Abstract
Background
Retinal neovascularization (NV) is a major cause of blindness associated with ischemic retinal disorders. Our study was focused on evaluating the inhibitory effect of aminoguanidine (AG), an inhibitor of inducible nitric oxide synthase (iNOS), on retinal NV in mice of oxygen-induced retinopathy (OIR).
Methods
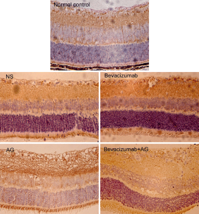
An OIR model was established with 7-day-old C57BL/6J mice. One day before and 1 and 3 days after being returned to the room air, the right eyes were injected intravitreally with bevacizumab, AG or bevacizumab+AG respectively. The left eyes were injected with normal saline (NS) as control. The mice were killed at postnatal day 17 (P17). The effects of AG or bevacizumab on iNOS or VEGF expressions were evaluated by RT-PCR and immunohistochemistry. Retinal NV was examined by fluorescein angiography, and was quantified histologically by CD34 immnunostaining at P17.
Results
Compared with NS-treated eyes, retinal VEGF and iNOS mRNA expressions were significantly reduced in AG- and bevacizumab+AG-treated eyes; whereas in bevacizumab-treated eyes, retinal VEGF mRNA expression increased and iNOS mRNA expression remained unchanged. The above changes were confirmed by immunohistochemical study. The generalized decrease in both VEGF and iNOS distributions in mice retina treated with AG or bevacizumab+AG was demonstrated by immunohistochemistry. Retinal NV was significantly reduced in all three groups treated with bevacizumab, AG or bevacizumab+AG, when compared with NS-treated eyes.
Conclusions
iNOS activation plays a pathological role in retinal NV in a mouse model of ischemic retinopathy. Administration of AG significantly suppressed retinal NV. Therefore, AG appears to be a novel and effective therapeutic approach for retinal NV.





References
Zhang SX, Ma JX (2007) Ocular neovascularization: Implication of endogenous angiogenic inhibitors and potential therapy. Prog Retin Eye Res 26:1–37, doi:10.1016/j.preteyeres.2006.09.002
Arjamaa O, Nikinmaa M (2006) Oxygen-dependent diseases in the retina: role of hypoxia-inducible factors. Exp Eye Res 83:473–483, doi:10.1016/j.exer.2006.01.016
Aiello LP, Northrup JM, Keyt BA, Takagi H, Iwamoto MA (1995) Hypoxic regulation of vascular endothelial growth factor in retinal cells. Arch Ophthalmol 113:1538–1544
Tolentino MJ, McLeod DS, Taomoto M, Otsuji T, Adamis AP, Lutty GA (2002) Pathologic features of vascular endothelial growth factor-induced retinopathy in the nonhuman primate. Am J Ophthalmol 133:373–385. doi:10.1016/S0002-9394(01)01381-2
Tolentino MJ, Miller JW, Gragoudas ES, Chatzistefanou K, Ferrara N, Adamis AP (1996) Vascular endothelial growth factor is sufficient to produce iris neovascularization and neovascular glaucoma in a nonhuman primate. Arch Ophthalmol 114:964–970
Adamis AP, Shima DT, Tolentino MJ, Gragoudas ES, Ferrara N, Folkman J, D’Amore PA, Miller JW (1996) Inhibition of vascular endothelial growth factor prevents retinal ischemia-associated iris neovascularization in a nonhuman primate. Arch Ophthalmol 114:66–71
Robinson GS, Pierce EA, Rook SL, Foley E, Webb R, Smith LE (1996) Oligodeoxynucleotides inhibit retinal neovascularization in a murine model of proliferative retinopathy. Proc Natl Acad Sci USA 93:4851–4856, doi:10.1073/pnas.93.10.4851
Bradley J, Ju M, Robinson GS (2007) Combination therapy for the treatment of ocular neovascularization. Angiogenesis 10:141–148, doi:10.1007/s10456-007-9069-x
Chiou GC (2001) Review: effects of nitric oxide on eye diseases and their treatment. J Ocul Pharmacol Ther 17:189–198, doi:10.1089/10807680151125555
