Skip to main content

Visual extinction for motion

Abstract

Purpose

To alert clinicians to the heretofore undescribed visual behavioral phenomenon of visual extinction limited to motion.

Methods

Neuro-ophthalmological, neuropsychological and neuroimaging assessment of a 57-year-old man with vague visual complaints.

Results

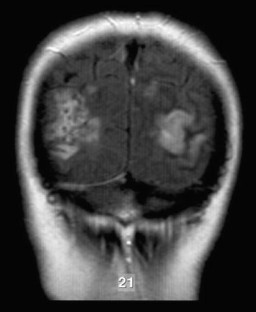
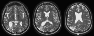
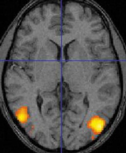
Extinction limited to visual motion perception in the left hemifield was demonstrated. The visual defect was attributed to a lesion involving the right occipito-temporo-parietal region in the presence of a left posterior infarction.

Conclusion

The importance of clinical examination for detection of this specific higher-order visual defect is stressed. The present observation may be helpful in understanding the effects of attention on visual perception and may have important implications for rehabilitation of patients with visual neglect.

This is a preview of subscription content, access via your institution.

Fig 1
Fig 2
Fig 3

References

  1. Barton JJ, Sharpe JA, Raymond JE (1996) Directional defects in pursuit and motion perception in humans with unilateral cerebral lesions. Brain 119:1535–1550

    PubMed  Google Scholar 

  2. Dupont P, Orban GA, De Bruyn B, Verbruggen A, Mortelmans L (1994) Many areas in the human brain respond to visual motion. J Neurophysiol 72:1420–1424

    CAS  PubMed  Google Scholar 

  3. Karnath HO, Ferber S, Himmelbach M (2001) Spatial awareness is a function of the temporal not the posterior parietal lobe. Nature 411:950–953

    CAS  PubMed  Google Scholar 

  4. Karnath HO, Himmelbach M, Küker W (2003) The cortical substrate of visual extinction. NeuroReport 14:437–442

    Article  PubMed  Google Scholar 

  5. Kim M, Na DL, Kim GM, Adair JC, Lee KH, Heilman KM. Ipsilesional neglect: behavioural and anatomical features. (1999) J Neurol Neurosurg Psychiatry 67:35–38

    CAS  PubMed  Google Scholar 

  6. Mattingley JB, Bradshaw JL, Bradshaw JA (1994) Horizontal visual motion modulates focal attention in left unilateral spatial neglect. J Neurol Neurosurg Psychiatry 57:1228–1235

    CAS  PubMed  Google Scholar 

  7. Mesulam MM (1990) Large-scale neurocognitive networks and distributed processing for attention, language, and memory. Ann Neurol 28:597–613

    Google Scholar 

  8. Mesulam MM (1999) Spatial attention and neglect: parietal, frontal and cingulate contributions to the mental representation and attentional targeting of salient extrapersonal events. Philos Trans R Soc Lond B 354:1325–1346

    Article  CAS  PubMed  Google Scholar 

  9. Milner AD (1998) Neuropsychological studies of perception and visuo-motor control. Philos Trans R Soc Lond B 353:1375–1384

    Article  CAS  Google Scholar 

  10. Rees G, Wojciulik E, Clarke K, Husain M, Frith C, Driver J (2000) Unconscious activation of visual cortex in the damaged right hemisphere of a parietal patient with extinction. Brain 123:1624–1633

    Article  PubMed  Google Scholar 

  11. Rorden C, Mattingley JB, Karnath HO, Driver J (1997) Visual extinction and prior entry: impaired perception of temporal order with intact motion perception after unilateraI parietal damage. Neuropsychologia 35:421–433

    Article  CAS  PubMed  Google Scholar 

  12. Talairach J, Tournoux P (1988) Co-planar stereotaxic atlas of the human brain. Thieme, Stuttgart

  13. Ungerleider LG, Mishkin M (1982) Two cortical visual systems. In: Ingle DJ, Mansfield RJW, Goodale MS (eds) The analysis of visual behavior. MIT Press, Cambridge, pp 549–586

  14. Vaina LM (1989) Selective impairment of visual motion interpretation following lesions of the right occipito-parietal area in humans. Biol Cybern 61:347–359

    CAS  PubMed  Google Scholar 

  15. Vaina LM, Makris N, Kennedy D, Cowey A (1998) The selective impairment of the perception of first-order motion by unilateral cortical brain damage. Vis Neurosci 15:333–48

    Article  CAS  PubMed  Google Scholar 

  16. Zeki S (1991) Cerebral akinetopsia (visual motion blindness). A review. Brain 114:811–824

    PubMed  Google Scholar 

Download references

Author information

Affiliations

Authors

Corresponding author

Correspondence to Luc Crevits.

Rights and permissions

Reprints and Permissions

About this article

Cite this article

Crevits, L., Deblaere, K. & Aers, I. Visual extinction for motion. Graefe's Arch Clin Exp Ophthalmol 242, 423–427 (2004). https://doi.org/10.1007/s00417-003-0840-4

Download citation

  • Received:

  • Revised:

  • Accepted:

  • Published:

  • Issue Date:

  • DOI: https://doi.org/10.1007/s00417-003-0840-4

Keywords

  • Smooth Pursuit
  • Motion Perception
  • Spatial Neglect
  • Homonymous Hemianopia
  • Brodmann Area