Skip to main content

In vivo and in vitro effects of SREBP-1 on diabetic renal tubular lipid accumulation and RNAi-mediated gene silencing study

Abstract

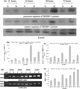
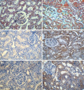
Lipid deposits can injury the kidney of diabetic patients and models. Sterol regulatory element binding protein-1 (SREBP-1) is transcription factor regulating the synthesis of fatty acid and triglyceride. At present whether the expression of SREBP-1 makes some effects on the lipid accumulation in diabetic kidney is not still clear completely. The purpose of our in vivo and in vitro study is to investigate the relationship between the expression of SREBP-1 and lipid abnormal metabolism in the type 1 diabetic rats and explore to inhibit SREBP-1 gene expression by RNA interfere in human renal proximal tubular epithelial cells line (HKC cells). The animal experiment showed that triglyceride and SREBP-1 were up-regulated in proximal tubule of diabetic rats’ kidney, which may result in increase of transforming growth factor-β1 (TGF-β1) and accumulation of extracellular matrix (ECM). The further HKC cells experiment confirmed SREBP-1 increasing resulted into lipid droplet formation. The expression of fatty acid synthase (FAS) in HKC cells transfected with specific plasmid for SREBP-1 gene was significantly more than that of the cells transfected with the control plasmid pcDNA3.1 and that of the untransfected cells. Simultaneously, up-regulation of TGF-β1 and fibronectin, an ECM glycoprotein, was evident in HKC cells transfected by specific SREBP-1 plasmid. Furthermore, we found that high glucose was a positive factor on the expression of SREBP-1 at protein and mRNA levels in HKC cells. High glucose makes effects on SREBP-1 in time-dependent manner, and the greatest effect was at 48 h. In addition, two effective eukaryotic expression plasmid vectors of shRNA aimed at SREBP-1 were designed and constructed successfully. Compared with the negative control plasmid group, the levels of the expression of SREBP-1 were inhibited by 24.11 and 36.15%, respectively, at mRNA level, 20.80 and 37.59%, respectively, at precursor segment of protein level, and 38.12 and 52.24%, respectively, at mature segment of protein level at 48 h after transfection. In vivo and in vitro study suggested that high glucose caused increasing SREBP-1 mRNA and protein in renal proximal tubule epithelial cells of type 1 diabetic rats. Increasing SREBP-1 plays an important role in the pathogenesis of renal lipid accumulation by up-regulation of FAS and ECM accumulation by inducing TGF-β1 expression. The application of vector-mediated RNAi could markedly inhibit the expression of SREBP-1 in HKC cells, which is a promising tool for future research into the mechanisms of renal lipid accumulation in vivo.

This is a preview of subscription content, access via your institution.

Fig. 1
Fig. 2
Fig. 3
Fig. 4
Fig. 5
Fig. 6
Fig. 7
Fig. 8
Fig. 9
Fig. 10
Fig. 11
Fig. 12
Fig. 13

References

  • Albrecht M, Renneberg H, Wennemuth G, Möschler O, Janssen M, Aumüller G, Konrad L (1999) Fibronectin in human prostatic cells in vivo and in vitro: expression, distribution, and pathological significance. Histochem Cell Biol 112:51–61

    PubMed  Article  CAS  Google Scholar 

  • Beisswenger PJ, Drummond KS, Nelson RG, Howell SK, Szwergold BS, Mauer M (2005) Susceptibility to diabetic nephropathy is related to dicarbonyl and oxidative stress. Diabetes 54:3274–3281

    PubMed  Article  CAS  Google Scholar 

  • Bloch K, Shichman E, Vorobeychik M, Bloch D, Vardi P (2007) Catalase expression in pancreatic alpha cells of diabetic and non-diabetic mice. Histochem Cell Biol 127:227–232

    PubMed  Article  CAS  Google Scholar 

  • Brown MS, Goldstein JL (1997) The SREBP pathway: regulation of cholesterol metabolism by proteolysis of a membrane-bound transcription factor. Cell 89:331–340

    PubMed  Article  CAS  Google Scholar 

  • Brown MS, Goldstein JL (1999) A proteolytic pathway that controls the cholesterol content of membranes, cells, and blood. Proc Natl Acad Sci USA 96:11041–11048

