Abstract
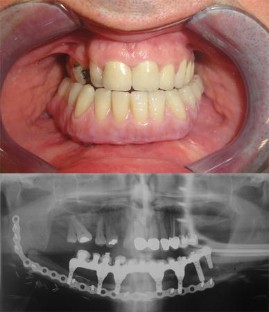
At present, mandibular reconstruction with a fibular free flap is the gold standard for functional and esthetic rehabilitation after oncological surgery. The purpose of this study was to describe the computer-assisted mandibular reconstruction procedure adopting the customized solution Synthes ProPlan CMF. The study reports five consecutive patients with benign or malignant disease requiring mandibular reconstruction using a microvascular fibular free flap, pre-operative virtual planning, construction of cutting guides and customized laser pre-bent titanium plates. The surgical technique is discussed in a step-by-step fashion. The average post-operative hospital stay was 18 ± 3 days. Ischemia time was recorded in all five cases, with an average of 75 ± 8 min. No problems were encountered in any surgical step and there were no major complications. Excellent precision of cutting guides and a good fit of pre-bent plates were found on both the mandible and fibula. There was excellent precision in bone to bone contact and position between mandible and fibula graft. Measurement data from the pre-operative and post-operative CT scans were compared. The average difference (Δ) between programed segment lengths and CT control segment lengths was 0.098 ± 0.077 cm. Microsurgical mandibular reconstruction using a virtual surgical planning yields significantly shorter ischemia times and allows more precise osteotomies. The technology is becoming increasingly recognized for its ability to optimize surgical outcomes and minimize operating time. Considering that the extent of resection can be wider than predicted, this results in safer modeling of the fibula only after frozen sections have demonstrated the radicality of resection.
















References
Rogers SN, Devine J, Lowe D, Brown JS, Vaughan ED (2004) Longitudinal health-related quality of life after mandibular resection for oral cancer: a comparison between rim and segment. Head Neck 26:54–62
Tarsitano A, Pizzigallo A, Ballone E, Marchetti C (2012) Health-related quality of life as a survival predictor for patients with oral cancer: is quality of life associated with long-term overall survival? Oral Surg Oral Med Oral Pathol Oral Radiol 114(6):756–763. doi:10.1016/j.oooo.2012.06.022
Shah JP, Gil Z (2009) Current concepts in management of oral cancer—surgery. Oral Oncol 45(4–5):394–401. doi:10.1016/j.oraloncology.2008.05.017 (review)
Cannon TY, Strub GM, Yawn RJ, Day TA (2012) Oromandibular reconstruction. Clin Anat 25(1):108–119. doi:10.1002/ca.22019
Hidalgo DA (1989) Fibula free flap: a new method of mandible reconstruction. Plast Reconstr Surg 84:71–79
Rana M, Warraich R, Kokemüller H, Lemound J, Essig H, Tavassol F, Eckardt A, Gellrich N-C (2011) Reconstruction of mandibular defects—clinical retrospective research over a 10-year period. Head Neck Oncol 28(3):23. doi:10.1186/1758-3284-3-23
Urken ML, Buchbinder D, Costantino PD, Sinha U, Okay D, Lawson W, Biller HF (1998) Oromandibular reconstruction using microvascular composite flaps: report of 210 cases. Arch Otolaryngol Head Neck Surg 124(1):46–55
López-Arcas JM, Arias J, Del Castillo JL, Burgueño M, Navarro I, Morán MJ, Chamorro M, Martorell V (2010) The fibula osteomyocutaneous flap for mandible reconstruction: a 15-year experience. J Oral Maxillofac Surg 68(10):2377–2384. doi:10.1016/j.joms.2009.09.027
Van Gemert JT, Van Es RJ, Rosenberg AJ, Van der Bilt A, Koole R, Van Cann EM (2012) Free vascularized flaps for reconstruction of the mandible: complications, success, and dental rehabilitation. J Oral Maxillofac Surg 70(7):1692–1698. doi:10.1016/j.joms.2011.08.024
Pellini R, Mercante G, Spriano G (2012) Step-by-step mandibular reconstruction with free fibula flap modeling. Acta Otorhinolaryngol Ital 32:405–409
