Skip to main content

Clinical and molecular aspects of 30 patients with late-onset Pompe disease (LOPD): unusual features and response to treatment

Abstract

Pompe disease is a rare metabolic disorder, due to mutations in the gene encoding acid alpha-glucosidase (GAA), of which infantile and late-onset forms may occur. Aim of the work was to analyze clinical and laboratory data of a cohort of late-onset Pompe disease (LOPD) patients, collected during the last 15 years and to point out unusual phenotypic/genotypic features as well as enzyme replacement therapy (ERT) responses. We diagnosed 30 LOPD patients; at follow-up, they underwent motor, respiratory, cardiac and muscle MRI evaluations. Motor performances were tested by Walton Gardner-Medwin, GSGC and 6MWT tests. Respiratory function was assessed as FVC % in upright/supine position. LOPD presentations were represented by presymptomatic hyperCKemia (37 %), proximal/axial muscle weakness (53 %) and respiratory impairment (10 %). Median diagnostic delay was 8.6 years (±8.8). Atypical features were observed in 4 patients: marked distal muscle weakness and severe hearing loss at onset, as well as leukoencephalopathy and mesial temporal sclerosis during the disease course. By GAA sequence analysis, two causing mutations were detected in 22/30 patients, only one in the remaining 8 subjects. Overall, 29/30 patients harbored the common c.−32−13T>G mutation (2 were homozygous). Two new DNA variations were discovered (c.2395C>G, c.1771C>T). 14 patients received ERT for up to 60 months. Our study confirms LOPD clinical and genetic heterogeneity: atypical features may contribute to expand the clinical phenotype highlighting its multi-systemic nature. A timely diagnosis could allow early ERT start. An accurate follow-up is recommended to evaluate treatment responses.

This is a preview of subscription content, access via your institution.

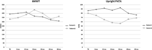
Fig. 1
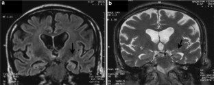
Fig. 2
Fig. 3

References

  1. Kishnani PS, Amartino HM, Lindberg C, Miller TM, Wilson A, Keutzer J, On behalf of the Pompe Registry Boards of Advisors (2013) Timing of diagnosis of patients with Pompe disease: data from the Pompe Registry. Am J Med Genet Part A 161A:2431–2443

    PubMed  Google Scholar 

  2. Kroos MA, van der Kraan M, van Diggelen OP, Kleijer WJ, Reuser AJ, van den BooGAArd MJ, Ausems MG, van Ploos Amstel HK, Poenaru L, Nicolino M (1995) Glycogen storage disease type II: frequency of three common mutant alleles and their associated clinical phenotypes studied in 121 patients. J Med Genet 32:836–837

    PubMed Central  CAS  Article  PubMed  Google Scholar 

  3. Reuser AJJ, Verheijen FW, Kroos MA et al (1995) Glycogenosis type II (acid maltase deficiency). Muscle Nerve 3:S61

    CAS  Article  PubMed  Google Scholar 

  4. Lim JA, Li L, Raben N (2014) Pompe disease: from pathophysiology to therapy and back again. Front Aging Neurosci. 23(6):177

    Google Scholar 

  5. Van der Ploeg AT, Reuser AJ (2008) Pompe’s disease. Lancet 372:1342–1353

    Article  PubMed  Google Scholar 

  6. Laforet P, Nicolino M, Eymard PB, Puech JP, Caillaud C, Poenaru L, Fardeau M (2000) Juvenile and adult-onset acid maltase deficiency in France: genotype phenotype correlation. Neurology 55:1122–1128

    CAS  Article  PubMed  Google Scholar 

  7. Montalvo AL, Bembi B, Donnarumma M, Filocamo M, Parenti G, Rossi M, Merlini L, Buratti E, De Filippi P, Dardis A et al (2006) Mutation profile of the GAA gene in 40 Italian patients with late onset glycogen storage disease type II. Hum Mutat 27:999–1006

    CAS  Article  PubMed  Google Scholar 

  8. Herzog A, Hartung R, Reuser A, Hermanns P, Runz H, Karabul N, Gökce S, Pohlenz J, Kampmann C, Lampe C, Beck M, Mengel E (2012) A cross-sectional single-centre study on the spectrum of Pompe disease, German patients: molecular analysis of the GAA gene, manifestation and genotype-phenotype correlations. Orphanet J Rare Dis 7:35