    PubMed  Article  CAS  Google Scholar 

  • Chai Q, Krag S, Chai S, Ledet T, Wogensen L (2003) Localisation and phenotypical characterisation of collagen-producing cells in TGF-beta 1-induced renal interstitial fibrosis. Histochem Cell Biol 119:267–280

    PubMed  CAS  Google Scholar 

  • Chen MK, Strande LF, Beierle EA, Kain MS, Geldziler BD, Doolin EJ (1999) Fas-mediated induction of hepatocyte apoptosis in a neuroblastoma and hepatocyte coculture model. J Surg Res 84:82–87

    PubMed  Article  CAS  Google Scholar 

  • Dif N, Euthine V, Gonnet E, Laville M, Vidal H, Lefai E (2006) Insulin activates human sterol-regulatory-element-binding protein-1c (SREBP-1c) promoter through SRE motifs. Biochem J 400:179–188

    PubMed  Article  CAS  Google Scholar 

  • Ericsson J, Jackson SM, Kim JB, Spiegelman BM, Edwards PA (1997) Identification of glycerol-3-phosphate acyltransferase as an adipocyte determination and differentiation factor 1- and sterol regulatory element-binding protein-responsive gene. J Biol Chem 272:7298–7305

    PubMed  Article  CAS  Google Scholar 

  • Folch J, Lees M, Sloane Stanley GH (1957) A simple method for the isolation and purification of total lipides from animal tissues. J Biol Chem 226:497–509

    PubMed  CAS  Google Scholar 

  • Foretz M, Pacot C, Dugail I, Lemarchand P, Guichard C, Le Lièpvre X, Berthelier-Lubrano C, Spiegelman B, Kim JB, Ferré P, Foufelle F (1999) ADD1/SREBP-1c is required in the activation of hepatic lipogenic gene expression by glucose. Mol Cell Biol 19:3760–3768

    PubMed  CAS  Google Scholar 

  • Guan G, Dai PH, Osborne TF, Kim JB, Shechter I (1997) Multiple sequence elements are involved in the transcriptional regulation of the human squalene synthase gene. J Biol Chem 272:10295–10302

    PubMed  Article  CAS  Google Scholar 

  • Guijarro C, Kasiske BL, Kim Y, O’Donnell MP, Lee HS, Keane WF (1995) Early glomerular changes in rats with dietary-induced hypercholesterolemia. Am J Kidney Dis 26:152–161

    PubMed  Article  CAS  Google Scholar 

  • Ishigaki N, Yamamoto T, Shimizu Y, Kobayashi K, Yatoh S, Sone H, Takahashi A, Suzuki H, Yamagata K, Yamada N, Shimano H (2007) Involvement of glomerular SREBP-1c in diabetic nephropathy. Biochem Biophys Res Commun 364:502–508

    PubMed  Article  CAS  Google Scholar 

  • Jiang T, Liebman SE, Lucia MS, Li J, Levi M (2005) Role of altered renal lipid metabolism and the sterol regulatory element binding proteins in the pathogenesis of age-related renal disease. Kidney Int 68:2608–2620

    PubMed  Article  CAS  Google Scholar 

  • Kim JB, Spotts GD, Halvorsen YD, Shih HM, Ellenberger T, Towle HC, Spiegelman BM (1995) Dual DNA binding specificity of ADD1/SREBP1 controlled by a single amino acid in the basic helix-loop-helix domain. Mol Cell Biol 15:2582–2588

    PubMed  CAS  Google Scholar 

  • Lee HS, Lee JS, Koh HI, Ko KW (1991) Intraglomerular lipid deposition in routine biopsies. Clin Nephrol 36:67–75

    PubMed  CAS  Google Scholar 

  • Li J, Thorne LN, Punjabi NM, Sun CK, Schwartz AR, Smith PL, Marino RL, Rodriguez A, Hubbard WC, O’Donnell CP, Polotsky VY (2005) Intermittent hypoxia induces hyperlipidemia in lean mice. Circ Res 97:698–706

