Skip to main content

Expression and localization of growth hormone receptor in the oviduct of cyclic and pregnant pigs and mid-implantation conceptuses

Abstract

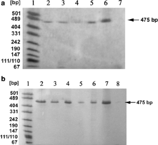
Previously it was shown that growth hormone (GH) and its receptor (GH-R) are involved in growth-promoting events during early embryonic development. However, it is still unknown if GH-induced GH-R signalling may support other functions within the oviduct. The purpose of our study was to analyse GH-R expression and localization in the porcine oviduct during different stages of the oestrus cycle and pregnancy (days 2–3 post inseminationem to days 65–71). As shown by reverse transcription polymerase chain reaction (RT-PCR), GH-R is expressed in the porcine oviduct during all stages of the oestrus cycle and pregnancy, respectively. Additionally, GH-R mRNA was detected in porcine conceptuses collected at day 18 of pregnancy. Using immunohistochemistry, GH-R was exclusively localized to the epithelium of the porcine oviduct throughout all segments examined. Localization of GH-R was mainly observed in the cytoplasm of ciliated epithelial cells. Generally, the number of GH-R-positive cells was elevated in the periovulatory phase of the oestrus cycle. Except for the isthmic epithelium, staining intensity of GH-R-positive cells was highest at oestrus and markedly reduced at met- and dioestrous stages. In infundibular and ampullar segments, percentage of GH-R-positive cells was significantly higher at days 2–3 post inseminationem compared to days 65–71 of pregnancy. Furthermore, in porcine conceptuses on day 18 of pregnancy GH-R protein expression was almost exclusively localized to trophectoderm. Our data suggest that GH-R mRNA and protein expression in the porcine oviduct throughout the oestrus cycle and pregnancy may suggest other activities of GH not described previously. Specifically, autocrine or paracrine GH-induced GH-R signalling may be linked to ciliated cell homeostasis of the porcine oviduct. Additionally, our results indicate that GH-R expression in the pig trophectoderm may be responsible for trophoblastic elongation.

This is a preview of subscription content, access via your institution.

Fig. 1
Fig. 2

References

  • Alvaro D, Onori P, Alpini G, Franchitto A, Jefferson DM, Torrice A, Cardinale V, Stefanelli F, Mancino MG, Strazzabosco M, Angelico M, Attili A, Gaudio E (2008) Morphological and functional features of hepatic cyst epithelium in autosomal dominant polycystic kidney disease. Am J Pathol 172:321–332

    PubMed  Article  CAS  Google Scholar 

  • Amit T, Dirnfeld M, Barkey RJ, Peleg I, Hacham H, Abramovici H, Blumenfeld Z (1993) Growth hormone-binding protein (GH-BP) levels in follicular fluid from human preovulatory follicles: correlation with serum GH-BP levels. J Clin Endocrinol Metab 77:33–39

    PubMed  Article  CAS  Google Scholar 

  • Baumann G, Amburn KD, Buchanan TA (1987) The effect of circulating growth hormone-binding protein on metabolic clearance, distribution, and degradation of human growth hormone. J Clin Endocrinol Metab 64:657–660

    PubMed  CAS  Google Scholar 

  • Bazer FW, Ford JJ, Kensinger RS (2001) Reproductive physiology. In: Pond WG, Mersmann HJ (eds) Biology of the domestic pig. Cornell University Press, Ithaca/London, pp 150–224

    Google Scholar 

  • Carley ME, Rickard DJ, Gebhart JB, Webb MJ, Podratz KC, Spelsberg TC (2003) Distribution of estrogen receptors α and β mRNA in mouse urogenital tissues and their expression after oophorectomy and estrogen replacment. Int Urogynecol J 14:141–145

    Article  Google Scholar 

  • Combes S, Louveau I, Bonneau M (1997) Effect of GH administration on GH and IGF-I receptors in porcine skeletal muscle and liver in relation to plasma GH-binding protein. J Endocrinol 155:19–26

