Skip to main content

Temporal bone central giant-cell granuloma presenting as a serous otitis media

Abstract

Central giant cell granuloma is a benign intraosseous lesion that most commonly occurs in the facial bones. Its location in the temporal bone is extremely rare and only 20 cases have been reported in the literature. We report a case of an adult female patient presenting with a right serous otitis media and mastoiditis associated with a mixed hearing loss during 6 months. CT-scan and MRI revealed a temporal bone tumor involving the mastoid, and surrounding the right temporo-mandibular joint. Tumor was totally removed after a canal-wall-down mastoidectomy and middle ear exclusion. Pathology revealed a central giant cell granuloma. Seven months following the surgery there was no evidence of recurrence. Central giant cell granuloma is a rare temporal bone lesion, with non specific clinical and imaging signs but characteristic pathological features. Today, a total surgical removal and regular MRI follow-up is the best management option.

This is a preview of subscription content, access via your institution.

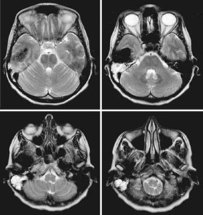
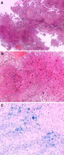
Fig. 1
Fig. 2
Fig. 3
Fig. 4

References

  1. Jaffe HL (1953) Giant cell reparative granuloma, traumatic bone cyst, and fibrous (fibroosseus) dysplasia of the jaw bones. Oral Surg 6:159–175

    PubMed  Article  CAS  Google Scholar 

  2. Hirsch S, Katz A (1974) Giant cell reparative granuloma outside the jaw bone. Diagnostic criteria and review of the literature with the first case described in the temporal bone. Hum Pathol 5:171–181

    Article  Google Scholar 

  3. Dimitakopoulos I, Lazaridis N, Sakellariou P, Asimaki A (2006) Giant-cell granuloma in the temporal bone: a case report and a review of the literature. J Oral Maxillofacial Surg 64:531–536

    Article  Google Scholar 

  4. Mohammed TL, Brummett DP, Hahn FJ, Sharma P (2001) Intracranial giant cell reparative granuloma arising from the temporal lobe area: MR findings. Am J Neuroradiol 22:873–875

    PubMed  CAS  Google Scholar 

  5. Kruse-Losler B, Diallo R, Gaertner C, Mischke KL, Joos U, Kleinheinz J (2006) Central giant cell granuloma of the jaws: a clinical, radiologic, and histopatologic study of 26 cases. Oral Pathol Oral Radiol Endod 101:346–354

    Article  Google Scholar 

  6. Kim HJ, Lee HK, Suh DC, Choi CG, Kim JK, Lee JH, Cho KJ (2003) Giant cell reparative granuloma of the temporal bone: MR findings with pathologic correlation. Am J Neuroradiol 24:1136–1138

    PubMed  Google Scholar 

  7. Ung F, Li KK, Keith DA, McKenna MJ (1998) Giant cell reparative granuloma of the temporal bone: case report and review of the literature. Otolaryngol Head Neck Surg 118:525–529

    PubMed  Article  CAS  Google Scholar 

  8. Findlay JM, Chaisson D, Hudson AR, Chui M (1987) Giant cell tumor of the middle cranial fossa. J Neurosurg 80:924–928

    Google Scholar 

  9. Tian HF, Li TZ, Yu SF (2003) Giant cell granuloma of the temporal bone: a case report with immunohistochemical, enzyme hystochemical, and in vitro studies. Arch Pathol Lab Med 127:1217–1220

    PubMed  Google Scholar 

  10. Garza-Mercado R, Cavazos E, Hernandez-Batres F (1984) Giant cell reparative granuloma of the cranial vault. Exceptional bone lesion. Neurosurgery 15:228–231

    PubMed  Article  CAS  Google Scholar 

  11. Sharma RR, Verma A, Pawar SJ, Dev E, Devadas RV, Shiv VK, Musa MM (2002) Pediatric giant cell granuloma of the temporal bone: a case report and brief review of the literature. J Clinic Neurosci 9(4):459–462

    Article  Google Scholar 

  12. World Health Organization (2002) Classification of tumors. In: CDM Fletcher, Unni KK, Mertens F (eds) Pathology and genetics of tumors of soft tissue and bone. IARCPres, Lyon, pp 310–312

    Google Scholar 

  13. Wieneke JA, Grannon FH, Heffner DK, Thompson LD (2001) Giant cell tumor of the larynx: a clinicopathologic series of 8 cases and a review of the literature. Mod Pathol 14:1209–1212

    PubMed  Article  CAS  Google Scholar 

  14. Souter MA, Bird PA, Worthington JP (2006) Giant cell reparative granuloma of the temporal bone treated with calcitonin. Otol Neurotol 27:999–1002

    PubMed  Article  Google Scholar 

Download references

Author information

Affiliations

Authors

Corresponding author

Correspondence to Alexis Bozorg Grayeli.

Rights and permissions

Reprints and Permissions

About this article

Cite this article

Rudic, M., Grayeli, A.B., Cazals-Hatem, D. et al. Temporal bone central giant-cell granuloma presenting as a serous otitis media. Eur Arch Otorhinolaryngol 265, 587–591 (2008). https://doi.org/10.1007/s00405-007-0460-4

Download citation

  • Received:

  • Accepted:

  • Published:

  • Issue Date:

  • DOI: https://doi.org/10.1007/s00405-007-0460-4

Keywords

  • Hearing loss
  • Serous otitis media
  • Giant cell granuloma
  • Temporal bone
  • Benign tumor