Skip to main content

Effects of mesenchymal stem cells and their exosomes on the healing of large and refractory macular holes

Abstract

Purpose

To assess the efficacy of mesenchymal stem cells (MSCs) and MSC-derived exosomes (MSC-Exos) to promote the healing of large and refractory macular holes (MHs).

Methods

Seven patients (age 51–75 years old) with large and long-standing idiopathic MHs underwent vitrectomy, internal limiting membrane peeling, MSC (two patients) or MSC-Exo (five patients) intravitreal injection, and heavy silicon oil, air, 20% SF6, or 14% C3F8 tamponade. The MSCs were isolated from human umbilical cord tissue, and MSC-Exos were isolated from the supernatants of cultured MSCs using sequential ultracentrifugation.

Results

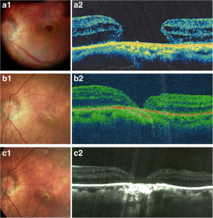
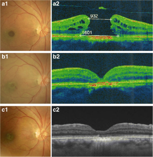
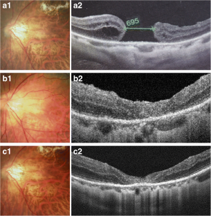
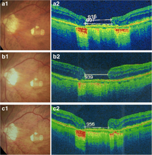
Five eyes underwent pars plana vitrectomy (PPV) only, while two underwent PPV combined with cataract surgery. Six MHs were closed, while one remained in a flat-open state. The best-corrected visual acuity (BCVA) was improved in five patients with MH closure and remained unchanged in one patient with MH closure who had a 4-year history of MH. A fibrotic membrane was observed on the surface of the retina in one patient who underwent MSC therapy. One patient who received a higher dose of MSC-Exos exhibited an inflammatory reaction.

Conclusions

MSC and MSC-Exo therapy may promote functional and anatomic recovery from MH. MSC-Exo therapy may be a useful and safe method for improving the visual outcomes after surgery for refractory MHs.

This is a preview of subscription content, access via your institution.

Fig. 1
Fig. 2
Fig. 3
Fig. 4
Fig. 5
Fig. 6
Fig. 7
Fig. 8

References

  1. Rahmani B, Tielsch JM, Katz J et al (1996) The cause-specific prevalence of visual impairment in an urban population. The Baltimore Eye Survey. Ophthalmology 103:1721–1726

    CAS  Article  Google Scholar 

  2. Kelly NE, Wendel RT (1991) Vitreous surgery for idiopathic macular holes. Results of a pilot study. Arch Ophthalmol 109:654–659

    CAS  Article  Google Scholar 

  3. Michalewska Z, Michalewski J, Cisiecki S et al (2008) Correlation between foveal structure and visual outcome following macular hole surgery: a spectral optical coherence tomography study. Graefes Arch Clin Exp Ophthalmol 246:823–830

    Article  Google Scholar 

  4. Ezra E, Gregor ZJ (2004) Surgery for idiopathic full-thickness macular hole: two-year results of a randomized clinical trial comparing natural history, vitrectomy, and vitrectomy plus autologous serum: Morfields Macular Hole Study Group RAeport no. 1. Arch Ophthalmol 122:224–236

    Article  Google Scholar 

  5. Suda K, Hangai M, Yoshimura N (2011) Axial length and outcomes of macular hole surgery assessed by spectral-domain optical coherence tomography. Am J Ophthalmol 151:118–127.e111

    Article  Google Scholar 

  6. Del Priore LV, Kaplan HJ, Bonham RD (1994) Laser photocoagulation and fluid-gas exchange for recurrent macular hole. Retina 14:381–382

    Article  Google Scholar 

  7. Johnson RN, McDonald HR, Schatz H et al (1997) Outpatient postoperative fluid-gas exchange after early failed vitrectomy surgery for macular hole. Ophthalmology 104:2009–2013

    CAS  Article  Google Scholar 

  8. Ohana E, Blumenkranz MS (1998) Treatment of reopened macular hole after vitrectomy by laser and outpatient fluid-gas exchange. Ophthalmology 105:1398–1403

    CAS  Article  Google Scholar 

  9. Liggett PE, Skolik DS, Horio B et al (1995) Human autologous serum for the treatment of full-thickness macular holes. A preliminary study. Ophthalmology 102:1071–1076

