Skip to main content

Isolated thalamic agraphia with impaired grapheme formation and micrographia

Abstract

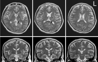
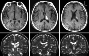
Two patients with isolated thalamic agraphia are described. Both showed kanji (Japanese morphograms) agraphia due to impaired character recall, grapheme deformity and micrographia (progressive reduction in character size during writing) after a lesion that involved the ventral lateral and ventroposterolateral nuclei. Single photon emission computed tomography with a 99mTc-ethylcysteinate dimer revealed hypoperfusion in the left precentral gyrus (Brodmann Area 6) and anterior supramarginal gyrus in both. Six months later, the extent of blood flow reduction decreased in the supramarginal gyrus in both patients and the precentral gyrus in patient 1. By this time, the writing impairment improved to nearly the normal range. Our study suggests that kanji agraphia (corresponding to lexical agraphia in Western countries) with poor grapheme formation and micrographia arises from a lesion in the ventral lateral and ventroposterolateral nuclei in the left thalamus. The accompaniment of poor grapheme formation and micrographia may reflect disruption of the cortico-subcortical motor circuit involving the putamen, thalamus, premotor cortex and sensorimotor cortex. It is also suggested that multiple cortical sites can be a target for secondary dysfunction that yields agraphia in a thalamic lesion, and that the recovery of reduced cortical blood flow does not always proceed in parallel with that of agraphia.

This is a preview of subscription content, access via your institution.

Fig. 1
Fig. 2
Fig. 3
Fig. 4
Fig. 5

References

  1. Carrera E, Bogousslavsky J (2006) The thalamus and behavior: effects of anatomically distinct strokes. Neurology 66:1817–1823

    PubMed  Article  Google Scholar 

  2. Aiba E, Souma Y, Aiba T, Kulita I, Kishida K (1991) Two cases of pure agraphia developed after thalamic hemorrhage. No To Shinkei 43:275–281 (in Japanese)

    PubMed  CAS  Google Scholar 

  3. Ohno T, Bando M, Nagura H, Ishii K, Yamanouchi H (2000) Apraxic agraphia due to thalamic infarction. Neurology 54:2336–2339

    PubMed  CAS  Google Scholar 

  4. Sugishita M, Ishijima B, Hori T, Fukushima T, Iwata M (1973) “Pure” agraphia after the left CM-thalamotomy. Rinsho Shinkeigaku 13:568–573 (in Japanese)

    PubMed  CAS  Google Scholar 

  5. Araki S, Kawamura M, Isono O, Honda H, Shiota J, Hirayama K (1990) Reading and writing deficit in cases of localized infarction of the left anterior thalamus. No To Shinkei 42:65–72 (in Japanese)

    PubMed  CAS  Google Scholar 

  6. Sakurai Y, Sakai K, Sakuta M, Iwata M (1994) Naming difficulties in alexia with agraphia for kanji after a left posterior inferior temporal lesion. J Neurol Neurosurg Psychiatry 57:609–613

    PubMed  Article  CAS  Google Scholar 

  7. Sakurai Y, Matsumura K, Iwatsubo T, Momose T (1997) Frontal pure agraphia for kanji or kana: dissociation between morphology and phonology. Neurology 49:946–952

    PubMed  CAS  Google Scholar 

  8. Matsuda H, Mizumura S, Soma T, Takemura N (2004) Conversion of brain SPECT images between different collimators and reconstruction processes for analysis using statistical parametric mapping. Nucl Med Commun 25:67–74

    PubMed  Article  CAS  Google Scholar 

  9. Friston KJ, Holmes AP, Worsley KJ, Poline J-P, Frith CD, Frackowiak RSJ (1995) Statistical parametric maps in functional imaging: a general linear approach. Hum Brain Mapp 2:189–210

    Article  Google Scholar 

  10. Beauvois M-F, Dérouesné J (1981) Lexical or orthographic agraphia. Brain 104:21–49

    PubMed  Article  CAS  Google Scholar 

  11. Alexander MP, Fischer RS, Friedman R (1992) Lesion localization in apractic agraphia. Arch Neurol 49:246–251

    PubMed  CAS  Google Scholar 

  12. Sakurai Y, Onuma Y, Nakazawa G, Ugawa Y, Momose T, Tsuji S, Mannen T (2007) Parietal dysgraphia: characterization of abnormal writing stroke sequences, character formation and character recall. Behav Neurol 18:99–114

