Abstract
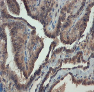
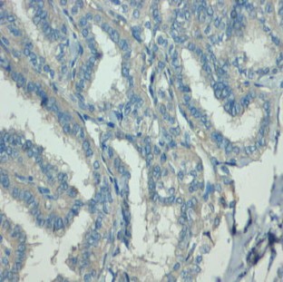
The objective of this study is to examine the expression of matrix metalloproteinase 1 (MMP-1) in invasive well-differentiated thyroid carcinoma (WDTC) and its relation to clinicopathological features. This retrospective case study group included 26 patients with invasive WDTC who were treated at our center between January 1985 and May 2007. Clinical data were collected from the medical files. MMP-1 expression was tested in samples from paraffin-embedded tumor by immunohistochemical staining. MMP-1 expression correlated with laryngotracheal invasion (p = 0.032), multifocality of the tumor (p = 0.044), and presence of regional (p = 0.034) and distant metastases (p = 0.048). In conclusion, the expression of MMP-1 in invasive WDTC is consistent with tumor aggressiveness, manifested by laryngotracheal invasion, multifocality, and regional and distant metastases. MMP-1 expression may serve as a prognostic marker and an indicator for the need for more aggressive surgical treatment.




References
Cushing SL, Palme CE, Audet N, Eski S, Walfish PG, Freeman JL (2004) Prognostic factors in well-differentiated thyroid carcinoma. Laryngoscope 114:2110–2115
Shaha AR (2007) TNM classification of thyroid carcinoma. World J Surg 31:879–887
Shaha AR (2004) Implications of prognostic factors and risk groups in the management of differentiated thyroid cancer. Laryngoscope 114:393–402
Palme CE, Waseem Z, Raza SN, Eski S, Walfish P, Freeman JL (2004) Management and outcome of recurrent well-differentiated thyroid carcinoma. Arch Otolaryngol Head Neck Surg 130(7):819–824
Ark N, Zemo S, Nolen D, Holsinger FC, Weber RS (2008) Management of locally invasive well-differentiated thyroid cancer. Surg Oncol Clin N Am 17:145–155 ix. Review
Zbaren P, Nuyens M, Thoeny HC, Stauffer E (2005) Laryngeal involvement by differentiated thyroid carcinoma. Am J Surg 190:153–155
Bayles SW, Kingdom TT, Carlson GW (1998) Management of thyroid carcinoma invading the aerodigestive tract. Laryngoscope 108:1402–1407
Chow SM, Law SC, Mendenhall WM et al (2002) Papillary thyroid carcinoma: prognostic factors and the role of radioiodine and external radiotherapy. Int J Radiat Oncol Biol Phys 52:784–795
McCaffery JC (2006) Aerodigestive tract invasion by well-differentiated thyroid carcinoma: diagnosis, management, prognosis and biology. Laryngoscope 116:1–11
Malemud CJ (2006) Matrix metalloproteinases (MMPs) in health and disease: an overview. Front Biosci 1:1696–1701
Chiang WC, Wong YK, Lin SC, Chang KW, Liu CJ (2006) Increase of MMP-13 expression in multi-stage oral carcinogenesis and epigallocatechin-3-gallate suppress MMP-13 expression. Oral Disease 12:27–33
Corte MD, Gonzalez LO, Corte MG et al (2005) Collagenase-3 (MMP-13) expression in cutaneous malignant melanoma. Int J Biol Markers 20:242–248
Ruokolainen H, Paakko P, Turpeenniemi-Hujanen T (2006) Tissue and circulating immunoreactive protein for MMP-2 and TIMP-2 in head and neck squamous cell carcinoma-tissue immunoreactivity predicts aggressive clinical course. Mod Pathol 19:208–217
O-Charoenrat P, Rhys-Evans P, Eccles SA (2001) Expression of matrix metalloproteinases and their inhibitors correlates with invasion and metastasis in squamous cell carcinoma of the head and neck. Arch Otolaryngol Head Neck Surg 127(7):813–820
Leboulleux S, Rubino C, Baudin E et al (2005) Prognostic factors for persistent or recurrent disease of papillary thyroid carcinoma with neck lymph node metastases and/or tumor extension beyond the thyroid capsule at initial diagnosis. J Clin Endocrinol Metab 90:5723–5729
Mazzaferri EL, Kloos RT (2001) Clinical review 128: current approaches to primary therapy for papillary and follicular thyroid cancer. J Clin Endocrinol Metab 86:1447–1463
Kameyama K (1996) Expression of MMP-1 in the capsule of thyroid cancer–relationship with invasiveness. Pathol Res Pract 192:20–26
Cho Mar K, Eimoto T, Tateyama H, Arai Y, Fujiyoshi Y, Hamaguchi Ml (2006) Expression of matrix metalloproteinases in benign and malignant follicular thyroid lesions. Histopathology 48:286–294
Baldini E, Toller M, Graziano FM et al (2004) Expression of matrix metalloproteinases and their specific inhibitors in normal and different human thyroid tumor cell lines. Thyroid 14:881–888
Kraiem Z, Korem S (2000) Matrix metalloproteinases and the thyroid. Thyroid 10:1019–1061
Miccoli P, Minuto MN, Ugolini C et al (2008) Papillary thyroid cancer: pathological parameters as prognostic factors in different classes of age. Otolaryngol Head Neck Surg 138:200–203
Wein RO (2005) Management of the locally aggressive thyroid carcinoma. Am J Otolaryngol 26:186–192
Bardet S, Malville E, Rame J-P et al (2008) Macroscopic lymph-node involvement and neck dissection predict lymph-node recurrence in papillary thyroid carcinoma. Eur J Endocrinol 158:551–560
Shah JP, Loree TR, Dharker D, Strong EW, Begg C, Vlamis V (1992) Prognostic factors in differentiated carcinoma of the thyroid gland. Am J Surg 164:658–661
Conflicts of interest
None.
Author information
Authors and Affiliations
Corresponding author
Rights and permissions
About this article
Cite this article
Mizrachi, A., Koren, R., Hadar, T. et al. Expression of MMP-1 in invasive well-differentiated thyroid carcinoma. Eur Arch Otorhinolaryngol 268, 131–135 (2011). https://doi.org/10.1007/s00405-010-1343-7
Received:
Accepted:
Published:
Issue Date:
DOI: https://doi.org/10.1007/s00405-010-1343-7