Skip to main content

Rapid-maxillary-expansion induced rhinological effects: a retrospective multicenter study

Abstract

Conventional dental-borne rapid maxillary expansion (RME) leads to a widening of the airways, followed by improved nasal breathing. Although combined skeletal–dental appliances are nowadays being inserted increasingly often and provide a force at the center of resistance in the nasomaxillary complex, no study exists so far that shows whether this treatment may improve the expansionary effect on the airways. In this study, low-dose computed tomography (CT) images from 31 patients (average age 14.63 ± 0.38 years) were examined retrospectively. Both records (T0 = before expansion and T1 = immediately after maximum expansion) were taken in a time interval of 25 days to avoid growth influence. Five patients were treated with Hyrax RME, 6 patients with Hybrid RME, and 20 patients with acrylic cap RME. The total airway volume increased highly significantly (mean +7272.6 mm3; P < 0.001, power = 0.998), representing an average airway expansion of +11.54 % (2.35 %/mm activation). While the nasopharynx and oropharynx showed highly significant expansion (P < 0.000, power = 0.999), the airway at the laryngopharynx did not change significantly (P > 0.779, power = 0.05). Although the patients were significantly older in the Hybrid RME group (P = 0.006), the positive rhinological effects were comparable within all groups of different appliances (P > 0.316). Hybrid RME may, therefore, be an advisable procedure in patients with nasomaxillary impairment and pronounced patient’s age.

This is a preview of subscription content, access via your institution.

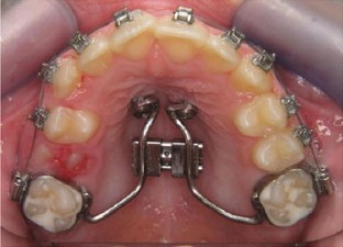
Fig. 1
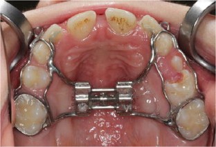
Fig. 2
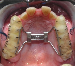
Fig. 3
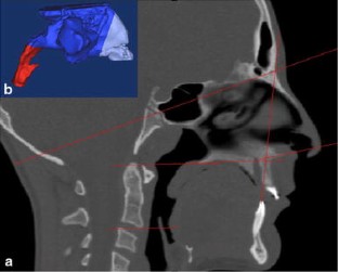
Fig. 4
Fig. 5
Fig. 6

References

  1. Gray LP (1975) Results of 310 cases of rapid maxillary expansion selected for medical reasons. J Laryngol Otol 89(6):601–614

    Article  CAS  PubMed  Google Scholar 

  2. Bicakci AA, Agar U, Sokucu O, Babacan H, Doruk C (2005) Nasal airway changes due to rapid maxillary expansion timing. Angle Orthodontist 75(1):1–6. doi:10.1043/0003-3219(2005)075<0001:NACDTR>2.0.CO;2

    PubMed  Google Scholar 

  3. Woller JL, Kim KB, Behrents RG, Buschang PH (2014) An assessment of the maxilla after rapid maxillary expansion using cone beam computed tomography in growing children. Dental Press J Orthodontics 19(1):26–35

    Article  Google Scholar 

  4. Korbmacher H, Huck L, Merkle T, Kahl-Nieke B (2005) Clinical profile of rapid maxillary expansion–outcome of a national inquiry. J Orofacial Orthop Fortschritte der Kieferorthopadie Organ/Off J Deutsche Gesellschaft fur Kieferorthopadie 66(6):455–468. doi:10.1007/s00056-005-0440-5

    Article  Google Scholar 

  5. Bazargani F, Feldmann I, Bondemark L (2013) Three-dimensional analysis of effects of rapid maxillary expansion on facial sutures and bones. Angle Orthodontist 83(6):1074–1082. doi:10.2319/020413-103.1

    Article  PubMed  Google Scholar 

  6. Timms DJ (1990) Rapid maxillary expansion in the treatment of nocturnal enuresis. Angle Orthodontist 60(3):229–233. doi:10.1043/0003-3219(1990)060<0229:RMEITT>2.0.CO;2 (discussion 234)

    CAS  PubMed  Google Scholar 

  7. Basciftci FA, Mutlu N, Karaman AI, Malkoc S, Kucukkolbasi H (2002) Does the timing and method of rapid maxillary expansion have an effect on the changes in nasal dimensions? Angle Orthodontist 72(2):118–123. doi:10.1043/0003-3219(2002)072<0118:DTTAMO>2.0.CO;2