    PubMed  Article  CAS  Google Scholar 

  • Magana MM, Osborne TF (1996) Two tandem binding sites for sterol regulatory element binding proteins are required for sterol regulation of fatty-acid synthase promoter. J Biol Chem 271:32689–32694

    PubMed  Article  CAS  Google Scholar 

  • Mater MK, Thelen AP, Pan DA, Jump DB (1999) Sterol response element-binding protein 1c (SREBP1c) is involved in the polyunsaturated fatty acid suppression of hepatic S14 gene transcription. J Biol Chem 274:32725–32732

    PubMed  Article  CAS  Google Scholar 

  • Nadeau KJ, Ehlers LB, Aguirre LE, Reusch JE, Draznin B (2007) Discordance between intramuscular triglyceride and insulin sensitivity in skeletal muscle of Zucker diabetic rats after treatment with fenofibrate and rosiglitazone. Diabetes Obes Metab 9:714–723

    PubMed  Article  CAS  Google Scholar 

  • Novina CD, Murray MF, Dykxhoorn DM, Beresford PJ, Riess J, Lee SK, Collman RG, Lieberman J, Shankar P, Sharp PA (2002) siRNA-directed inhibition of HIV-1 infection. Nat Med 8:681–686

    PubMed  CAS  Google Scholar 

  • Pawar A, Botolin D, Mangelsdorf DJ, Jump DB (2003) The role of liver X receptor-alpha in the fatty acid regulation of hepatic gene expression. J Biol Chem 278:40736–40743

    PubMed  Article  CAS  Google Scholar 

  • Prasad P, Tiwari AK, Kumar KM, Ammini AC, Gupta A, Gupta R, Thelma BK (2007) Association of TGFbeta1, TNFalpha, CCR2 and CCR5 gene polymorphisms in type-2 diabetes and renal insufficiency among Asian Indians. BMC Med Genet 8:1–6

    Article  CAS  Google Scholar 

  • Proctor G, Jiang T, Iwahashi M, Wang Z, Li J, Levi M (2006) Regulation of renal fatty acid and cholesterol metabolism, inflammation, and fibrosis in Akita and OVE26 mice with type 1 diabetes. Diabetes 55:2502–2509

    PubMed  Article  CAS  Google Scholar 

  • Ruan XZ, Moorhead JF, Fernando R, Wheeler DC, Powis SH, Varghese Z (2004) Regulation of lipoprotein trafficking in the kidney: role of inflammatory mediators and transcription factors. Biochem Soc Trans 32:88–91

    PubMed  Article  CAS  Google Scholar 

  • Saito K, Ishizaka N, Hara M, Matsuzaki G, Sata M, Mori I, Ohno M, Nagai R (2005) Lipid accumulation and transforming growth factor-beta upregulation in the kidneys of rats administered angiotensin II. Hypertension 46:1180–1185

    PubMed  Article  CAS  Google Scholar 

  • Sakai J, Duncan EA, Rawson RB, Hua X, Brown MS, Goldstein JL (1996) Sterol-regulated release of SREBP-2 from cell membranes requires two sequential cleavages, one within a transmembrane segment. Cell 85:1037–1046

    PubMed  Article  CAS  Google Scholar 

  • Sampath H, Ntambi JM (2005) Polyunsaturated fatty acid regulation of genes of lipid metabolism. Annu Rev Nutr 25:317–340

    PubMed  Article  CAS  Google Scholar 

  • Sato R, Inoue J, Kawabe Y, Kodama T, Takano T, Maeda M (1996) Sterol-dependent transcriptional regulation of sterol regulatory element-binding protein-2. J Biol Chem 271:26461–26464

    PubMed  Article  CAS  Google Scholar 

  • Sato R, Okamoto A, Inoue J, Miyamoto W, Sakai Y, Emoto N, Shimano H, Maeda M (2000) Transcriptional regulation of the ATP citrate-lyase gene by sterol regulatory element-binding proteins. J Biol Chem 275:12497–12502

    PubMed  Article  CAS  Google Scholar 

  • Shimano H, Horton JD, Shimomura I, Hammer RE, Brown MS, Goldstein JL (1997) Isoform 1c of sterol regulatory element binding protein is less active than isoform 1a in livers of transgenic mice and in cultured cells. J Clin Invest 99:846–854

