Skip to main content

Diffuse cerebellar MR imaging changes in anti-Yo positive paraneoplastic cerebellar degeneration

This is a preview of subscription content, access via your institution.

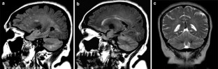
Fig. 1

References

  1. Dalmau J, Rosenfeld MR (2008) Paraneoplastic syndromes of the CNS. Lancet Neurol 7:327–340

    Article  PubMed  Google Scholar 

  2. de Andrés C, Esquivel A, de Villoria JG, Graus F, Sánchez-Ramón S (2006) Unusual MRI and CSF findings in paraneoplastic cerebellar degeneration: a sequential study. J Neurol Neurosurg Psychiatry 77:562–563

    Article  PubMed  Google Scholar 

  3. Giometto B, Marchiori GC, Nicolao P, Scaravilli T, Lion A, Bardin PG, Tavolato B (1997) Sub-acute cerebellar degeneration with anti-Yo autoantibodies: immunohistochemical analysis of the immune reaction in the central nervous system. Neuropathol Appl Neurobiol 23:468–474

    Article  CAS  PubMed  Google Scholar 

  4. McHugh JC, Tubridy N, Collins CD, Hutchinson M (2008) Unusual MRI abnormalities in anti-Yo positive “pure” paraneoplastic cerebellar degeneration. J Neurol 255:138–139

    Article  PubMed  Google Scholar 

  5. Peterson K, Rosenblum MK, Kotanides H, Posner JB (1992) Paraneoplastic cerebellar degeneration: 1. A clinical analysis of 55 anti-Yo antibody-positive patients. Neurology 42:1931–1937

    CAS  PubMed  Google Scholar 

  6. Rees JH (2006) Paraneoplastic cerebellar degeneration: new insights into imaging and immunology. J Neurol Neurosurg Psychiatry 77:427

    Article  CAS  PubMed  Google Scholar 

Download references

Author information

Affiliations

Authors

Corresponding author

Correspondence to Christopher P. Gilmore.

Rights and permissions

Reprints and Permissions

About this article

Cite this article

Gilmore, C.P., Elliott, I., Auer, D. et al. Diffuse cerebellar MR imaging changes in anti-Yo positive paraneoplastic cerebellar degeneration. J Neurol 257, 490–491 (2010). https://doi.org/10.1007/s00415-009-5407-9

Download citation

  • Received:

  • Revised:

  • Accepted:

  • Published:

  • Issue Date:

  • DOI: https://doi.org/10.1007/s00415-009-5407-9

Keywords

  • Cerebellar Cortex
  • Cerebellar Hemisphere
  • Cerebellar Atrophy
  • Breast Adenocarcinoma
  • Diffuse Signal