    PubMed Central  Article  PubMed  Google Scholar 

  9. Joshi PR, Gläser D, Schmidt S, Vorgerd M, Winterholler M, Eger K, Zierz S, Deschauer M (2008) Molecular diagnosis of German patients with late-onset glycogen storage disease type II. J Inherit Metab Dis 31(Suppl 2):S261–S265

    Article  PubMed  Google Scholar 

  10. Kroos M, Pomponio RJ, van Vliet L, Palmer RE, Phipps M, Van der Helm R, Halley D, Reuser AJ (2008) GAA Database Consortium. Update of the Pompe disease mutation database with 107 sequence variants and a format for severity rating. Hum Mutat 29(6):E13–E26

    Article  PubMed  Google Scholar 

  11. Kroos M, Hoogeveen-Westerveld M, Van der Ploeg A, Reuser AJ (2012) The genotype phenotype correlation in Pompe disease. Am J Med Genet C Semin Med Genet 160C(1):59–68

    Article  PubMed  Google Scholar 

  12. Toscano A, Montagnese F, Musumeci O (2013) Early is better? A new algorithm for early diagnosis in late onset Pompe disease (LOPD). Acta Myol 32(2):78–81

    PubMed Central  PubMed  Google Scholar 

  13. Carlier RY, Laforet P, Wary C, Mompoint D, Laloui K, Pellegrini N, Annane D, Carlier PG, Orlikowski D (2011) Whole-body muscle MRI in 20 patients suffering from late onset Pompe disease: involvement patterns. Neuromuscul Disord 21(11):791–799

    Article  PubMed  Google Scholar 

  14. Gaeta M, Barca E, Ruggeri P, Minutoli F, Rodolico C, Mazziotti S, Milardi D, Musumeci O, Toscano A (2013) Late-onset Pompe disease (LOPD): correlations between respiratory muscles CT and MRI features and pulmonary function. Mol Genet Metab 110(3):290–296

    CAS  Article  PubMed  Google Scholar 

  15. Van der Ploeg AT, Clemens PR, Corzo D, Escolar DM, Florence J, Groeneveld GJ, Herson S, Kishnani PS, Laforet P, Lake SL, Lange DJ, Leshner RT, Mayhew JE, Morgan C, Nozaki K, Park DJ, Pestronk A, Rosenbloom B, Skrinar A, van Capelle CI, van der Beek NA, Wasserstein M, Zivkovic SA (2010) A randomized study of alglucosidase alfa in late-onset Pompe’s disease. N Engl J Med 362(15):1396–1406

    Article  PubMed  Google Scholar 

  16. Van der Ploeg AT, Barohn R, Carlson L, Charrow J, Clemens PR, Hopkin RJ, Kishnani PS, Laforêt P, Morgan C, Nations S, Pestronk A, Plotkin H, Rosenbloom BE, Sims KB, Tsao E (2012) Open-label extension study following the late-onset treatment study (LOTS) of alglucosidase alfa. Mol Genet Metab 107(3):456–461

    Article  PubMed  Google Scholar 

  17. Strothotte S, Strigl-Pill N, Grunert B, Kornblum C, Eger K, Wessig C, Deschauer M, Breunig F, Glocker FX, Vielhaber S, Brejova A, Hilz M, Reiners K, Müller-Felber W, Mengel E, Spranger M, Schoser B (2010) Enzyme replacement therapy with alglucosidase alfa in 44 patients with late-onset glycogen storage disease type 2: 12-month results of an observational clinical trial. J Neurol 257(1):91–97

    CAS  Article  PubMed  Google Scholar 

  18. Angelini C, Semplicini C, Ravaglia S, Bembi B, Servidei S, Pegoraro E, Moggio M, Filosto M, Sette E, Crescimanno G, Tonin P, Parini R, Morandi L, Marrosu G, Greco G, Musumeci O, Di Iorio G, Siciliano G, Donati MA, Carubbi F, Ermani M, Mongini T, Toscano A, Italian GSDII Group (2012) Observational clinical study in juvenile-adult glycogenosis type 2 patients undergoing enzyme replacement therapy for up to 4 years. J Neurol 259(5):952–958

    CAS  Article  PubMed  Google Scholar 

  19. Toscano A, Schoser B (2013) Enzyme replacement therapy in late-onset Pompe disease: a systematic literature review. J Neurol 260(4):951–959

