Skip to main content

How to identify stroke mimics in patients eligible for intravenous thrombolysis?

Abstract

Since decision-making for thrombolysis in acute stroke settings is restricted to a limited time window and based on clinical assessment and CT findings only, thrombolysis is sometimes applied to patients with a final diagnosis other than a stroke. From a prospectively collected stroke/MRI data bank (2004–2010) with 648 suspected ischemic stroke patients treated with rtPA, we identified patients without evidence of acute infarction on follow-up MRI and a final diagnosis other than a stroke or acute cerebrovascular event. We compared demographics, symptoms, complications, and outcome of patients with stroke mimics (SM) to those with acute infarction. In 42 patients, an SM was diagnosed: seizures in 20, conversion disorder in seven, dementia in six, migraine in three, brain tumor in two, and others in four patients. Patients with SM less often had typical stroke symptoms like dysarthria (p < 0.01), facial palsy (p < 0.001), hemiparesis (p < 0.001), horizontal gaze palsy (p < 0.001), and visuospatial neglect (p = 0.03), while aphasia (p = 0.004) and accompanying convulsions (p = 0.01) occurred more often. Independent predictors of SM were known cognitive impairment, aphasia, and accompanying convulsions. Thrombolysis-related complications (orolingual angioedema) occurred in one SM patient and none of the SM patients deteriorated clinically. Stroke mimics comprise neurological/psychiatric disorders and differ from ischemic stroke patients with regard to the clinical presentation at onset. This might be helpful in deciding which patients should undergo acute stroke MRI to rule out SM, facilitate treatment decisions, and reduce the risk of unnecessary therapy.

This is a preview of subscription content, access via your institution.

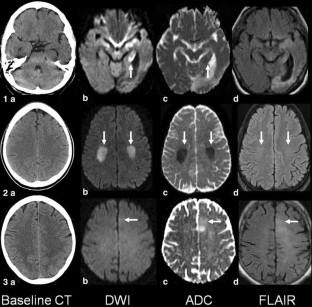
Fig. 1

References

  1. Hacke W, Kaste M, Fieschi C, Toni D, Lesaffre E, von Kummer R, Boysen G, Bluhmki E, Hoxter G, Mahagne MH (1995) Intravenous thrombolysis with recombinant tissue plasminogen activator for acute hemispheric stroke. The European Cooperative Acute Stroke Study (ECASS). JAMA 274:1017–1025

    PubMed  Article  CAS  Google Scholar 

  2. Hacke W, Kaste M, Fieschi C, von Kummer R, Davalos A, Meier D, Larrue V, Bluhmki E, Davis S, Donnan G, Schneider D, Diez-Tejedor E, Trouillas P (1998) Randomised double-blind placebo-controlled trial of thrombolytic therapy with intravenous alteplase in acute ischaemic stroke (ECASS II). Second European-Australasian Acute Stroke Study Investigators. Lancet 352:1245–1251

    PubMed  Article  CAS  Google Scholar 

  3. Hacke W, Kaste M, Bluhmki E, Brozman M, Davalos A, Guidetti D, Larrue V, Lees KR, Medeghri Z, Machnig T, Schneider D, von Kummer R, Wahlgren N, Toni D (2008) Thrombolysis with alteplase 3 to 4.5 hours after acute ischemic stroke. N Engl J Med 359:1317–1329

    PubMed  Article  CAS  Google Scholar 

  4. Tissue plasminogen activator for acute ischemic stroke. The National Institute of Neurological Disorders, Stroke rt-PA Stroke Study Group (1995) N Engl J Med 333:1581–1587

    Google Scholar 

  5. Clark WM, Wissman S, Albers GW, Jhamandas JH, Madden KP, Hamilton S (1999) Recombinant tissue-type plasminogen activator (Alteplase) for ischemic stroke 3 to 5 hours after symptom onset. The ATLANTIS Study: a randomized controlled trial. Alteplase Thrombolysis for Acute Noninterventional Therapy in Ischemic Stroke. JAMA 282:2019–2026

    PubMed  Article  CAS  Google Scholar 

  6. Clark WM, Albers GW, Madden KP, Hamilton S (2000) The rtPA (alteplase) 0- to 6-hour acute stroke trial, part A (A0276 g) : results of a double-blind, placebo-controlled, multicenter study. Thromblytic therapy in acute ischemic stroke study investigators. Stroke 31:811–816

    PubMed  Article  CAS  Google Scholar 

  7. Adams HP Jr, del Zoppo G, Alberts MJ, Bhatt DL, Brass L, Furlan A, Grubb RL, Higashida RT, Jauch EC, Kidwell C, Lyden PD, Morgenstern LB, Qureshi AI, Rosenwasser RH, Scott PA, Wijdicks EF (2007) Guidelines for the early management of adults with ischemic stroke: a guideline from the American Heart Association/American Stroke Association Stroke Council, Clinical Cardiology Council, Cardiovascular Radiology and Intervention Council, and the Atherosclerotic Peripheral Vascular Disease and Quality of Care Outcomes in Research Interdisciplinary Working Groups: the American Academy of Neurology affirms the value of this guideline as an educational tool for neurologists. Stroke 38:1655–1711