Patel A, Levine J, Brecht L, Saadeh P, Hirsch DL (2012) Digital technologies in mandibular pathology and reconstruction. Atlas Oral Maxillofacial Surg Clin N Am 20:95–100
Foley BD, Thayer WP, Honeybrook A, McKenna S, Press S (2013) Mandibular reconstruction using computer-aided design and computer-aided manufacturing: an analysis of surgical results. J Oral Maxillofac Surg 71(2):e111–e119. doi:10.1016/j.joms.2012.08.022
Levine JP, Patel A, Saadeh PB, Hirsh DL (2012) Computer aided design and manufacturing in craniomaxillofacial surgery: the new state of the art. J Craniofac Surg 23(1):288–293. doi:10.1097/SCS.0b013e318241ba92
Trignano E, Fallico N, Faenza M, Rubino C, Chen HC (2013) Free fibular flap with periosteal excess for mandibular reconstruction. Microsurgery. doi:10.1002/micr.22159 (Epub ahead of print)
Haddock NT, Monaco C, Weimer KA, Hirsch DL, Levine JP, Saadeh PB (2012) Increasing bony contact and overlap with computer-designed offset cuts in free fibula mandible reconstruction. J Craniofac Surg 23(6):1592–1595. doi:10.1097/SCS.0b013e318257576c
Roser SM, Ramachandra S, Blair H, Grist W, Carlson GW, Christensen AM, Weimer KA, Steed MB (2010) The accuracy of virtual surgical planning in free fibula mandibular reconstruction: comparison of planned and final results. J Oral Maxillofac Surg 68:2824–2832
Wang LY, Du HM, Zhang G, Tang W, Liu L, Jing W, Long J (2011) The application of digital surgical diagnosis and treatment technology: a promising strategy for surgical reconstruction of craniomaxillofacial defect and deformity. Med Hypotheses 77(6):1004–1005. doi:10.1016/j.mehy.2011.08.034
Sink J, Hamlar D, Kademani D, Khariwala SS (2012) Computer-aided stereolithography for presurgical planning in fibula free tissue reconstruction of the mandible. J Reconstr Microsurg 28:395–404
Boyd JB, Mulholland RS, Davidson J et al (1995) The free flap and plate in oromandibular reconstruction: long-term review and indications. Plast Reconstr Surg 95:1018
Ro EY, Ridge JA, Topham NS (2007) Using stereolithographic models to plan mandibular reconstruction for advanced oral cavity cancer. Laryngoscope 117(4):759–761
Mazzoni S, Marchetti C, Sgarzani R, Cipriani R, Ciocca L (2013) Prosthetically guided maxillofacial surgery: evaluation of the accuracy of a surgical guide and custom made bone plate in oncology patients after mandibular reconstruction. Plast Reconstr Surg 131(6):1376–1385
Disa JJ, Winters RM, Hidalgo DA (1997) Long term evaluation of bone mass in free fibula flap mandible reconstruction. Am J Surg 174:503–506
Zoumalan RA, Hirsch DL, Levine JP, Saadeh PB (2009) Plating in microvascular reconstruction of the mandible: can fixation be too rigid? J Craniofac Surg 20:1451–1454
Schepers RH, Raghoebar GM, Vissink A, Lahoda LU, Van der Meer WJ, Roodenburg JL, Reintsema H, Witjes MJ (2013) Fully 3-dimensional digitally planned reconstruction of a mandible with a free vascularized fibula and immediate placement of an implant-supported prosthetic construction. Head Neck 35(4):E109–E114. doi:10.1002/hed.21922
Bak M, Jacobson AS, Buchbinder D, Urken ML (2010) Contemporary reconstruction of the mandible. Oral Oncol 46(2):71–76. doi:10.1016/j.oraloncology.2009.11.006
Acknowledgments
No sponsorships have been disclosed for this article.
Conflict of interest
There are no competing interests for this article.
Author information
Authors and Affiliations
Corresponding author
Rights and permissions
About this article
Cite this article
Succo, G., Berrone, M., Battiston, B. et al. Step-by-step surgical technique for mandibular reconstruction with fibular free flap: application of digital technology in virtual surgical planning. Eur Arch Otorhinolaryngol 272, 1491–1501 (2015). https://doi.org/10.1007/s00405-014-3078-3
Received:
Accepted:
Published:
Issue Date:
DOI: https://doi.org/10.1007/s00405-014-3078-3