Abstract
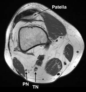
Clinical trial design in amyotrophic lateral sclerosis (ALS) remains hampered by a lack of reliable and sensitive biomarkers of disease progression. The present study evaluated peripheral nerve diffusion tensor imaging (DTI) as a surrogate marker of axonal degeneration in ALS. Longitudinal studies were undertaken in 21 ALS patients studied at 0 and 3 months, and 19 patients at 0, 3 and 6 months, with results compared to 13 age-matched controls. Imaging metrics were correlated across a range of functional assessments including amyotrophic lateral sclerosis functional rating scale revised (ALSFRS-R), lower limb muscle strength (Medical Research Council sum score, MRCSS-LL), compound muscle action potential amplitudes and motor unit number estimation (MUNE). Fractional anisotropy was reduced at baseline in ALS patients in the tibial (p < 0.05), and peroneal nerve (p < 0.05). Fractional anisotropy and axial diffusivity declined in the tibial nerve between baselines, 3- and 6-month scans (p < 0.01). From a functional perspective, ALSFRS-R correlated with fractional anisotropy values from tibial (R = 0.75, p < 0.001) and peroneal nerves (R = 0.52, p = 0.001). Similarly, peroneal nerve MUNE values correlated with fractional anisotropy values from the tibial (R = 0.48, p = 0.002) and peroneal nerve (R = 0.39, p = 0.01). There were correlations between the change in ALSFRS-R and tibial nerve axial diffusivity (R = 0.38, p = 0.02) and the change in MRCSS-LL and peroneal nerve fractional anisotropy (R = 0.44, p = 0.009). In conclusion, this study has demonstrated that some peripheral nerve DTI metrics are sensitive to axonal degeneration in ALS. Further, that DTI metrics correlated with measures of functional disability, strength and neurophysiological measures of lower motor neuron loss.




References
Benjamini Y, Hochberg Y (1995) Controlling the false discovery rate: a practical and powerful approach to multiple testing. J R Stat Soc Ser B 57:289–300
Berry JD, Cudkowicz ME (2011) New considerations in the design of clinical trials for amyotrophic lateral sclerosis. Clin Investig 1:1375–1389
Blok JH, Ruitenberg A, Maathuis EM, Visser GH (2007) The electrophysiological muscle scan. Muscle Nerve 36:436–446
Cage TA, Yuh E, Hou S, Anuradha R, Birk H, Simon NG, Noss R, Kliot M, Chin C (2015) Magnetic resonance diffusion tensor imaging can visualize nerve fibers and their relationship to peripheral nerve tumors. Neurosurg Focus 39:E16
Cedarbaum JM, Stambler N, Malta E, Fuller C, Hilt D, Thurmond B, Nakanishi A (1999) The ALSFRS-R: a revised ALS functional rating scale that incorporates assessments of respiratory function. BDNF ALS Study Group (phase III). J Neurol Sci 169:13–21
de Carvalho M, Dengler R, Eisen A, England JD, Kaji R, Kimura J, Mills K, Mitsumoto H, Nodera H, Shefner J, Swash M (2008) Electrodiagnostic criteria for diagnosis of ALS. Clin Neurophysiol 119:497–503
de Carvalho M, Swash M (2016) Lower motor neuron dysfunction in ALS. Clin Neurophysiol 127:2670–2681
DeBoy CA, Zhang J, Dike S, Shats I, Jones M, Reich DS, Mori S, Nguyen T, Rothstein B, Miller RH, Griffin JT, Kerr DA, Calabresi PA (2007) High resolution diffusion tensor imaging of axonal damage in focal inflammatory and demyelinating lesions in rat spinal cord. Brain 130:2199–2210
Gallagher T, Simon NG, Kliot M (2015) Diffusion tensor imaging to visualize axons in the setting of nerve injury and recovery. Neurosurg Focus 39:E10
