Abstract
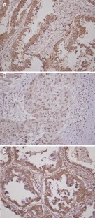
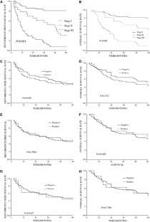
Clusterin is an enigmatic glycoprotein with a nearly ubiquitous tissue distribution. It plays important roles in various pathophysiological processes, including tissue remodeling, reproduction, lipid transport, complement regulation, and apoptosis. Clusterin appears to have two main isoforms that result from alternative splicing. The secreted and nuclear forms of clusterin have been reported to play different roles in human malignancies. The purpose of this study was to examine clusterin immunoexpression and its clinical significance in a group of Chinese patients with non-small cell lung cancer (NSCLC). Tissue samples from the primary tumors of 121 patients with completely resected NSCLC were obtained. Clusterin protein expression was evaluated by immunohistochemical staining with an antibody against all clusterin isoforms. Staining patterns were observed and graded based on intensity and density and were correlated with clinical and pathological data. Both cytoplasmic and nuclear clusterin immunostaining patterns were observed. Clusterin staining was observed only in the cytoplasm in 70 patients (57.9%), only in the nucleus in 27 patients (22.3%), and in both the cytoplasm and nucleus in 16 patients (13.2%). A significant association was observed between positive cytoplasmic clusterin expression and histologic type as indicated by adenocarcinomas that were more likely to have clusterin staining only in the cytoplasm. Clusterin immunostaining was neither associated with recurrence-free survival (RFS) nor overall survival of patients by univariate or multivariate analysis. For patients undergoing chemotherapy, those with only cytoplasmic clusterin staining had worse survival than other patients. In conclusion, both cytoplasmic and nuclear immunostaining patterns of clusterin were detected in the tumors of patients with NSCLC. Adenocarcinomas were more likely to have only cytoplasmic staining. The immunoexpression of clusterin was not associated with prognosis, and cytoplasm-only immunostaining of clusterin was inversely correlated with chemosensitivity in this group of patients.



Similar content being viewed by others
Explore related subjects
Discover the latest articles and news from researchers in related subjects, suggested using machine learning.References
Rosenberg ME, Silkensen J (1995) Clusterin: physiologic and pathophysiologic considerations. Int J Biochem Cell Biol 27:633–645
Lakins J, Bennett SA, Chen JH et al (1998) Clusterin biogenesis is altered during apoptosis in the regressing rat ventral prostate. J Biol Chem 273:27887–27895
Reddy KB, Jin G, Karode MC, Harmony JA, Howe PH (1996) Transforming growth factor beta (TGF beta)-induced nuclear localization of apolipoprotein J/clusterin in epithelial cells. Biochemistry 35:6157–6163
Yang CR, Leskov K, Hosley-Eberlein K et al (2000) Nuclear clusterin/XIP8, an x-ray-induced Ku70-binding protein that signals cell death. Proc Natl Acad Sci USA 97:5907–5912
Gleave ME, Miyake H, Zellweger T et al (2001) Use of antisense oligonucleotides targeting the antiapoptotic gene, clusterin/testosterone-repressed prostate message 2, to enhance androgen sensitivity and chemosensitivity in prostate cancer. Urology 58:39–49
Miyake H, Hara I, Kamidono S, Gleave ME (2001) Synergistic chemosensitization and inhibition of tumor growth and metastasis by the antisense oligodeoxynucleotide targeting clusterin gene in a human bladder cancer model. Clin Cancer Res 7:4245–4252
Criswell T, Klokov D, Beman M, Lavik JP, Boothman DA (2003) Repression of IR-inducible clusterin expression by the p53 tumor suppressor protein. Cancer Biol Ther 2:372–380
Debure L, Vayssiere JL, Rincheval V, Loison F, Le Drean Y, Michel D (2003) Intracellular clusterin causes juxtanuclear aggregate formation and mitochondrial alteration. J Cell Sci 116:3109–3121
