Skip to main content

Expression of SHH signaling pathway components in the developing human lung

Abstract

The Sonic hedgehog (Shh) cascade is crucial for the patterning of the early lung morphogenesis in mice, but its role in the developing human lung remains to be determined. In the present study, the expression patterns of SHH signaling pathway components, including SHH, PTCH1, SMO, GLI1, GLI2 and GLI3 were examined by in situ hybridization and immunohistochemistry, and compared with the equivalent patterns in mice. Our results showed that, as in mice, SHH was expressed in the epithelium of the developing human lung. However, SHH receptors (PTCH1 and SMO) and SHH signaling effectors (GLI1-3) were strongly detected in the human lung epithelium, but weakly in the mesenchyme, slightly different from their expressions in mice. Furthermore, the expression levels of SHH signaling pathway genes in human lung, but not that of GLI1, were subsequently downregulated at the canalicular stage evaluated by real-time PCR, coincident with a decline in the developing murine lung. In conclusion, in spite of slight differences, the considerable similarities of gene expression in human and mice suggest that conserved molecular networks regulate mammalian lung development.

This is a preview of subscription content, access via your institution.

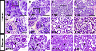
Fig. 1
Fig. 2
Fig. 3
Fig. 4
Fig. 5

References

  • Bellusci S, Furuta Y, Rush MG, Henderson R, Winnier G, Hogan BLM (1997) Involvement of Sonic hedgehog (Shh) in mouse embryonic lung growth and morphogenesis. Development 124:53–63

    CAS  PubMed  Google Scholar 

  • Britto JM, Tannahill D, Keynes RJ (2000) Life, death and Sonic hedgehog. Bioessays 22:499–502

    CAS  Article  PubMed  Google Scholar 

  • Chen Y, Struhl G (1996) Dual roles for Patched in sequestering and transducing Hedgehog. Cell 87:553–563

    CAS  Article  PubMed  Google Scholar 

  • Chuang PT, McMahon AP (2003) Branching morphogenesis of the lung: new molecular insights into an old problem. Trends Cell Biol 13:86–91

    CAS  Article  PubMed  Google Scholar 

  • Goodrich LV, Milenkovic L, Higgins KM, Scott MP (1997) Altered neural cell fates and medulloblastoma in mouse Patched mutants. Science 277:1109–1113

    CAS  Article  PubMed  Google Scholar 

  • Grindley JC, Bellusci S, Perkins D, Hogan BLM (1997) Evidence for the involvement of the Gli gene family in embryonic mouse lung development. Dev Biol 188:337–348

    CAS  Article  PubMed  Google Scholar 

  • Gritli-Linde A, Lewis P, McMahon AP, Linde A (2001) The whereabouts of a morphogen: direct evidence for short- and graded long-range activity of hedgehog signaling peptides. Dev Biol 236:364–386

    CAS  Article  PubMed  Google Scholar 

  • Ingo T, Marietta W, Andrea P, Hans-Helge S, Wolfgang AS (2004) Hedgehog signaling in normal urothelial cells and in urothelial carcinoma cell lines. J Cell Physiol 203:372–377

    Google Scholar 

  • Joshi S, Kotecha S (2007) Lung growth and development. Early Hum Dev 83:789–794

    CAS  Article  PubMed  Google Scholar 

  • Kang S, Graham JM Jr, Olney AH, Biescker LG (1997) GLI3 frameshift mutations cause autosomal dominant Pallister–Hall syndrome. Nat Genet 15:266–268

    CAS  Article  PubMed  Google Scholar 

  • Lewis PM, Dunn MP, McMahon JA, Logan M, Martin JF, St-Jacques B, McMahon AP (2001) Cholesterol modification of Sonic hedgehog is required for long-range signaling activity and effective modulation of signaling by Ptc1. Cell 105:599–612

    CAS  Article  PubMed  Google Scholar 

  • Litingtung Y, Lei L, Westphal H, Chiang C (1998) Sonic hedgehog is essential to foregut development. Nat Genet 20:58–61

    CAS  Article  PubMed  Google Scholar 

  • Motoyama J, Liu J, Mo R, Ding Q, Post M, Hui CC (1998) Essential function of Gli2 and Gli3 in the formation of lung, trachea and oesophagus. Nat Genet 20:54–57

    CAS  Article  PubMed  Google Scholar 

  • Odent S, Atti-Bitach T, Blayau M, Mathieu M, Aug J, de Delezo AL, Gall JY et al (1999) Expression of the Sonic hedgehog (SHH) gene during early human development and phenotypic expression of new mutations causing holoprosencephaly. Hum Mol Genet 8:1683–1689

    CAS  Article  PubMed  Google Scholar 

  • Park HL, Bai C, Platt KA, Matise MP, Beeghly A, Hui CC, Nakashima M et al (2000) Mouse Gli1 mutants are viable but have defects in SHH signaling in combination with a Gli2 mutation. Development 127:1593–1605

    CAS  PubMed  Google Scholar 

  • Pepicelli CV, Lewis PM, McMahon AP (1998) Sonic hedgehog regulates branching morphogenesis in the mammalian lung. Curr Biol 8:1083–1086

