Abstract
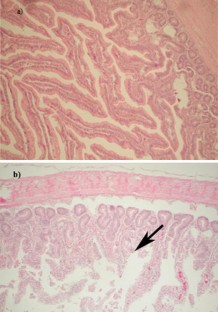
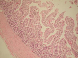
The use of phosphate mineral products in animal nutrition, as a major source of phosphor and calcium, can lead to uranium entering the food chain. The aim of the present study was to determine the protective effect of natural sepiolite and sepiolite treated with acid for broilers after oral intake of uranium. The broilers were contaminated for 7 days with 25 mg/uranyl nitrate per day. Two different adsorbents (natural sepiolite and sepiolite treated with acid) were given via gastric tube immediately after the oral administration of uranium. Natural sepiolite reduced uranium distribution by 57 % in kidney, 80 % in liver, 42 % in brain, and 56 % in muscle. A lower protective effect was observed after the administration of sepiolite treated with acid, resulting in significant damage of intestinal villi in the form of shortening, fragmentation, and necrosis, and histopathological lesions on kidney in the form of edema and abruption of epithelial cells in tubules. When broilers received only sepiolite treated with acid (no uranyl nitrate), shortening of intestinal villi occurred. Kidney injuries were evident when uranium concentrations in kidney were 0.88 and 1.25 µg/g dry weight. It is concluded that adding of natural sepiolite to the diets of broilers can reduce uranium distribution in organs by significant amount without adverse side effects.




Similar content being viewed by others
References
Angulo E, Brufau J, Esteve-Garcia E (1996) Effect of sepiolite product on pellet durability in pig diets in particle size and in broiler starter and finisher diets. Anim Feed Sci Technol 63:25–34
Arruda-Neto JDT, Tavares MV, Filadelfo M (1997) Concentrations of uranium in animal feed supplements: measurements and dose estimates. J Radioanal Nucl Chem 221:97–104
Arruda-Neto JDT, Cestari AC, Nogueira GP, Fonseca LEC, Saiki M, Oliveira E, Manso-Guevara MV, Vanin VR, Deppman A, Mesa GF (2005) Metabolical aspects associated with incorporation and clearance of uranium by broilers—case study and a biophysical approach. Int J Poult Sci 4:511–517
Arruda-Neto JDT, Cavalcante GT, Nogueira GP, Rodrigues TE, Fonseca LEC, Saiki M, Genofre GC (2014) Uranium metabolism associated with ontogenetic growth of birds—case studies with broilers and ducks. Adv Biosci Biotechnol 5:768–776
Ayed MH, Zghal I, Rekik B (2008) Effect of sepiolite supplementation on broiler growth performances and carcass yield. In: Proceedings, Western Section, American Society of Animal Science, vol 59. pp 169–172
Casacuberta N, Masquéa P, Garcia-Orellana J, Bruach JM, Anguita M, Gasa J, Villa M, Hurtado S, Garcia-Tenorio R (2009) Radioactivity contents in dicalcium phosphate and the potential radiological risk to human populations. J Hazard Mat 170:814–823
Denbow D (2000) Gastrointestinal anatomy and physiology. In: Whittow G (ed) Sturkie’s avian physiology. Academic PressUniversity of Hawaii at Manoa, Honolulu, pp 299–325
Diamond GL, Morrow PE, Panner BJ, Gelein RM, Baggs RB (1989) Reversible uranyl fluoride nephrotoxicity in the Long Evans rat. Fundam Appl Toxicol 13:65–78
Donat R (2009) The removal of uranium (VI) from aqueous solutions onto natural sepiolite. J Chem Thermodyn 41(7):829–835
Donat R, Aytas S (2005) Adsorption and thermodynamic behavior of uranium (VI) on Ulva sp.-Na bentonite composite adsorbent. J Radioanal Nucl Chem 1:107–114
Dublineau I, Grison S, Grandcolas L, Baudelin C, Tessier C, Suhard D, Frelon S, Cossonnet C, Claraz M, Ritt J, Paquet P, Voisin P, Gourmelon P (2006) Absorption, accumulation and biological effects of depleted uranium in Peyer’s patches of rats. Toxicology 227(3):227–239
Gilman AP, Moss MA, Villeneuve DC, Secours VE, Yagminas AP, Tracy BL, Quinn JM, Long G, Vallit VE (1998a) Uranyl nitrate: 91-day exposure and recovery studies in the male New Zealand white rabbit. Toxicol Sci 41:138–151
Gilman AP, Villeneuve DC, Secours VE, Yagminas AP, Tracy BL, Quinn JM, Valli VE, Moss MA (1998b) Uranyl nitrate: 91-day toxicity studies in the New Zealand white rabbits. Toxicol Sci 41:129–137
Gilman AP, Villeneuve DC, Secours VE, Yagminas AP, Tracy BL, Quinn JM, Valli VE, Willes RJ, Moss MA (1998c) Uranyl nitrate: 28-day and 91-day toxicity studies in the Sprague–Dawley rat. Toxicol Sci 41:117–128
Homma-Takeda S, Terada Y, Nakata A, Sahoo SK, Yoshida S, Ueno S, Inoue M, Iso H, Ishikawa T, Konishi T, Imaseki H, Shimada Y (2009) Elemental imaging in kidney of adult rats exposed to uranium acetate. Nucl Inst Methods Phys Res B 267:2167–2170
International Atomic Energy Agency (IAEA) (2010) Handbook of Parameter Values for the Prediction of Radionuclide Transfer in Terrestrial and Freshwater Environments, Technical Reports Series No. 472, p 194