O’Sullivan J, Whyte L, Drake J, Tenniswood M (2003) Alterations in the post-translational modification and intracellular trafficking of clusterin in MCF-7 cells during apoptosis. Cell death Differ 10:914–927
Scaltriti M, Santamaria A, Paciucci R, Bettuzzi S (2004) Intracellular clusterin induces G2-M phase arrest and cell death in PC-3 prostate cancer cells. Cancer Res 64:6174–6182
Cao C, Shinohara ET, Li H et al (2005) Clusterin as a therapeutic target for radiation sensitization in a lung cancer model. Int J Radiat Oncol Biol Phys 63:1228–1236
Landis SH, Murray T, Bolden S, Wingo PA (1998) Cancer statistics, 1998. CA Cancer J Clin 48:6–29
Albert JM, Gonzalez A, Massion PP et al (2007) Cytoplasmic clusterin expression is associated with longer survival in patients with resected non-small cell lung cancer. Cancer Epidemiol Biomarkers Prev 16:1845–1851
Kang YK, Hong SW, Lee H, Kim WH (2004) Overexpression of clusterin in human hepatocellular carcinoma. Hum Pathol 35:1340–1346
Kurahashi T, Muramaki M, Yamanaka K, Hara I, Miyake H (2005) Expression of the secreted form of clusterin protein in renal cell carcinoma as a predictor of disease extension. BJU Int 96:895–899
Miyake H, Muramaki M, Kurahashi T et al (2006) Expression of clusterin in prostate cancer correlates with Gleason score but not with prognosis in patients undergoing radical prostatectomy without neoadjuvant hormonal therapy. Urology 68:609–614
Redondo M, Villar E, Torres-Munoz J, Tellez T, Morell M, Petito CK (2000) Overexpression of clusterin in human breast carcinoma. Am J Pathol 157:393–399
Kruger S, Mahnken A, Kausch I, Feller AC (2006) Value of clusterin immunoreactivity as a predictive factor in muscle-invasive urothelial bladder carcinoma. Urology 67:105–109
Miyake H, Yamanaka K, Muramaki M, Kurahashi T, Gleave M, Hara I (2005) Enhanced expression of the secreted form of clusterin following neoadjuvant hormonal therapy as a prognostic predictor in patients undergoing radical prostatectomy for prostate cancer. Oncol Rep 14:1371–1375
Xie MJ, Motoo Y, Su SB et al (2002) Expression of clusterin in human pancreatic cancer. Pancreas 25:234–238
Djeu JY, Wei S (2009) Clusterin and chemoresistance. Adv Cancer Res 105:77–92
Zellweger T, Miyake H, July LV, Akbari M, Kiyama S, Gleave ME (2001) Chemosensitization of human renal cell cancer using antisense oligonucleotides targeting the antiapoptotic gene clusterin. Neoplasia 3:360–367
Zellweger T, Miyake H, Cooper S et al (2001) Antitumor activity of antisense clusterin oligonucleotides is improved in vitro and in vivo by incorporation of 2′-O-(2-methoxy)ethyl chemistry. J Pharmacol Exp Ther 298:934–940
So A, Sinnemann S, Huntsman D, Fazli L, Gleave M (2005) Knockdown of the cytoprotective chaperone, clusterin, chemosensitizes human breast cancer cells both in vitro and in vivo. Mol Cancer Ther 4:1837–1849
July LV, Beraldi E, So A et al (2004) Nucleotide-based therapies targeting clusterin chemosensitize human lung adenocarcinoma cells both in vitro and in vivo. Mol Cancer Ther 3:223–232
Acknowledgments
This research was sponsored in part by National Natural Science Foundation of China Grant 30600756 (to H.L.), Shanghai Rising-Star Program (type 07QA14011, to H.L), and Youth Foundation Grant 05L-A-11 from Fudan University (to H.L.).
Conflict of Interest Statement
The authors declare that there is no conflict of interest.
Author information
Authors and Affiliations
Corresponding authors
Rights and permissions
About this article
Cite this article
Li, H., Liu, S., Zhu, X. et al. Clusterin Immunoexpression and its Clinical Significance in Patients with Non-Small Cell Lung Cancer. Lung 188, 423–431 (2010). https://doi.org/10.1007/s00408-010-9248-1
Received:
Accepted:
Published:
Issue Date:
DOI: https://doi.org/10.1007/s00408-010-9248-1

