Abstract
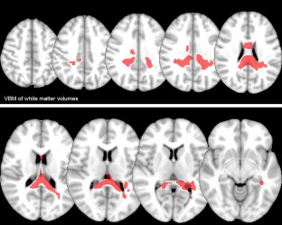
Hereditary spastic paraplegias (HSP) are a group of clinically and genetically heterogeneous disorders with the hallmark of progressive spastic gait disturbance. We used advanced neuroimaging to identify brain regions involved in SPG4, the most common HSP genotype. Additionally, we analyzed correlations between imaging and clinical findings. We performed 3T MRI scans including isotropic high-resolution 3D T1, T2-FLAIR, and DTI sequences in 15 adult patients with genetically confirmed SPG4 and 15 age- and sex-matched healthy controls. Brain volume loss of gray and white matter was evaluated through voxel-based morphometry (VBM) for supra- and infratentorial regions separately. DTI maps of axial diffusivity (AD), radial diffusivity (RD), mean diffusivity (MD), fractional anisotropy (FA), and measured anisotropy (MA1) were analyzed through tract-based special statistics (TBSS). VBM and TBSS revealed a widespread affection of gray and white matter in SPG4 including the corpus callosum, medio-dorsal thalamus, parieto-occipital regions, upper brainstem, cerebellum, and corticospinal tract. Significant correlations with correlation coefficients r > 0.6 between clinical data and DTI findings could be demonstrated for disease duration and disease severity as assessed by the spastic paraplegia rating scale for the pontine crossing tract (AD) and the corpus callosum (RD and FA). Imaging also provided evidence that SPG4 underlies a primarily axonal rather than demyelinating damage in accordance with post-mortem data. DTI is an attractive tool to assess subclinical affection in SPG4. The correlation of imaging findings with disease duration and severity suggests AD, RD, and FA as potential progression markers in interventional studies.





Notes
SPG21, SPG46–SPG50, SPG54, SPG56, SPG63, SPG65–67 and SPG71.
References
Harding AE (1983) Classification of the hereditary ataxias and paraplegias. Lancet 321:1151–1155
Ruano L, Melo C, Silva MC, Coutinho P (2014) The global epidemiology of hereditary ataxia and spastic paraplegia: a systematic review of prevalence studies. Neuroepidemiology 42:174–183
Blackstone C (2012) Cellular pathways of hereditary spastic paraplegia. Annu Rev Neurosci 35:25–47
Fink JK, Hedera P (1999) Hereditary spastic paraplegia: genetic heterogeneity and genotype-phenotype correlation. Semin Neurol 19:301–309
Novarino G, Fenstermaker AG, Zaki MS, Hofree M, Silhavy JL, Heiberg AD, Abdellateef M, Rosti B, Scott E, Mansour L, Masri A, Kayserili H, Al-Aama JY, Abdel-Salam GMH, Karminejad A, Kara M, Kara B, Bozorgmehri B, Ben-Omran T, Mojahedi F, Mahmoud IGED, Bouslam N, Bouhouche A, Benomar A, Hanein S, Raymond L, Forlani S, Mascaro M, Selim L, Shehata N, Al-Allawi N, Bindu PS, Azam M, Gunel M, Caglayan A, Bilguvar K, Tolun A, Issa MY, Schroth J, Spencer EG, Rosti RO, Akizu N, Vaux KK, Johansen A, Koh AA, Megahed H, Durr A, Brice A, Stevanin G, Gabriel SB, Ideker T, Gleeson JG (2014) Exome sequencing links corticospinal motor neuron disease to common neurodegenerative disorders. Science 343:506–511
Schüle R, Schöls L (2011) Genetics of hereditary spastic paraplegias. Semin Neurol 31:484–493
Schöls L, Schlipf N, Söhn AS, Bauer P (2013) Klinik und Genetik der spastischen Spinalparalysen. Medgen 25:249–257
Magariello A, Muglia M, Patitucci A, Ungaro C, Mazzei R, Gabriele AL, Sprovieri T, Citrigno L, Conforti FL, Liguori M, Gambardella A, Bono F, Piccoli T, Patti F, Zappia M, Mancuso M, Iemolo F, Quattrone A (2010) Mutation analysis of the SPG4 gene in Italian patients with pure and complicated forms of spastic paraplegia. J Neurol Sci 288:96–100
Sauter S, Miterski B, Klimpe S, Bönsch D, Schöls L, Visbeck A, Papke T, Hopf HC, Engel W, Deufel T, Epplen JT, Neesen J (2002) Mutation analysis of the spastin gene (SPG4) in patients in Germany with autosomal dominant hereditary spastic paraplegia. Hum Mutat 20:127–132