    PubMed  Article  CAS  Google Scholar 

  • Fenwick MA, Llewellyn S, Fitzpatrick R, Kenny DA, Murphy JJ, Patton J, Wathes DC (2008) Negative energy balance in dairy cows is associated with specific changes in IGF-binding protein expression in the oviduct. Reproduction 135:63–75

    PubMed  Article  CAS  Google Scholar 

  • Harvey S, Hull KL (1997) Growth hormone: a paracrine growth factor? Endocr 7:267–279

    Article  CAS  Google Scholar 

  • Hsu SM, Raine L, Fanger H (1981) Use of avidin–biotin-peroxidase complex (ABC) in immunoperoxidase techniques: a comparison between ABC and unlabelled antibody (PAP) procedures. J Histochem Cytochem 29:577–580

    PubMed  CAS  Google Scholar 

  • Hull KL, Harvey S (2001) Growth hormone: roles in female reproduction. J Endocrinol 168:1–23

    PubMed  Article  CAS  Google Scholar 

  • Huyser C, Fourie FL, Bosmans E, Levay PF (1994) Interleukin-1 beta, interleukin-6, and growth hormone levels in human follicular fluid. J Assist Reprod Genet 11:193–202

    PubMed  Article  CAS  Google Scholar 

  • Kidson A, Rubio-Pomar FJ, Van Knegsel A, Van Tol HT, Hazeleger W, Ducro-Steverink DW, Colenbrander B, Dieleman SJ, Bevers MM (2004) Quality of porcine blastocysts produced in vitro in the presence or absence of GH. Reproduction 127:165–177

    PubMed  Article  CAS  Google Scholar 

  • Kirby CJ, Thatcher WW, Collier RJ, Simmen FA, Lucy MC (1996) Effects of growth hormone and pregnancy on expression of growth hormone receptor, insulin-like growth factor-I, and insulin-like growth factor binding protein-2 and -3 genes in bovine uterus, ovary, and oviduct. Biol Reprod 55:996–1002

    PubMed  Article  CAS  Google Scholar 

  • Kliem A, Tetens F, Niemann H, Fischer B (1998) Only a truncated epidermal growth factor receptor protein is present in porcine endometrium. Biol Reprod 58:1367–1371

    PubMed  Article  CAS  Google Scholar 

  • Kölle S, Stojkovic M, Prelle K, Waters M, Wolf E, Sinowatz F (2001) Growth hormone (GH)/GH receptor expression and GH-mediated effects during early bovine embryogenesis. Biol Reprod 64:1826–1834

    PubMed  Article  Google Scholar 

  • Kölle S, Stojkovic M, Reese S, Reichenbach HD, Wolf E, Sinowatz F (2004) Effects of growth hormone on the ultrastructure of bovine preimplantation embryos. Cell Tissue Res 317:101–108

    PubMed  Article  CAS  Google Scholar 

  • Leung KC, Johannsson G, Leong GM, Ho KK (2004) Estrogen regulation of growth hormone action. Endocr Rev 25:693–721

    PubMed  Article  CAS  Google Scholar 

  • Liu J, Carroll JA, Matteri RL, Lucy MC (2000) Expression of two variants of growth hormone receptor messenger ribonucleic acid in porcine liver. J Anim Sci 78:306–317

    PubMed  CAS  Google Scholar 

  • Lobie PE, Breipohl W, Garcia-Aragon J, Waters MJ (1990) Cellular localization of the growth hormone receptor in the male and female reproductive systems. Endocrinology 126:2214–2221

    PubMed  CAS  Article  Google Scholar 

  • Lobie PE, Garcia-Aragon J, Wang BS, Baumbach WR, Waters MJ (1992) Cellular localization of the growth hormone binding protein in the rat. Endocrinology 130:3057–3065

    PubMed  Article  CAS  Google Scholar 

  • Makarevich AV, Sirotkin AV (1997) The involvement of the GH/IGF-I axis in the regulation of secretory activity by bovine oviduct epithelial cells. Anim Reprod Sci 48:197–207