He T, Xing YQ, Zhao XH, Ai M (2007) Interaction between iNOS and COX-2 in hypoxia-induced retinal neovascularization in mice. Arch Med Res 38:807–815, doi:10.1016/j.arcmed.2007.05.003
He T, Ai M, Zhao XH, Xing YQ (2007) Inducible nitric oxide synthase mediates hypoxia-induced hypoxia-inducible factor-1 alpha activation and vascular endothelial growth factor expression in oxygen-induced retinopathy. Pathobiology 74:336–343, doi:10.1159/000110027
Gallo O, Masini E, Morbidelli L, Franchi A, Fini-Storchi I, Vergari WA, Ziche M (1998) Role of nitric oxide in angiogenesis and tumor progression in head and neck cancer. J Natl Cancer Inst 90:587–596, doi:10.1093/jnci/90.8.587
Corbett JA, Tilton RG, Chang K, Hasan KS, Ido Y, Wang JL, Sweetland MA, Lancaster JR Jr, Williamson JR, McDaniel ML (1992) Aminoguanidine, a novel inhibitor of nitric oxide formation, prevents diabetic vascular dysfunction. Diabetes 41:552–556, doi:10.2337/diabetes.41.4.552
Bryk R, Wolff DJ (1998) Mechanism of inducible nitric oxide synthase inactivation by aminoguanidine and L-N6-(1-iminoethyl)lysine. Biochemistry 37:4844–4852, doi:10.1021/bi972065t
Smith LE, Wesolowski E, McLellan A, Kostyk SK, D’Amato R, Sullivan R, D’Amore PA (1994) Oxygen-induced retinopathy in the mouse. Invest Ophthalmol Vis Sci 35:101–111
Zhang D, Kaufman PL, Gao G, Saunders RA, Ma JX (2001) Intravitreal injection of plasminogen kringle 5, an endogenous angiogenic inhibitor, arrests retinal neovascularization in rats. Diabetologia 44:757–765, doi:10.1007/s001250051685
Benelli R, Morini M, Carrozzino F, Ferrari N, Minghelli S, Santi L, Cassatella M, Noonan DM, Albini A (2002) Neutrophils as a key cellular target for angiostatin: implications for regulation of angiogenesis and inflammation. FASEB J 16:267–269
Gao G, Li Y, Gee S, Dudley A, Fant J, Crosson C, Ma JX (2002) Down-regulation of vascular endothelial growth factor and up-regulation of pigment epithelium-derived factor: a possible mechanism for the anti-angiogenic activity of plasminogen kringle 5. J Biol Chem 277:9492–9497, doi:10.1074/jbc.M108004200
Ma JX, Zhang SX, Wang JJ (2005) Down-regulation of angiogenic inhibitors: a potential pathogenic mechanism for diabetic complications. Curr Diabetes Rev 1:183–196, doi:10.2174/1573399054022839
Gao G, Ma J (2002) Tipping the balance for angiogenic disorders. Drug Discov Today 7:171–172, doi:10.1016/S1359-6446(01)02160-2
Drack A (2006) Retinopathy of prematurity. Adv Pediatr 53:211–226, doi:10.1016/j.yapd.2006.04.010
Williams R, Airey M, Baxter H, Forrester J, Kennedy-Martin T, Girach A (2004) Epidemiology of diabetic retinopathy and macular oedema: a systematic review. Eye 18:963–983, doi:10.1038/sj.eye.6701476
Friedman DS, O’Colmain BJ, Munoz B, Tomany SC, McCarty C, de Jong PT, Nemesure B, Mitchell P, Kempen J (2004) Prevalence of age-related macular degeneration in the United States. Arch Ophthalmol 122:564–572, doi:10.1001/archopht.122.7.1019
Kocur I, Resnikoff S (2002) Visual impairment and blindness in Europe and their prevention. Br J Ophthalmol 86:716–722, doi:10.1136/bjo.86.7.716
Hernandez C, Simo R (2007) Strategies for blocking angiogenesis in diabetic retinopathy: from basic science to clinical practice. Expert Opin Investig Drugs 16:1209–1226, doi:10.1517/13543784.16.8.1209
Spaide RF, Fisher YL (2006) Intravitreal bevacizumab (Avastin) treatment of proliferative diabetic retinopathy complicated by vitreous hemorrhage. Retina 26:275–278, doi:10.1097/00006982-200603000-00004
Oshima Y, Sakaguchi H, Gomi F, Tano Y (2006) Regression of iris neovascularization after intravitreal injection of bevacizumab in patients with proliferative diabetic retinopathy. Am J Ophthalmol 142:155–158, doi:10.1016/j.ajo.2006.02.015