Gerevini S, Agosta F, Riva N, Spinelli EG, Pagani E, Caliendo G, Chaabane L, Copetti M, Quattrini A, Comi G, Falini A, Filippi M (2016) MR imaging of brachial plexus and limb-girdle muscles in patients with amyotrophic lateral sclerosis. Radiology 279:553–561
Henderson RD, Ridall PG, Hutchinson NM, Pettitt AN, McCombe PA (2007) Bayesian statistical MUNE method. Muscle Nerve 36:206–213
Janve VA, Zu Z, Yao SY, Li K, Zhang FL, Wilson KJ, Ou X, Does MD, Subramaniam S, Gochberg DF (2013) The radial diffusivity and magnetization transfer pool size ratio are sensitive markers for demyelination in a rat model of type III multiple sclerosis (MS) lesions. NeuroImage 74:298–305
Jennekens FG, Tomlinson BE, Walton JN (1972) The extensor digitorum brevis: histological and histochemical aspects. J Neurol Neurosurg Psychiatry 35:124–132
Jovicich J, Marizzoni M, Bosch B, Bartres-Faz D, Arnold J, Benninghoff J, Wiltfang J, Roccatagliata L, Picco A, Nobili F, Blin O, Bombois S, Lopes R, Bordet R, Chanoine V, Ranjeva JP, Didic M, Gros-Dagnac H, Payoux P, Zoccatelli G, Alessandrini F, Beltramello A, Bargallo N, Ferretti A, Caulo M, Aiello M, Ragucci M, Soricelli A, Salvadori N, Tarducci R, Floridi P, Tsolaki M, Constantinidis M, Drevelegas A, Rossini PM, Marra C, Otto J, Reiss-Zimmermann M, Hoffmann KT, Galluzzi S, Frisoni GB, PharmaCog C (2014) Multisite longitudinal reliability of tract-based spatial statistics in diffusion tensor imaging of healthy elderly subjects. NeuroImage 101:390–403
Kakuda T, Fukuda H, Tanitame K, Takasu M, Date S, Ochi K, Ohshita T, Kohriyama T, Ito K, Matsumoto M, Awai K (2011) Diffusion tensor imaging of peripheral nerve in patients with chronic inflammatory demyelinating polyradiculoneuropathy: a feasibility study. Neuroradiology 53:955–960
Kiernan MC, Vucic S, Cheah BC, Turner MR, Eisen A, Hardiman O, Burrell JR, Zoing MC (2011) Amyotrophic lateral sclerosis. Lancet 377:942–955
Markvardsen LH, Vaeggemose M, Ringgaard S, Andersen H (2016) Diffusion tensor imaging can be used to detect lesions in peripheral nerves in patients with chronic inflammatory demyelinating polyneuropathy treated with subcutaneous immunoglobulin. Neuroradiology 58:745–752
Mathys C, Aissa J, Meyer Z, Horste G, Reichelt DC, Antoch G, Turowski B, Hartung HP, Sheikh KA, Lehmann HC (2013) Peripheral neuropathy: assessment of proximal nerve integrity by diffusion tensor imaging. Muscle Nerve 48:889–896
McNeil CJ, Doherty TJ, Stashuk DW, Rice CL (2005) Motor unit number estimates in the tibialis anterior muscle of young, old, and very old men. Muscle Nerve 31:461–467
Meek MF, Stenekes MW, Hoogduin HM, Nicolai JP (2006) In vivo three-dimensional reconstruction of human median nerves by diffusion tensor imaging. Exp Neurol 198:479–482
Piasecki M, Ireland A, Coulson J, Stashuk DW, Hamilton-Wright A, Swiecicka A, Rutter MK, McPhee JS, Jones DA (2016) Motor unit number estimates and neuromuscular transmission in the tibialis anterior of master athletes: evidence that athletic older people are not spared from age-related motor unit remodeling. Physiol Rep 4:e12987
Ridall PG, Pettitt AN, Henderson RD, McCombe PA (2006) Motor unit number estimation—a Bayesian approach. Biometrics 62:1235–1250
Riva N, Chaabane L, Peviani M, Ungaro D, Domi T, Dina G, Bianchi F, Spano G, Cerri F, Podini P, Corbo M, Carro UD, Comi G, Bendotti C, Quattrini A (2014) Defining peripheral nervous system dysfunction in the SOD-1G93A transgenic rat model of amyotrophic lateral sclerosis. J Neuropathol Exp Neurol 73:658–670
Simon NG (2016) Lower motor neurons—counting cogs in the ALS machine. Clin Neurophysiol 127:2668–2669