    CAS  PubMed  Google Scholar 

  8. Derichsweiler H (1954) Die Umstellung der Mundatmung zur Nasenatmung durch die Gaumennahterweiterung Fortschritte der Kieferorthopädie (15, 3):234–243

  9. Piccini A, Biagini C, Sensini I, Giorgetti R, Fiorelli G, Picchi F (1992) Morphofunctional correlations in children with upper maxillary endognathia. Revue de laryngologie otologie rhinologie 113(1):33–37

    CAS  PubMed  Google Scholar 

  10. Ceylan I, Oktay H, Demirci M (1996) The effect of rapid maxillary expansion on conductive hearing loss. Angle Orthodontist 66(4):301–307. doi:10.1043/0003-3219(1996)066<0301:TEORME>2.3.CO;2

    CAS  PubMed  Google Scholar 

  11. Eirew HL (1976) Rapid maxillary expansion. Dental Update 3(5):251–261

    CAS  PubMed  Google Scholar 

  12. Stockfisch H (1971) Possibilities and limitation of expanding the palatal suture. Deutsche Stomatologie 21(7):530–534

    CAS  PubMed  Google Scholar 

  13. Tausche E, Deeb W, Hansen L, Hietschold V, Harzer W, Schneider M (2009) CT analysis of nasal volume changes after surgically-assisted rapid maxillary expansion. J Orofacial Orthop Fortschritte der Kieferorthopadie Organ/Off J Deutsche Gesellschaft fur Kieferorthopadie 70(4):306–317. doi:10.1007/s00056-009-9910-5

    Article  Google Scholar 

  14. Hansen L, Tausche E, Hietschold V, Hotan T, Lagravere M, Harzer W (2007) Skeletally-anchored rapid maxillary expansion using the Dresden Distractor. J Orofacial Orthopedics Fortschritte der Kieferorthopadie Organ/Off J Deutsche Gesellschaft fur Kieferorthopadie 68(2):148–158. doi:10.1007/s00056-007-0643-z

    Article  Google Scholar 

  15. Lagravere MO, Gamble J, Major PW, Heo G (2013) Transverse dental changes after tooth-borne and bone-borne maxillary expansion. Int Orthodontics College Eur D’orthodontie 11(1):21–34. doi:10.1016/j.ortho.2012.12.003

    Google Scholar 

  16. Weissheimer A, de Menezes LM, Mezomo M, Dias DM, de Lima EM, Rizzatto SM (2011) Immediate effects of rapid maxillary expansion with Haas-type and hyrax-type expanders: a randomized clinical trial. Am J Orthodontics Dentofac Orthop Off Publ Am Assoc Orthodontists Constituent Soc Am Board Orthodontics 140(3):366–376. doi:10.1016/j.ajodo.2010.07.025

    Google Scholar 

  17. Aras A, Akay MC, Cukurova I, Gunbay T, Isiksal E, Aras I (2010) Dimensional changes of the nasal cavity after transpalatal distraction using bone-borne distractor: an acoustic rhinometry and computed tomography evaluation. J Oral Maxillofac Surg Off J Am Assoc Oral Maxillofac Surg 68(7):1487–1497. doi:10.1016/j.joms.2009.09.079

    Article  Google Scholar 

  18. Ludwig B, Baumgaertel S, Zorkun B, Bonitz L, Glasl B, Wilmes B, Lisson J (2013) Application of a new viscoelastic finite element method model and analysis of miniscrew-supported hybrid hyrax treatment. Am J Orthodontics Dentofac Orthop Off Publ Am Assoc Orthodontists Constituent Soc Am Board Orthodontics 143(3):426–435. doi:10.1016/j.ajodo.2012.07.019

    Google Scholar 

  19. Ludwig BGB, Zorkun B, Wilmes B, Kinzinger G et al (2009) Rapid maxillary expansion with skeletal force: the Hybrid RPE. Kieferorthopädie 23:267–274

    Google Scholar 

  20. Nienkemper M, Wilmes B, Pauls A, Drescher D (2013) Maxillary protraction using a hybrid hyrax-facemask combination. Prog Orthodontics 14(1):5. doi:10.1186/2196-1042-14-5

    Article  Google Scholar 

  21. Wilmes B, Ngan P, Liou EJ, Franchi L, Drescher D (2014) Early class III facemask treatment with the hybrid hyrax and Alt-RAMEC protocol. J Clin Orthodontics JCO 48(2):84–93

    Google Scholar 

  22. Wilmes B, Nienkemper M, Drescher D (2010) Application and effectiveness of a mini-implant- and tooth-borne rapid palatal expansion device: the hybrid hyrax. World J Orthodontics 11(4):323–330