van Wijngaarden P, Qureshi SH (2008) Inhibitors of vascular endothelial growth factor (VEGF) in the management of neovascular age-related macular degeneration: a review of current practice. Clin Exp Optom 91:427–437, doi:10.1111/j.1444-0938.2008.00305.x
Dadgostar H, Waheed N (2008) The evolving role of vascular endothelial growth factor inhibitors in the treatment of neovascular age-related macular degeneration. Eye 22(6):761–767
Bashshur ZF, Haddad ZA, Schakal A, Jaafar RF, Saab M, Noureddin BN (2008) Intravitreal bevacizumab for treatment of neovascular age-related macular degeneration: a one-year prospective study. Am J Ophthalmol 145:249–256, doi:10.1016/j.ajo.2007.09.031
Kaur C, Sivakumar V, Foulds WS (2006) Early response of neurons and glial cells to hypoxia in the retina. Invest Ophthalmol Vis Sci 47:1126–1141, doi:10.1167/iovs.05-0518
Shams N, Ianchulev T (2006) Role of vascular endothelial growth factor in ocular angiogenesis. Ophthalmol Clin North Am 19:335–344
Hattenbach LO, Falk B, Nurnberger F, Koch FH, Ohrloff C (2002) Detection of inducible nitric oxide synthase and vascular endothelial growth factor in choroidal neovascular membranes. Ophthalmologica 216:209–214, doi:10.1159/000059634
Sennlaub F, Courtois Y, Goureau O (2001) Inducible nitric oxide synthase mediates the change from retinal to vitreal neovascularization in ischemic retinopathy. J Clin Invest 107:717–725, doi:10.1172/JCI10874
Pipili-Synetos E, Kritikou S, Papadimitriou E, Athanassiadou A, Flordellis C, Maragoudakis ME (2000) Nitric oxide synthase expression, enzyme activity and NO production during angiogenesis in the chick chorioallantoic membrane. Br J Pharmacol 129:207–213, doi:10.1038/sj.bjp.0702986
Ghiso N, Rohan RM, Amano S, Garland R, Adamis AP (1999) Suppression of hypoxia-associated vascular endothelial growth factor gene expression by nitric oxide via cGMP. Invest Ophthalmol Vis Sci 40:1033–1039
Pyriochou A, Vassilakopoulos T, Zhou Z, Papapetropoulos A (2007) cGMP-dependent and -independent angiogenesis-related properties of nitric oxide. Life Sci 81:1549–1554, doi:10.1016/j.lfs.2007.09.014
Mousa SA, Mousa AS (2004) Angiogenesis inhibitors: current & future directions. Curr Pharm Des 10:1–9, doi:10.2174/1381612043453531
Treins C, Giorgetti-Peraldi S, Murdaca J, Van Obberghen E (2001) Regulation of vascular endothelial growth factor expression by advanced glycation end products. J Biol Chem 276:43836–43841, doi:10.1074/jbc.M106534200
Yan H, Guo Y, Zhang J, Ding Z, Ha W, Harding JJ (2008) Effect of carnosine, aminoguanidine, and aspirin drops on the prevention of cataracts in diabetic rats. Mol Vis 14:2282–2291
Thornalley PJ (2003) Use of aminoguanidine (Pimagedine) to prevent the formation of advanced glycation endproducts. Arch Biochem Biophys 419:31–40, doi:10.1016/j.abb.2003.08.013
Acknowledgement
This work was supported by the following research grants:
1. Shanghai Leading Academic Discipline Project: S30205;
2. Shanghai Public Health Bureau: 2007013;
3. Shanghai Science and Technology Committee: 08JC1415600.
Author information
Authors and Affiliations
Corresponding authors
Additional information
Ling Wang and Guo-Tong Xu are co-corresponding authors who contributed equally to this study.
Rights and permissions
About this article
Cite this article
Zhang, Q., Zhang, J., Guan, Y. et al. Suppression of retinal neovascularization by the iNOS inhibitor aminoguanidine in mice of oxygen-induced retinopathy. Graefes Arch Clin Exp Ophthalmol 247, 919–927 (2009). https://doi.org/10.1007/s00417-009-1066-x
Received:
Revised:
Accepted:
Published:
Issue Date:
DOI: https://doi.org/10.1007/s00417-009-1066-x