Depienne C, Tallaksen C, Lephay JY, Bricka B, Poea-Guyon S, Fontaine B, Labauge P, Brice A, Durr A (2006) Spastin mutations are frequent in sporadic spastic paraparesis and their spectrum is different from that observed in familial cases. J Med Genet 43:259–265
Hazan J, Fonknechten N, Mavel D, Paternotte C, Samson D, Artiguenave F, Davoine C-S, Cruaud C, Durr A, Wincker P, Brottier P, Cattolico L, Barbe V, Burgunder J-M, Prud’homme J-F, Brice A, Fontaine B, Heilig R, Weissenbach J (1999) Spastin, a new AAA protein, is altered in the most frequent form of autosomal dominant spastic paraplegia. Nat Genet 23:296–303
Fonknechten N, Mavel D, Byrne P, Davoine C-S, Cruaud C, Boentsch D, Samson D, Coutinho P, Hutchinson M, Monagle PM, Burgunder J-M, Tartaglione A, Heinzlef O, Feki I, Deufel T, Parfrey N, Brice A, Fontaine B, Prud’homme J-F, Weissenbach J, Dürr A, Hazan J (2000) Spectrum of SPG4 mutations in autosomal dominant spastic paraplegia. Hum Mol Genet 9:637–644
Depienne C, Stevanin G, Brice A, Durr A (2007) Hereditary spastic paraplegias: an update. Curr Opin Neurol 20:674–680
Nielsen JE, Johnsen B, Koefoed P, Scheuer KH, Grønbech-Jensen M, Law I, Krabbe K, Nørremølle A, Eiberg H, Søndergård H, Dam M, Rehfeld JF, Krarup C, Paulson OB, Hasholt L, Sørensen SA (2004) Hereditary spastic paraplegia with cerebellar ataxia: a complex phenotype associated with a new SPG4 gene mutation. Eur J Neurol 11:817–824
Stevanin G, Santorelli FM, Azzedine H, Coutinho P, Chomilier J, Denora PS, Martin E, Ouvrard-Hernandez A-M, Tessa A, Bouslam N, Lossos A, Charles P, Loureiro JL, Elleuch N, Confavreux C, Cruz VT, Ruberg M, Leguern E, Grid D, Tazir M, Fontaine B, Filla A, Bertini E, Durr A, Brice A (2007) Mutations in SPG11, encoding spatacsin, are a major cause of spastic paraplegia with thin corpus callosum. Nat Genet 39:366–372
Hanein S, Martin E, Boukhris A, Byrne P, Goizet C, Hamri A, Benomar A, Lossos A, Denora P, Fernandez J, Elleuch N, Forlani S, Durr A, Feki I, Hutchinson M, Santorelli FM, Mhiri C, Brice A, Stevanin G (2008) Identification of the SPG15 gene, encoding spastizin, as a frequent cause of complicated autosomal-recessive spastic paraplegia, including Kjellin syndrome. Am J Hum Genet 82:992–1002
Dick KJ, Eckhardt M, Paisán-Ruiz C, Alshehhi AA, Proukakis C, Sibtain NA, Maier H, Sharifi R, Patton MA, Bashir W, Koul R, Raeburn S, Gieselmann V, Houlden H, Crosby AH (2010) Mutation of FA2H underlies a complicated form of hereditary spastic paraplegia (SPG35). Hum Mutat 31:E1251–E1260
Elleuch N, Depienne C, Benomar A, Hernandez AMO, Ferrer X, Fontaine B, Grid D, Tallaksen CME, Zemmouri R, Stevanin G, Durr A, Brice A (2006) Mutation analysis of the paraplegin gene (SPG7) in patients with hereditary spastic paraplegia. Neurology 66:654–659
Pfeffer G et al (2014) Mutations in the SPG7 gene cause chronic progressive external ophthalmoplegia through disordered mitochondrial DNA maintenance. Brain 137(5):1323–1336. http://brain.oxfordjournals.org/content/137/5/1323.short
Scuderi C, Fichera M, Calabrese G, Elia M, Amato C, Savio M, Borgione E, Vitello GA, Musumeci SA (2009) Posterior fossa abnormalities in hereditary spastic paraparesis with spastin mutations. J Neurol Neurosurg Psychiatry 80:440–443
Scheuer KH, Nielsen JE, Krabbe K, Simonsen C, Koefoed P, Sørensen SA, Gade A, Paulson OB, Law I (2005) Reduced regional cerebral blood flow in SPG4-linked hereditary spastic paraplegia. J Neurol Sci 235:23–32
Garaci F, Toschi N, Lanzafame S, Meschini A, Bertini E, Simonetti G, Santorelli FM, Guerrisi M, Floris R (2014) Diffusion tensor imaging in SPG11- and SPG4-linked hereditary spastic paraplegia. Int J Neurosci 124:261–270
Scheuer KH, Nielsen JE, Krabbe K, Paulson OB, Law I (2006) Motor activation in SPG4-linked hereditary spastic paraplegia. J Neurol Sci 244:31–39