    CAS  Article  Google Scholar 

  10. Wells JA, Gregor ZJ (1996) Surgical treatment of full-thickness macular holes using autologous serum. Eye (Lond) 10(Pt 5):593–599

    Article  Google Scholar 

  11. Kim JY, Kwon OW (2015) Vitrectomy for refractory macular hole. Retin Cases Brief Rep 9:265–268

    Article  Google Scholar 

  12. Kozy DW, Maberley AL (1996) Closure of persistent macular holes with human recombinant transforming growth factor-beta 2. Can J Ophthalmol 31:179–182

    CAS  PubMed  Google Scholar 

  13. Rizzo S, Belting C, Genovesi-Ebert F et al (2006) Successful treatment of persistent macular holes using “heavy silicone oil” as intraocular tamponade. Retina 26:905–908

    Article  Google Scholar 

  14. Cillino S, Cillino G, Ferraro LL et al (2016) Treatment of persistently open macular holes with heavy silicone oil (Densiron 68) versus C2f6. A prospective randomized study. Retina 36:688–694

    CAS  Article  Google Scholar 

  15. Michalewska Z, Michalewski J, Adelman RA et al (2010) Inverted internal limiting membrane flap technique for large macular holes. Ophthalmology 117:2018–2025

    Article  Google Scholar 

  16. Morizane Y, Shiraga F, Kimura S et al (2014) Autologous transplantation of the internal limiting membrane for refractory macular holes. Am J Ophthalmol 157:861–869 e861

    Article  Google Scholar 

  17. De Novelli FJ, Preti RC, Ribeiro Monteiro ML et al (2015) Autologous internal limiting membrane fragment transplantation for large, chronic, and refractory macular holes. Ophthalmic Res 55:45–52

    Article  Google Scholar 

  18. Jiang Y, Zhang Y, Zhang L et al (2014) Therapeutic effect of bone marrow mesenchymal stem cells on laser-induced retinal injury in mice. Int J Mol Sci 15:9372–9385

    CAS  Article  Google Scholar 

  19. Yu B, Shao H, Su C et al (2016) Exosomes derived from MSCs ameliorate retinal laser injury partially by inhibition of MCP-1. Sci Rep 6:34562

    CAS  Article  Google Scholar 

  20. Zhang L, Zheng H, Shao H et al (2014) Long-term therapeutic effects of mesenchymal stem cells compared to dexamethasone on recurrent experimental autoimmune uveitis of rats. Invest Ophthalmol Vis Sci 55:5561–5571

    CAS  Article  Google Scholar 

  21. Chen X, Shao H, Zhi Y et al (2016) CD73 pathway contributes to the immunosuppressive ability of mesenchymal stem cells in intraocular autoimmune responses. Stem Cells Dev 25:337–346

    Article  Google Scholar 

  22. Li G, Yuan L, Ren X et al (2013) The effect of mesenchymal stem cells on dynamic changes of T cell subsets in experimental autoimmune uveoretinitis. Clin Exp Immunol 173:28–37

    CAS  Article  Google Scholar 

  23. Zhang X, Ren X, Li G et al (2011) Mesenchymal stem cells ameliorate experimental autoimmune uveoretinitis by comprehensive modulation of systemic autoimmunity. Invest Ophthalmol Vis Sci 52:3143–3152

    CAS  Article  Google Scholar 

  24. Machalinska A, Kawa M, Pius-Sadowska E et al (2013) Long-term neuroprotective effects of NT-4-engineered mesenchymal stem cells injected intravitreally in a mouse model of acute retinal injury. Invest Ophthalmol Vis Sci 54:8292–8305

    CAS  Article  Google Scholar 

  25. Rotenstreich Y, Tzameret A, Kalish SE et al (2015) A novel system for minimally invasive transplantation of bone marrow derived stem cells as a thin layer in the subretina and extravascular spaces of the choroid--for treatment of retinal degeneration. Harefuah 154:84–88 138

    PubMed  Google Scholar 

  26. Yu B, Zhang X, Li X (2014) Exosomes derived from mesenchymal stem cells. Int J Mol Sci 15:4142–4157

    CAS  Article  Google Scholar 

  27. Doeppner TR, Herz J, Gorgens A et al (2015) Extracellular vesicles improve post-stroke neuroregeneration and prevent postischemic immunosuppression. Stem Cells Transl Med 4:1131–1143

