Skip to main content

Olfactory bulb volume and depth of olfactory sulcus in patients with idiopathic olfactory loss

Abstract

Olfactory loss is considered as idiopathic (IOL) when no cause can be found, neither on the basis of a standardized history nor a thorough clinical evaluation. Olfactory bulb volume (OB) has been shown to be decreased in patients with olfactory loss due to trauma, infections, or sinonasal disease. However, OB volume has not yet been investigated in IOL patients. Twenty-two patients with IOL were compared with 22 controls in terms of olfactory performance and of OB volume assessed with magnetic resonance imaging (MRI). Psychophysical testing confirmed that patients had lower scores than controls: P < 0.001 for threshold (T), discrimination (D), identification (I) and global TDI score. Mean right, left and total OB volumes were significantly smaller for IOL patients as compared to controls. Both for IOL and controls, there was a significant correlation between odor thresholds and total OB volume, respectively. In conclusion, patients with IOL have decreased olfactory function and decreased OB volume when compared with controls. This was previously demonstrated for patients with postinfectious or posttraumatic olfactory dysfunction, but not for patients with uneventful conditions possibly damaging their olfactory apparatus.

This is a preview of subscription content, access via your institution.

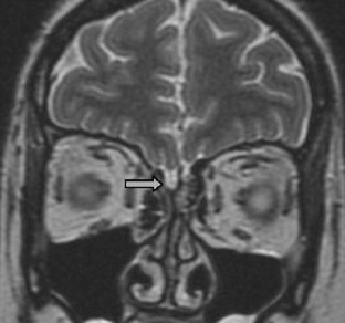
Fig. 1
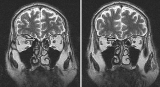
Fig. 2
Fig. 3

References

  1. Mueller A, Rodewald A, Reden J, Gerber J, von Kummer R, Hummel T (2005) Reduced olfactory bulb volume in post-traumatic and post-infectious olfactory dysfunction. Neuroreport 16(5):475–478

    Article  PubMed  Google Scholar 

  2. Rombaux Ph, Mouraux A, Bertrand B, Nicolas G, Duprez T, Hummel T (2006) Olfactory function and olfactory bulb volume in patients with postinfectious olfactory loss. Laryngoscope 116:436–439

    Article  PubMed  Google Scholar 

  3. Ph Rombaux, Mouraux A, Bertrand B, Nicolas G, Duprez T, Hummel T (2006) Retronasal and orthonasal olfactory function in relation to olfactory bulb volume in patients with posttraumatic loss of smell. Laryngoscope 116:901–905

    Google Scholar 

  4. Goektas O, Fleiner F, Sedlmaier B, Bauknecht C (2010) Correlation of olfactory dysfunction of different etiologies in MRI and comparison with subjective and objective olfactometry. Eur J Radiol

  5. Abolmaali ND, Gudziol V, Hummel T (2008) Pathology of the olfactory nerve. Neuroimag Clin N Am 18:233–242

    Article  Google Scholar 

  6. Rombaux Ph, Potier H, Bertrand B, Duprez T, Hummel T (2008) Olfactory bulb volume in patients with sinonasal disease. Am J Rhinol 22(6):598–601

    Article  PubMed  Google Scholar 

  7. Youssem DM, Geckle RJ, Doty RL, Bilker WB (1997) Reproducibility and reliability of volumetric measurements of olfactory eloquent structures. Acad Radiol 4(4):264–269

    Article  Google Scholar 

  8. Buschhüter D, Smitka M, Psuchmann S, Gerber JC, Witt M, Abolmaali ND, Hummel T (2008) Correlation between olfactory bulb volume and olfactory function. Neuroimage 42(2):498–502

    Article  PubMed  Google Scholar 

  9. Rombaux Ph, Mouraux A, Bertrand B, Duprez T, Hummel T (2007) Can we smell without an olfactory bulb? Am J Rhinol 21(5):548–550

    Article  PubMed  Google Scholar 

  10. Mori K, Nagao H, Yoshihara Y (1999) The olfactory bulb: coding and processing of odor molecule information. Science 286:711–715