Schule R, Holland-Letz T, Klimpe S, Kassubek J, Klopstock T, Mall V, Otto S, Winner B, Schols L (2006) The Spastic Paraplegia Rating Scale (SPRS): a reliable and valid measure of disease severity. Neurology 67:430–434
Ashburner J, Friston KJ (2005) Unified segmentation. NeuroImage 26:839–851
Malone IB, Leung KK, Clegg S, Barnes J, Whitwell JL, Ashburner J, Fox NC, Ridgway GR (2015) Accurate automatic estimation of total intracranial volume: a nuisance variable with less nuisance. NeuroImage 104:366–372
Weiskopf N, Lutti A, Helms G, Novak M, Ashburner J, Hutton C (2011) Unified segmentation based correction of R1 brain maps for RF transmit field inhomogeneities (UNICORT). Neuroimage 54:2116–2124
Diedrichsen J (2006) A spatially unbiased atlas template of the human cerebellum. NeuroImage 33:127–138
Diedrichsen J, Balsters JH, Flavell J, Cussans E, Ramnani N (2009) A probabilistic MR atlas of the human cerebellum. NeuroImage 46:39–46
Ashburner J, Friston KJ (2000) Voxel-based morphometry—the methods. NeuroImage 11:805–821
Rorden C, Brett M (2000) Stereotaxic display of brain lesions. Behav Neurol 12
Smith SM, Jenkinson M, Woolrich MW, Beckmann CF, Behrens TEJ, Johansen-Berg H, Bannister PR, De Luca M, Drobnjak I, Flitney DE, Niazy RK, Saunders J, Vickers J, Zhang Y, De Stefano N, Brady JM, Matthews PM (2004) Advances in functional and structural MR image analysis and implementation as FSL. NeuroImage 23(Supplement 1):S208–S219
Smith SM, Johansen-Berg H, Jenkinson M, Rueckert D, Nichols TE, Miller KL, Robson MD, Jones DK, Klein JC, Bartsch AJ, Behrens TEJ (2007) Acquisition and voxelwise analysis of multi-subject diffusion data with tract-based spatial statistics. Nat Protoc 2:499–503
Duning T, Warnecke T, Schirmacher A, Schiffbauer H, Lohmann H, Mohammadi S, Young P, Deppe M (2010) Specific pattern of early white-matter changes in pure hereditary spastic paraplegia. Mov Disord 25:1986–1992
Senda J, Ito M, Watanabe H, Atsuta N, Kawai Y, Katsuno M, Tanaka F, Naganawa S, Fukatsu H, Sobue G (2009) Correlation between pyramidal tract degeneration and widespread white matter involvement in amyotrophic lateral sclerosis: a study with tractography and diffusion-tensor imaging. Amyotroph Later Scler 10:288–294
Seidel K, De Vos R, Derksen L, Bauer P, Riess O, den Dunnen W, Deller T, Hageman G, Rüb U (2009) Widespread thalamic and cerebellar degeneration in a patient with a complicated hereditary spastic paraplegia (HSP). Ann Anat Anat Anz 191:203–211
Wharton SB, McDermott CJ, Grierson AJ, Wood JD, Gelsthorpe C, Ince PG, Shaw PJ (2003) The cellular and molecular pathology of the motor system in hereditary spastic paraparesis due to mutation of the spastin gene. J Neuropathol Exp Neurol 62:1166–1177
White KD, Ince PG, Lusher M, Lindsey J, Cookson M, Bashir R, Shaw PJ, Bushby KMD (2000) Clinical and pathologic findings in hereditary spastic paraparesis with spastin mutation. Neurology 55:89–94
Budde MD, Kim JH, Liang HF, Russell JH, Cross AH, Song SK (2008) Axonal injury detected by in vivo diffusion tensor imaging correlates with neurological disability in a mouse model of multiple sclerosis. NMR Biomed 21:589–597
Xie M, Wang Q, Wu TH, Song SK, Sun SW (2011) Delayed axonal degeneration in slow wallerian degeneration mutant mice detected using diffusion tensor imaging. Neuroscience 197:339–347
Harsan LA, Poulet P, Guignard B, Steibel J, Parizel N, Loureiro de Sousa P, Boehm N, Grucker D, Ghandour MS (2006) Brain dysmyelination and recovery assessment by noninvasive in vivo diffusion tensor magnetic resonance imaging. J Neurosci Res 83:392–402
Alexander AL, Lee JE, Lazar M, Field AS (2007) Diffusion tensor imaging of the brain. Neurother J Am Soc Exp Neurother 4:316–329
Sun SW, Liang HF, Trinkaus K, Cross AH, Armstrong RC, Song SK (2006) Noninvasive detection of cuprizone induced axonal damage and demyelination in the mouse corpus callosum. Magn Reson Med 55:302–308
