Skip to main content

Evaluation of retinal neurovascular structures by optical coherence tomography and optical coherence tomography angiography in children and adolescents with type 1 diabetes mellitus without clinical sign of diabetic retinopathy

Abstract

Background

The aim of the study was to investigate whether retinal neurovascular structural impairment in children and adolescents with type 1 diabetes mellitus (T1D) without clinical signs of diabetic retinopathy (DR) could be detected early via optical coherence tomography (OCT) and OCT angiography (OCTA).

Methods

In the current prospective, cross-sectional, observational clinical study children and adolescents with T1D without DR were evaluated between December 2018 and May 2019. Retinal neurovascular structures in the macular and optic disc regions were examined in detail and quantitatively assessed using OCT and OCTA. Data from subjects with T1D were compared with data from healthy controls. Whether retinal neurovascular structural changes were significantly associated with puberty stage, diabetes duration, and HbA1c level was also investigated.

Results

The T1D group included 110 eyes and the control group included 84 eyes. In the T1D group the mean inside disc vessel density (VD) was significantly lower than that of the control group (p < 0.001), as was the mean superior temporal disc VD (p < 0.043). Puberty stage was significantly associated with retinal thickness, parafoveal superficial capillary plexus VD, and peripapillary retinal nerve fiber layer thickness (p < 0.05). Diabetes duration and HbA1c level was significantly correlated with retinal layer thickness, foveal avascular zone diameter, and superficial and deep capillary plexus VDs.

Conclusion

In children and adolescents with T1D without clinical signs of DR, the VD of the disc region is affected earlier than the macular region. In these patients, early neurovascular impairment can be detected non-invasively via OCT and OCTA.

This is a preview of subscription content, access via your institution.

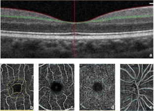
Fig. 1

References

  1. Rewers M (2012) Challenges in diagnosing type 1 diabetes in different populations. Diabetes Metab J 36:90–97. https://doi.org/10.4093/dmj.2012.36.2.90

    Article  PubMed  PubMed Central  Google Scholar 

  2. Shin YI, Nam KY, Lee SE, Lee MW, Lim HB, Jo YJ, Kim JY (2019) Peripapillary microvasculature in patients with diabetes mellitus: an optical coherence tomography angiography study. Sci Rep 9:15814. https://doi.org/10.1038/s41598-019-52354-8

    Article  PubMed  PubMed Central  CAS  Google Scholar 

  3. Ng SM, Ayoola OO, McGuigan MP, Chandrasekaran S (2019) A multicentre study evaluating the risk and prevalence of diabetic retinopathy in children and young people with type 1 diabetes mellitus. Diabetes Metab Syndr 13:744–746. https://doi.org/10.1016/j.dsx.2018.11.063

    Article  PubMed  CAS  Google Scholar 

  4. Forlenza GP, Stewart MW (2013) Diabetic retinopathy in children. Pediatr Endocrinol Rev 10:217–226

    Google Scholar 

  5. Spaide RF (2019) Measurable aspects of the retinal neurovascular unit in diabetes, glaucoma, and controls. Am J Ophthalmol 207:395–409. https://doi.org/10.1016/j.ajo.2019.04.035

    Article  PubMed  Google Scholar 

  6. Barber AJ (2015) Diabetic retinopathy: recent advances towards understanding neurodegeneration and vision loss. Sci China Life Sci 58:541–549. https://doi.org/10.1007/s11427-015-4856-x

    Article  PubMed  CAS  Google Scholar 

  7. Vujosevic S, Muraca A, Gatti V, Masoero L, Brambilla M, Cannillo B, Villani E, Nucci P, De Cillà S (2018) Peripapillary microvascular and neural changes in diabetes mellitus: an OCT-angiography study. Invest Ophthalmol Vis Sci 59:5074–5081. https://doi.org/10.1167/iovs.18-24891

    Article  PubMed  Google Scholar 

  8. Tavares Ferreira J, Alves M, Dias-Santos A, Costa L, Santos BO, Cunha JP, Papoila AL, Abegão Pinto L (2016) Retinal neurodegeneration in diabetic patients without diabetic retinopathy. Invest Ophthalmol Vis Sci 57:6455–6460. https://doi.org/10.1167/iovs.16-20215