    PubMed  Google Scholar 

  13. Otsuki M, Soma Y, Arai T, Otsuka A, Tsuji S (1999) Pure apraxic agraphia with abnormal writing stroke sequences: report of a Japanese patient with a left superior parietal haemorrhage. J Neurol Neurosurg Psychiatry 66:233–237

    PubMed  Article  CAS  Google Scholar 

  14. Standring S (2005) Gray’s anatomy, 39th edn. Elsevier, Edinburgh

    Google Scholar 

  15. Benabid AL, Pollak P, Gervason C, Hoffmann D, Gao DM, Hommel M et al (1991) Long-term suppression of tremor by chronic stimulation of the ventral intermediate thalamic nucleus. Lancet 337:403–406

    PubMed  Article  CAS  Google Scholar 

  16. Pullicino P, Lichter D, Benedict R (1994) Micrographia with cognitive dysfunction: “minimal” sequelae of a putaminal infarct. Mov Disord 9:371–373

    PubMed  Article  CAS  Google Scholar 

  17. Troyer AK, Black SE, Armilio ML, Moscovitch M (2004) Cognitive and motor functioning in a patient with selective infarction of the left basal ganglia: evidence for decreased non-routine response selection and performance. Neuropsychologia 42:902–911

    PubMed  Article  Google Scholar 

  18. Yoshida T, Yamadori A, Mori E (1989) A case of micrographia with the right hand due to left putaminal infarction. Rinsho Shinkeigaku 29:1149–1151 (in Japanese)

    PubMed  CAS  Google Scholar 

  19. Kim JS, Im JH, Kwon SU, Kang JH, Lee MC (1998) Micrographia after thalamo-mesencephalic infarction: evidence of striatal dopaminergic hypofunction. Neurology 51:625–627 (comment and author reply in Neurology 52:1921–1922)

    PubMed  CAS  Google Scholar 

  20. Lewitt PA (1983) Micrographia as a focal sign of neurological disease. J Neurol Neurosurg Psychiatry 46:1152–1153

    PubMed  Article  CAS  Google Scholar 

  21. Pick A (1903) Ueber eine eigenthümliche Schreibstörung, Mikrographie, in Folge cerebraler Erkrankung. Prag Med Wochenschr 28:1–4

    Google Scholar 

  22. DeLong MR, Alexander GE, Georgopoulos AP, Crutcher MD, Mitchell SJ, Richardson RT (1984) Role of basal ganglia in limb movements. Hum Neurobiol 2:235–244

    PubMed  CAS  Google Scholar 

  23. Sakurai Y, Asami M, Mannen T (2010) Alexia and agraphia with lesions of the angular and supramarginal gyri: evidence for the disruption of sequential processing. J Neurol Sci 288:25–33

    PubMed  Article  Google Scholar 

  24. Sakurai Y, Takeuchi S, Takada T, Horiuchi E, Nakase H, Sakuta M (2000) Alexia caused by a fusiform or posterior inferior temporal lesion. J Neurol Sci 178:42–51

    PubMed  Article  CAS  Google Scholar 

  25. Scolding NJ, Lees AJ (1994) Micrographia associated with a parietal lobe lesion in multiple sclerosis. J Neurol Neurosurg Psychiatry 57:739–741

    PubMed  Article  CAS  Google Scholar 

Download references

Conflict of interest

The authors declare that they have no conflict of interest.

Author information

Affiliations

Authors

Corresponding author

Correspondence to Yasuhisa Sakurai.

Rights and permissions

Reprints and Permissions

About this article

Cite this article

Sakurai, Y., Yoshida, Y., Sato, K. et al. Isolated thalamic agraphia with impaired grapheme formation and micrographia. J Neurol 258, 1528–1537 (2011). https://doi.org/10.1007/s00415-011-5981-5

Download citation

  • Received:

  • Revised:

  • Accepted:

  • Published:

  • Issue Date:

  • DOI: https://doi.org/10.1007/s00415-011-5981-5

Keywords

  • Apraxic agraphia
  • Pure agraphia
  • Alexia with agraphia
  • Kanji
  • Kana
  • Chinese characters