Rezende TJR, de Albuquerque M, Lamas GM, Martinez ARM, Campos BM, Casseb RF, Silva CB, Branco LMT, D’Abreu A, Lopes-Cendes I, Cendes F, França MC (2015) Multimodal MRI-based study in patients with SPG4 mutations. PLoS One 10:e0117666
Byrne PC, Mc Monagle P, Webb S, Fitzgerald B, Parfrey NA, Hutchinson M (2000) Age-related cognitive decline in hereditary spastic paraparesis linked to chromosome 2p. Neurology 54:1510–1517
Lindsey JC, Lusher ME, McDermott CJ, White KD, Reid E, Rubinsztein DC, Bashir R, Hazan J, Shaw PJ, Bushby KMD (2000) Mutation analysis of the spastin gene (SPG4) in patients with hereditary spastic paraparesis. J Med Genet 37:759–765
McMonagle P, Byrne P, Hutchinson M (2004) Further evidence of dementia in SPG4-linked autosomal dominant hereditary spastic paraplegia. Neurology 62:407–410
Tallaksen CE, Guichart-Gomez E, Verpillat P et al (2003) Subtle cognitive impairment but no dementia in patients with spastin mutations. Arch Neurol 60:1113–1118
Karle KN, Schüle R, Klebe S, Otto S, Frischholz C, Liepelt-Scarfone I, Schöls L (2013) Electrophysiological characterisation of motor and sensory tracts in patients with hereditary spastic paraplegia (HSP). Orphanet J Rare Dis 8:158
Schulte T, Miterski B, Börnke C, Przuntek H, Epplen JT, Schöls L (2003) Neurophysiological findings in SPG4 patients differ from other types of spastic paraplegia. Neurology 60:1529–1532
Acknowledgments
The research leading to these results has received funding from the European Community’s Seventh Framework Programme (FP7/2007–2013) under grant agreement n° 2012–305121 “Integrated European—omics research project for diagnosis and therapy in rare neuromuscular and neurodegenerative diseases (NEUROMICS)” (to TR und LS) and was supported by the Interdisciplinary Center for Clinical Research IZKF Tübingen (grant 1970-0-0 to RS), the European Union ((PIOF-GA-2012-326681) HSP/CMT genetics) to RS, and the German HSP-Selbsthilfegruppe e.V. (grant to RS and LS).
Conflicts of interest
The authors declare that they have no conflicts of interest.
Ethical standard
The study protocol was approved by the local ethics review board. Informed written consent was obtained from all subjects prior to examinations. The study has been performed in accordance with the ethical standards laid down in the 1964 Declaration of Helsinki and its later amendments.
Author information
Authors and Affiliations
Corresponding author
Electronic supplementary material
Below is the link to the electronic supplementary material.
415_2015_7791_MOESM1_ESM.pdf
Supplementary material 1 (PDF 220 kb) Online resource 1: Clinical data table. The clinical data table lists the identified mutations in SPG4 and specifies clinical findings like reflexes, spasticity and weakness as well as sensory testing in each patient with an overview of age of onset and disease duration. The total SPRS score and the spasticity subscore are listed as well as electrophysiological findings and routine MRI.
415_2015_7791_MOESM2_ESM.pdf
Supplementary material 2 (PDF 195 kb) Online resource 2: Correlation analysis table. Correlation analysis of DTI parameters from 5 preselected white matter fiber tracts with clinical data are presented. DTI results correlated closely (correlation coefficients r > 0.6, p < 0.0005 corrected for multiple comparisons) with disease duration for the pontine crossing tract (AD) and with disease severity (SPRS total score and SPRS spasticity subscore) for the corpus callosum (RD and FA).
Rights and permissions
About this article
Cite this article
Lindig, T., Bender, B., Hauser, TK. et al. Gray and white matter alterations in hereditary spastic paraplegia type SPG4 and clinical correlations. J Neurol 262, 1961–1971 (2015). https://doi.org/10.1007/s00415-015-7791-7
Received:
Revised:
Accepted:
Published:
Issue Date:
DOI: https://doi.org/10.1007/s00415-015-7791-7