International Commission for Radiation Protection (ICRP) (1996) Age-dependent doses to members of the public from intake of radionuclides: Part 4 inhalation dose coefficients. Publication 72 Annals of the ICRP Pergamon Press, Oxford, UK
Jeambrun M, Pourcelot L, Mercat C, Boulet B, Loyen J, Cagnat X, Gauthier-Lafaye F (2012) Study on transfers of uranium, thorium and decay products from grain, water and soil to chicken meat and egg contents. J Environ Monit 14:2170–2180
Karovic D, Djermanovic V, Mitrovic S, Radovic V, Okanovic D, Filipovic S, Djekic V (2013) The effect of mineral adsorbents in poultry production. Worlds Poult Sci J 69:335–342
Keith S, Faroon O, Roney N, Scinicariello F, Wilbur Sh, Ingerman L, Llados F, Plewak D, Wohlers D, Diamond G (2013) Toxicological profile for uranium. Agency for Toxic Substances and Disease Registry (ATSDR) (US), Atlanta
Kilislioglu A, Aras G (2010) Adsorption of uranium from aqueous solution on heat and acid treated sepiolites. Appl Radiat Isot 68:2016–2019
Klasing KC (1999) Avian gastrointestinal anatomy and physiology. Semin Avian Exot Pet Med 8(2):42–50
Kurttio P, Auvinen A, Salonen L, Saha H, Pekkanen J, Mäkeläinen I, Väisänen SB, Penttilä IM, Komulainen H (2002) Renal effects of uranium in drinking water. Environ Health Perspect 110:337–342
Lazarević S, Janković-Častvan I, Jovanović D, Milonjić S, Janaćković Đ, Petrović R (2007) Sorption of Pb2+, Cd2+ and Sr2+ ions on the natural and acid-activated sepiolites. Appl Clay Sci 37(1–2):47–57
Lazarević S, Radovanović Ž, Veljović DJ, Onjia A, Janaćković DJ, Petrović R (2009) Characterization of sepiolite by inverse gas chromatography at infinite and finite surface coverage. App Clay Sci 43:41–48
Mitrović B, Vitorović G, Vićentijević M, Vitorović D, Pantelić G, Lazarević Macanović M (2012) Comparative study of 137Cs distribution in broilers and pheasants and possibilities for protection. Radiat Environ Biophys 51:79–84
Mitrović B, Vitorović G, Jovanović M, Lazarević-Macanović M, Andrić V, Stojanović M, Daković A, Vitorović D (2014) Uranium distribution in broiler organs and possibilities for protection. Radiat Environ Biophys 53:151–157
Official Gazette of Republic of Serbia (2011, 2013) Rulebook on limits of radionuclides content in drinking water, foodstuffs, feeding stuffs, medicines, general use products, construction materials and other goods that are put on market. Publication No. 86/11 from 18.11.2011. and 97/13 from 6.11.2013. Available on: http://www.srbatom.gov.rs/srbatom/zakonska-regulativa.htm
Oguz H (2011) A review from experimental trials on detoxification of aflatoxin in poultry feed. Eurasian J Vet Sci 27(1):1–12
Ouhida I, Pérez JF, Piedrafita J, Gasa J (2000) The effects of sepiolite in broiler chicken diets of high, medium and low viscosity. Productive performance and nutritive value. Anim Feed Sci Technol 85:183–194
Papaioannou D, Katsoulos PD, Panousis N, Karatzias H (2005) The role of natural and synthetic zeolites as feed additives on the prevention and/or the treatment of certain farm animal diseases: a review. Microporous Mesoporous Mater 84:161–170
Rizzi L, Simioli M, Roncada P, Zaghini A (2003) Aflatoxin B1 and clinoptilolite in feed for laying hens: effects on egg quality mycotoxin residues in livers and hepatic mixed-function oxygenase activities. J Food Prot 66:860–865
Roessler CE (1990) Control of radium in phosphate mining, beneficiation and chemical processing. The Environmental Behavior of Radium, vol. 2, Technical Report Series No. 310, IAEA Vienna, pp 269–279
Stojanović M, Stevanović D, Milojković J, Grubišić M, Ileš D (2010) Phytotoxic effect of the uranium on the growing up and development the plant of corn. Water Air Soil Pollut 209:401–410
Sullivan MF, Gorham LS (1982) Further studies on the absorption of actinide elements from the gastrointestinal tract of neonatal animals. Health Phys 43:509–519
Tortuero F, Fernandez Gonzalez E, Martin ML (1992) Effects of dietary sepiolite on the growth, visceral measurements and food passage in chickens. Arch Zootec 41:209–217
Vicente-Vicente L, Quiros Y, Pérez-Barriocanal F, López-Novoa JM, López Hernández FJ, Morales AI (2010) Nephrotoxicity of uranium: pathophysiological diagnostic and therapeutic perspectives. Toxicol Sci 118(2):324–347
Acknowledgments
This work was supported by the Ministry of Education, Science and Technological Development of Serbia, in the frame of Innovation Project No. 451-03-2802/2013-16/160 and Projects No. TR 31003 and TR 34013.
Author information
Authors and Affiliations
Corresponding author
Rights and permissions
About this article
Cite this article
Mitrović, B.M., Jovanović, M., Lazarević-Macanović, M. et al. Efficiency of sepiolite in broilers diet as uranium adsorbent. Radiat Environ Biophys 54, 217–224 (2015). https://doi.org/10.1007/s00411-015-0589-2
Received:
Accepted:
Published:
Issue Date:
DOI: https://doi.org/10.1007/s00411-015-0589-2