    PubMed  Article  CAS  Google Scholar 

  • Shimomura I, Shimano H, Horton JD, Goldstein JL, Brown MS (1997) Differential expression of exons 1a and 1c in mRNAs for sterol regulatory element binding protein-1 in human and mouse organs and cultured cells. J Clin Invest 99:838–845

    PubMed  Article  CAS  Google Scholar 

  • Soutschek J, Akinc A, Bramlage B, Charisse K, Constien R, Donoghue M, Elbashir S, Geick A, Hadwiger P, Harborth J, John M, Kesavan V, Lavine G, Pandey RK, Racie T, Rajeev KG, Röhl I, Toudjarska I, Wang G, Wuschko S, Bumcrot D, Koteliansky V, Limmer S, Manoharan M, Vornlocher HP (2004) Therapeutic silencing of an endogenous gene by systemic administration of modified siRNAs. Nature 432:173–178

    PubMed  Article  CAS  Google Scholar 

  • Sowers KM, Habibi J, Hayden MR (2007) Diabetic nephropathy and tubulointerstitial fibrosis in cardiometabolic syndrome and type 2 diabetes mellitus. J Cardiometab Syndr 2:143–148

    PubMed  Article  Google Scholar 

  • Sui G, Soohoo C, Affar el B, Gay F, Shi Y, Forrester WC, Shi Y (2002) A DNA vector-based RNAi technology to suppress gene expression in mammalian cells. Proc Natl Acad Sci USA 99:5515–5520

    PubMed  Article  CAS  Google Scholar 

  • Sun L, Halaihel N, Zhang W, Rogers T, Levi M (2002) Role of sterol regulatory element-binding protein 1 in regulation of renal lipid metabolism and glomerulosclerosis in diabetes mellitus. J Biol Chem 277:18919–18927

    PubMed  Article  CAS  Google Scholar 

  • Suzuki D, Toyoda M, Yamamoto N, Miyauchi M, Katoh M, Kimura M, Maruyama M, Honma M, Umezono T, Yagame M (2006) Relationship between the expression of advanced glycation end-products (AGE) and the receptor for AGE (RAGE) mRNA in diabetic nephropathy. Intern Med 45:435–441

    PubMed  Article  Google Scholar 

  • Szolkiewicz M, Chmielewski M, Nogalska A, Stelmanska E, Swierczynski J, Rutkowski B (2007) The potential role of sterol regulatory element binding protein transcription factors in renal injury. J Ren Nutr 17:62–65

    PubMed  Article  Google Scholar 

  • Tabor DE, Kim JB, Spiegelman BM, Edwards PA (1998) Transcriptional activation of the stearoyl-CoA desaturase 2 gene by sterol regulatory element-binding protein/adipocyte determination and differentiation factor 1. J Biol Chem 273:22052–22058

    PubMed  Article  CAS  Google Scholar 

  • Wang H, Kouri G, Wollheim CB (2005) ER stress and SREBP-1 activation are implicated in beta-cell glucolipotoxicity. J Cell Sci 118:3905–3915

    PubMed  Article  CAS  Google Scholar 

Download references

Acknowledgments

The authors declare that there is no conflict of interest that would prejudice the impartiality of this scientific work. This research was supported by a grant from Department of Science and Technology of Hebei Province of China (No.07276170).

Author information

Affiliations

Authors

Corresponding author

Correspondence to Duan Huijun.

Rights and permissions

Reprints and Permissions

About this article

Cite this article

Jun, H., Song, Z., Chen, W. et al. In vivo and in vitro effects of SREBP-1 on diabetic renal tubular lipid accumulation and RNAi-mediated gene silencing study. Histochem Cell Biol 131, 327 (2009). https://doi.org/10.1007/s00418-008-0528-2

Download citation

  • Accepted:

  • Published:

  • DOI: https://doi.org/10.1007/s00418-008-0528-2

Keywords

  • SREBP-1 (sterol regulatory element binding protein-1)
  • FAS (fatty acid synthase)
  • TGF-β1 (transforming growth factor-β1)
  • Triglyceride
  • ECM accumulation
  • Diabetic mellitus
  • HKC cells (human renal proximal tubular epithelial cells line)
  • RNA interference