    CAS  Article  PubMed  Google Scholar 

  20. Cupler EJ, Berger KI, Leshner RT, Wolfe GI, Han JJ, Barohn RJ, Kissel JT (2012) AANEM consensus committee on late-onset Pompe disease. Consensus treatment recommendations for late-onset Pompe disease. Muscle Nerve 45(3):319–323

    PubMed Central  Article  PubMed  Google Scholar 

  21. Gabellini D, D’Antona G, Moggio M, Prelle A, Zecca C, Adami R, Angeletti B, Ciscato P, Pellegrino MA, Bottinelli R, Green MR, Tupler R (2006) Facioscapulohumeral muscular dystrophy in mice overexpressing FRG1. Nature 439:973–977

    CAS  PubMed  Google Scholar 

  22. Remiche G, Ronchi D, Magri F, Lamperti C, Bordoni A, Moggio M, Bresolin N, Comi GP (2014) Extended phenotype description and new molecular findings in late onset glycogen storage disease type II: a northern Italy population study and review of the literature. J Neurol 261(1):83–97

    CAS  Article  PubMed  Google Scholar 

  23. Van der Beek NA, de Vries JM, Hagemans ML, Hop WC, Kroos MA, Wokke JH, de Visser M, van Engelen BG, Kuks JB, van der Kooi AJ, Notermans NC, Faber KG, Verschuuren JJ, Reuser AJ, van der Ploeg AT, van Doorn PA (2012) Clinical features and predictors for disease natural progression in adults with Pompe disease: a nationwide prospective observational study. Orphanet J Rare Dis. 12(7):88

    Article  Google Scholar 

  24. Müller-Felber W, Horvath R, Gempel K, Podskarbi T, Shin Y, Pongratz D, Walter MC, Baethmann M, Schlotter-Weigel B, Lochmüller H, Schoser B (2007) Late onset Pompe disease: clinical and neurophysiological spectrum of 38 patients including long-term follow-up in 18 patients. Neuromuscul Disord 17(9–10):698–706

    Article  PubMed  Google Scholar 

  25. de Vries JM, van der Beek NA, Hop WC, Karstens FP, Wokke JH, de Visser M, van Engelen BG, Kuks JB, van der Kooi AJ, Notermans NC, Faber CG, Verschuuren JJ, Kruijshaar ME, Reuser AJ, van Doorn PA, van der Ploeg AT (2012) Effect of enzyme therapy and prognostic factors in 69 adults with Pompe disease: an open-label single-center study. Orphanet J Rare Dis 7:73

    PubMed Central  Article  PubMed  Google Scholar 

  26. Tsujino S, Huie M, Kanazawa N, Sugie H, Goto Y, Kawai M, Nonaka I, Hirschhorn R, Sakuragawa N (2000) Frequent mutations in Japanese patients with acid maltase deficiency. Neuromuscul Disord 10(8):599–603

    CAS  Article  PubMed  Google Scholar 

  27. Pittis MG, Filocamo M (2007) Molecular genetics of late onset glycogen storage disease II in Italy. Acta Myol 26(1):67–71

    PubMed Central  CAS  PubMed  Google Scholar 

  28. Dardis A, Zanin I, Zampieri S, Stuani C, Pianta A, Romanello M, Baralle FE, Bembi B, Buratti E (2014) Functional characterization of the common c.−32−13T>G mutation of GAA gene: identification of potential therapeutic agents. Nucleic Acids Res 42(2):1291–1302

    PubMed Central  CAS  Article  PubMed  Google Scholar 

  29. Huie ML, Chen AS, Tsujino S, Shanske S, DiMauro S, Engel AG, Hirschhorn R (1994) Aberrant splicing in adult onset glycogen storage disease type II (GSDII): molecular identification of an IVS1 (−13T→G) mutation in a majority of patients and a novel IVS10 (+1GT→CT) mutation. Hum Mol Genet 3(12):2231–2236

    CAS  Article  PubMed  Google Scholar 

  30. Martini C, Ciana G, Benettoni A et al (2001) Intractable fever and cortical neuronal glycogen storage in glycogenosis type 2. Neurology 57:906–908

    CAS  Article  PubMed  Google Scholar 

  31. Martin JJ, de Barsy T, Van Hoof F et al (1973) Pompe’s disease: an inborn lysosomal disorder with storage of glycogen. Acta Neuropathol 23:229–244