Simon NG, Cage T, Narvid J, Noss R, Chin C, Kliot M (2014) High-resolution ultrasonography and diffusion tensor tractography map normal nerve fascicles in relation to schwannoma tissue prior to resection. J Neurosurg 120:1113–1117
Simon NG, Huynh W, Vucic S, Talbot K, Kiernan MC (2015) Motor neuron disease: current management and future prospects. Int Med J 45:1005–1013
Simon NG, Kliot M (2014) Diffusion weighted MRI and tractography for evaluating peripheral nerve degeneration and regeneration. Neural Regen Res 9:2122–2124
Simon NG, Lagopoulos J, Gallagher T, Kliot M, Kiernan MC (2016) Peripheral nerve diffusion tensor imaging is reliable and reproducible. J Magn Reson Imaging 43:962–969
Simon NG, Lee M, Bae JS, Mioshi E, Lin CS-Y, Pfluger CM, Henderson RD, Vucic S, Swash M, Burke D, Kiernan MC (2015) Dissociated lower limb muscle involvement in amyotrophic lateral sclerosis. J Neurol 262:1424–1432
Simon NG, Narvid J, Cage T, Banerjee S, Ralph JW, Engstrom JW, Kliot M, Chin C (2014) Visualizing axon regeneration after peripheral nerve injury with magnetic resonance tractography. Neurology 83:1382–1384
Simon NG, Turner MR, Vucic S, Al-Chalabi A, Shefner J, Lomen-Hoerth C, Kiernan MC (2014) Quantifying disease progression in amyotrophic lateral sclerosis. Ann Neurol 76:643–657
Smith SM, Jenkinson M, Woolrich MW, Beckmann CF, Behrens TE, Johansen-Berg H, Bannister PR, De Luca M, Drobnjak I, Flitney DE, Niazy RK, Saunders J, Vickers J, Zhang Y, De Stefano N, Brady JM, Matthews PM (2004) Advances in functional and structural MR image analysis and implementation as FSL. NeuroImage 23(Suppl 1):S208–S219
Takagi T, Nakamura M, Yamada M, Hikishima K, Momoshima S, Fujiyoshi K, Shibata S, Okano HJ, Toyama Y, Okano H (2009) Visualization of peripheral nerve degeneration and regeneration: monitoring with diffusion tensor tractography. NeuroImage 44:884–892
Turner MR, Brockington A, Scaber J, Hollinger H, Marsden R, Shaw PJ, Talbot K (2010) Pattern of spread and prognosis in lower limb-onset ALS. Amyotroph Later Scler 11:369–373
von Meyenburg J, Wilm BJ, Weck A, Petersen J, Gallus E, Mathys J, Schaetzle E, Schubert M, Boesiger P, von Meyenburg K, Goebels N, Kollias S (2013) Spinal cord diffusion-tensor imaging and motor-evoked potentials in multiple sclerosis patients: microstructural and functional asymmetry. Radiology 267:869–879
Werring DJ, Clark CA, Barker GJ, Thompson AJ, Miller DH (1999) Diffusion tensor imaging of lesions and normal-appearing white matter in multiple sclerosis. Neurology 52:1626–1632
Acknowledgements
This work was supported by funding to Forefront, a collaborative research group dedicated to the study of motor neurone disease, from the National Health and Medical research Council of Australia Program Grant (#1037746). We are grateful to the research participants involved with the ForeFront research studies.
Author information
Authors and Affiliations
Corresponding author
Ethics declarations
Conflicts of interest
Dr. Simon, Dr. Lagopoulos, Ms. Paling, Dr. Pfluger, Dr. Park, Dr. Howells, Dr. Gallagher, Dr. Kliot, Dr. Henderson, Dr. Vucic reports no disclosures. Dr. Kiernan serves as the editor-in-chief of Journal of Neurology, Neurosurgery and Psychiatry.
Rights and permissions
About this article
Cite this article
Simon, N.G., Lagopoulos, J., Paling, S. et al. Peripheral nerve diffusion tensor imaging as a measure of disease progression in ALS. J Neurol 264, 882–890 (2017). https://doi.org/10.1007/s00415-017-8443-x
Received:
Revised:
Accepted:
Published:
Issue Date:
DOI: https://doi.org/10.1007/s00415-017-8443-x