Skip to main content

MMP-14 can serve as a prognostic marker in patients with supraglottic cancer

Abstract

The purpose of this study was to examine the expression of MMP-14, 15 and 16 (MT1, MT2 and MT3-MMP) in supraglottic carcinoma and to explore their clinical significance. Expression of MMP-14, 15 and 16 was examined using RT-PCR and immunohistochemistry methods in samples from 85 cases of supraglottic carcinoma. Results showed that both mRNA and protein expression of MMP-14, 15 and 16 were increased in supraglottic carcinoma tissues compared to expression in control adjacent non-neoplastic tissues (P < 0.05). Expression of MMP-14, but not MMP-15 and MMP-16, was significantly increased in the T3 and neck nodal metastasis groups compared with the T1–2 group and the group without nodal metastasis at both mRNA and protein levels (P < 0.05). Expression of MMP-14 mRNA and protein was also higher in tumors of patients with stage III–IV disease compared to patients with clinical stage I–II tumors (P < 0.05). Kaplan–Meier survival curves showed that the groups with high MMP-14 protein expression had a poorer prognosis than patients in the groups with weak or negative expression of MMP-14 protein (P < 0.05). In conclusion, MMP-14 may play an important role in the progression of supraglottic carcinoma and may be a novel prognostic factor for patients with supraglottic carcinoma.

This is a preview of subscription content, access via your institution.

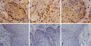
Fig. 1
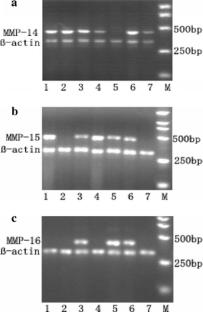
Fig. 2
Fig. 3

References

  1. Myers EN, Alvi A (1996) Management of carcinoma of the supraglottic larynx: evolution, current concepts, and future trends. Laryngoscope 106:559–567. doi:10.1097/00005537-199605000-00008

    PubMed  Article  CAS  Google Scholar 

  2. Vihinen P, Kähäri VM (2002) Matrix metalloproteinases in cancer: prognostic markers and therapeutic targets. Int J Cancer 99:157–166. doi:10.1002/ijc.10329

    PubMed  Article  CAS  Google Scholar 

  3. Jiang A, Pei D (2003) Distinct roles of catalytic and pexin-like domains in membrane-type matrix metalloproteinase (MMP)-mediated pro-MMP-2 activation and collagenolysis. J Biol Chem 278:38765–38771. doi:10.1074/jbc.M306618200

    PubMed  Article  CAS  Google Scholar 

  4. Kang T, YI J, Yang WR, Wang X et al (2000) Functional characterization of MT3-MMP in transfected MDCK cells: progelatinase A activation and tubulogenesis in 3-D collagen lattice. FASEB 14:2559–2568

    Article  CAS  Google Scholar 

  5. Knäuper V, Will H, López-Otin C et al (1996) Cellular mechanisms for human procollagenase-3 (MMP-13) activation: evidence that MT1-MMP (MMP-14) and gelatinase a (MMP-2) are able to generate active enzyme. J Biol Chem 271:17124–17131. doi:10.1074/jbc.271.29.17124

    PubMed  Article  Google Scholar 

  6. Ueno H, Nakamura H, Inoue M et al (1997) Expression and tissue localization of membrane-types 1, 2, and 3 matrix metalloproteinases in human invasive breast carcinomas. Cancer Res 57:2055–2060

    PubMed  CAS  Google Scholar 

  7. Atkinson JM, Pennington CJ, Martin SW et al (2007) Membrane-type matrix metalloproteinases (MMPs) show differential expression in non-small cell lung cancer (NSCLC) compared to normal lung: correlation of MMP-14 mRNA expression and proteolytic activity. Eur J Cancer 43:1764–1771. doi:10.1016/j.ejca.2007.05.009

    PubMed  Article  CAS  Google Scholar 

  8. Jung M, Römer A, Keyszer G et al (2003) mRNA expression of the five membrane-type matrix metalloproteinases MT1–MT5 in human prostatic cell lines and their down-regulation in human malignant prostatic tissue. Prostate 55:89–98. doi:10.1002/pros.10194

    PubMed  Article  CAS  Google Scholar 

  9. Moe K, Wolf GT, Fisher SG et al (1996) Regional metastases in patients with advanced laryngeal cancer. Arch Otolaryngol Head Neck Surg 122:644–648

    PubMed  CAS  Google Scholar 

  10. Audet N, Beasley NJ, MacMillan C et al (2005) Lymphatic vessel density, nodal metastases, and prognosis in patients with head and neck cancer. Arch Otolaryngol Head Neck Surg 131:1065–1070. doi:10.1001/archotol.131.12.1065

    PubMed  Article  Google Scholar 

  11. Duffy MJ, McGowan PM, Gallagher WM (2008) Cancer invasion and metastasis: changing views. J Pathol 214:283–293. doi:10.1002/path.2282

    PubMed  Article  CAS  Google Scholar 

  12. Starska K, Łukomski M, Stasikowska O et al (2007) Prognostic significance of matrix metalloproteinases type I expression and tumor front parameters in the presence of lymph node micrometastases in carcinoma of the larynx. Adv Med Sci 52:169–173

    PubMed  CAS  Google Scholar 

  13. Christopoulos TA, Papageorgakopoulou N, Ravazoula P et al (2007) Expression of metalloproteinases and their tissue inhibitors in squamous cell laryngeal carcinoma. Oncol Rep 18:855–860

    PubMed  CAS  Google Scholar 

  14. Liu WW, Zeng ZY, Wu QL et al (2005) Overexpression of MMP-2 in laryngeal squamous cell carcinoma: a potential indicator for poor prognosis. Otolaryngol Head Neck Surg 132:395–400. doi:10.1016/j.otohns.2004.09.050