    CAS  Article  PubMed  Google Scholar 

  32. Mancall EL, Aponte GE, Berry RG (1965) Pompe’s disease (diffuse glycogenosis) with neuronal storage. J Neuropathol Exp Neurol 24:85–96

    CAS  Article  PubMed  Google Scholar 

  33. Papadimas G, Terzis G, Papadopoulos C, Areovimata A, Spengos K, Kavouras S, Manta P (2012) Bone density in patients with late onset Pompe disease. Int J Endocrinol Metab 10(4):599–603

    PubMed Central  Article  PubMed  Google Scholar 

  34. Sacconi S, Bocquet JD, Chanalet S, Tanant V, Salviati L, Desnuelle C (2010) Abnormalities of cerebral arteries are frequent in patients with late-onset Pompe disease. J Neurol 257(10):1730–1733

    Article  PubMed  Google Scholar 

  35. Oktenli C (2000) Renal magnesium wasting, hypomagnesemic hypocalcemia, hypocalciuria and osteopenia in a patient withglycogenosis type II. Am J Nephrol 20(5):412–417

    CAS  Article  PubMed  Google Scholar 

  36. Bernstein DL, Bialer MG, Mehta L, Desnick RJ (2010) Pompe disease: dramatic improvement in gastrointestinal function following enzyme replacement therapy. A report of three later-onset patients. Mol Genet Metab 101(2–3):130–133

    CAS  Article  PubMed  Google Scholar 

  37. Karabul N, Skudlarek A, Berndt J, Kornblum C, Kley RA, Wenninger S, Tiling N, Mengel E, Plöckinger U, Vorgerd M, Deschauer M, Schoser B, Hanisch F (2014) Urge incontinence and gastrointestinal symptoms in adult patients with Pompe disease: a cross-sectional survey. JIMD Rep 17:53–61

    PubMed Central  Article  PubMed  Google Scholar 

  38. Musumeci O, Catalano N, Barca E, Ravaglia S, Fiumara A, Gangemi G, Rodolico C, Sorge G, Vita G, Galletti F, Toscano A (2012) Auditory system involvement in late onset Pompe disease: a study of 20 Italian patients. Mol Genet Metab 107(3):480–484

    CAS  Article  PubMed  Google Scholar 

  39. Van der Beek NA, Verschuure H, Reuser AJ, van der Ploeg AT, van Doorn PA, Poublon RM (2012) Hearing in adults with Pompe disease. J Inherit Metab Dis 35(2):335–341

    PubMed Central  Article  PubMed  Google Scholar 

  40. Remiche G, Herbaut AG, Ronchi D, Lamperti C, Magri F, Moggio M, Bresolin N, Comi GP (2012) Incontinence in late-onset Pompe disease: an underdiagnosed treatable condition. Eur Neurol 68(2):75–78

    Article  PubMed  Google Scholar 

  41. Hagemans ML, Stigter RL, van Capelle CI, van der Beek NA, Winkel LP, van Vliet L, Hop WC, Reuser AJ, Beishuizen A, van der Ploeg AT (2010) PAS-positive lymphocyte vacuoles can be used as diagnostic screening test for Pompe disease. J Inherit Metab Dis 33(2):133–139

    PubMed Central  Article  PubMed  Google Scholar 

  42. Ravaglia S, Repetto A, De Filippi P, Danesino C (2007) Ptosis as a feature of late-onset glycogenosis type II. Neurology. 69(1):116

    Article  PubMed  Google Scholar 

  43. Hobson-Webb LD, Jones HN, Kishnani PS (2013) Oropharyngeal dysphagia may occur in late-onset Pompe disease, implicating bulbar muscle involvement. Neuromuscul Disord 23(4):319–322

    Article  PubMed  Google Scholar 

  44. Hanisch F, Rahne T, Plontke SK (2013) Prevalence of hearing loss in patients with late-onset Pompe disease: audiological and otological consequences. Int J Audiol 52(12):816–823

    CAS  Article  PubMed  Google Scholar 

  45. Borroni B, Cotelli MS, Premi E et al (2013) The brain in late-onset glycogenosis II: a structural and functional MRI study. J Inherit Metab Dis 36:989–995

    CAS  Article  PubMed  Google Scholar 

  46. Tsai MH, Pardoe HR, Perchyonok Y, Fitt GJ, Scheffer IE, Jackson GD, Berkovic SF (2013) Etiology of hippocampal sclerosis: evidence for a predisposing familial morphologic anomaly. Neurology 81(2):144–149

