Skip to main content

KTP-532 laser-assisted microvascular anastomosis (experimental animal study)

Abstract

Former animal studies on laser-assisted microvascular anastomosis performed with CO2-, argon-, diode-, Holmium:YAG- and Nd:YAG-lasers had already proven the stability of the anastomotic sites. Tissue damage remained minimal along the anastomosis, while duration of the surgeries decreased significantly compared to that of traditionally implemented microvascular sutures. In addition to this, foreign body reaction next to end-to-end anastomosis appeared to be minimal due to fewer traditional stitches. This animal study was designed in order to investigate the durability and the histological properties of microvascular anastomosis assisted by KTP-532 laser. Twenty-one Wistar albino rats were used: in nine animals the KTP-laser-assisted microvascular anastomosis was carried out on the femoral artery. Those nine animals were divided into three groups and each of them consisted of three rats. The animals in these three groups were sacrificed 4 h, 1 and 4 weeks following the surgery, respectively. In three additional animals laser-assisted microvascular anastomosis was done on the abdominal aorta. Conventional microvascular sutures were carried out on femoral arteries of further nine animals in the control group. The healing process of the femoral arteries is documented with figures of histological slides both in the laser-treated and in the conventionally operated group of rats. The KTP-laser-assisted microvascular anastomosis failed on the abdominal aorta, as strong bleedings occurred after the traditional sutures had been taken out. However, the coagulative effect of the KTP-laser could still be used. The authors share the opinion that the success of the laser-assisted end-to-end microvascular anastomosis does not depend on the wavelength of the applied laser, but can be affected by both the calibre of the vessel and the intraluminal pressure.

This is a preview of subscription content, access via your institution.

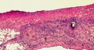
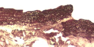
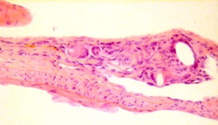
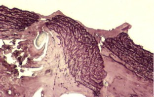
Fig. 1
Fig. 2
Fig. 3
Fig. 4
Fig. 5
Fig. 6
Fig. 7
Fig. 8
Fig. 9

References

  1. Gáti I, Bauer M, Mink A, Gerlinger I (1990) Nyaki bőrhiány fedése kínai lebennyel. Fül-orr-gégegyógy 36:75–77

    Google Scholar 

  2. Gáti I, Pytel J, Bánhegyi Gy, Péter J, Dezső A, Vajda J (1995) Hypopharynx és cevicalis oesophagus pótlása kínai lebennyel. Fül-orr-gégegyógy 41:86–89

    Google Scholar 

  3. Gáti I (1999) Rekonstrukciós lehetőségek a fej-nyak-sebészetben. Fül-orr-gégegyógy 45:225–228

    Google Scholar 

  4. Iván L (1992) Pharyngocutan defectus zárása kettős pectoralis major (PM) “gemini” myocutan lebennyel. Fül-orr-gégegyógy 38:161–165

    Google Scholar 

  5. Pytel J, Bauer M, Gáti I (1985) A pectoralis major myocutan lebenyekkel nyert tapasztalataink. Fül-orr-gégegyógy 31:129–135

    Google Scholar 

  6. Ang ES, Tan KC, Tan LH, Ng RT, Song IC (2001) 2-octylcyanoacrylate-assisted microvascular anastomosis: comparation with a conventional suture technique in rat femoral arteries. J Reconstr Microsurg 17:193–201

    PubMed  Article  CAS  Google Scholar 

  7. Caiati JM, Madigan JD, Bhagat G, Benvenisty AI, Nowygrod R, Todd GJ (2000) Vascular clips have no significant effect on the cellular proleferaiton, intimal changes, or peak systolic velocity at anastomoses in rabbit vein grafts. J Surg Res 92:29–35

    PubMed  Article  CAS  Google Scholar 

  8. Fried MP, Moll ERS (1987) Microvascular anastomosis: an evaluation of laser assisted technique. Arch Otolaryngol Head Neck Surg 113:968–973

    PubMed  CAS  Google Scholar 

  9. Godlewski G, Rouy S, Danzat D (1987) Ultrastructural study of arterial wall repair after argon-laser micro-anastomosis. Lasers Surg Med 7:258–262