    PubMed  Article  Google Scholar 

  8. European Stroke Organisation (ESO) Executive Committee; ESO Writing Committee (2008) Guidelines for management of ischaemic stroke and transient ischaemic attack 2008. Cerebrovasc Dis 25:457–507

    Article  Google Scholar 

  9. Sylaja PN, Cote R, Buchan AM, Hill MD (2006) Thrombolysis in patients older than 80 years with acute ischaemic stroke: Canadian Alteplase for Stroke Effectiveness Study. J Neurol Neurosurg Psychiatry 77:826–829

    PubMed  Article  CAS  Google Scholar 

  10. Köhrmann M, Nowe T, Huttner HB, Engelhorn T, Struffert T, Kollmar R, Saake M, Doerfler A, Schwab S, Schellinger PD (2009) Safety and outcome after thrombolysis in stroke patients with mild symptoms. Cerebrovasc Dis 27:160–166

    PubMed  Article  Google Scholar 

  11. De Keyser J, Gdovinova Z, Uyttenboogaart M, Vroomen PC, Luijckx GJ (2007) Intravenous alteplase for stroke: beyond the guidelines and in particular clinical situations. Stroke 38:2612–2618

    PubMed  Article  Google Scholar 

  12. Chatzikonstantinou A, Förster A, Hennerici MG, Bäzner H (2011) From the stroke unit to the stroke competence center: corresponding beneficial clinical and financial effects. J Neurol 258:1929–1932

    PubMed  Article  CAS  Google Scholar 

  13. Scott PA, Silbergleit R (2003) Misdiagnosis of stroke in tissue plasminogen activator-treated patients: characteristics and outcomes. Ann Emerg Med 42:611–618

    PubMed  Article  Google Scholar 

  14. Winkler DT, Fluri F, Fuhr P, Wetzel SG, Lyrer PA, Ruegg S, Engelter ST (2009) Thrombolysis in stroke mimics: frequency, clinical characteristics, and outcome. Stroke 40:1522–1525

    PubMed  Article  Google Scholar 

  15. Chernyshev OY, Martin-Schild S, Albright KC, Barreto A, Misra V, Acosta I, Grotta JC, Savitz SI (2010) Safety of tPA in stroke mimics and neuroimaging-negative cerebral ischemia. Neurology 74:1340–1345

    PubMed  Article  CAS  Google Scholar 

  16. Chen Y, Bogosavljevic V, Leys D, Jovanovic D, Beslac-Bumbasirevic L, Lucas C (2011) Intravenous thrombolytic therapy in patients with stroke mimics: baseline characteristics and safety profile. Eur J Neurol 18:1246–1250

    PubMed  Article  CAS  Google Scholar 

  17. Tsivgoulis G, Alexandrov AV, Chang J, Sharma VK, Hoover SL, Lao AY, Liu W, Stamboulis E, Alexandrov AW, Malkoff MD, Frey JL (2011) Safety and outcomes of intravenous thrombolysis in stroke mimics: a 6-year, single-care center study and a pooled analysis of reported series. Stroke 42:1771–1774

    PubMed  Article  Google Scholar 

  18. Vroomen PC, Buddingh MK, Luijckx GJ, De Keyser J (2008) The incidence of stroke mimics among stroke department admissions in relation to age group. J Stroke Cerebrovasc Dis 17:418–422

    PubMed  Article  Google Scholar 

  19. Hand PJ, Kwan J, Lindley RI, Dennis MS, Wardlaw JM (2006) Distinguishing between stroke and mimic at the bedside: the brain attack study. Stroke 37:769–775

    PubMed  Article  Google Scholar 

  20. Uchino K, Massaro L, Hammer MD (2010) Transient ischemic attack after tissue plasminogen activator: aborted stroke or unnecessary stroke therapy? Cerebrovasc Dis 29:57–61

    PubMed  Article  CAS  Google Scholar 

Download references

Conflicts of interest

The authors have no conflicts of interest related to the present study.

Author information

Affiliations

Authors

Corresponding author

Correspondence to A. Förster.

Rights and permissions

Reprints and Permissions

About this article

Cite this article

Förster, A., Griebe, M., Wolf, M.E. et al. How to identify stroke mimics in patients eligible for intravenous thrombolysis?. J Neurol 259, 1347–1353 (2012). https://doi.org/10.1007/s00415-011-6354-9

Download citation

  • Received:

  • Revised:

  • Accepted:

  • Published:

  • Issue Date:

  • DOI: https://doi.org/10.1007/s00415-011-6354-9

Keywords

  • Stroke
  • Stroke mimics
  • rtPA
  • Thrombolysis