    PubMed  Article  Google Scholar 

  15. Sun Y, Liu M, Yang B et al (2008) Role of siRNA silencing of MMP-2 gene on invasion and growth of laryngeal squamous cell carcinoma. Eur Arch Otorhinolaryngol 265:1385–1391. doi:10.1007/s00405-008-0684-y

    PubMed  Article  Google Scholar 

  16. D’Ortho MP, Will H, Atkinson S et al (1997) Membrane-type matrix metalloproteinases 1 and 2 exhibit broad-spectrum proteolytic capacities comparable to many matrix metalloproteinases. Eur J Biochem 250:751–757. doi:10.1111/j.1432-1033.1997.00751.x

    PubMed  Article  Google Scholar 

  17. Matsumoto S, Katoh M, Saito S et al (1997) Identification of soluble type of membrane-type matrix metalloproteinase-3 formed by alternatively spliced mRNA. Biochim Biophys Acta 1354:159–170

    PubMed  CAS  Google Scholar 

  18. Mylona E, Nomikos A, Magkou C et al (2007) The clinicopathological and prognostic significance of membrane type 1 matrix metalloproteinase (MT1-MMP) and MMP-9 according to their localization in invasive breast carcinoma. Histopathology 50:338–347. doi:10.1111/j.1365-2559.2007.02615.x

    PubMed  Article  CAS  Google Scholar 

  19. Sodek KL, Ringuette MJ, Brown TJ (2007) MT1-MMP is the critical determinant of matrix degradation and invasion by ovarian cancer cells. Br J Cancer 97:358–367. doi:10.1038/sj.bjc.6603863

    PubMed  Article  CAS  Google Scholar 

  20. Bonfil RD, Dong Z, Trindade Filho JC et al (2007) Prostate cancer-associated membrane type 1-matrix metalloproteinase: a pivotal role in bone response and intraosseous tumor growth. Am J Pathol 170:2100–2111. doi:10.2353/ajpath.2007.060720

    PubMed  Article  CAS  Google Scholar 

  21. Abraham R, Schäfer J, Rothe M et al (2005) Identification of MMP-15 as an anti-apoptotic factor in cancer cells. J Biol Chem 280:34123–34132. doi:10.1074/jbc.M508155200

    PubMed  Article  CAS  Google Scholar 

  22. Arai I, Nagano H, Kondo M et al (2007) Overexpression of MT3-MMP in hepatocellular carcinoma correlates with capsular invasion. Hepatogastroenterology 54:167–171

    PubMed  CAS  Google Scholar 

  23. Zhang W, Matrisian LM, Holmbeck K et al (2006) Fibroblast-derived MT1-MMP promotes tumor progression in vitro and in vivo. BMC Cancer 6:52. doi:10.1186/1471-2407-6-52

    PubMed  Article  Google Scholar 

  24. Têtu B, Brisson J, Wang CS et al (2006) The influence of MMP-14, TIMP-2 and MMP-2 expression on breast cancer prognosis. Breast Cancer Res 8:R28. doi:10.1186/bcr1503

    PubMed  Article  Google Scholar 

  25. Uchibori M, Nishida Y, Nagasaka T et al (2006) Increased expression of membrane-type matrix metalloproteinase-1 is correlated with poor prognosis in patients with osteosarcoma. Int J Oncol 28:33–42

    PubMed  CAS  Google Scholar 

  26. Wiegand S, Dünne AA, Müller HH et al (2005) Meta-analysis of the significance of matrix metalloproteinases for lymph node disease in patients with head and neck squamous cell carcinoma. Cancer 104:94–100. doi:10.1002/cncr.21131

    PubMed  Article  CAS  Google Scholar 

  27. McGowan PM, Duffy MJ (2008) Matrix metalloproteinase expression and outcome in patients with breast cancer: analysis of a published database. Ann Oncol 19:1566–1572. doi:10.1093/annonc/mdn180

    PubMed  Article  CAS  Google Scholar 

  28. Sounni NE, Devy L, Hajitou A et al (2002) MT1-MMP expression promotes tumor growth and angiogenesis through an up-regulation of vascular endothelial growth factor expression. FASEB J 16:555–564. doi:10.1096/fj.01-0790com

    PubMed  Article  CAS  Google Scholar 

  29. Deryugina EI, Bourdon MA, Jungwirth K et al (2000) Functional activation of integrin alpha V beta 3 in tumor cells expressing membrane-type 1 matrix metalloproteinase. Int J Cancer 86:15–23. doi:10.1002/(SICI)1097-0215(20000401)86:1<15::AID-IJC3>3.0.CO;2-B

    PubMed  Article  CAS  Google Scholar 

Download references

Acknowledments

Granted by The Natural Science Foundation of China (30540010), the Postdoctoral Science Foundation of China (20070410920) and also by the Youth Foundation (QC06C054) and Natural Science Foundation (GC07C35106) of Heilongjiang Province, P.R. China.

Author information

Affiliations

Authors

Corresponding author

Correspondence to Yanan Sun.

Additional information

Huiyan Zhang and Ming Liu are co-first authors.

Rights and permissions

Reprints and Permissions

About this article

Cite this article

Zhang, H., Liu, M., Sun, Y. et al. MMP-14 can serve as a prognostic marker in patients with supraglottic cancer. Eur Arch Otorhinolaryngol 266, 1427–1434 (2009). https://doi.org/10.1007/s00405-009-0943-6

Download citation

  • Received:

  • Accepted:

  • Published:

  • Issue Date:

  • DOI: https://doi.org/10.1007/s00405-009-0943-6

Keywords

  • Supraglottic carcinoma
  • Membrane-type matrix metalloproteinases
  • Prognosis