Skip to main content

Impact of radiotherapy on laryngeal intrinsic muscles

Abstract

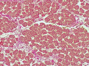
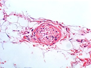
Ionizing radiation as a cancer therapy is associated with a variety of undesirable side effects. Consequently, radiotherapy can negatively affect neuromuscular function. Clinical observations have identified problems with swallowing and voice function. Our study aims to evaluate the impact of radiotherapy on laryngeal soft tissues using image analysis to quantify its effect on the structure of the vocalis and thyroarytenoid muscles. Case control study, retrospective analysis. We collected total laryngectomy specimens from six patients with persistent or recurrent cancer who had received preoperative radiotherapy (60–66 Gy). The control group consisted of total laryngectomy specimens from six patients who underwent surgery as primary treatment. Sampling of the specimens only included non-cancerous laryngeal tissue. Laryngeal histological slices were evaluated using digital morphometric analysis system. Percentage of fibrosis and density of muscle fibers within the thyroarytenoid muscle were evaluated in both groups. We found no significant quantitative differences in muscle fibrosis (7.92% vs. 7.52%, P > 0.1). Changes were rather qualitative and included changes in the organization of the muscular fibers. A significant reduction in muscle fibers, however, was observed in the samples from irradiated larynges (66.45% vs. 42.03%, P < 0.01). Our analysis suggests that radiotherapy is responsible for a significant reduction in muscle fibers in the thyroarytenoid muscle and that these changes occur during treatment or relatively early after its completion. Loss of muscle mass after irradiation correlates with clinical observations of muscle weakness and decreased function in patients who undergo radiotherapy.

This is a preview of subscription content, access via your institution.

Fig. 1
Fig. 2
Fig. 3
Fig. 4

References

  1. Watkinson CJ, Gaze MN, Wilson JA (2000) Head and neck surgery. Butterworth-Heinemann, Oxford, UK

    Google Scholar 

  2. Higgins KM, Wang JR (2008) State of head and neck surgical oncology research–a review and critical appraisal of landmark studies. Head Neck 12:1636–1642

    Article  Google Scholar 

  3. Schneider U, Lomax A, Pemler P et al (2006) The impact of IMRT and proton radiotherapy on secondary cancer incidence. Strahlenter Onkol 11:647–652

    Article  Google Scholar 

  4. Vissink A, Jansma J, Spijkervet FK, Burlage FR, Coppes RP (2003) Oral sequaleae of head and neck radiotherapy. Crit Rev Oral Biol Med 14:199–212

    PubMed  Article  CAS  Google Scholar 

  5. Mintz DR, Gullane PJ, Thomson DH, Ruby RR (1981) Perichondritis of the larynx following radiation. Otolaryngol Head Neck Surg 89:550–554

    PubMed  CAS  Google Scholar 

  6. Cooper JS, Fu K, Marks J, Silverman S (1995) Late effects of radiation therapy in the head and neck region. Int J Radiat Oncol Biol Phys 5:1141–1164

    Google Scholar 

  7. Platteaux N, Dirix P, Dejaeger E, Nuyts S (2009) Dysphagia in head and neck cancer patients treated with chemoradiotherapy. Dysphagia 2009, Aug 27. [Epub ahead of print]

  8. Eisbruch A, Lyden T, Bradford CR et al (2002) Objective assessment of swallowing dysfunction and aspiration after radiation concurrent with chemotherapy for head-and-neck cancer. Int J Radiat Oncol Biol Phys 53:4–5

    Article  Google Scholar 

  9. Simentaal AA, Carrau RL (2004) Assessment of swallowing function in patients with head and neck cancer. Curr Oncol Rep 6:162–165

    Article  Google Scholar 

  10. Eisbruch A, Schwartz M, Rasch C et al (2004) Dysphagia and aspiration after chemoradiotherapy for head-and-neck cancer: which anatomic structures are affected and can they be spared by IMRT? Int J Radiat Oncol Biol Phys 60:1425–1439

    PubMed  Article  Google Scholar 

  11. Nguyen NP, Moltz CC, Frank C et al (2004) Dysphagia following chemoradiation for locally advanced head and neck cancer. Ann Oncol 15:363–364

    Article  Google Scholar 

  12. Dubinsky P (2007) Technologický pokrok v rádioterapii. Onkológia (Bratisl.) 6:342–344

    Google Scholar 

  13. Logemann JA (1998) Evaluation and treatment of swallowing disorders. Pro-ed, Austin, USA

    Google Scholar 

  14. Franzel W, Gerlach R (2009) The irradiation action on human dental tissue by X-rays and electrons—a nanoindenter study. Z Med Phys 19:5–10

    PubMed  Article  Google Scholar 

  15. Low WK, Burgess R, Fong KW, Wang DY (2005) Effect of radiotherapy on retro-cochlear auditory pathways. Laryngoscope 115:1823–1826

    PubMed  Article  CAS  Google Scholar 

  16. Vujaskovic Z (1997) Structural and physiological properties of peripheral nerves after intraoperative irradiation. J Peripher Nerv Syst 2:343–349

    PubMed  CAS  Google Scholar 

  17. Hsu HY, Chay C-Y, Lee MS (1998) Radiation-induced muscle damage in rats after fractionated high-dose irradiation. Radiat Res 149:482–486

    PubMed  Article  CAS  Google Scholar 

  18. Powers BE, Gilette EL, Gilette SL, LeCourteur LA, Withrow SJ (1991) Muscle injury following experimental intraoperative irradiation. Int J Radiat Oncol Biol Phys 20:463–471

    PubMed  Article  CAS  Google Scholar 

Download references

Conflict of interest

None.

Author information

Affiliations

Authors

Corresponding author

Correspondence to Miroslav Tedla.

Rights and permissions

Reprints and Permissions

About this article

Cite this article

Tedla, M., Valach, M., Carrau, R.L. et al. Impact of radiotherapy on laryngeal intrinsic muscles. Eur Arch Otorhinolaryngol 269, 953–958 (2012). https://doi.org/10.1007/s00405-011-1686-8

Download citation

  • Received:

  • Accepted:

  • Published:

  • Issue Date:

  • DOI: https://doi.org/10.1007/s00405-011-1686-8

Keywords

  • Radiotherapy induced changes
  • Dysphagia
  • Picture analysis
  • Intrinsic laryngeal muscles