Skip to main content

Giant cell tumor of the nasal cavity: case report

Abstract

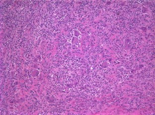
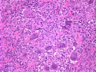
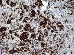
Soft tissue giant cell tumor of low malignant potential is a rare tumor located in superficial and deep soft tissue. Tumors with osteoclast-like giant cells have been reported in various sites as breast, salivary glands, lung, kidney and pancreas. These tumors are composed of evenly spaced multinucleated giant cells in a background of mononuclear component composed of round, oval or spindled cells. No atypia or significant mitotic activity is encountered. Immunohistochemical stains for TRAP, smooth muscle actin, desmin and cytokeratins are of great value for diagnosis. Nasal cavity represents a very unusual location for this type of tumors; soft tissue tumors must be included in the differential diagnosis of nasal obstruction. Due to the possibility of local recurrence, clinical follow-up is recommended.

This is a preview of subscription content, access via your institution.

Fig. 1
Fig. 2
Fig. 3
Fig. 4

References

  1. Billings SD, Folpe AL (2004) Cutaneous and subcutaneous fibrohistiocytic tumors of intermediate malignancy. An update. Am J Dermatopathol 26:141–155

    PubMed  Article  Google Scholar 

  2. Burnam JA, Benson et al (1979) Giant cell tumor of the ethmoid sinuses:diagnostic dilemma. Laryngoscope 89(9 Pt 1):1415–1424

    PubMed  CAS  Article  Google Scholar 

  3. Fu YS, Perzin KH (1974) Nonepithelial tumors of the nasal cavity, paranasal sinuses, and nasopharynx. A clinicopathologic study. II. Osseous and fibro-osseous lesions, including osteoma, fibrous dysplasia, ossifying fibroma, osteoblastoma, giant cell tumor and osteosarcoma. Cancer 33(5):1289–1305

    PubMed  Article  CAS  Google Scholar 

  4. Miettinen M (2003) Giant cell tumors of soft parts. In: Miettinen M (ed) Diagnostic soft tissue pathology, 1st edn. Churchill Livingstone, New York, pp 201–203

    Google Scholar 

  5. Neville B, Damm D, Allen C, Bouquot J (1995) Oral & maxillofacial pathology, 1st edn. W.B. Saunders Company, Philadelphia, pp 453–456

    Google Scholar 

  6. Weiss S (2001) Benign tumors and tumor-like lesions of synovial tissue. In: Weiss S, Goldblum JR (eds) Enzinger and Weiss’s soft tissue tumors, 4th edn. Mosby, Philadelphia, pp 1038–1047

    Google Scholar 

Download references

Author information

Affiliations

Authors

Corresponding author

Correspondence to Madalina Tuluc.

Rights and permissions

Reprints and Permissions

About this article

Cite this article

Tuluc, M., Zhang, X. & Inniss, S. Giant cell tumor of the nasal cavity: case report. Eur Arch Otorhinolaryngol 264, 205 (2007). https://doi.org/10.1007/s00405-006-0143-6

Download citation

  • Received:

  • Accepted:

  • Published:

  • DOI: https://doi.org/10.1007/s00405-006-0143-6

Keywords

  • Gaint cell tumor
  • Nasal obstruction
  • Soft tissue