    CAS  Article  PubMed  Google Scholar 

  • Perl AK, Wert SE, Nagy A, Lobe CG, Whitsett JA (2002) Early restriction of peripheral and proximal cell lineages during formation of the lung. Proc Natl Acad Sci USA 99:10482–10487

    CAS  Article  PubMed  Google Scholar 

  • Sasaki H, Nishizaki Y, Hui C, Nakafuku M, Kondoh H (1999) Regulation of Gli2 and Gli3 activities by an amino-terminal repression domain: implication of Gli2 and Gli3 as primary mediators of Shh signaling. Development 126:3915–3924

    CAS  PubMed  Google Scholar 

  • Shannon JM, Hyatt BA (2004) Epithelial–mesenchymal interactions in the developing lung. Annu Rev Physiol 66:77–101

    Article  Google Scholar 

  • Shi W, Chen F, Cardoso WV (2009) Mechanisms of lung development: contribution to adult lung disease and relevance to chronic obstructive pulmonary disease. Proc Am Thorac Soc 6:558–563

    CAS  Article  PubMed  Google Scholar 

  • Ten Have-Opbroek AA (1991) Lung development in the mouse embryo. Exp Lung Res 17:111–130

    CAS  Article  PubMed  Google Scholar 

  • Urase K, Mukasa T, Igarashi H, Ishii Y, Yasugi S, Momoi MY, Momoi T (1996) Spatial expression of Sonic hedgehog in the lung epithelium during branching morphogenesis. Biochem Biophys Res Commun 225:161–166

    CAS  Article  PubMed  Google Scholar 

  • Villavicencio EH, Walterhouse DO, Iannaccone PM (2000) The Sonic hedgehog–Patched–GLI pathway in human development and disease. Am J Hum Genet 67:1047–1054

    CAS  PubMed  Google Scholar 

  • Warburton D, Schwarz M, Tefft D, Flores-Delgado G, Anderson KD, Cardoso WV (2000) The molecular basis of lung morphogenesis. Mech Dev 92:55–81

    CAS  Article  PubMed  Google Scholar 

  • Wassif CA, Maslen C, Kachilele-Linjewile S, Lin D, Linck LM, Connor WE, Steiner RD, Porter FD (1998) Mutations in the human sterol delta7-reductase gene at 11q12–13 cause Smith–Lemli–Opitz syndrome. Am J Hum Genet 63:55–62

    CAS  Article  PubMed  Google Scholar 

  • Weaver M, Batts L, Hogan LM (2003) Tissue interactions pattern the mesenchyme of the embryonic mouse lung. Dev Biol 258:169–184

    CAS  Article  PubMed  Google Scholar 

  • Wert SE, Glasser SW, Korfhagen TR, Whitsett JA (1993) Transcriptional elements from the human SP-C gene direct expression in the primordial respiratory epithelium of transgenic mice. Dev Biol 156:426–443

    CAS  Article  PubMed  Google Scholar 

  • Whitsett JA, Clark JC, Picard L, Tichelaar JW, Wert SE, Itoh N, Perl AK et al (2002) Fibroblast growth factor 18 influences proximal programming during lung morphogenesis. J Biol Chem 277:22743–22749

    CAS  Article  PubMed  Google Scholar 

  • Yu H, Wessels A, Chen J, Phelps AL, Oatis J, Ting GS, Patel SB (2004) Late gestational lung hypoplasia in a mouse model of the Smith–Lemli–Opitz syndrome. BMC Dev Biol 4:1

    Article  PubMed  Google Scholar 

  • Zhang YD, Zhao X, Hu YP, St Amand TR, Zhang MF, Ramamurthy R, Chen YP et al (1999) Msx1 is required for the induction of Patched by Sonic hedgehog in the mammalian tooth germ. Dev Dyn 215:45–53

    CAS  Article  PubMed  Google Scholar 

Download references

Acknowledgments

We thank Dr. C. Tabin (Harvard Medical School, USA) for generously providing SHH plasmid and Dr. Yi-Ping Chen (Tulane University, USA) for mouse Shh and Ptch1 plasmids. We also thank our laboratory members for their technical assistance and constructive discussions. This research was supported by the National Natural Science Foundation of China (30871422, 31000643), and the Young Scientist Innovation Project of Fujian Province (2007F3024).

Author information

Affiliations

Authors

Corresponding author

Correspondence to Yanding Zhang.

Electronic supplementary material

Below is the link to the electronic supplementary material.

Supplementary material 1 (PDF 296 kb)

Rights and permissions

Reprints and Permissions

About this article

Cite this article

Zhang, M., Wang, H., Teng, H. et al. Expression of SHH signaling pathway components in the developing human lung. Histochem Cell Biol 134, 327–335 (2010). https://doi.org/10.1007/s00418-010-0738-2

Download citation

  • Accepted:

  • Published:

  • Issue Date:

  • DOI: https://doi.org/10.1007/s00418-010-0738-2

Keywords

  • Sonic hedgehog signaling
  • Gene expression
  • Human embryonic lung
  • Mammalian lung development