    PubMed Central  Article  PubMed  Google Scholar 

  47. Benbadis SR, Wallace J, Reed Murtagh F (2002) MRI evidence of mesial temporal sclerosis in subjects without seizures. Seizure. 11(5):340–343

    Article  PubMed  Google Scholar 

  48. Kumar R, Sachdev PS, Price JL, Rosenman S, Christensen H (2008) Incidental brain MRI abnormalities in 60- to 64-year-old community-dwelling individuals: data from the Personality and Total Health Through Life study. Acta Neuropsychiatr. 20(2):87–90

    Article  PubMed  Google Scholar 

  49. Hundsberger T, Rösler KM, Findling O (2014) Cessation and resuming of alglucosidase alfa in Pompe disease: a retrospective analysis. J Neurol. 261(9):1684–1690

    Article  PubMed  Google Scholar 

  50. Anderson LJ, Henley W, Wyatt KM, Nikolaou V, Waldek S, Hughes DA, Lachmann RH, Logan S (2014) Effectiveness of enzyme replacement therapy in adults with late-onset Pompe disease: results from the NCS-LSD cohort study. J Inherit Metab Dis. 37(6):945–952

    CAS  Article  PubMed  Google Scholar 

  51. Güngör D, Kruijshaar ME, Plug I, D’Agostino RB, Hagemans ML, van Doorn PA, Reuser AJ, van der Ploeg AT (2013) Impact of enzyme replacement therapy on survival in adults with Pompe disease: results from a prospective international observational study. Orphanet J Rare Dis. 27(8):49

    Article  Google Scholar 

  52. Orlikowski D, Pellegrini N, Prigent H, Laforêt P, Carlier R, Carlier P, Eymard B, Lofaso F, Annane D (2011) Recombinant human acid alpha-glucosidase (rhGAA) in adult patients with severe respiratory failure due to Pompe disease. Neuromuscul Disord 21(7):477–482

    Article  PubMed  Google Scholar 

  53. Vianello A, Semplicini C, Paladini L, Concas A, Ravaglia S, Servidei S, Toscano A, Mongini T, Angelini C, Pegoraro E (2013) Enzyme replacement therapy improves respiratory outcomes in patients with late-onset type II glycogenosis and high ventilator dependency. Lung 191(5):537–544

    CAS  Article  PubMed  Google Scholar 

  54. Furusawa Y, Mori-Yoshimura M, Yamamoto T, Sakamoto C, Wakita M, Kobayashi Y, Fukumoto Y, Oya Y, Fukuda T, Sugie H, Hayashi YK, Nishino I, Nonaka I, Murata M (2012) Effects of enzyme replacement therapy on five patients with advanced late-onset glycogen storage disease type II: a 2-year follow-up study. J Inherit Metab Dis 35(2):301–310

    CAS  Article  PubMed  Google Scholar 

  55. Schneider I, Hanisch F, Müller T, Schmidt B, Zierz S (2013) Respiratory function in late-onset Pompe disease patients receiving long-term enzyme replacement therapy for more than 48 months. Wien Med Wochenschr 163(1–2):40–44

    Article  PubMed  Google Scholar 

Download references

Conflicts of interest

Antonio Toscano has received from Genzyme-Sanofi grants and reimbursements for teaching courses and for the participation to the meetings of Global Advisory Board for Pompe Disease.

Ethical standard

This study was carried in accordance with ethical standard as set out in the Declaration of Helsinki.

Author information

Affiliations

Authors

Corresponding author

Correspondence to Federica Montagnese.

Rights and permissions

Reprints and Permissions

About this article

Verify currency and authenticity via CrossMark

Cite this article

Montagnese, F., Barca, E., Musumeci, O. et al. Clinical and molecular aspects of 30 patients with late-onset Pompe disease (LOPD): unusual features and response to treatment. J Neurol 262, 968–978 (2015). https://doi.org/10.1007/s00415-015-7664-0

Download citation

  • Received:

  • Revised:

  • Accepted:

  • Published:

  • Issue Date:

  • DOI: https://doi.org/10.1007/s00415-015-7664-0

Keywords

  • Pompe disease
  • ERT
  • Glycogen storage disease type 2
  • Metabolic myopathy