    Article  PubMed  Google Scholar 

  9. Sacconi R, Casaluci M, Borrelli E, Mulinacci G, Lamanna F, Gelormini F, Carnevali A, Querques L, Zerbini G, Bandello F, Querques G (2019) Multimodal imaging assessment of vascular and neurodegenerative retinal alterations in type 1 diabetic patients without fundoscopic signs of diabetic retinopathy. J Clin Med 8:8. https://doi.org/10.3390/jcm8091409

    Article  Google Scholar 

  10. Grasbeck TC, Gra¨sbeck SV, Miettinen PJ, Summanen PA (2016) Fundus photography as a screening method for diabetic retinopathy in children with type 1 diabetes: outcome of the initial photography. Am J Ophthalmol 169:227–234. https://doi.org/10.1016/j.ajo.2016.06.037

  11. Li T, Jia Y, Wang S, Wang A, Gao L, Yang C, Zou H (2019) Retinal microvascular abnormalities in children with type 1 diabetes mellitus without visual impairment or diabetic retinopathy. Invest Ophthalmol Vis Sci 60:990–998. https://doi.org/10.1167/iovs.18-25499

    Article  PubMed  Google Scholar 

  12. Ruiz-Ocaña P, Espinoza Requena P, Alonso-Ojembarrena A, Alemany Márquez P, Jiménez Carmona S, Lechuga-Sancho AM (2018) Decreased retinal thickness in type 1 diabetic children with signs of nonproliferative diabetic retinopathy. Int J Endocrinol 26(2018):1078531. https://doi.org/10.1155/2018/1078531

    Article  Google Scholar 

  13. Tanner JM, Whitehouse RH (1976) Clinical longitudinal standards for height, weight, height velocity, weight velocity, and stages of puberty. Arch Dis Child 51:170–179. https://doi.org/10.1136/adc.51.3.170

    Article  PubMed  PubMed Central  CAS  Google Scholar 

  14. Garrity ST, Iafe NA, Phasukkijwatana N, Chen X, Sarraf D (2017) Quantitative analysis of three distinct retinal capillary plexuses in healthy eyes using optical coherence tomography angiography. Invest Ophthalmol Vis Sci 58:5548–5555. https://doi.org/10.1167/iovs.17-2203

    Article  PubMed  CAS  Google Scholar 

  15. Ciulla TA, Harris A, Latkany P, Piper HC, Arend O, Garzozi H, Martin B (2002) Ocular perfusion abnormalities in diabetes. Acta Ophthalmol Scand 80:468–477. https://doi.org/10.1034/j.1600-0420.2002.800503.x

    Article  PubMed  Google Scholar 

  16. Shahidi AM, Sampson GP, Pritchard N, Edwards K, Vagenas D, Russell AW, Malik RA, Efron N (2012) Retinal nerve fibre layer thinning associated with diabetic peripheral neuropathy. Diabet Med 29:e106–e111. https://doi.org/10.1111/j.1464-5491.2012.03588.x

    Article  PubMed  CAS  Google Scholar 

  17. El-Fayoumi D, Badr Eldine NM, Esmael AF, Ghalwash D, Soliman HM (2016) Retinal nerve Fiber layer and ganglion cell complex thicknesses are reduced in children with type 1 diabetes with no evidence of vascular retinopathy. Invest Ophthalmol Vis Sci 57:5355–5360. https://doi.org/10.1167/iovs.16-19988

    Article  PubMed  CAS  Google Scholar 

  18. Tekin K, Inanc M, Kurnaz E, Bayramoglu E, Aydemir E, Koc M, Kiziltoprak H, Aycan Z (2018) Quantitative evaluation of early retinal changes in children with type 1 diabetes mellitus without retinopathy. Clin Exp Optom 101:680–685. https://doi.org/10.1111/cxo.12667

