S, Ulbrich SE, Gross K, Schmidt SE, Meyer HH, Einspanier R, Wenigerkind H, Vermehren M, Blum H, Sinowatz F, Wolf E (2005) Gene expression profiling of bovine endometrium during the oestrus cycle: detection of molecular pathways involved in functional changes. J Mol Endocrinol 34(3):889–908
Bauersachs S, Ulbrich SE, Gross K, Schmidt SE, Meyer HH, Wenigerkind H, Vermehren M, Sinowatz F, Blum H, Wolf E (2006) Embryo-induced transcriptome changes in bovine endometrium reveal species-specific and common molecular markers of uterine receptivity. Reproduction 132(2):319–331
Bazer FW, Spencer TE, Johnson GA, Burghardt RC (2011) Uterine receptivity to implantation of blastocysts in mammals. Front Biosci (Schol Ed) 3:745–767
Blanchet MH, Le Good JA, Mesnard D, Oorschot V, Baflast S, Minchiotti G, Klumperman J, Constam DB (2008) Cripto recruits Furin and PACE4 and controls Nodal trafficking during proteolytic maturation. EMBO J 27(19):2580–2591
Blomberg LA, Schreier LL, Talbot NC (2008) Expression analysis of pluripotency factors in the undifferentiated porcine inner cell mass and epiblast during in vitro culture. Mol Reprod Dev 75(3):450–463
Brennan J, Lu CC, Norris DP, Rodriguez TA, Beddington RS, Robert-son EJ (2001) Nodal signaling in the epiblast patterns the early mouse embryo. Nature 411:965–969
Cornet PB, Picquet C, Lemoine P, Osteen KG, Bruner-Tran KL, Tabibzadeh S, Courtoy PJ, Eeckhout Y, Marbaix E, Henriet P (2002) Regulation and function of LEFTY-A/EBAF in the human endometrium. mRNA expression during the menstrual cycle, control by progesterone, and effect on matrix metalloprotineases. J Biol Chem 277:42496–42504
Curry TE Jr, Osteen KG (2003) The matrix metalloproteinase system: changes, regulation, and impact throughout the ovarian and uterine reproductive cycle. Endocr Rev 24(4):428–465
Fleige S, Pfaffl MW (2006) RNA integrity and the effect on the real-time qRT-PCR performance. Mol Aspects Med 27:126–139
Georgiou AS, Sostaric E, Wong CH, Snijders AP, Wright PC, Moore HD, Fazeli A (2005) Gametes alter the oviductal secretory proteome. Mol Cell Proteomics 4(11):1785–1796 (Epub 2005 Aug 16)
Georgiou AS, Snijders AP, Sostaric E, Aflatoonian R, Vazquez JL, Vazquez JM, Roca J, Martinez EA, Wright PC, Fazeli A (2007) Modulation of the oviductal environment by gametes. J Proteome Res 6(12):4656–4666 (Epub 2007 Nov 16)
Ireland JJ, Murphee RL, Coulson PB (1980) Accuracy of predicting stages of bovine estrous cycle by gross appearance of the corpus luteum. J Dairy Sci 63:155–160
Jiwakanon J, Persson E, Kaeoket K, Dalin AM (2005) The sow endosalpinx at different stages of the oestrous cycle and at anoestrus: studies on morphological changes and infiltration by cells of the immune system. Reprod Domest Anim 40(1):28–39
Jonsdottir K, Størkson R, Krog A, Bukholm IRK (2008) Correlation between mRNA detected by microarrays and qRT-PCR and protein detected by immunohistochemistry of cyclins in tumour tissue from colonic denocarcinomas. Open Pathol. J 2:96–110
Mamo S, Mehta JP, McGettigan P, Fair T, Spencer TE, Bazer FW, Lonergan P (2011) RNA sequencing reveals novel gene clusters in bovine conceptuses associated with maternal recognition of pregnancy and implantation. Biol Reprod. doi:10.1095/biolreprod.111.092643
Meno C, Saijoh Y, Fujii H, Ikeda M, Yokoyama T, Yokoyama M, Toyoda Y, Hamada H (1996) Left-right asymmetric expression of the TGF beta-family member Lefty in mouse embryos. Nature 9:151–155
Mesnard D, Constam DB (2010) Imaging proprotein convertase activities and their regulation in the implanting mouse blastocyst. J Cell Biol 191(1):129–139