    Article  CAS  PubMed  Google Scholar 

  11. Curtis MA, Kam M, Nanmark U et al (2007) Human neuroblasts migrate to the olfactory bulb via a lateral ventricular extension. Science 315(5861):1243–1249

    Article  CAS  PubMed  Google Scholar 

  12. Gomez C, Brinon JG, Colado MI, Orio L, Vidal M, Barbado M, Alonso J (2006) Differential effects of unilateral olfactory deprivation on noradrenergic and cholinergic systems in the main olfactory bulb of the rat. Neuroscience 141:2117–2128

    Article  CAS  PubMed  Google Scholar 

  13. Mueller A, Abolmaali ND, Hakini AR et al (2005) Olfactory bulb volume in patients with idiopathic Parkinson’s disease—a pilot study. J Neural Transm 112:1363–1370

    Article  CAS  PubMed  Google Scholar 

  14. Kim JY, Lee WY, Chung EJ, Dhong HJ (2007) Analysis of olfactory function and the depth of olfactory sulcus in patients with Parkinson’s disease. Mov Disord 22(11):1563–1566

    Article  PubMed  Google Scholar 

  15. Kobal G, Klimek L, Wolfensberger M, Gudziol H, Temmel A, Owen CM et al (2000) Multicenter investigation of 1, 036 subjects using a standardized method for the assessment of olfactory function combining tests of odor identification, odor discrimination and olfactory thresholds. Eur Arch Otorhinolaryngol 257:205–211

    Article  CAS  PubMed  Google Scholar 

  16. Heilmann S, Strehle G, Rosenheim K, Damm M, Hummel T (2002) Clinical assessment of retronasal olfactory function. Arch Otolaryngol Head Neck Surg 128(4):414–418

    PubMed  Google Scholar 

  17. Keppel G (1991) Design and analysis: a researcher’s handbook. Prentice Hall, Upper Saddle River

    Google Scholar 

  18. Negoias S, Croy I, Gerber J, Joraschky P, Hummel T (2009) Reduced olfactory bulb volume and olfactory sensitivity in patients with acute major depression. Proceedings of the Deutsche ArGe Olkaktologie/Gustologie Dec 2009. http://www.tu-dresden.de/medkhno/riechen

  19. Heilmann S, Huettenbrink KB, Hummel T (2004) Local and systemic administration of corticosteroids in the treatment of olfactory loss. Am J Rhinol 18:29–33

    PubMed  Google Scholar 

  20. Haehner A, Hummel T, Hummel C, Sommer U, Junghanns S, Reichmann H (2007) Olfactory loss may be a first sign of idiopathic Parkinsons’s disease. Mov Disord 22:839–842

    Article  PubMed  Google Scholar 

  21. Ponsen MM, Stoffers D, Twisk JW, Wolters EC, Berendse HW (2009) Hyposmia and executive dysfunction as predictors of future Parkinson’s disease: a prospective study. Mov Disord

  22. Koss E, Weiffenbach JM, Haxby JV, Friedland RP (1988) Olfactory detection and identification performance are dissociated in early Alzheimer’s disease. Neurology 38:1228–1232

    CAS  PubMed  Google Scholar 

Download references

Acknowledgments

The authors have no conflict of interest regarding this study.

Author information

Affiliations

Authors

Corresponding author

Correspondence to Ph. Rombaux.

Rights and permissions

Reprints and Permissions

About this article

Cite this article

Rombaux, P., Potier, H., Markessis, E. et al. Olfactory bulb volume and depth of olfactory sulcus in patients with idiopathic olfactory loss. Eur Arch Otorhinolaryngol 267, 1551–1556 (2010). https://doi.org/10.1007/s00405-010-1230-2

Download citation

  • Received:

  • Accepted:

  • Published:

  • Issue Date:

  • DOI: https://doi.org/10.1007/s00405-010-1230-2

Keywords

  • Olfactory loss
  • Olfactory bulb
  • MRI
  • Volume
  • Olfaction
  • Smell
  • Idiopathic
  • Anosmia
  • Hyposmia