    Article  PubMed  Google Scholar 

  19. Carnevali A, Sacconi R, Corbelli E, Tomasso L, Querques L, Zerbini G, Scorcia V, Bandello F, Querques G (2017) Optical coherence tomography angiography analysis of retinal vascular plexuses and choriocapillaris in patients with type 1 diabetes without diabetic retinopathy. Acta Diabetol 54:695–702. https://doi.org/10.1007/s00592-017-0996-8

    Article  PubMed  CAS  Google Scholar 

  20. Karti O, Nalbantoglu O, Abali S, Ayhan Z, Tunc S, Kusbeci T, Ozkan B (2017) Retinal ganglion cell loss in children with type 1 diabetes mellitus without diabetic retinopathy. Ophthalmic Surg Lasers Imaging Retina 48:473–477. https://doi.org/10.3928/23258160-20170601-05

  21. Gołębiewska J, Olechowski A, Wysocka-Mincewicz M, Odrobina D, Baszyńska-Wilk M, Groszek A, Szalecki M, Hautz W (2017) Optical coherence tomography angiography vessel density in children with type 1 diabetes. PLoS One 12:e0186479. https://doi.org/10.1371/journal.pone.0186479

    Article  PubMed  PubMed Central  CAS  Google Scholar 

  22. Niestrata-Ortiz M, Fichna P, Stankiewicz W, Stopa M (2019) Enlargement of the foveal avascular zone detected by optical coherence tomography angiography in diabetic children without diabetic retinopathy. Graefes Arch Clin Exp Ophthalmol 257:689–697. https://doi.org/10.1007/s00417-019-04264-8

    Article  PubMed  CAS  Google Scholar 

  23. Inanc M, Tekin K, Kiziltoprak H, Ozalkak S, Doguizi S, Aycan Z (2019) Changes in retinal microcirculation precede the clinical onset of diabetic retinopathy in children with type 1 diabetes mellitus. Am J Ophthalmol 207:37–44. https://doi.org/10.1016/j.ajo.2019.04.011

    Article  PubMed  Google Scholar 

  24. Simonett JM, Scarinci F, Picconi F, Giorno P, De Geronimo D, Di Renzo A, Varano M, Frontoni S, Parravano M (2017) Early microvascular retinal changes in optical coherence tomography angiography in patients with type 1 diabetes mellitus. Acta Ophthalmol 95:e751–e755. https://doi.org/10.1111/aos.13404

    Article  PubMed  Google Scholar 

  25. Cho YH, Craig ME, Donaghue KC (2014) Puberty as an accelerator for diabetes complications. Pediatr Diabetes 15:18–26. https://doi.org/10.1111/pedi.12112

    Article  PubMed  CAS  Google Scholar 

Download references

Author information

Affiliations

Authors

Corresponding author

Correspondence to Semra Tiryaki Demir.

Ethics declarations

Conflict of interest

The authors declare that they have no conflict of interest.

Ethical approval

All procedures performed in studies involving human participants were in accordance with the ethical standards of the institutional and/or national research committee and with the 1964 Helsinki declaration and its later amendments or comparable ethical standards.

Informed consent

Informed consent was obtained from parents of all participants included in the study.

Additional information

Publisher’s note

Springer Nature remains neutral with regard to jurisdictional claims in published maps and institutional affiliations.

Rights and permissions

Reprints and Permissions

About this article

Verify currency and authenticity via CrossMark

Cite this article

Demir, S.T., Ucar, A., Elitok, G.K. et al. Evaluation of retinal neurovascular structures by optical coherence tomography and optical coherence tomography angiography in children and adolescents with type 1 diabetes mellitus without clinical sign of diabetic retinopathy. Graefes Arch Clin Exp Ophthalmol 258, 2363–2372 (2020). https://doi.org/10.1007/s00417-020-04842-1

Download citation

  • Received:

  • Revised:

  • Accepted:

  • Published:

  • Issue Date:

  • DOI: https://doi.org/10.1007/s00417-020-04842-1

Keywords

  • Deep capillary plexus
  • Foveal avascular zone
  • Peripapillary retinal nerve fiber layer
  • Radial peripapillary capillary plexus
  • Superficial capillary plexus