    Google Scholar 

  23. Wilmes B, Nienkemper M, Ludwig B, Kau CH, Drescher D (2011) Early Class III treatment with a hybrid hyrax-mentoplate combination. J Clin Orthodontics JCO 45(1):15–21

    Google Scholar 

  24. Langer MR, Itikawa CE, Valera FC, Matsumoto MA, Anselmo-Lima WT (2011) Does rapid maxillary expansion increase nasopharyngeal space and improve nasal airway resistance? Int J Pediatr Otorhinolaryngol 75(1):122–125. doi:10.1016/j.ijporl.2010.10.023

    Article  PubMed  Google Scholar 

  25. Hershey HG, Stewart BL, Warren DW (1976) Changes in nasal airway resistance associated with rapid maxillary expansion. Am J Orthodontics 69(3):274–284

    Article  CAS  Google Scholar 

  26. El H, Palomo JM (2013) Three-dimensional evaluation of upper airway following rapid maxillary expansion. Angle Orthodontist. doi:10.2319/012313-71.1

    PubMed  Google Scholar 

  27. Pereira-Filho VA, Monnazzi MS, Gabrielli MA, Spin-Neto R, Watanabe ER, Gimenez CM, Santos-Pinto A, Gabrielli MF (2013) Volumetric upper airway assessment in patients with transverse maxillary deficiency after surgically assisted rapid maxillary expansion. Int J Oral Maxillofac Surg. doi:10.1016/j.ijom.2013.11.002

    Google Scholar 

  28. Zeng J, Gao X (2013) A prospective CBCT study of upper airway changes after rapid maxillary expansion. Int J Pediatr Otorhinolaryngol 77(11):1805–1810. doi:10.1016/j.ijporl.2013.07.028

    Article  PubMed  Google Scholar 

  29. Ruder TD, Thali Y, Schindera ST, Torre SA, Zech WD, Thali MJ, Ross S, Hatch GM (2012) How reliable are Hounsfield-unit measurements in forensic radiology? Forensic Sci Int. doi:10.1016/j.forsciint.2012.03.004

    Google Scholar 

  30. Sonke JJ, Zijp L, Remeijer P, van Herk M (2005) Respiratory correlated cone beam CT. Med Phys 32(4):1176–1186

    Article  PubMed  Google Scholar 

  31. Loubele M, Jacobs R, Maes F, Denis K, White S, Coudyzer W, Lambrichts I, van Steenberghe D, Suetens P (2008) Image quality vs radiation dose of four cone beam computed tomography scanners. Dento maxillo facial radiology 37(6):309–318. doi:10.1259/dmfr/16770531

    Article  CAS  PubMed  Google Scholar 

  32. Basciftci FA, Karaman AI (2002) Effects of a modified acrylic bonded rapid maxillary expansion appliance and vertical chin cap on dentofacial structures. Angle Orthodontist 72(1):61–71. doi:10.1043/0003-3219(2002)072<0061:EOAMAB>2.0.CO;2

    CAS  PubMed  Google Scholar 

  33. Weissheimer A, Menezes LM, Sameshima GT, Enciso R, Pham J, Grauer D (2012) Imaging software accuracy for 3-dimensional analysis of the upper airway. Am J Orthodontics Dentofac Orthop Off Publ Am Assoc Orthodontists Constituent Soc Am Board Orthodontics 142(6):801–813. doi:10.1016/j.ajodo.2012.07.015

    Google Scholar 

  34. Panou E, Motro M, Ates M, Acar A, Erverdi N (2013) Dimensional changes of maxillary sinuses and pharyngeal airway in Class III patients undergoing bimaxillary orthognathic surgery. Angle Orthodontist 83(5):824–831. doi:10.2319/100212-777.1

    Article  PubMed  Google Scholar 

  35. Baratieri C, Alves M Jr, de Souza MM, de Souza Araujo MT, Maia LC (2011) Does rapid maxillary expansion have long-term effects on airway dimensions and breathing? Am J Orthodontics Dentofac Orthop Off Publ Am Assoc Orthodontists Constituent Soc Am Board Orthodontics 140(2):146–156. doi:10.1016/j.ajodo.2011.02.019

    Google Scholar 

  36. Aloufi F, Preston CB, Zawawi KH (2012) Changes in the upper and lower pharyngeal airway spaces associated with rapid maxillary expansion. ISRN Dentistry 2012:290964. doi:10.5402/2012/290964

