Skip to main content

Evolution from macular pseudohole to lamellar macular hole — spectral domain OCT study

Abstract

Background

The pathogenesis of macular pseudohole (MPH) is supposed to be different from that of macular lamellar hole (LMH). MPH is thought to be caused by centripetal contraction of previously present epiretinal membrane. LMH is considered to be an effect of abortive process of full-thickness macular hole formation, or a result of de-roofing of a foveal cyst in persistent cystoid macular oedema. In most cases of LMH, epiretinal membranes are present. The aim of this paper is to show that LMH and MPH may have a common origin and that LMH may evolve from MPH as an epiretinal membrane contracts.

Methods

Observational two-case series of patients with MPH and epiretinal membrane. Spectral domain optical coherence tomography (SD-OCT) was performed during follow-up.

Results

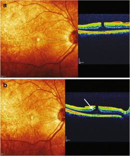
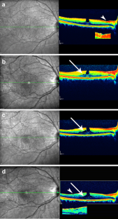
In 6 months of follow-up in case 1 and 2 months in case 2, MPH progressed to non-full-thickness macular defect, fulfilling the criterion of LMH in SD-OCT. Non-vitreous interface traction was detected.

Conclusion

SD-OCT proves that MPH may progress to LMH without any vitreous traction. Progressive contraction of epiretinal membranes may be a cause of both MPH and LMH, being an advanced stage of the same non-full-thickness macular disorder.

This is a preview of subscription content, access via your institution.

Fig. 1
Fig. 2
Fig. 3

References

  1. Gass JD (1975) Lamellar macular hole: a complication of cystoid macular edema after cataract extraction: a clinicopathologic case report. Trans Am Ophthalmol Soc 73:231–250

    CAS  PubMed  Google Scholar 

  2. Gass JDM (1997) Vitreofoveal separation and lamellar hole formation. In: Gass JDM (ed) Stereoscopic atlas of macular diseases: diagnosis and treatment. 4th ed. CV Mosby, St Louis, pp 926–927

    Google Scholar 

  3. Takahashi H, Kishi S (2000) Tomographic features of a lamellar macular hole formation and a lamellar hole that progressed to a full-thickness macular hole. Am J Ophthalmol 130:677–679

    CAS  Article  PubMed  Google Scholar 

  4. Haouchine B, Massin P, Tadayoni R, Erginay A, Gaudric A (2004) Diagnosis of macular pseudoholes and lamellar macular holes by optical coherence tomography. Am J Ophthalmol 138:732–739

    Article  PubMed  Google Scholar 

  5. Allen AW Jr, Gass JD (1976) Contraction of a perifoveal epiretinal membrane simulating a macular hole. Am J Ophthalmol 82:684–691

    PubMed  Google Scholar 

  6. Chen JC, Lee LR (2008) Clinical spectrum of lamellar macular defects including pseudoholes and pseudocysts defined by optical coherence tomography. Br J Ophthalmol 92:1342–1346

    CAS  Article  PubMed  Google Scholar 

  7. Haouchine B, Massin P, Gaudric A (2001) Foveal pseudocyst as the first step in macular hole formation: a prospective study by optical coherence tomography. Ophthalmology 108:15–22

    CAS  Article  PubMed  Google Scholar 

  8. Yeh PT, Chen TC, Yang CH, Ho TC, Chen MS, Huang JS, Yang CM (2010) Formation of idiopathic macular hole—reappraisal. Graefes Arch Clin Exp Ophthalmol 248:793–798

    Article  PubMed  Google Scholar 

  9. Witkin AJ, Ko TH, Fujimoto JG, Schuman JS, Baumal CR, Rogers AH, Reichel E, Duker JS (2006) Redefining lamellar holes and the vitreomacular interface: an ultrahigh-resolution optical coherence tomography study. Ophthalmology 113:388–397

    Article  PubMed  Google Scholar 

  10. Garretson BR, Pollack JS, Ruby AJ, Drenser KA, Williams GA, Sarrafizadeh R (2008) Vitrectomy for a symptomatic lamellar macular hole. Ophthalmology 115:884–886

    Article  PubMed  Google Scholar 

  11. Michalewska Z, Michalewski J, Nawrocki J (2009) Vergleich von SOCT und Laser-Scanning-Ophthalmoskopie bei der Differenzierung der durchgreifenden von den lamellären und Pseudo- Makulaforamina. Ophthalmologe 107:251–255

    Article  Google Scholar 

  12. Theodossiadis PG, Grigoropoulos VG, Emfietzoglou I, Nikolaidis P, Vergados I, Apostolopoulos M, Theodossiadis GP (2009) Evolution of lamellar macular hole studied by optical coherence tomography. Graefes Arch Clin Exp Ophthalmol 247:13–20

    CAS  Article  PubMed  Google Scholar 

  13. Michalewski J, Michalewska Z, Cisiecki S, Nawrocki J (2007) Morphologically functional correlations of macular pathology connected with epiretinal membrane formation in spectral optical coherence tomography (SOCT). Graefes Arch Clin Exp Ophthalmol 245:1623–1631

    Article  PubMed  Google Scholar 

  14. Wolf-Schnurrbusch UE, Ceklic L, Brinkmann CK, Iliev ME, Frey M, Rothenbuehler SP, Enzmann V, Wolf S (2009) Macular thickness measurements in healthy eyes using six different optical coherence tomography instruments. Investig Ophthalmol Vis Sci 50:3432–3437

    Article  Google Scholar 

Download references

Author information

Affiliations

Authors

Corresponding author

Correspondence to Janusz Michalewski.

Additional information

No proprietary interest of any author.

No funding was received to support this study.

Rights and permissions

Reprints and Permissions

About this article

Cite this article

Michalewski, J., Michalewska, Z., Dzięgielewski, K. et al. Evolution from macular pseudohole to lamellar macular hole — spectral domain OCT study. Graefes Arch Clin Exp Ophthalmol 249, 175–178 (2011). https://doi.org/10.1007/s00417-010-1463-1

Download citation

  • Received:

  • Revised:

  • Accepted:

  • Published:

  • Issue Date:

  • DOI: https://doi.org/10.1007/s00417-010-1463-1

Keywords

  • Lamellar macular hole
  • Macular pseudohole
  • Spectral optical coherence tomography
  • SD-OCT
  • Spectral OCT
  • Macular hole
  • Epiretinal membrane