Nadeem L, Munir S, Fu G, Dunk C, Baczyk D, Caniggia I, Lye S, Peng C (2011) Nodal signals through activin receptor-like kinase 7 to inhibit trophoblast migration and invasion: implication in the pathogenesis of preeclampsia. Am J Pathol 178(3):1177–1189
Papageorgiou I, Nicholls PK, Wang F, Lackmann M, Makanji Y, Salamonsen LA, Robertson DM, Harrison CA (2009) Expression of Nodal signaling components in cycling human endometrium and in endometrial cancer. Reprod Biol Endocrinol 29:1–11
Park CB, Dufort D (2011) Nodal expression in the uterus of the mouse is regulated by the embryo and correlates with implantation. Biol Reprod 84(6):1103–1110
Roberts RM, Xie S, Mathialagan N (1996) Maternal recognition of pregnancy. Biol Reprod 54:294–302
Rosiles VA, Galina CS, Maquivar M, Molina R, Estrada S (2005) Ultrasonographic screening of embryo development in cattle (Bos indicus) between days 20 and 40 of pregnancy. Anim Reprod Sci 90(1–2):31–37
Sakumoto R, Vermehren M, Kenngott RA, Okuda K, Sinowatz F (2010) Changes in the levels of progesterone receptor mRNA and protein in the bovine corpus luteum during the oestrus cycle. J Reprod Dev 56:219–222
Shen MM (2007) Nodal signaling: developmental roles and regulation. Development 134:1023–1034
Shier AF (2009) Nodal morphogens. Cold Spring Harb Perspect Biol 1:1–20
Tabibzadeh S (2011) Isolation, characterization, and function of EBAF/LEFTY B: role in infertility. Ann NY Acad Sci 1221:98–102. doi:10.1111/j.1749-6632.2010.05944.x
Tabibzadeh S, Hemmati-Brivanlou A (2006) Lefty at the crossroads of “stemness” and differentiative events. Stem Cells 24:1998–2006
Tabibzadeh S, Mason JM, Shea W, Cai Y, Murray MJ, Lessey B (2000) Dysregulated expression of ebaf, a novel molecular defect in the endometria of patients with infertility. J Clin Endocrinol Metab 85:2526–2536
Tang M, Taylor HS, Tabibzadeh S (2005a) In vivo gene transfer of Lefty leads to implantation failure in mice. Hum Reprod 20:1772–1778
Tang M, Xu Y, Julian J, Carson D, Tabibzadeh S (2005b) Lefty is expressed in mouse endometrium in oestrus cycle and peri-implantation period. Hum Reprod 20:872–880
Thomas G (2002) Furin at the cutting edge: from protein traffic to embryogenesis and disease. Nat Rev Mol Cell Biol 3(10):753–766
Torres PB, Florio P, Galleri L, Reis FM, Borges LE, Petraglia F (2009) Activin A, activin receptor type II, Nodal, and cripto mRNA expressed by eutopic and ectopic endometrium in women with ovarian endometriosis. Reprod Sci 16:727–733
Ulloa L, Creemers JW, Roy S, Liu S, Mason J, Tabibzadeh S (2001) Lefty proteins exhibit unique processing and activate the MAPK pathway. J Biol Chem 276(24):21387–22196
Wooding FB (1992) Current topic: the synepitheliochorial placenta of ruminants: binucleate cell fusions and hormone production. Placenta 13(2):101–113
Wu MY, Hill CS (2009) TGF-beta superfamily signaling in embryonic development and homeostasis. Dev Cell 16:329–343
Yamada O, Todoroki J, Takahashi T, Hashizume K (2002) The dynamic expression of extracellular matrix in the bovine endometrium at implantation. J Vet Med Sci 64(3):207–214
Acknowledgments
This research was partially supported by grants of Min. C y T. ARG 08/013-BFBFAL0814 and BID 2006 no. 502 (ANPCyT-UNT). Dr. Argañaraz was partially supported by a grant for CONICET-Argentina.
Author information
Authors and Affiliations
Corresponding author
Rights and permissions
About this article
Cite this article
Argañaraz, M.E., Apichela, S.A., Kenngott, R. et al. Expression and localization of nodal in bovine oviduct and uterus during different functional stages of oestrus cycle and pregnancy. Histochem Cell Biol 139, 89–97 (2013). https://doi.org/10.1007/s00418-012-1030-4
Accepted:
Published:
Issue Date:
DOI: https://doi.org/10.1007/s00418-012-1030-4