    PubMed Central  Article  PubMed  Google Scholar 

  37. Monini S, Malagola C, Villa MP, Tripodi C, Tarentini S, Malagnino I, Marrone V, Lazzarino AI, Barbara M (2009) Rapid maxillary expansion for the treatment of nasal obstruction in children younger than 12 years. Archives Otolaryngol Head Neck Surg 135(1):22–27. doi:10.1001/archoto.2008.521

    Article  Google Scholar 

  38. Sokucu O, Doruk C, Uysal OI (2010) Comparison of the effects of RME and fan-type RME on nasal airway by using acoustic rhinometry. Angle Orthodontist 80(5):870–875. doi:10.2319/120309-694.1

    Article  PubMed  Google Scholar 

  39. Farronato G, Giannini L, Galbiati G, Maspero C (2012) Comparison of the dental and skeletal effects of two different rapid palatal expansion appliances for the correction of the maxillary asymmetric transverse discrepancies. Minerva Stomatol 61(3):45–55

    CAS  PubMed  Google Scholar 

  40. Rohlin M, White SC (1992) Comparative means of dose reduction in dental radiography. Curr Opin Dentistry 2:1–9

    CAS  Google Scholar 

  41. Lofthag-Hansen S, Thilander-Klang A, Ekestubbe A, Helmrot E, Grondahl K (2008) Calculating effective dose on a cone beam computed tomography device: 3D Accuitomo and 3D Accuitomo FPD. Dento maxillo facial Radiol 37(2):72–79. doi:10.1259/dmfr/60375385

    Article  CAS  Google Scholar 

  42. Ludlow JB, Davies-Ludlow LE, Brooks SL, Howerton WB (2006) Dosimetry of 3 CBCT devices for oral and maxillofacial radiology: CB Mercuray, NewTom 3G and i-CAT. Dento maxillo facial Radiol 35(4):219–226. doi:10.1259/dmfr/14340323

    Article  CAS  Google Scholar 

  43. Okano T, Harata Y, Sugihara Y, Sakaino R, Tsuchida R, Iwai K, Seki K, Araki K (2009) Absorbed and effective doses from cone beam volumetric imaging for implant planning. Dento maxillo facial Radiol 38(2):79–85. doi:10.1259/dmfr/14769929

    Article  CAS  Google Scholar 

  44. Ludlow JB, Davies-Ludlow LE, White SC (2008) Patient risk related to common dental radiographic examinations: the impact of 2007 International Commission on Radiological Protection recommendations regarding dose calculation. J Am Dent Assoc 139(9):1237–1243

    Article  PubMed  Google Scholar 

  45. Ludlow JB, Ivanovic M (2008) Comparative dosimetry of dental CBCT devices and 64-slice CT for oral and maxillofacial radiology. Oral Surg Oral Med Oral Pathol Oral Radiol Endod 106(1):106–114. doi:10.1016/j.tripleo.2008.03.018

    Article  PubMed  Google Scholar 

  46. Schneider T, Lochard J (1987) Introduction of the “ALARA” principle in the prevention of occupational health risks. Rev Epidemiol Sante Publique 35(2):176–179

    CAS  PubMed  Google Scholar 

  47. Ribeiro AN, de Paiva JB, Rino-Neto J, Illipronti-Filho E, Trivino T, Fantini SM (2012) Upper airway expansion after rapid maxillary expansion evaluated with cone beam computed tomography. The Angle orthodontist 82(3):458–463. doi:10.2319/030411-157.1

    Article  PubMed  Google Scholar 

Download references

Acknowledgments

The authors are grateful to Dr. Michael Robertson for editing the English of the study.

Conflict of interest

The authors hereby declare that they have no conflicts of interest.

Ethical standard

Formal consent is not required for this type of study. The retrospective processing and analysis of low-dose CTs was reviewed and approved by the ethics committee for the state of Saarland (Homburg, Germany; license number 170/12).

Author information

Affiliations

Authors

Corresponding author

Correspondence to Michael Schauseil.

Rights and permissions

Reprints and Permissions

About this article

Verify currency and authenticity via CrossMark

Cite this article

Motro, M., Schauseil, M., Ludwig, B. et al. Rapid-maxillary-expansion induced rhinological effects: a retrospective multicenter study. Eur Arch Otorhinolaryngol 273, 679–687 (2016). https://doi.org/10.1007/s00405-015-3584-y

Download citation

  • Received:

  • Accepted:

  • Published:

  • Issue Date:

  • DOI: https://doi.org/10.1007/s00405-015-3584-y

Keywords

  • Rapid maxillary expansion
  • RME
  • Hybrid RME
  • Airway expansion
  • Orthodontic interdisciplinary treatment