    PubMed  Article  CAS  Google Scholar 

  • Marchal R, Caillaud M, Martoriati A, Gerard N, Mermillod P, Goudet G (2003) Effect of growth hormone (GH) on in vitro nuclear and cytoplasmic oocyte maturation, cumulus expansion, hyaluronan synthases, and connexins 32 and 43 expression, and GH receptor messenger RNA expression in equine and porcine species. Biol Reprod 69:1013–1022

    PubMed  Article  CAS  Google Scholar 

  • Postel-Vinay MC (1996) Growth hormone- and prolactin-binding proteins: soluble forms of receptors. Horm Res 45:178–181

    PubMed  Article  CAS  Google Scholar 

  • Romeis B (1989) Mikroskopische Technik. Urban and Schwarzenberg, Munich, Vienna, Baltimore

    Google Scholar 

  • Schnoebelen-Combes S, Louveau I, Postel-Vinay MC, Bonneau M (1996) Ontogeny of GH receptor and GH-binding protein in the pig. J Endocrinol 148:249–255

    PubMed  Article  CAS  Google Scholar 

  • Shao R, Egecioglu E, Weijdegård B, Kopchick JJ, Fernandez-Rodriguez J, Andersson N, Billig H (2007a) Dynamic regulation of estrogen receptor-alpha isoform expression in the mouse fallopian tube: mechanistic insight into estrogen-dependent production and secretion of insulin-like growth factors. Am J Physiol Endocrinol Metab 293:E1430–1442

    PubMed  Article  CAS  Google Scholar 

  • Shao R, Weijdegård B, Fernandez-Rodriguez J, Egecioglu E, Zhu C, Andersson N, Thurin-Kjellberg A, Bergh C, Billig H (2007b) Ciliated epithelial-specific and regional-specific expression and regulation of the estrogen receptor-beta2 in the fallopian tubes of immature rats: a possible mechanism for estrogen-mediated transport process in vivo. Am J Physiol Endocrinol Metab 293:E147–158

    PubMed  Article  CAS  Google Scholar 

  • Shen XY, Holt RI, Miell JP, Justice S, Portmann B, Postel-Vinay MC, Ross RJ (1998) Cirrhotic liver expresses low levels of the full-length and truncated growth hormone receptors. J Clin Endocrinol Metab 83:2532–2538

    PubMed  Article  CAS  Google Scholar 

  • Trivedi B, Daughaday WH (1988) Release of growth hormone binding protein from IM-9 lymphocytes by endopeptidase is dependent on sulfhydryl group inactivation. Endocrinology 123:2201–2206

    PubMed  CAS  Google Scholar 

  • Wang H, Eriksson H, Sahlin L (2000) Estrogen receptors alpha and beta in the female reproductive tract of the rat during the estrous cycle. Biol Reprod 63:1331–1340

    PubMed  Article  CAS  Google Scholar 

  • Yuan W, Lucy MC (1996) Messenger ribonucleic acid expression for growth hormone receptor, luteinizing hormone receptor, and steroidogenic enzymes during the estrous cycle and pregnancy in porcine and bovine corpora lutea. Domest Anim Endocrinol 13:431–444

    PubMed  Article  CAS  Google Scholar 

Download references

Acknowledgments

The authors would like to thank Mrs Mueller and Mrs Holzaepfel for their excellent technical assistance.

Author information

Affiliations

Authors

Corresponding author

Correspondence to Martin Steffl.

Rights and permissions

Reprints and Permissions

About this article

Cite this article

Steffl, M., Schweiger, M., Mayer, J. et al. Expression and localization of growth hormone receptor in the oviduct of cyclic and pregnant pigs and mid-implantation conceptuses. Histochem Cell Biol 131, 773 (2009). https://doi.org/10.1007/s00418-009-0573-5

Download citation

  • Accepted:

  • Published:

  • DOI: https://doi.org/10.1007/s00418-009-0573-5

Keywords

  • Oviduct
  • Pig
  • Growth hormone receptor
  • Embryo
  • Immunohistochemistry