    PubMed  Article  CAS  Google Scholar 

  10. Kruger RR, Almquist EE (1989) Argon-laser coagulation of blood for the anastomosis of small vessels. Lasers Surg Med 9:478–481

    Article  Google Scholar 

  11. Vale BH, Frenkel A, Trenka-Banthin S, Matlaga BF (1986) Microsurgical anastomosis of rat carotid arteries with the CO2-laser. Plast Reconstr Surg 77(5):759–766

    PubMed  Article  CAS  Google Scholar 

  12. White RA, Kopchok G, Donayre C, Lyons R, White G, Klein SR et al (1987) Large vessel sealing with the argon-laser. Lasers Surg Med 7:229–235

    PubMed  Article  CAS  Google Scholar 

  13. Reali UM, Gelli R, Giannotti V, Gori F, Pratesi R, Pini R (1993) Experimental diode-laser assisted microvascular anastomosis. J Reconstr Microsurg 9:203–208

    PubMed  CAS  Article  Google Scholar 

  14. Chuck RS, Oz MC, Delohery TM et al (1989) Dye-enhanced laser tissue welding. Lasers Surg Med 9:471–477

    PubMed  Article  CAS  Google Scholar 

  15. Ott B, Züger BJ, Erni D et al (2001) Comparative in vitro study of tissue-welding using a 808 nm diode laser and a Ho:YAG laser. Lasers Med Sci 16:260–266

    PubMed  Article  CAS  Google Scholar 

  16. Ott B, Constantinescu MA, Erni D, Banic A, Schaffner T, Frenz M (2004) Intraluminal laser light source and external solder: in vivo evaluation of a new technique for microvascular anastomosis. Laser Surg Med 35:312–316

    Article  Google Scholar 

  17. Self SB, Coe DA, Seeger JM et al (1996) Limited thromobogenicity of low temperature: laser-welded vascular anastomosis. Laser Surg Med 18:241–247

    Article  CAS  Google Scholar 

  18. Poppas DP, Stewart RB, Massicotte JM et al (1996) Temperature-controlled laser photocoagulation of soft tisue: in vivo evaluation using a tissue welding model. Laser Surg Med 18:335–340

    Article  CAS  Google Scholar 

  19. Nakamura T, Fukui A, Maeda M, Kugai M, Inada Y, Teramoto N et al (2000) Microvascular anastomoses using an Nd:YAG laser. J Reconstr Microsurg 16:577–584

    PubMed  Article  CAS  Google Scholar 

  20. Gerlinger I, Pytel J (1999) KTP lézerrel asszisztált tympanoplastica. Fül-orr-gégegyógy 45:238–247

    Google Scholar 

  21. Schober R, Ulrich F, Sander R, Durselen H, Hessel S (1986) Laser-induced alteration of collagen substructure allows microsurgical tissue welding. Science 232:1421–1422

    PubMed  Article  CAS  Google Scholar 

  22. Serure A, Withers EH, Thomsen S, Morris J (1983) Comparation of carbon dioxide laser-assisted microvascular anastomosis and conventional microvascular sutured anastomosis. Surg Forum 34:634–636

    Google Scholar 

  23. Kopchok GE, White RA, White GH, Fujitani R, Vlasak J, Dykhovsky L et al (1988) CO2- and argon-laser vascular welding: acute hystologic and thermodynamic comparation. Lasers Surg Med 8:584–588

    PubMed  Article  CAS  Google Scholar 

Download references

Author information

Affiliations

Authors

Corresponding author

Correspondence to Balázs B. Lőrincz.

Rights and permissions

Reprints and Permissions

About this article

Cite this article

Lőrincz, B.B., Kálmán, E. & Gerlinger, I. KTP-532 laser-assisted microvascular anastomosis (experimental animal study). Eur Arch Otorhinolaryngol 264, 823–828 (2007). https://doi.org/10.1007/s00405-007-0317-x

Download citation

  • Received:

  • Accepted:

  • Published:

  • Issue Date:

  • DOI: https://doi.org/10.1007/s00405-007-0317-x

Keywords

  • Vascular suture
  • Microvascular anastomosis
  • KTP-laser