    CAS  Article  Google Scholar 

  28. Xin H, Li Y, Liu Z et al (2013) MiR-133b promotes neural plasticity and functional recovery after treatment of stroke with multipotent mesenchymal stromal cells in rats via transfer of exosome-enriched extracellular particles. Stem Cells 31:2737–2746

    CAS  Article  Google Scholar 

  29. Katakowski M, Buller B, Zheng X et al (2013) Exosomes from marrow stromal cells expressing miR-146b inhibit glioma growth. Cancer Lett 335:201–204

    CAS  Article  Google Scholar 

  30. Xin H, Li Y, Buller B et al (2012) Exosome-mediated transfer of miR-133b from multipotent mesenchymal stromal cells to neural cells contributes to neurite outgrowth. Stem Cells 30:1556–1564

    CAS  Article  Google Scholar 

  31. Maltman DJ, Hardy SA, Przyborski SA (2011) Role of mesenchymal stem cells in neurogenesis and nervous system repair. Neurochem Int 59:347–356

    CAS  PubMed  Google Scholar 

  32. Joyce N, Annett G, Wirthlin L et al (2010) Mesenchymal stem cells for the treatment of neurodegenerative disease. Regen Med 5:933–946

    Article  Google Scholar 

  33. Kuriyan AE, Albini TA, Townsend JH et al (2017) Vision loss after intravitreal injection of autologous “stem cells” for AMD. N Engl J Med 376:1047–1053

    Article  Google Scholar 

  34. Singh MS, Balmer J, Barnard AR et al (2016) Transplanted photoreceptor precursors transfer proteins to host photoreceptors by a mechanism of cytoplasmic fusion. Nat Commun 7:13537

    CAS  Article  Google Scholar 

  35. .Pearson RA, Gonzalez-Cordero A, West EL et al (2016) Donor and host photoreceptors engage in material transfer following transplantation of post-mitotic photoreceptor precursors. Nat Commun 7:13029

    CAS  Article  Google Scholar 

  36. Yeo RW, Lai RC, Zhang B et al (2013) Mesenchymal stem cell: an efficient mass producer of exosomes for drug delivery. Adv Drug Deliv Rev 65:336–341

    CAS  Article  Google Scholar 

  37. Bai L, Shao H, Wang H et al (2017) Effects of mesenchymal stem cell-derived exosomes on experimental autoimmune uveitis. Sci Rep 7:4323

    Article  Google Scholar 

  38. Xin H, Li Y, Chopp M (2014) Exosomes/miRNAs as mediating cell-based therapy of stroke. Front Cell Neurosci 8:377

    Article  Google Scholar 

  39. Hillenkamp J, Kraus J, Framme C et al (2007) Retreatment of full-thickness macular hole: predictive value of optical coherence tomography. Br J Ophthalmol 91:1445–1449

    Article  Google Scholar 

Download references

Funding

This research was supported by grants from the National Natural Science Foundation of China (81371005) and the Tianjin Municipal Science and Technology Commission (15JCZDJC35600).

Author information

Affiliations

Authors

Corresponding author

Correspondence to Xiaorong Li.

Ethics declarations

Conflict of interest

The authors declare that they have no conflict of interest.

Informed consent

Informed consent was obtained from all individual participants included in the study.

Research involving human participants

All procedures performed in studies involving human participants were in accordance with the ethical standards of the institutional and/or national research committee and with the 1964 Helsinki declaration and its later amendments or comparable ethical standards.

Rights and permissions

Reprints and Permissions

About this article

Verify currency and authenticity via CrossMark

Cite this article

Zhang, X., Liu, J., Yu, B. et al. Effects of mesenchymal stem cells and their exosomes on the healing of large and refractory macular holes. Graefes Arch Clin Exp Ophthalmol 256, 2041–2052 (2018). https://doi.org/10.1007/s00417-018-4097-3

Download citation

  • Received:

  • Revised:

  • Accepted:

  • Published:

  • Issue Date:

  • DOI: https://doi.org/10.1007/s00417-018-4097-3

Keywords

  • Exosomes
  • Macular hole
  • Mesenchymal stem cells
  • Pars plana vitrectomy